Cookie Consent byPrivacyPolicies.comformation kystique à la mandibule - Eugenol

formation kystique à la mandibule

hamidnekou

01/01/2017 à 14h32

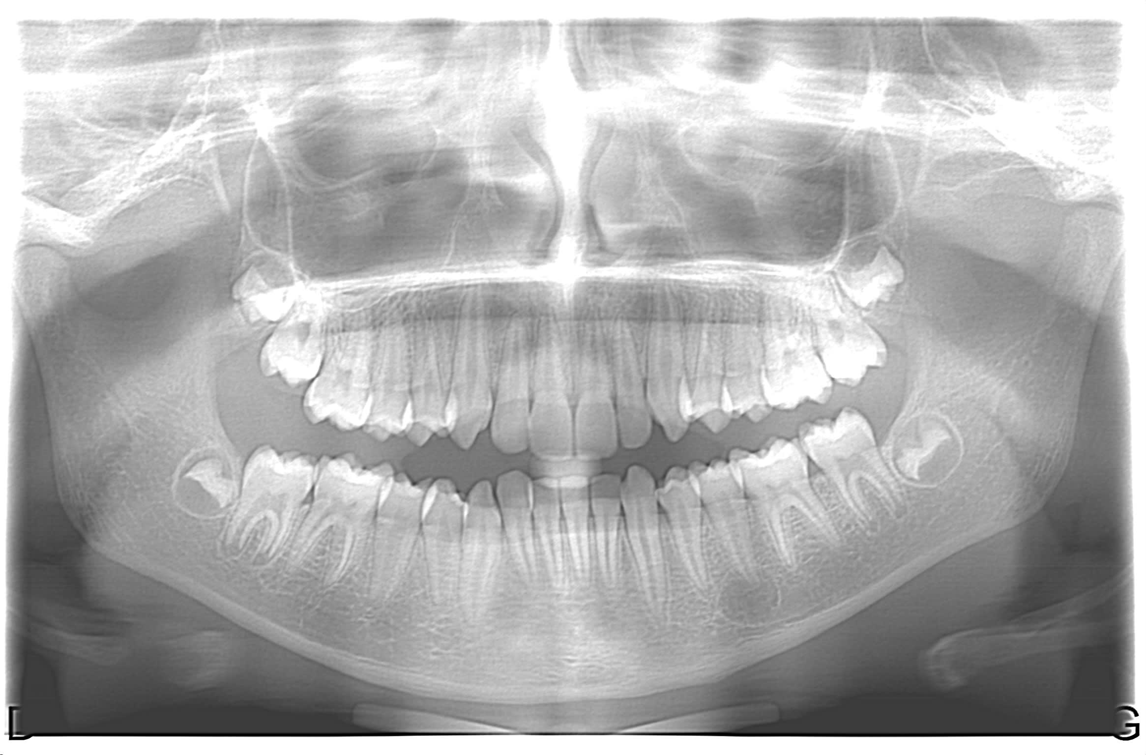
patiente de 11 ans. sans symptôme.au niveau de la 35 apicale, prédence d'une masse hétérogène. vitalité ok.
j'ai fraisé sans anesthésie : vitale!
qu'en pensez-vous ? que faut-il faire?

Ivcmm98dt5xvvpvogk1m - Eugenol
Egutikwcwpsjx8y7qeii - Eugenol
Pz8lpieirb5abukrnkba - Eugenol
Xszqzh2sivehj1jopopd - Eugenol
Jrzbo61kgrqzxbgf8xkn - Eugenol

Dsc 0094 rkrzoz - Eugenol
Guillaume T

01/01/2017 à 23h48

il n'y a pas de solution de continuité radiologique entre l'espace desmodontal et le périmètre de la lésion qui se superpose à la structure dentaire par un liseré dense.
je suppose que c'est une découverte radiologique sans signe d'appel clinique?
A première vue je penserais à une lacune de Staffne mais ça nécessite evidemment une confirmation anapath.


Nouveau image bitmap fz77zh - Eugenol
Sethef

02/01/2017 à 07h56

Un germe surnuméraire? Ca me fait penser à ça, même si c'est évidemment sans certitude.


Tozzi

02/01/2017 à 09h09

Cà ne ressemble pas du tout à une lacune de Stafne çà c'est certain.


RépondreCiter
Capture d  cran 2015 03 12 12.28 - Eugenol
chicot29

02/01/2017 à 09h35

Guillaume T écrivait:
---------------------

> je suppose que c'est une découverte radiologique sans signe d'appel clinique?

Voyons voir docteur......

On fait des examens radiologiques non justifiés en ne respectant pas le premier principe de la radio protection des patients et en plus on ne sait pas les interpréter ?

Vous allez prendre cher ! -)

--
En cas d'échec des négociations conventionnelles, seriez-vous prêt à suivre la promotion d'un déconventionnement massif de la profession par les syndicats représentatifs ? OUI - NON
Participez, anonymement, sur https://goo.gl/forms/nAO0htnsVmxotjYm1


fgui

02/01/2017 à 14h39

lacune de stafne!!!!!!!!!!!!!!!
puberté précoce?
dysplasie fibreuse, neurinome, granulome éosinophile......
il faut une biopsie osseuse et anapath pour savoir. Moi je verrai bien le stade initial d'une dysplasie fibreuse, de toute façon milieu hospitalier pour la fiabilité des anapath si tu ne tombe pas sur un crétin qui veut énucléer d'emblée.
dans ce cas anapath diag puis chir si besoin


Tumblr nbpd8ntwip1rsb3deo1 1280 hyinig - Eugenol
Enki

02/01/2017 à 17h11

Je ne crois pas du tout à une lacune de Stafne : trop antérieur et l'image scanner d'une lacune n'a rien à voir. Ca donne normalement une dépression de la table linguale de la mandibule en regard de la glande sous-maxillaire (donc normalement plus postérieur).


Loukoumparisien

02/01/2017 à 22h15

1. par où passe le pédicule mentonnier
2. si aucun danger on en saura en effet plus avec ponction et anapath


atrax

02/01/2017 à 22h39

Vous faites la biopsie vous même, ou vous l'envoyez au service de chirurgie buccale le plus proche?