Cookie Consent byPrivacyPolicies.comAXIOM Tissue Level - Eugenol

AXIOM Tissue Level

3f3boxni50k58rq7e9ce9ddqrxgk - Eugenol
dentiste57

24/12/2016 à 13h36

juste pour le plaisir de poster enfin des photos...

B7s06votwny1v1odarqk - Eugenol
Xiqp5fkhcqighrhnwwl5 - Eugenol
Avqdoshjqladn8djaksx - Eugenol
Yxfpfvv4cal7cl6gglsd - Eugenol
Xrbcpt7uwc9b3uj6slsu - Eugenol
Jzmac6pn26hgdfpewv1r - Eugenol
G1qeixdxkvliq48k9wi3 - Eugenol
W1vifarwxnl67nxxv12f - Eugenol
Cokbflbdzaetv5xjkoie - Eugenol
Zf6kw3d8fqwhqrcwucgy - Eugenol
Bjtttkkchemfus94f8me - Eugenol
Btq0y6oghgqjuiw908ub - Eugenol
Lviitudzqzmvkc7rw2kv - Eugenol

Photo pluton1b h9n4ea - Eugenol
pluton

24/12/2016 à 13h58

c'est normal cette finition???

Normal - Eugenol

Jack 2 wm3tqs - Eugenol
Treponem

24/12/2016 à 14h18

Par curiosité, pourquoi avoir tout viré ?


Blason dql7mj - Eugenol
growly

25/12/2016 à 09h29

pluton écrivait:
----------------
> c'est normal cette finition???


même question


3f3boxni50k58rq7e9ce9ddqrxgk - Eugenol
dentiste57

25/12/2016 à 16h06

Oui , pas bien ! On a eu ça sur une série lors des essaies clinique' le problème a été identifié et résolu. Ce cas date de près d'1 an 1/2.


Photo pluton1b h9n4ea - Eugenol
pluton

25/12/2016 à 19h49

tant mieux parce que comme çà...çà ne fait pas envie...


Photo pluton1b h9n4ea - Eugenol
pluton

25/12/2016 à 20h54

et une question me vient à l'esprit: comment le contrôle qualité avant conditionnement en salle blanche (normalement des employés font le montage des pièces et mise en boite en contrôlant sous loupes binoculaires...) a pu laisser passer çà??? d'autant plus en phase de test...où il n'y a pas de gros volumes...???


Azerty06

25/12/2016 à 23h26

Treponem écrivait:
------------------
> Par curiosité, pourquoi avoir tout viré ?
même question, quelle est l'indication ?


iyaudat

25/12/2016 à 23h55

Azerty06 écrivait:
------------------
> Treponem écrivait:
> ------------------
> > Par curiosité, pourquoi avoir tout viré ?
> même question, quelle est l'indication ?
Pareil ici


