Cookie Consent byPrivacyPolicies.comCapteur Rx - Eugenol
Jack 2 wm3tqs - Eugenol
Treponem

29/12/2016 à 09h28

Salut,

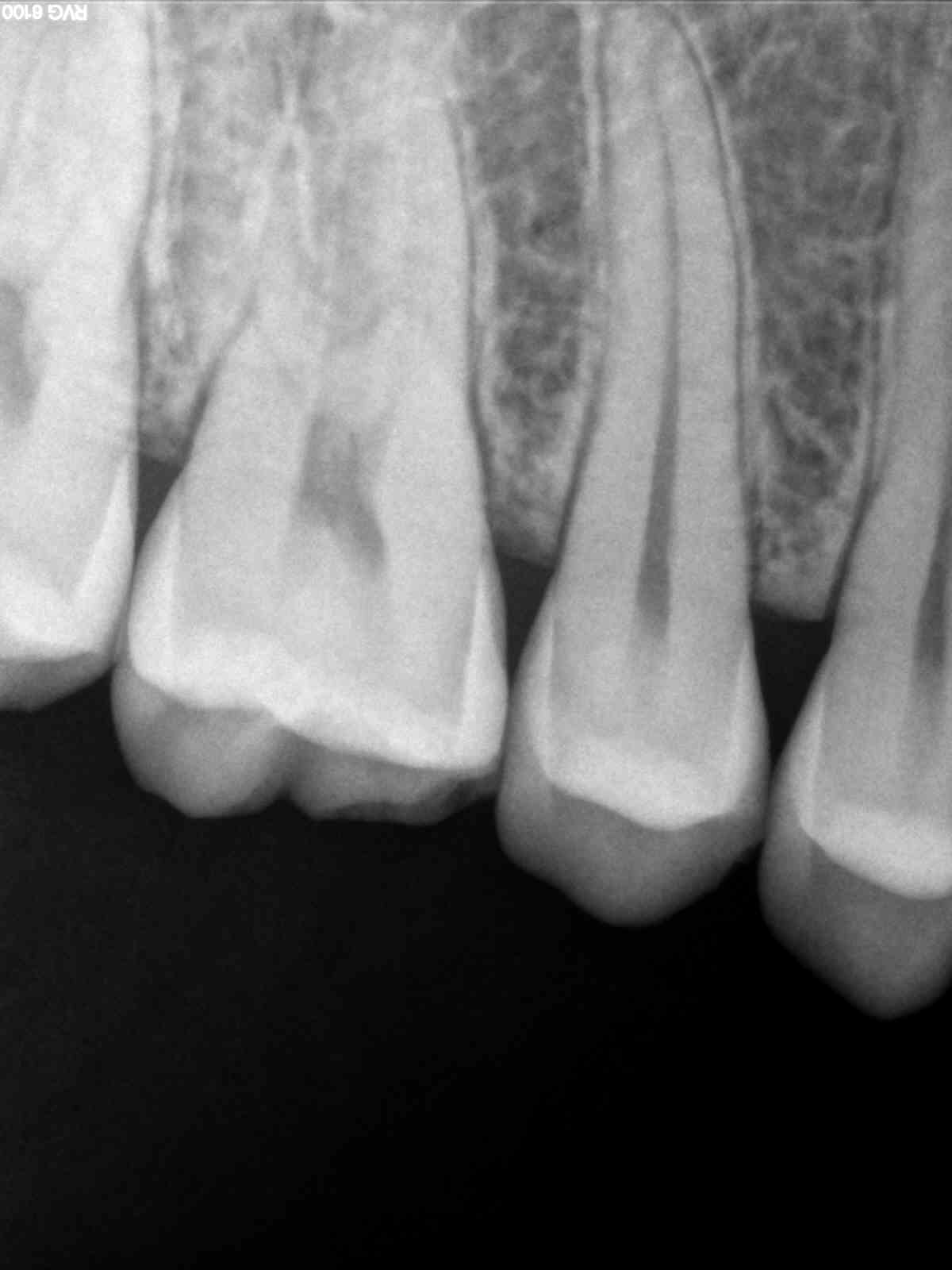
J'ai mon vieux capteur trophy (dont j'étais très satisfait) qui m'a lâché. Première image.

On me l'a changé pour le capteur Kodak RVG 6100, et j'ai vraiment l'impression de perdre en définition :((
Seconde image

Qu'en pensez vous ? Peut on régler quelque chose ?
Apparemment le capteur Trophy RVG ne se fait plus d'après l'installateur, j'en trouve sur la bay à 2500 boules environ.
ça vaut le coup d'investir ?



Oqadktxusiqxkr3k8mew - Eugenol
Yl0anc9dmpcbr1iinlor - Eugenol

iyaudat

29/12/2016 à 09h52

Il est possible qu'il te manque certains réglages.
h
J'ai moi même une version antérieure (5200) et pourtant une très bonne image.

