Tous les forums
Cas prothétique implantaire
02/01/2017 à 22h20
Bonjour,
Je viens de récupérer un cas de prothèse sur implant d’un confrère. 14 15 jumelées avec 13 en extension. Le tout s’est dévissé. Je dois déposer et refaire….
Quelles options ai-je si je veux pouvoir resserrer sans déposer par la suite si cela se remet à bouger…
- Faire 2 multiunits ? cela sera assez solide ?
- Est ce possible de faire 2 tranvissées sans multiunit ? Je suppose que non, les axes des implants n’étant jamais exactement parallèles ?
- Avec quels ciments scellez vous vos couronnes sur implants pur pouvoir desceller en cas de problème ?
- Changez-vous vos vis à chaque dévissage ?
En vous remerciant pour vos réponses
03/01/2017 à 16h06
Pourquoi vouloir refaire ?
Tu descelles, tu changes les visses, tu rescelles et c'est reparti ? Non ?
03/01/2017 à 23h15
Comme dit avant, change les vis, et hop rescellement
Si tu refais, tu peux vissé sur l'implant le mieux axé et sceller sur pilier prothétique le 2e, ainsi facile à démonter.
Place nous une radio
--
Céramik
04/01/2017 à 12h04
Enki écrivait:
--------------
> Pourquoi vouloir refaire ?
>
> Tu descelles, tu changes les visses, tu rescelles et c'est reparti ? Non ?
Et bien les couronnes bougent, si j essaie de desceller, j ai peur de casser les vis ...
04/01/2017 à 12h06
Céramik écrivait:
-----------------
> Comme dit avant, change les vis, et hop rescellement
>
> Si tu refais, tu peux vissé sur l'implant le mieux axé et sceller sur pilier
> prothétique le 2e, ainsi facile à démonter.
>
> Place nous une radio
>
>
> --
> Céramik
Le probleme sera le meme non: la couronne scellee ne se demontera pas ?
Ce serait interessant pour moi si tu pouvais repondre aux suestions de mon premier post:)
04/01/2017 à 13h47
Si les visses bougent c'est pas vraiment un problème de les casser. Ceci dit il n'y a pas de raison que ça casse si tu tires dans l'axe...comme de toutes façons il faut les changer je ne vois pas bien le problème.
On essaye tous de répondre à ta question.
04/01/2017 à 13h55
le problème c'est pas de les casser...mais de les tordre...ce qui rendrait le bazar ensuite impossible à démonter...
le plus "safe", c'est de faire un trou dans les couronnes pour retrouver le puits de vissage et de dévisser çà proprement...
bon, on attend toujours les images...!!!
04/01/2017 à 13h58
Enki écrivait:
--------------
> Si les visses bougent c'est pas vraiment un problème de les casser. Ceci dit il
> n'y a pas de raison que ça casse si tu tires dans l'axe...comme de toutes façons
> il faut les changer je ne vois pas bien le problème.
>
> On essaye tous de répondre à ta question.
Je pensais que tirer sur des vis devissee risquait de forcer sur le pas de vis ou de casser la tete de vis...
04/01/2017 à 15h16
masterbibop écrivait:
---------------------
> Je pensais que tirer sur des vis devissee risquait de forcer sur le pas de vis
> ou de casser la tete de vis...
tirer dessus c'est une très mauvaise idée, tu risques de tout flinguer...dévisse propre, point barre!
04/01/2017 à 15h21
pluton écrivait:
----------------
> masterbibop écrivait:
> ---------------------
>
> > Je pensais que tirer sur des vis devissee risquait de forcer sur le pas de vis
> > ou de casser la tete de vis...
>
> tirer dessus c'est une très mauvaise idée, tu risques de tout flinguer...dévisse
> propre, point barre!
Bah oui c'est bien ce que je fais, mais ca flingue la ceram du coup...d'ou l'obligation de refaire ensuite et ma question initiale sur les multi unit ou tranvissees jumelees pour ne pas avoir a tout refaire si ca se redevisse un jour
04/01/2017 à 15h25
masterbibop écrivait:
---------------------
> Bah oui c'est bien ce que je fais, mais ca flingue la ceram du coup...d'ou
> l'obligation de refaire ensuite et ma question initiale sur les multi unit ou
> tranvissees jumelees pour ne pas avoir a tout refaire si ca se redevisse un jour
oui, mais pour qu'on puisse répondre comme il faut...tu sais ce qui manque???? allez un petit effort!!!
04/01/2017 à 17h34
pluton écrivait:
----------------
> masterbibop écrivait:
> ---------------------
>
> > Bah oui c'est bien ce que je fais, mais ca flingue la ceram du coup...d'ou
> > l'obligation de refaire ensuite et ma question initiale sur les multi unit ou
> > tranvissees jumelees pour ne pas avoir a tout refaire si ca se redevisse un
> jour
>
> oui, mais pour qu'on puisse répondre comme il faut...tu sais ce qui manque????