3f3boxni50k58rq7e9ce9ddqrxgk - Eugenol
dentiste57

26/12/2016 à 18h14

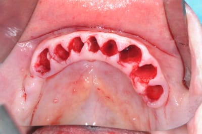
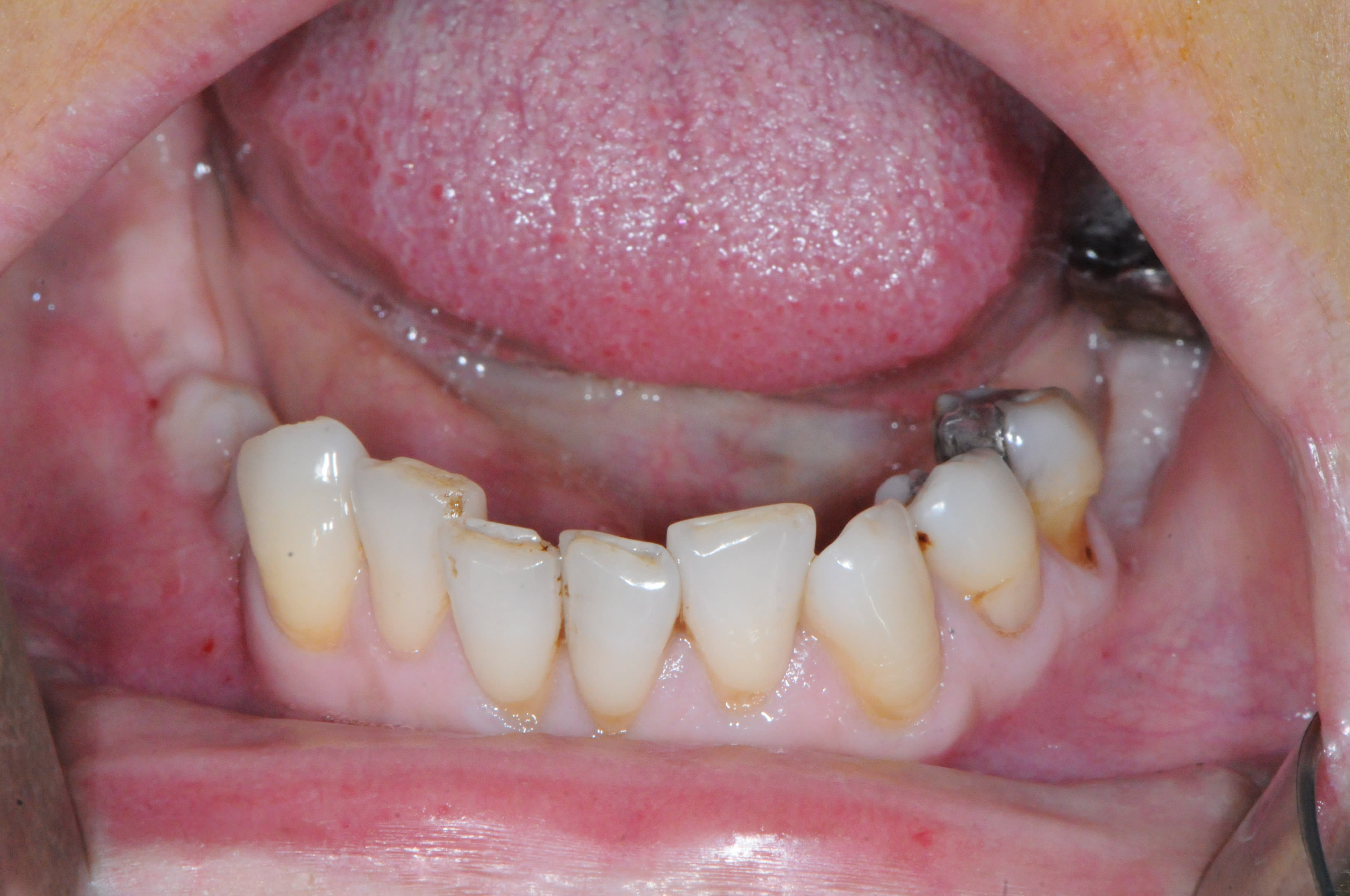
kyste sur prémolaire, canine et accessoirement granulome sur incisive.



3f3boxni50k58rq7e9ce9ddqrxgk - Eugenol
dentiste57

26/12/2016 à 18h16

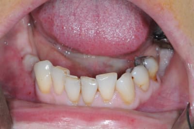
la suite

Dsc 4181 iujbdo - Eugenol
Dsc 3940 bh8vfz - Eugenol
Dsc 3938 f6bbtn - Eugenol
Dsc 3906 p2otjm - Eugenol

3f3boxni50k58rq7e9ce9ddqrxgk - Eugenol
dentiste57

26/12/2016 à 18h18

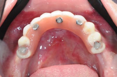
le système de verrou avec et sans verrou guidant

