Cookie Consent byPrivacyPolicies.comCas prothétique implantaire - Eugenol

Cas prothétique implantaire

atrax

05/01/2017 à 10h05

Je repose ma question.
Vous connaissez en France,des formations dédiées à la prothèse sur implant.
Généralement, la question quand on parle de DU, est: combien d'implant on pose? On parle Très peu de restaurations.
Si quelqu'un a une idée.


Photo pluton1b h9n4ea - Eugenol
pluton

05/01/2017 à 10h14

non, perso je ne connais pas de formation dédiée à la prothèse sur implant...

Maintenant, çà peut s'organiser...Drmarcus et moi (au minimum car on a beaucoup de contacts) çà vous irait comme "profs"?
théorie et pratique (TPs) ?


atrax

05/01/2017 à 10h32

Bien sur. Quand vous voulez, je veux du lourd. ;)


alex33

05/01/2017 à 10h35

atrax écrivait:
---------------
> Je repose ma question.
> Vous connaissez en France,des formations dédiées à la prothèse sur implant.
> Généralement, la question quand on parle de DU, est: combien d'implant on pose?
> On parle Très peu de restaurations.
> Si quelqu'un a une idée.

Tu as celle ci, pas donnée mais très sérieuse:
http://www.sapoimplantprothese.com/programme


Utilisateur banni

05/01/2017 à 10h41

Besoin d'un lieux pour organiser la formation:
http://lauditorium.info


Protée

05/01/2017 à 10h43

atrax écrivait:
---------------
> Bien sur. Quand vous voulez, je veux du lourd. ;)

Tu vas être déçu car DrMarcus dit qu'il n'y a pas de cas compliqué juste des sommes de cas simple...et ça marche pour moi!


Photo pluton1b h9n4ea - Eugenol
pluton

05/01/2017 à 10h46

alex33 écrivait:
----------------

> Tu as celle ci, pas donnée mais très sérieuse:
> http://www.sapoimplantprothese.com/programme

amha il y a moyen de faire tout aussi sérieux mais bien plus abordable....

pourquoi pas posit...par contre il faut pouvoir se loger car la formation durera sans doute plusieurs jours...


Photo pluton1b h9n4ea - Eugenol
pluton

05/01/2017 à 10h47

Protée écrivait:
----------------

> Tu vas être déçu car DrMarcus dit qu'il n'y a pas de cas compliqué juste des
> sommes de cas simple...et ça marche pour moi!

la prothèse sur implant n'est pas très compliquée...MAIS çà demande de la rigueur et de la méthode...


atrax

05/01/2017 à 10h59

C'est bon pour moi. ;D Vive eugenol!


masterbibop

05/01/2017 à 11h33

drmarcus écrivait:
------------------
> masterbibop écrivait:
> ---------------------
>
> >
> > 3 solutions en fonction des cas: sceller transvissee, pilier multi, et il
> > semble, et je ne connais pas, des piliers sans indexation. Dans tous les cas,
> je
> > ne connais toujours pas ton avis et tes solutions sur ce cas que je recupere d
> > un confrere et pour lequel je cherche les nmeilleurs solutions a long terme.
>
> Tu as déjà eu tous les éléments nécessaires. Pluton a été très très explicite.
> Une seule chose n'a pas été cité parce que nous pensons que c'est évident.
> Pour vérifier que ce n'est pas de la provocation réponds à cette question et tu
> auras la réponse à ton problème:
> Quel est le premier point à prendre en compte pour la réalisation de prothèse
> sur implant?
>
>
> >
> > N etant pas implanto exclusif, comment revascularises tu 34 35 ?
>
> Je ne suis pas implanto exclusif! (Ca me saoulerait et je risquerais de perdre
> le contact avec la base de la dentisterie)
> La réponse était déjà dans le post! Vascularisation est le point clé pour la
> chirurgie et largement oublié en pratique quotidienne.
> Même chose que pour la prothèse: Comment procède t'on (quels sont les voies)
> pour améliorer une réponse osseuse en chirurgie?
>
> En l'absence de réponse fiable à ces deux questions, (Enseigné dés les premières
> heures de toute formation) désolé sans les bases le résultat ne peut être qu'un
> pis aller. Ou tu fais de la provocation à voir!

Je ne sais pas pourquoi tu te sens agressé et tu parles de provocation sans cesse !

J'ai un début DU j'ai posé pas mal d'implant simples (sinus lift..), et je n'ai jamais eu beaucoup de retours à moyen terme ...