> allez un petit effort!!!
et voila messieurs !
04/01/2017 à 18h13
et...heu...tu sais c que c'est comme implant?
parce que si tu veux une identification va falloir faire mieux que des photos merdiques prises au smartphone comme çà!!!
exporte comme il faut tes radios nom de Dieu!!!
04/01/2017 à 18h41
Quand je parle de tirer dessus je parle pas de bourriner comme un malade. Normalement un bridge sur implant, si il a pas été scellé trop hard, ça se descelle.
04/01/2017 à 18h48
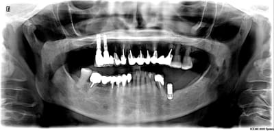
Ce sont des Serf... je bosse sur mac et c'est pas évident quand on ne maitrise pas mac pour sortir les radios. J'espère que ça conviendra
04/01/2017 à 21h15
serf EVL donc connexion à plat...ce qui veut dire multiunits inutiles si tu n'utilises pas l'hexagone (ce qui est le cas déjà ici si tu étudies bien la rétroalvéolaire)
mais!: l'implant le plus mésial n'est pas dans un axe idéal ce qui veut dire que l'émergence de la vis sera merdique à gérer si tu veux faire de la transvissée...
tu n'as pas d'autre choix que de refaire de la scellée pour ce cas...et petit conseil, utilise des piliers indexés et non pas des piliers sans indexation comme ici...
amha çà c'est dévissé car les piliers n'ont pas étés mis dans la bonne position, ils ont été vissés/serrés de travers...la mastication les a fait revenir dans la bonne position...mais du coup ils ne sont plus serrés...
P.S: le vieil IMZ est bon pour le haricot...
04/01/2017 à 21h43
pluton écrivait:
----------------
> serf EVL donc connexion à plat...ce qui veut dire multiunits inutiles si tu
> n'utilises pas l'hexagone (ce qui est le cas déjà ici si tu étudies bien la
> rétroalvéolaire)
>
> mais!: l'implant le plus mésial n'est pas dans un axe idéal ce qui veut dire que
> l'émergence de la vis sera merdique à gérer si tu veux faire de la
> transvissée...
>
> tu n'as pas d'autre choix que de refaire de la scellée pour ce cas...et petit
> conseil, utilise des piliers indexés et non pas des piliers sans indexation
> comme ici...
> amha çà c'est dévissé car les piliers n'ont pas étés mis dans la bonne position,
> ils ont été vissés/serrés de travers...la mastication les a fait revenir dans la
> bonne position...mais du coup ils ne sont plus serrés...
>
> P.S: le vieil IMZ est bon pour le haricot...
Mais comment est ce possible que le pilier ne soit pas adaptes a l'hexagone ? Ce ne sont pourtant pas des generiques ? Je n'ai jamais vu ca... Donc si le multiunit utilisait correctement l'hexagone, ce serait valable comme technique avec l'extension ?
04/01/2017 à 22h01
masterbibop écrivait:
---------------------
> Mais comment est ce possible que le pilier ne soit pas adaptes a l'hexagone ? Ce
> ne sont pourtant pas des generiques ? Je n'ai jamais vu ca... Donc si le
> multiunit utilisait correctement l'hexagone, ce serait valable comme technique
> avec l'extension ?
parce que les piliers qui ont étés utilisés sont des piliers sans indexation (çà existe: tu as dans les catalogues le choix de prendre des piliers avec ou sans l'hexagone)
ils ont certainement été mis à l'aide d'une clef de positionnement fournie par le prothésiste...
remarque: çà aurait pu être encore pire comme situation: tu aurais pu être en présence de piliers pleins vissés et taillés en bouche...
05/01/2017 à 07h49
Ferais tu de la provocation ?
Si ce n'est pas le cas je te conseille vivement de faire une formation adaptée. Là les carences semblent énormes; il est difficile de compenser un simple problème dans ces conditions.
Ne vois rien de mal dans cette réponse mais quand on ignore ce qui existe, autant en solution qu'en matériel, il est quasi impossible de résoudre une équation.
PS: En 35-34 c'est l'exemple même de ce qui arrive dans un os D1. Certains appeleraient ça une peri implantite. .. à tort à mon avis. Il faut rétablir la vascularisation sinon re échec 🤔😕
--
"La seule chose promise d'avance à l'échec, c'est celle que l'on ne tente pas" Paul Emile VICTOR
05/01/2017 à 08h03
pluton écrivait:
----------------
> masterbibop écrivait:
> ---------------------
>
> > Mais comment est ce possible que le pilier ne soit pas adaptes a l'hexagone ?