Dsc 4279 g2iamh - Eugenol
Dsc 4320 rlb8f0 - Eugenol

3f3boxni50k58rq7e9ce9ddqrxgk - Eugenol
dentiste57

26/12/2016 à 18h21

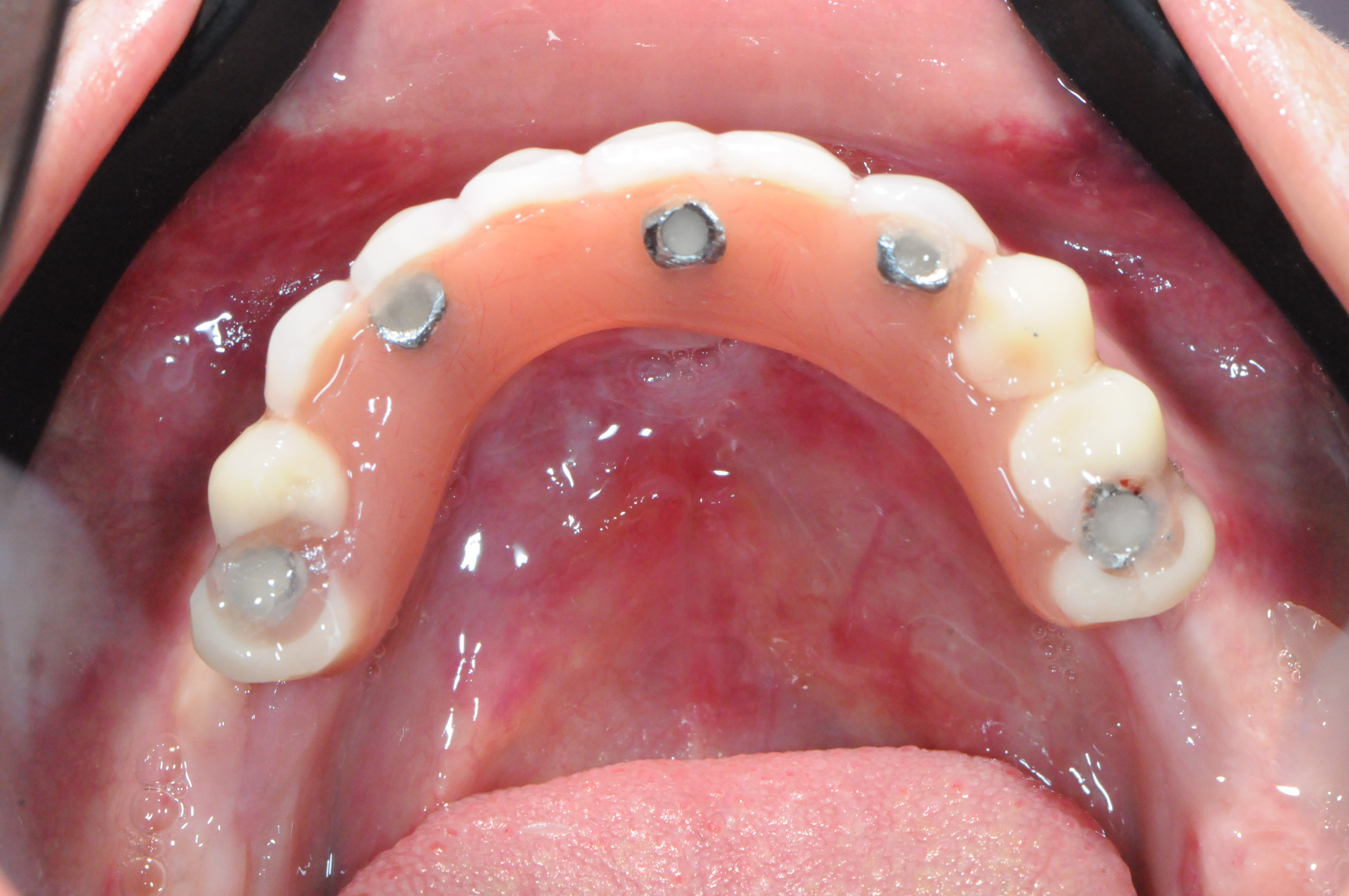
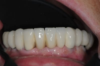