La question est comment revascularises-tu un implant déjà posé. Si tu n'as pas envie de répondre, je ne peux pas te forcer.

Concernant mes questions, le DU d'implanto ne m'a pas enseigné beaucoup de choses là-dessus. Les premières choses que je regarde sont l'occlusion et l'axe des implants.
>
>
>
> --
> "La seule chose promise d'avance à l'échec, c'est celle que l'on ne tente pas"
> Paul Emile VICTOR


Photo pluton1b h9n4ea - Eugenol
pluton

05/01/2017 à 12h02

masterbibop écrivait:
---------------------

> J'ai un début DU j'ai posé pas mal d'implant simples (sinus lift..), et je n'ai
> jamais eu beaucoup de retours à moyen terme

donc tu poses des implants et tu n'as pas eu la curiosité de feuilleter le panorama prothétique du catalogue???
parce que les solutions que je t'ai énuméré...quasi tous les systèmes le proposent...

çà fait un peu: j'ai une caisse, je roule, mais je ne connais pas le code de la route....


Logo m4n3gc - Eugenol
drmarcus

05/01/2017 à 12h09


> > masterbibop écrivait:
> > ---------------------

> Je ne sais pas pourquoi tu te sens agressé et tu parles de provocation sans
> cesse !

Je ne me sens pas agresser mais très surpris!
>
> J'ai un début DU

Qu'appelles tu un début de DU ?

>
> La question est comment revascularises-tu un implant déjà posé. Si tu n'as pas
> envie de répondre, je ne peux pas te forcer.

Non je vais te répondre c'était pour jauger.
Pour revasculariser il faut soit le déposer et réaliser une greffe en fracturant tout l'os mandibulaire loin en arrière du site opératoire; soit tu conserves l'implant mais là je pense que la gestion est plus délicate si tu débutes.

>
> Concernant mes questions, le DU d'implanto ne m'a pas enseigné beaucoup de
> choses là-dessus.

Oui c'est bien ce que je pense beaucoup apprenne plus à ne pas faire que le reste...


