Cookie Consent byPrivacyPolicies.comLa meilleure obturation c'est la pulpe.... Ah bon ?😊 - Eugenol

La meilleure obturation c'est la pulpe.... Ah bon ?😊

Utilisateur banni

08/01/2017 à 18h15

il paraîtrait d'après ce qui est dit dans les facs que la meilleure obturation c'est la pulpe 😊
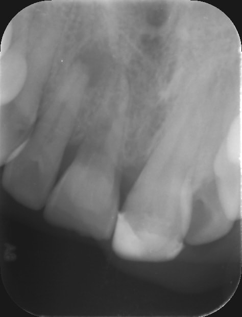
-> y a qu'à voir la radio que je mets dans mon post ... nécrose sans aucune carie sur la dent. On peut avoir des nécroses sur des incisives comme sur des molaires sans aucune carie. Peut être faut il laisser ça en l'état puisque paraît il la meilleure obturation c'est la pulpe.😊
-> tiens quand j'y pense quand vous avez une fêlure et que vous essayez de conserver la dent, pourquoi dépulper ? Puisque paraît il la meilleure obturation c'est la pulpe, autant laisser la pulpe voyons😊
-> c'est marrant on voit des nécroses sur dents sans carie et qui n'ont pas subi de choc. Si la meilleure obturation était la pulpe on ne verrait pas de lésions ... vous croyez pas ?
-> Entre une dent couronnée parfaitement dépulpée avec une bonne irrigation-obturation et une dent couronnée non dépulpée où le risque de percolation bacterienne est présent, laquelle choisissez vous?
-> Entre un onlay proche de la pulpe vivante et un onlay sur dent parfaitement dépulpée, lequel choisissez vous ? Lequel des deux va vous permettre de mieux dormir sur vos deux oreilles ?

Qwbk281vwmvcowoh9kbq - Eugenol

South park   craig te7bfk - Eugenol
CRAIG

08/01/2017 à 20h26

Toi tu t'es posé des questions métaphysiques cette nuit... ;-)


Img 9301 q0yyqn - Eugenol
Art-dent

08/01/2017 à 20h34

CRAIG écrivait:
---------------
> Toi tu t'es posé des questions métaphysiques cette nuit... ;-)

Sans doute... mais pas les bonnes!!
Il n'y a rien de logique dans ton message Junior...

--


carident

08/01/2017 à 20h36

junior® écrivait:
-----------------
> il paraîtrait d'après ce qui est dit dans les facs que la meilleure obturation
> c'est la pulpe 😊

En fait, il faut comprendre : la pulpe vivante!
Car au contraire de la pulpe vivante, le parenchyme pulpaire nécrosé est un excellent terreau pour les infections...

> -> c'est marrant on voit des nécroses sur dents sans carie et qui n'ont pas subi
> de choc. Si la meilleure obturation était la pulpe on ne verrait pas de lésions
> ... vous croyez pas ?

Les patients ne se souviennent pas nécessairement du choc ou de la concussion à l'origine de la fêlure et/ou de la nécrose...


Capture d  cran 2015 03 12 12.28 - Eugenol
chicot29

08/01/2017 à 22h19

Tu as raison junior. Rien ne vaut une bonne endo mais scellée avec un bon inlay core par dessus.
Pour preuve la sécu rembourse mieux l'inlay core que la couronne ! -)


--
En cas d'échec des négociations conventionnelles, seriez-vous prêt à suivre la promotion d'un déconventionnement massif de la profession par les syndicats représentatifs ? OUI - NON
Participez, anonymement, sur https://goo.gl/forms/nAO0htnsVmxotjYm1


Utilisateur banni

08/01/2017 à 22h26

Art-dent écrivait:
------------------
> CRAIG écrivait:
> ---------------
> > Toi tu t'es posé des questions métaphysiques cette nuit... ;-)
>
> Sans doute... mais pas les bonnes!!
> Il n'y a rien de logique dans ton message Junior...

Ah y a rien de logique ?
Et ben regarde voir un peu plus l'apex des dents avec un onlay proche de la pulpe 😉


6szjws718sv1jksw54v4mpj3a6cu - Eugenol
vulpi

08/01/2017 à 22h32

Qu'est-il arrivé à la 21?