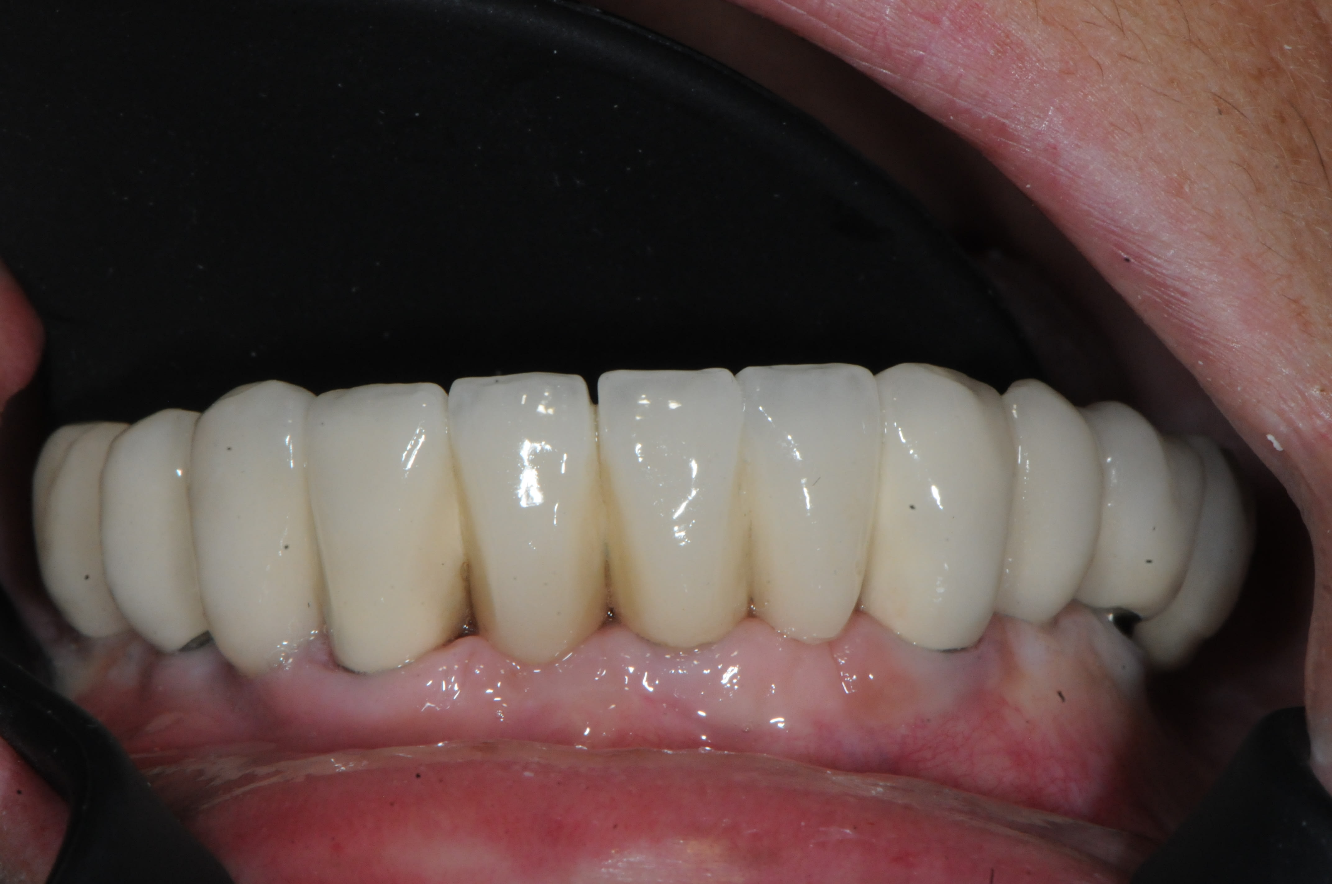
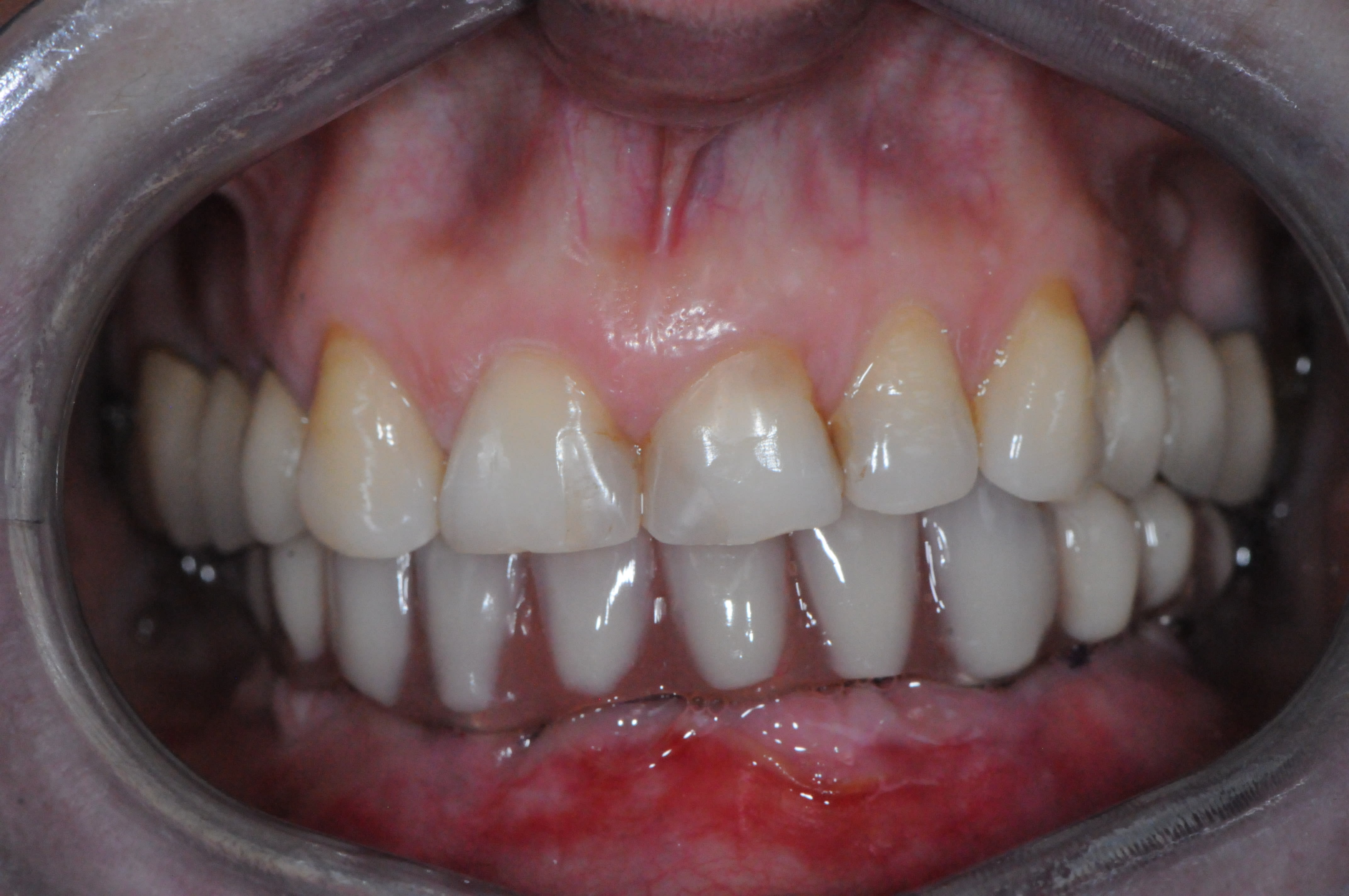
après la dame elle a voulu des couleurs blanches . "les plus blanches possibles " qu'elle disait ...
pas moyen de lui faire entendre raison...