Dans trophy "Dental Imaging Software" ou son équivalent Kodac qui est la même chose, tu as accès a un panel de modification (le "Control Panel"), il faut jouer avec les paramètres pour optimiser l'image, principalement le dernier grand carré, je te met une image car c'est dur a expliquer.

Eugenol onb2hb - Eugenol

Jack 2 wm3tqs - Eugenol
Treponem

29/12/2016 à 09h53

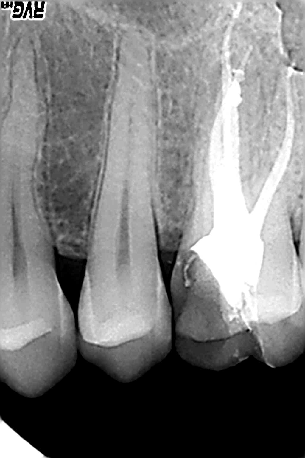
Par ex endo 26
Deux radios : la première avec l'ancien capteur trophy
et la seconde avec le nouveau 6100.

R7 qiuhan - Eugenol
R8 zezbn2 - Eugenol

Jack 2 wm3tqs - Eugenol
Treponem

29/12/2016 à 09h55

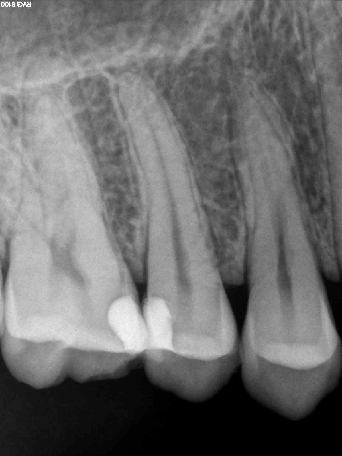
Carie 15/16 avec le nouveau capteur Kodak 6100 ... On voit quasi rien sur la préop
et après les compos, carie curetée ... il y avait bien quelque chose ... :(
Enfin, je ne verrai plus les "petites" lésions avec ce capteur, ce qui n'est pas un mal ?! ^^

R9 hka2py - Eugenol
R10 xlad7f - Eugenol

Jack 2 wm3tqs - Eugenol
Treponem

29/12/2016 à 10h35

Merci iyaudat, effectivement, le filtre de netteté améliore un peu les choses mais je le trouve moins efficace qu'avec le Trophy. :(


Xv950 x01biv - Eugenol
island

29/12/2016 à 12h28

Treponem écrivait:
------------------
> Salut,
>
> J'ai mon vieux capteur trophy (dont j'étais très satisfait) qui m'a lâché.
> Première image.
>
> On me l'a changé pour le capteur Kodak RVG 6100, et j'ai vraiment l'impression
> de perdre en définition :((
> Seconde image
>
> Qu'en pensez vous ? Peut on régler quelque chose ?
> Apparemment le capteur Trophy RVG ne se fait plus d'après l'installateur, j'en
> trouve sur la bay à 2500 boules environ.
> ça vaut le coup d'investir ?
>
>
>

Je vais regarder demain si j'en ai pas un a te donner car trophy m'en avait laissé plusieurs à l'époque où ils commençaient la commercialisation, je te dis ça au plus vite
--
Vieux motard que jamais


Bebert.

29/12/2016 à 12h44

J'ai peur que le 6100 dure moins longtemps que ton ancien: chez moi, les 5100/6100 n'ont jamais dépassé les 4 ans et le plus vieux qui vient justement de fêter ses 4 ans commence à faire de l'auto-acquisition !!!
Et j'avais aussi remarqué une régression lors du passage à la nouvelle gamme... c'est sans doute le progrès ;)


paradoxe

29/12/2016 à 23h07

j'ai toujours eu une échelle de contraste plus petite avec le numérique qu'avec l'argentique. Certaines caries ou lésions osseuses n'apparaissent pas.
Pour tes comparatifs, c'est le traitement numériques post op qui semble être différent.
C'est plus flatteur, mais c'est peut être pas la vérité.