Les premières choses que je regarde sont l'occlusion et l'axe
> des implants.
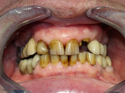
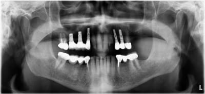
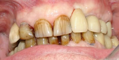
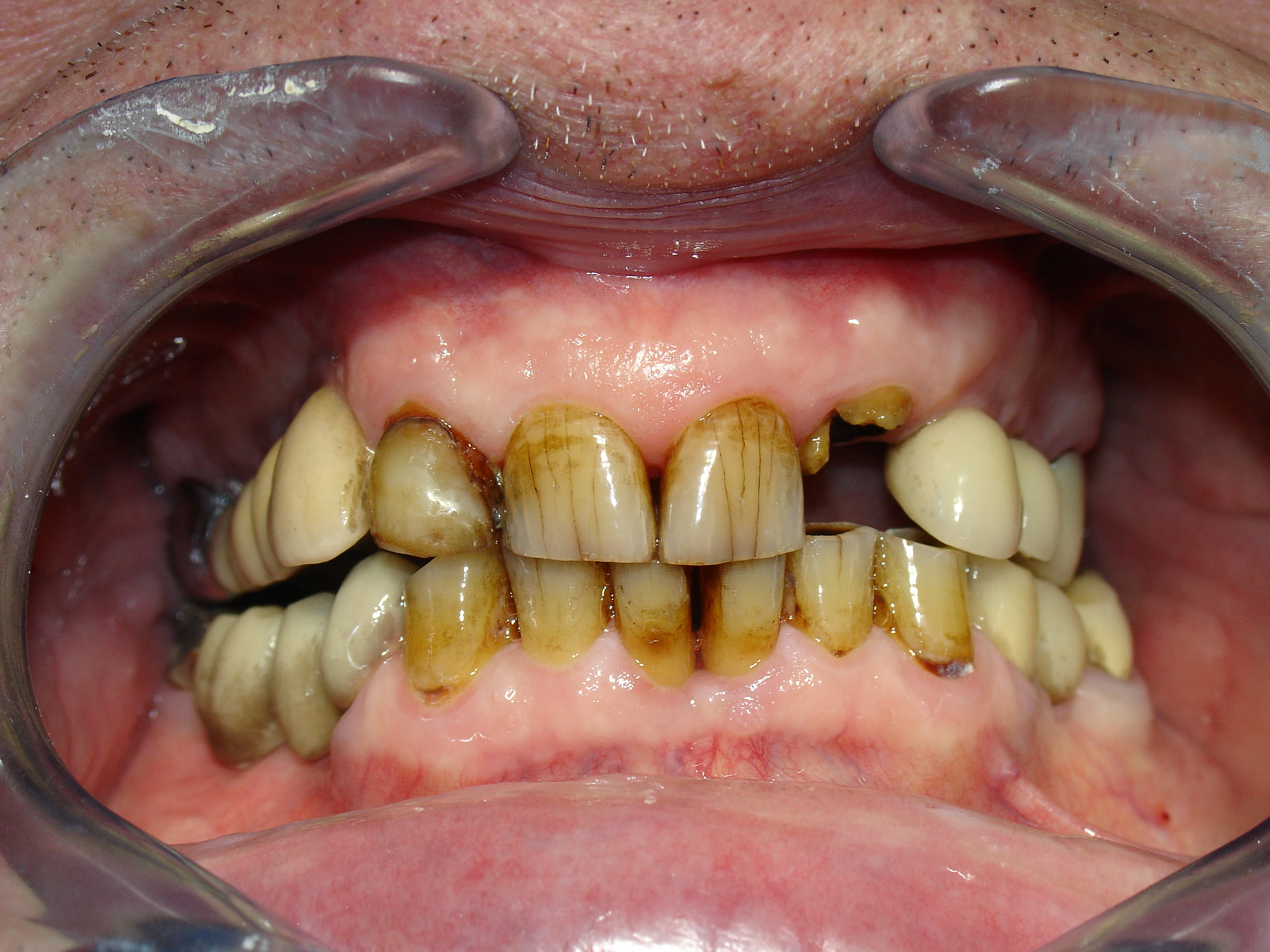
L'axe des implants est souvent un détail, sauf s'ils sortent du couloir prothétique. Par contre tu as raison l'occlusion est très importante. Je n'ai pas de modèle en visu mais à la pano je devine une extension mal venue avec surement un contact prématuré en mastication sur la molaire et une absence d'équilibration (ce qui a empêché de faire une petite extension distale pour stabilisation). Il n'y a aucun contact coté opposé. La hauteur de la couronne clinique est par ailleurs très importante ce qui implique un bras de levier énorme (les forces se développent de façon exponentielle). Dans ces conditions ce sera toujours un cas boulet quelque soit la solution.
Pardon j'en oublie une: tu mets tout en sous occlusion +++ et quelque soit la technique ça marche. J'ai un cas il faut juste que je le retrouve; coté droit fait par une "sommité" tout est en sous occlusion, par contre les implants sont posés parfaitement.



--
"La seule chose promise d'avance à l'échec, c'est celle que l'on ne tente pas" Paul Emile VICTOR


Logo m4n3gc - Eugenol
drmarcus

05/01/2017 à 14h10

Dans ce cas pas mal de problèmes... je m'en suis bien sorti vu les circonstances. Ce n'est pas le sujet!
Coté droit on devine l'absence de contact du bridge trans-vissé (qui en l'absence de réhabilitation à gauche) ne cessait de se dévisser !
Au final en retrouvant la mastication il a fracturé sa 22, arraché l'implant et sa provisoire à 1 mois post-op...quelle galère à gérer...
Enfin tout s'est pas trop mal terminé; cela aurait été mieux sans ces incidents. On a tous des problèmes il ne sert à rien de le nier; autant expliquer comment les résoudre.



--
"La seule chose promise d'avance à l'échec, c'est celle que l'on ne tente pas" Paul Emile VICTOR

Dou nrviyj - Eugenol
Dsc04312 ckyvs8 - Eugenol
Dsc05650 ppxvea - Eugenol
Dou1 mimt0b - Eugenol

masterbibop

05/01/2017 à 21h13

drmarcus écrivait:
------------------
>
> > > masterbibop écrivait:
> > > ---------------------
>
> > Je ne sais pas pourquoi tu te sens agressé et tu parles de provocation sans
> > cesse !
>
> Je ne me sens pas agresser mais très surpris!
> >
> > J'ai un début DU
>
> Qu'appelles tu un début de DU ?
>
> >
> > La question est comment revascularises-tu un implant déjà posé. Si tu n'as pas
> > envie de répondre, je ne peux pas te forcer.
>
> Non je vais te répondre c'était pour jauger.
> Pour revasculariser il faut soit le déposer et réaliser une greffe en fracturant
> tout l'os mandibulaire loin en arrière du site opératoire; soit tu conserves
> l'implant mais là je pense que la gestion est plus délicate si tu débutes.