Dsc 4371 drsq3e - Eugenol
Dsc 4388 q7fmnq - Eugenol
Dsc 4347 ln9szk - Eugenol
Dsc 4361 fgvq00 - Eugenol
Dsc 4382 wmqlph - Eugenol
Dsc 4394 lbfiwn - Eugenol

Utilisateur banni

26/12/2016 à 19h33

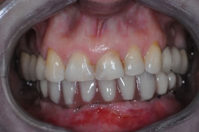
Merci d'avoir posté ton cas. Le bridge définitif est vraiment beau. Moi j'ai deux questions :
1) est ce qu'il est possible d'avoir la pano de départ ? Pour voir l'étendue des dégâts au départ
2) est ce que quelqu'un pourrait nous expliquer les intérêts de l'utilisation des tissue level ? (Ça c'est pour voir si j'ai bien compris car justement je suis En train de m'intéresser à ça)
3) et une troisième question pour le plaisir : pourquoi aller jusqu'au 6 et pas jusqu'au 7? Pas de 27 et 17? Pas de possibilité de poser plus En posterieur ? Extension des 7 : trop délétère ?
4) et une quatrième : si tu n'avais pas posé de tissu level est ce qu'on aurait quand même vu le métal en V de 35 ? Est ce que c'est le pilier ou le métal du col qu'on voit ?

Merci de nous montrer tout ça En tout cas


Logo m4n3gc - Eugenol
drmarcus

27/12/2016 à 10h31

dentiste57 écrivait:
--------------------
> Oui , pas bien ! On a eu ça sur une série lors des essaies clinique' le problème
> a été identifié et résolu. Ce cas date de près d'1 an 1/2.