> Ce
> > ne sont pourtant pas des generiques ? Je n'ai jamais vu ca... Donc si le
> > multiunit utilisait correctement l'hexagone, ce serait valable comme technique
> > avec l'extension ?
>
> parce que les piliers qui ont étés utilisés sont des piliers sans indexation (çà
> existe: tu as dans les catalogues le choix de prendre des piliers avec ou sans
> l'hexagone)
>
> ils ont certainement été mis à l'aide d'une clef de positionnement fournie par
> le prothésiste...
>
> remarque: çà aurait pu être encore pire comme situation: tu aurais pu être en
> présence de piliers pleins vissés et taillés en bouche...
Je n'ai jamais utilisé ce genre de piliers, j'avoue ne pas en voir l'interet...l'hexagone stabilise, protege la vis... et je n en ai jamais entendu parler dans ma formation d implanto
05/01/2017 à 08h03
Vous connaissez en France,des formations dédiées à la prothèse sur implant.
Généralement, la question quand on parle de DU, est: combien d'implant on pose? On parle Très peu de restaurations.
Si quelqu'un a une idée.
05/01/2017 à 08h06
drmarcus écrivait:
------------------
> Ferais tu de la provocation ?
> Si ce n'est pas le cas je te conseille vivement de faire une formation adaptée.
> Là les carences semblent énormes; il est difficile de compenser un simple
> problème dans ces conditions.
> Ne vois rien de mal dans cette réponse mais quand on ignore ce qui existe,
> autant en solution qu'en matériel, il est quasi impossible de résoudre une
> équation.
>
> PS: En 35-34 c'est l'exemple même de ce qui arrive dans un os D1. Certains
> appeleraient ça une peri implantite. .. à tort à mon avis. Il faut rétablir la
> vascularisation sinon re échec 🤔😕
>
>
> --
> "La seule chose promise d'avance à l'échec, c'est celle que l'on ne tente pas"
> Paul Emile VICTOR
Ici, je recherche a avoir les experiences de chacun, ceux qui ont plus de reculs, ceux qui ont modifié leur protocole suite à des échecs. C'est l'intérêt du forum je pense ce qui permet de progresser du côté de ceux qui ont moins d'expérience
3 solutions en fonction des cas: sceller transvissee, pilier multi, et il semble, et je ne connais pas, des piliers sans indexation. Dans tous les cas, je ne connais toujours pas ton avis et tes solutions sur ce cas que je recupere d un confrere et pour lequel je cherche les nmeilleurs solutions a long terme.
N etant pas implanto exclusif, comment revascularises tu 34 35 ?
05/01/2017 à 09h10
masterbibop écrivait:
---------------------
>
> 3 solutions en fonction des cas: sceller transvissee, pilier multi, et il
> semble, et je ne connais pas, des piliers sans indexation. Dans tous les cas, je
> ne connais toujours pas ton avis et tes solutions sur ce cas que je recupere d
> un confrere et pour lequel je cherche les nmeilleurs solutions a long terme.
Tu as déjà eu tous les éléments nécessaires. Pluton a été très très explicite. Une seule chose n'a pas été cité parce que nous pensons que c'est évident.
Pour vérifier que ce n'est pas de la provocation réponds à cette question et tu auras la réponse à ton problème:
Quel est le premier point à prendre en compte pour la réalisation de prothèse sur implant?
>
> N etant pas implanto exclusif, comment revascularises tu 34 35 ?
Je ne suis pas implanto exclusif! (Ca me saoulerait et je risquerais de perdre le contact avec la base de la dentisterie)
La réponse était déjà dans le post! Vascularisation est le point clé pour la chirurgie et largement oublié en pratique quotidienne.
Même chose que pour la prothèse: Comment procède t'on (quels sont les voies) pour améliorer une réponse osseuse en chirurgie?
En l'absence de réponse fiable à ces deux questions, (Enseigné dés les premières heures de toute formation) désolé sans les bases le résultat ne peut être qu'un pis aller. Ou tu fais de la provocation à voir!
--
"La seule chose promise d'avance à l'échec, c'est celle que l'on ne tente pas" Paul Emile VICTOR
05/01/2017 à 09h39
drmarcus écrivait:
> En l'absence de réponse fiable à ces deux questions, (Enseigné dés les premières
> heures de toute formation) désolé sans les bases le résultat ne peut être qu'un
> pis aller. Ou tu fais de la provocation à voir!
>
Aller je vais t'aider, (perso je me suis pris une claque, à prendre au second degré, avec lui en tête à tête).
C'est évident à la vue de ta pano. repenses au plan de traitement.