Cookie Consent byPrivacyPolicies.combadaboum - Eugenol
Cmu2lux qdcbcg - Eugenol
damon huck

04/01/2017 à 11h54

Le monsieur fait une chute dans les escaliers
fracture du nez...pimpon pimpon...
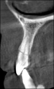
Je le vois en décembre 15j après le trauma pour faire le bilan. Puis un collage /contention sur 22 fracturée et cone beam. Brossage compliqué car grosses douleurs

extraction implant 3mmx14
1° est-ce que vous apporteriez d'emblée du conjonctif pour éviter l'affaissement de la gencive?
2° provisoire sur l'implant ou bridge à ailettes pour temporiser?

le petit bonus la fracture de l'apex de 11 jusqu'ici passée inaperçue vu les douleurs de l'autre côté.

Pkghczcgqbov3lzzcitv - Eugenol
Rogbeo6xdcnld91f6huf - Eugenol
Aji8lvkmrgrnswdu90o1 - Eugenol
Vptdjiigklbalcrxopgz - Eugenol
Xytvzew4nmbjzjg8nhec - Eugenol

Photo pluton1b h9n4ea - Eugenol
pluton

04/01/2017 à 12h15

conjonctif, pourquoi pas...
et pourquoi pas une mise en esthétique immédiate avec un pilier prov? tu devrais pouvoir stabiliser suffisamment


ziyous

04/01/2017 à 22h42

...ou une égression orthodontique rapide du fragment coronaire, tu auras assez de gencive. puis extraction du reste de la racine, implantation, puis lambeau partiel déplacé apicalement.
comme provisoire, la couronne collée au Bk.


Logo m4n3gc - Eugenol
drmarcus

05/01/2017 à 08h08

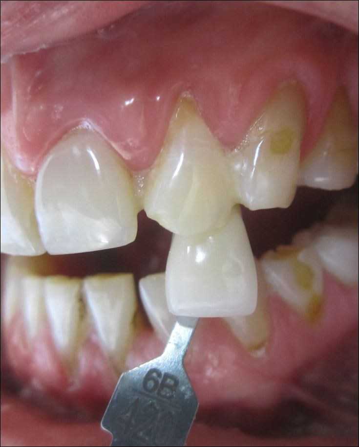
Ok mais sur la photo 2/5 quid de la 11? Sinon utilises la couronne naturelle des dents pour la MCI. Le résultat est parfait dans ces conditions.


--
"La seule chose promise d'avance à l'échec, c'est celle que l'on ne tente pas" Paul Emile VICTOR


Aiguille cyboyt - Eugenol
fatboy

05/01/2017 à 13h02

drmarcus écrivait:
------------------
Comment tu fais, tu evides la couronne, pour ensuite la rebaser sur un pilier provisoire?
Je t'avoue que ca parait beaucoup plus simple d'utiliser un moule IOn.


Photo pluton1b h9n4ea - Eugenol
pluton

05/01/2017 à 13h11

fatboy écrivait:
----------------
> drmarcus écrivait:
> ------------------
> Comment tu fais, tu evides la couronne, pour ensuite la rebaser sur un pilier
> provisoire?
> Je t'avoue que ca parait beaucoup plus simple d'utiliser un moule IOn.

c'est exactement çà...;-)
fraise diam, tu évides et tu colles/rebase avec un compo flow sur le pilier prov pour faire une transvissée
par contre, nécessite une pose parfaite de l'implant...

solution bis: un pilier prov ou normal retouché et rebasage avec de la résine auto si tu as un implant dont l'émergence n'est pas top...

alors oui, le moule ion c'est plus simple...mais esthétiquement...çà n'a rien à voir...