Merci pour tes reponses. Je mets toujours mes couronnes sur imp en occlusion tres legere, je securise au maximum.

Pour le DU, dictee vocale non corrigee, je n'ai pas qu un debut de DU ;)
>
> >
> > Concernant mes questions, le DU d'implanto ne m'a pas enseigné beaucoup de
> > choses là-dessus.
>
> Oui c'est bien ce que je pense beaucoup apprenne plus à ne pas faire que le
> reste...
>
>
> Les premières choses que je regarde sont l'occlusion et l'axe
> > des implants.
> L'axe des implants est souvent un détail, sauf s'ils sortent du couloir
> prothétique. Par contre tu as raison l'occlusion est très importante. Je n'ai
> pas de modèle en visu mais à la pano je devine une extension mal venue avec
> surement un contact prématuré en mastication sur la molaire et une absence
> d'équilibration (ce qui a empêché de faire une petite extension distale pour
> stabilisation). Il n'y a aucun contact coté opposé. La hauteur de la couronne
> clinique est par ailleurs très importante ce qui implique un bras de levier
> énorme (les forces se développent de façon exponentielle). Dans ces conditions
> ce sera toujours un cas boulet quelque soit la solution.
> Pardon j'en oublie une: tu mets tout en sous occlusion +++ et quelque soit la
> technique ça marche. J'ai un cas il faut juste que je le retrouve; coté droit
> fait par une "sommité" tout est en sous occlusion, par contre les implants sont
> posés parfaitement.
>


Merci pour tes reponses. Je mets toujours mes couronnes sur imp en occlusion tres legere, je securise au maximum.

Pour le DU, dictee vocale non corriger, je n'ai pas qu un debut de DU ;)
>
>
> --
> "La seule chose promise d'avance à l'échec, c'est celle que l'on ne tente pas"
> Paul Emile VICTOR


masterbibop

05/01/2017 à 21h23

pluton écrivait:
----------------
> masterbibop écrivait:
> ---------------------
>
> > J'ai un début DU j'ai posé pas mal d'implant simples (sinus lift..), et je
> n'ai
> > jamais eu beaucoup de retours à moyen terme
>
> donc tu poses des implants et tu n'as pas eu la curiosité de feuilleter le
> panorama prothétique du catalogue???
> parce que les solutions que je t'ai énuméré...quasi tous les systèmes le
> proposent...
>
> çà fait un peu: j'ai une caisse, je roule, mais je ne connais pas le code de la
> route....


Evidemment que si, mais je ne connais pas tout. Je fais globalementdu tranvisse, du scelle et du multiunits

Mais je me suis toujours demande si le multiunit etait aussi solide que du tranvisse lui meme aussi solide que du scellé! Je n'ai jamais vraiment trouvé de réponses...

non plus si techniquement, deux tranvissees jumelees etaient techniquement possible, les implants n'etant jamais parfaitement paralelles, il y a forcement un hexagone qui ne sera pas en place correctement. Je ne sais pas pourquoi ces questions posent probleme, je les ai posees au DU, reponses differentes a chaque fois! Difficile de se reperer !


Photo pluton1b h9n4ea - Eugenol
pluton

05/01/2017 à 21h46

c'est parce que la plupart de tes profs de DU sont des brèles en mécanique...

bon, ensuite plus tu as d'étages vissés les uns sur les autres plus tu multiplies les risques de mauvais positionnement/vissage donc tu augmentes le risque de dévissage...
c'est pas forcément moins solide, mais moins fiable...c'est comme sur une bagnole, plus tu as d'options, plus tu as d'électronique et de risque de voir ton combiné se transformer en sapin de Noël...