Jack 2 wm3tqs - Eugenol
Treponem

03/01/2017 à 10h04

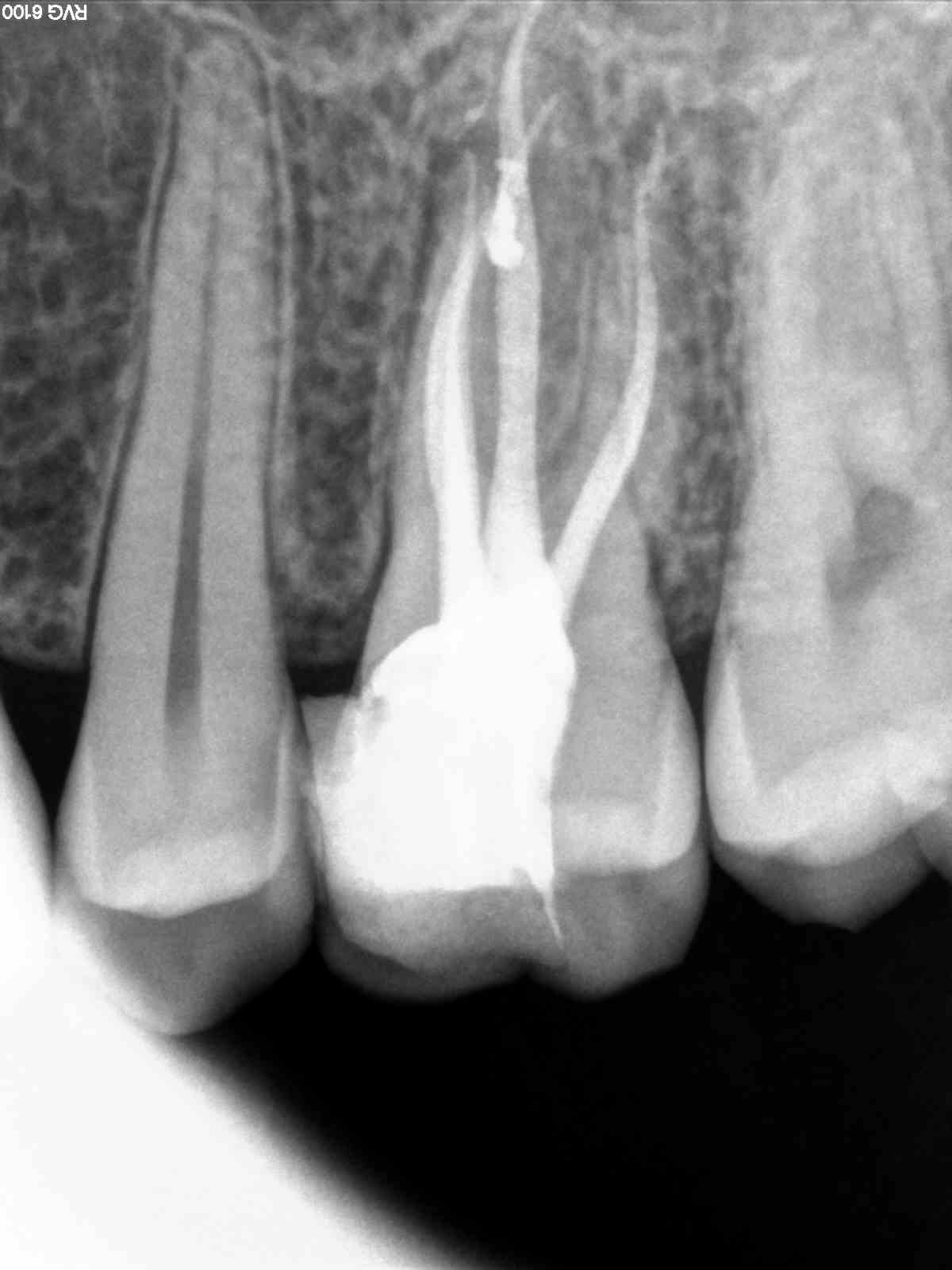
Bon, ça me fatigue ce capteur, je ne sais plus interpréter mes Rx ...
Le mec est venu, il me dit oui elles sont moins belles, il bidouille quelques trucs et ne voit pas d’où ça peut venir.
Sérieusement vous voyez quelque chose sur le deuxième cliché ?
Le premier pris il y a 2 mois, lors de l'endo avec le trophy, et le deuxième cliché avec le kodak, je n'arrive pas à dire si c'est en voie de guérison :((
Même avec le filtre de netteté, en bidouillant les contrastes, j'y vois quedal :(

R16 tstz9o - Eugenol
R17 r5qzok - Eugenol

X ray 03 medium zvq18j - Eugenol
cyber_quenottes

03/01/2017 à 11h09

quand la FNAC veut vérifier un objectif elle photographie une mire

toi aussi tu dois disposer d'une mire

celle ci te montrera parfaitement la définition REELLE de ton capteur ainsi que sa sensibilité de BAS CONTRASTE

t'as juste à l'utiliser


Jack 2 wm3tqs - Eugenol
Treponem

03/01/2017 à 12h06

Oui la mire a été utilisée, et rien de particulier ne cloche, tous les contrastes apparaissent ... Et d'après l'installateur itou.


X ray 03 medium zvq18j - Eugenol
cyber_quenottes

03/01/2017 à 12h29

alors c'est juste
- ton reglage de temps d'expo à voir

- ton reglage de kV si tu peux

- tes habitudes de lecture de cliché qui évolueront


--
--------------------------
" La charte nous protège "
Catherine mojaisky


Jack 2 wm3tqs - Eugenol
Treponem

03/01/2017 à 13h27

Merci Cyber,
Alors j'ai déjà changé mes Kv, ça change pas grand chose.
Sur la jauge du capteur, elle est toujours en vert, donc l'exposition me semble bonne.
Après effectivement, je pense que je vais devoir m'habituer à lire ces clichés, j'en ai parlé à un confrère qui a l'habitude de ce Kodak, et il me dit qu'il préfère ce type de cliché au Trophy.