Beau cas de réhabilitation fonctionnelle; très conventionnelle.

Par contre attention à la terminologie concernant 'essais cliniques"! On peut dire que l'on a eu les implants avant commercialisation pour essai dans notre exercice clinique; mais pas un essai clinique qui répond à des normes HAS très spécifiques et qui ne doit intervenir qu'après d'autres études. Un essai clinique est un protocole en comparaison avec des placebos; si c'est le cas peux tu nous donner les grandes lignes de ce protocole.


--
"La seule chose promise d'avance à l'échec, c'est celle que l'on ne tente pas" Paul Emile VICTOR


steg

27/12/2016 à 21h06

C est vraiment top eugenol,ca donne envie de poster des cas......


3f3boxni50k58rq7e9ce9ddqrxgk - Eugenol
dentiste57

27/12/2016 à 22h45

junior® écrivait:
-----------------
> Merci d'avoir posté ton cas. Le bridge définitif est vraiment beau. Moi j'ai
> deux questions :
> 1) est ce qu'il est possible d'avoir la pano de départ ? Pour voir l'étendue des
> dégâts au départ

ben non j'ai pas ici

> 2) est ce que quelqu'un pourrait nous expliquer les intérêts de l'utilisation
> des tissue level ? (Ça c'est pour voir si j'ai bien compris car justement je
> suis En train de m'intéresser à ça)

de très loin meilleur stabilité des tissus autours de l'implant
moins de péri-implantite
pas de deuxième temps chir


> 3) et une troisième question pour le plaisir : pourquoi aller jusqu'au 6 et pas
> jusqu'au 7? Pas de 27 et 17? Pas de possibilité de poser plus En posterieur ?
> Extension des 7 : trop délétère ?

extension en 7 c'est risquer de travailler avec l'élasticité mandibulaire.: toujours une mauvaise idée!

> 4) et une quatrième : si tu n'avais pas posé de tissu level est ce qu'on aurait
> quand même vu le métal en V de 35 ? Est ce que c'est le pilier ou le métal du
> col qu'on voit ?
c'est le col de l'implant choisi un peu trop haut. c'est comme tu le sait, très dificile de juger de la futur hauteur des tissus après extraction..
mais on aurait très bien pu mettre des implants bone level sur lesquels j'aurai choisi après cicatrisation un pilier de hauteur différente.

> Merci de nous montrer tout ça En tout cas


sinon, l'énorme nouveauté de ce système , c'est le verrou de fixation aux implants ...
pas de vis à manipuler ou que l'on risque de faire tomber...
et seulement 1 tout 1/2 pour visser !!!
l'autre nouveauté pour un tel système c'est les avantages de la connexion "à plat" et le ratrapage d'axe jusqu'à 25° pour la barre à usiner


Photo pluton1b h9n4ea - Eugenol
pluton

28/12/2016 à 10h11

c'est dommage de répondre partiellement aux questions de junior....


3f3boxni50k58rq7e9ce9ddqrxgk - Eugenol
dentiste57

28/12/2016 à 11h06

oups, j'ai répondu en utilisant le même poste


Utilisateur banni

28/12/2016 à 14h33

dentiste57 écrivait:
--------------------

> l'autre nouveauté pour un tel système c'est les avantages de la connexion "à
> plat" et le ratrapage d'axe jusqu'à 25° pour la barre à usiner

le puits d’axé peut-il être désaxé par rapport à l'implant?
quelles sont les angulations qui existent?


alex33

28/12/2016 à 16h18

dentiste57 écrivait:
--------------------
> junior® écrivait:
> -----------------
> > Merci d'avoir posté ton cas. Le bridge définitif est vraiment beau. Moi j'ai
> > deux questions :
> > 1) est ce qu'il est possible d'avoir la pano de départ ? Pour voir l'étendue
> des
> > dégâts au départ
>
> ben non j'ai pas ici
>
> > 2) est ce que quelqu'un pourrait nous expliquer les intérêts de l'utilisation
> > des tissue level ? (Ça c'est pour voir si j'ai bien compris car justement je
> > suis En train de m'intéresser à ça)
>
> de très loin meilleur stabilité des tissus autours de l'implant
> moins de péri-implantite
> pas de deuxième temps chir

C'est interessant ce que tu dis. Ton affirmation est basee sur ton experience clinique ou bien sur la bibliographie?
Car il me semblait que le top pour le maintien des tissus mous et la prevention des periimplantites etait l'utilisation d'implant rugueux en pose infracrestale associe' a' une switching platform et une connexion conique...Maintenant on voit un retour aux implants usine's totalement ou partiellement, avec des cols lisses...Une sorte de retour en arriere en quelque sorte.