2 transvissées solidaires c'est parfaitement possible, les contraintes liées à l'axe/position des implants je te l'ai déjà dit, c'est lié à la connexion de l'implant: à plat comme pour ces serf tu fais quasiment ce que tu veux et plus çà devient "morse" plus c'est difficile à faire...
dans ce cas de "bridges" 2 ou plus couronnes solidarisées transvissées, il faut utiliser des composants prothétiques qui N'ENGAGENT PAS l'hexagone
c'est certainement cette option qui devait être prévue dans ton cas...sauf que le confrère ou son protho ont du s’apercevoir après coup que çà marcherait pas vu l'axe de l'implant le plus mésial, mais ils ont eu la flemme de commander les bonnes pièces prothétiques (avec engagement de l'hexagone) pour faire de la scellée...
comme tu le vois, la bidouille sans rigueur, çà ne fonctionne qu'un temps...
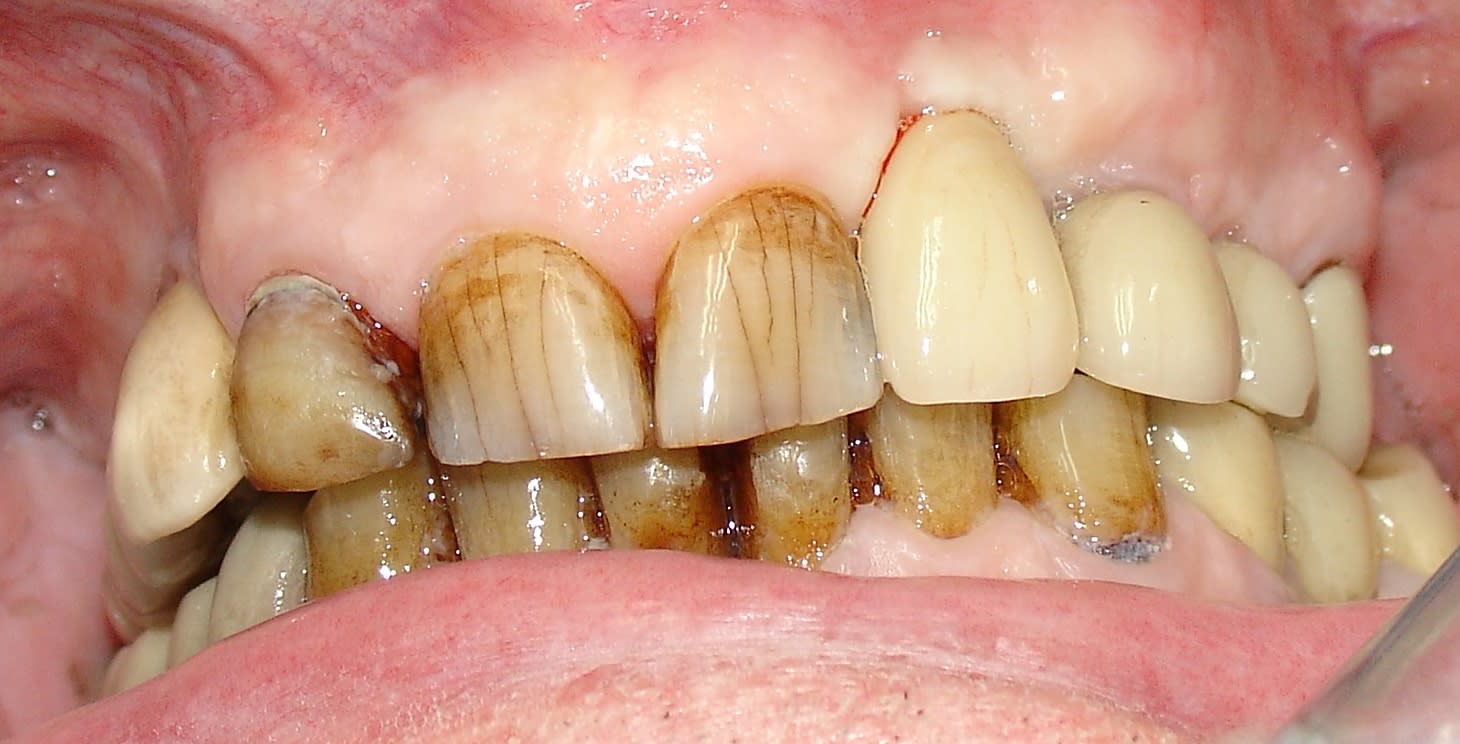
petite remarque supplémentaire, au vues de ta rétro...je suis même pas certain que le prothésiste n'ait pas utilisé une mauvaise référence de pilier pour l'implant le plus distal car le petit "cône" qui rentre dans l'implant semble vraiment de faible diamètre pour cet implant...