3f3boxni50k58rq7e9ce9ddqrxgk - Eugenol
dentiste57

28/12/2016 à 18h30

posit écrivait:
---------------
> dentiste57 écrivait:
> --------------------
>
> > l'autre nouveauté pour un tel système c'est les avantages de la connexion "à
> > plat" et le ratrapage d'axe jusqu'à 25° pour la barre à usiner
>
> le puits d’axé peut-il être désaxé par rapport à l'implant?
> quelles sont les angulations qui existent?

oui on peut orienter à volonté le position du trou d'accès là où on veut avec un limite toutefois, ne pas avoir plus de 25°.


3f3boxni50k58rq7e9ce9ddqrxgk - Eugenol
dentiste57

28/12/2016 à 18h34

alex33 écrivait:
----------------
> dentiste57 écrivait:
> --------------------
> > junior® écrivait:
> > -----------------
> > > Merci d'avoir posté ton cas. Le bridge définitif est vraiment beau. Moi
> j'ai
> > > deux questions :
> > > 1) est ce qu'il est possible d'avoir la pano de départ ? Pour voir l'étendue
> > des
> > > dégâts au départ
> >
> > ben non j'ai pas ici
> >
> > > 2) est ce que quelqu'un pourrait nous expliquer les intérêts de
> l'utilisation
> > > des tissue level ? (Ça c'est pour voir si j'ai bien compris car justement je
> > > suis En train de m'intéresser à ça)
> >
> > de très loin meilleur stabilité des tissus autours de l'implant
> > moins de péri-implantite
> > pas de deuxième temps chir
>
> C'est interessant ce que tu dis. Ton affirmation est basee sur ton experience
> clinique ou bien sur la bibliographie?
> Car il me semblait que le top pour le maintien des tissus mous et la prevention
> des periimplantites etait l'utilisation d'implant rugueux en pose infracrestale
> associe' a' une switching platform et une connexion conique...Maintenant on
> voit un retour aux implants usine's totalement ou partiellement, avec des cols
> lisses...Une sorte de retour en arriere en quelque sorte.

je t'invite fortement à revoir tes connaissances entre tissue level et bone level. tu comprendra mieux la démarche du tissue level qui est l'implant le plus posé dans le monde (à ma grande surprise d'ailleurs!)


Utilisateur banni

29/12/2016 à 11h18

dentiste57 écrivait:
--------------------

> oui on peut orienter à volonté le position du trou d'accès là où on veut avec un
> limite toutefois, ne pas avoir plus de 25°.

Ce que je comprend du système est, soit tu est dans l'axe de l'implant soit tu as un pilier rotationnel à 180° de 25°d'angulation, peux tu préciser?


3f3boxni50k58rq7e9ce9ddqrxgk - Eugenol
dentiste57

29/12/2016 à 13h34

posit écrivait:
---------------
> dentiste57 écrivait:
> --------------------
>
> > oui on peut orienter à volonté le position du trou d'accès là où on veut avec
> un
> > limite toutefois, ne pas avoir plus de 25°.
>
> Ce que je comprend du système est, soit tu est dans l'axe de l'implant soit tu
> as un pilier rotationnel à 180° de 25°d'angulation, peux tu préciser?
Excepté pour la mise en charge immédiate où il existe des piliers provisoires droits et angulés, il est possible lors de la conception de la barre titane, chrome cobalt ou zirkone de faire sortir le puits d'accès de la vis exactement là où tu le désires à condition que tu sois entre 0 et 25° par rapport à l'axe de l'implant.
c'est le prothésiste qui décide après la pose des implants de la position du puits d'accès.
il y a donc un tournevis spécifique type "tête de cardan " pour le serrage du verrou .
le tournevis ressemble à ça...

Dsc 2237 gfgume - Eugenol
Dsc 2249 xe4etm - Eugenol

12