masterbibop

05/01/2017 à 23h17

pluton écrivait:
----------------
> c'est parce que la plupart de tes profs de DU sont des brèles en mécanique...
>
> bon, ensuite plus tu as d'étages vissés les uns sur les autres plus tu
> multiplies les risques de mauvais positionnement/vissage donc tu augmentes le
> risque de dévissage...
> c'est pas forcément moins solide, mais moins fiable...c'est comme sur une
> bagnole, plus tu as d'options, plus tu as d'électronique et de risque de voir
> ton combiné se transformer en sapin de Noël...
>
> 2 transvissées solidaires c'est parfaitement possible, les contraintes liées à
> l'axe/position des implants je te l'ai déjà dit, c'est lié à la connexion de
> l'implant: à plat comme pour ces serf tu fais quasiment ce que tu veux et plus
> çà devient "morse" plus c'est difficile à faire...
> dans ce cas de "bridges" 2 ou plus couronnes solidarisées transvissées, il faut
> utiliser des composants prothétiques qui N'ENGAGENT PAS l'hexagone
> c'est certainement cette option qui devait être prévue dans ton cas...sauf que
> le confrère ou son protho ont du s’apercevoir après coup que çà marcherait pas
> vu l'axe de l'implant le plus mésial, mais ils ont eu la flemme de commander les
> bonnes pièces prothétiques (avec engagement de l'hexagone) pour faire de la
> scellée...
> comme tu le vois, la bidouille sans rigueur, çà ne fonctionne qu'un temps...
> petite remarque supplémentaire, au vues de ta rétro...je suis même pas certain
> que le prothésiste n'ait pas utilisé une mauvaise référence de pilier pour
> l'implant le plus distal car le petit "cône" qui rentre dans l'implant semble
> vraiment de faible diamètre pour cet implant...

Merci pour ta reponse...
Grosse flemme alors... faire du scellé avec des piliers pour tranvissees, de mauvais diametre en sus, c'est quand meme culotté !

Bon, je vais partir sur du scellé... comme je fais toujours ceinture et bretelles, je scellais toujours au fuji... erreur.... si je passe au ciment temporaire pour demonter en cas de probleme, que me
Conseilles tu : temp bond ou temposyl 2 ? Ou autre...?


Photo pluton1b h9n4ea - Eugenol
pluton

05/01/2017 à 23h39

perso je scelle toujours avec un polycarboxylate pour l'implanto car c'est un ciment à l'eau donc soluble avant prise...

mais si je devais utiliser un ciment prov, je prendrais plutôt un truc comme celui-ci

http://www.itena-clinical.com/fr/gamme-de-produits/scellement/87-dentotemp.html


Utilisateur banni

06/01/2017 à 18h41

Dans ce contexte occlusal la prothèse implant-portée secteur 1 n'est pas soumise à rude épreuve?


Blocperso talon jer3sl - Eugenol
mrquentin

09/01/2017 à 00h13

drmarcus écrivait:
------------------

> Pour revasculariser il faut soit le déposer et réaliser une greffe en fracturant
> tout l'os mandibulaire loin en arrière du site opératoire; soit tu conserves
> l'implant mais là je pense que la gestion est plus délicate si tu débutes.


Hello,
pourrais tu développer ce que tu entends pas fracturer tout l'os mandibulaire loin en arrière du site opératoire? et de meme, comment ferais tu en conservant l'implant? piquet de tente avec mix xéno/autogène?


Logo m4n3gc - Eugenol
drmarcus

09/01/2017 à 10h12

mrquentin écrivait:

>
> Hello,
> pourrais tu développer ce que tu entends pas fracturer tout l'os mandibulaire
> loin en arrière du site opératoire? et de meme, comment ferais tu en conservant
> l'implant? piquet de tente avec mix xéno/autogène?

Je créerai un post après le 16/01. Je revois justement un cas en cours; comme les photos passent à nouveau.
Par ailleurs un peu trop occupé en ce moment.

Le titre du post sera: Peri-implantite vs vascularisation / état de surface.


--
"La seule chose promise d'avance à l'échec, c'est celle que l'on ne tente pas" Paul Emile VICTOR


Smile beach jgh0a1 - Eugenol
Céramik

09/01/2017 à 17h21

drmarcus écrivait:
------------------
> Dans ce cas pas mal de problèmes... je m'en suis bien sorti vu les
> circonstances. Ce n'est pas le sujet!


Les implants, la prothèse sur implant...
Ce qui manque à ce cas c'est du global
La fonction, occlusion, est...simplement horrible...
C'est comme placer des pneus neufs sur une bagnole qui roule de travers...et après on se demande pourquoi ça tient pas.


--
Céramik


12