Vw campersurfvan bmnk1q - Eugenol
enlaye

08/01/2017 à 22h33

J aime bien ta faculté a tout remettre en question .
Par contre du coup ,je ne comprends pas ton fantasme de l irrigation .


carident

08/01/2017 à 22h36

enlaye écrivait:
----------------
> J aime bien ta faculté a tout remettre en question .
> Par contre du coup ,je ne comprends pas ton fantasme de l irrigation .

Rien de tel qu'une bonne irrigation pour faire germer les nouvelles interrogations :-)


carident

08/01/2017 à 22h40

vulpi écrivait:
---------------
> Qu'est-il arrivé à la 21?

21 bord libre cassé
+ perte osseuse localisée caractéristique d'un trauma occlusale répété.

La 12 doit être un peu mobile, non?
Il n'y a pas de dents manquantes au niveau des secteurs postérieurs?


Utilisateur banni

08/01/2017 à 22h51

En ce moment je suis abonné aux traumatismes 😊
Choc En 2014
Le patient vient aujourd'hui pour que je lui réaligne tout ça. Pas du tout mal le mec. Il vient juste pour l'esthétisme
Y a une des deux centrales qui a été apparemment repositionnée
Une des deux centrales qui est nécrosée
Et la latérale avec la lésion ne bouge pas.
T'en fais pas y aura une bonne irrigation 😊😊😊

À mes débuts j'irriguais tellement et je faisais tellement des mouvements de pompe que j'ai eu un coup un bel emphysème. Depuis je me suis calmé j'irrigue avec plus de douceur (une patiente avec une centrale sur laquelle il fallait mettre une couronne, 80 balais, canal calcifié à mort, avec mes inserts j'avais réussi à creuser et retrouver le canal à 4 mm de l'apex, en gros les 4/5 avait été préparé avec mes inserts, j'avais irrigué comme un sauvage et Bing emphysème : j'avais pas l'air bête ---> mais content quand même du travail, car elle a maintenant sa couronne)


6szjws718sv1jksw54v4mpj3a6cu - Eugenol
vulpi

08/01/2017 à 23h00

enlaye écrivait:
----------------
> J aime bien ta faculté a tout remettre en question .
> Par contre du coup ,je ne comprends pas ton fantasme de l irrigation .

Faut qu'il en mette plein plein le trou, en pompant, beaucoup, tout partout.
Il te la dit, il a eu un accident, un emphysème qu'il dit, la victime c'est mise à gonfler, ça arrive quand on ne prend pas assez de précautions;-)) ...


Img 9301 q0yyqn - Eugenol
Art-dent

08/01/2017 à 23h01

junior® écrivait:
-----------------
> il paraîtrait d'après ce qui est dit dans les facs que la meilleure obturation
> c'est la pulpe 😊
> -> y a qu'à voir la radio que je mets dans mon post ... nécrose sans aucune
> carie sur la dent. On peut avoir des nécroses sur des incisives comme sur des
> molaires sans aucune carie. Peut être faut il laisser ça en l'état puisque
> paraît il la meilleure obturation c'est la pulpe.😊

Comme écrit plus haut, c'est la pulpe vivante qu'il faut comprendre et je rajouterai surtout en "bonne santé". Une dent en pulpite chronique, la pulpe n'est pas la meilleure obturation

> -> tiens quand j'y pense quand vous avez une fêlure et que vous essayez de
> conserver la dent, pourquoi dépulper ? Puisque paraît il la meilleure obturation
> c'est la pulpe, autant laisser la pulpe voyons😊

Sauf que ta fissure, fêlure induit une percolation bactérienne et une inflammation pulpaire, ce n'est donc plus une pulpe en bonne santé...

> -> c'est marrant on voit des nécroses sur dents sans carie et qui n'ont pas subi
> de choc. Si la meilleure obturation était la pulpe on ne verrait pas de lésions
> ... vous croyez pas ?

Dans ton cas : bord libre fracturé sur 21, résorption sur 11 et nécrose sur 12 et tu veux nous faire croire qu'il n'y a pas eu de trauma?
Une nécrose n'est pas spontanée, il y'a des éléments déclencheurs, mais il est parfois difficile de les mettre en évidence. Des fissures amelaires peuvent conduire à une percolation bactérienne et aboutir à la nécrose. Sur les incisives par exemple tu peux avoir un cingulum très marqué et provoqué une infiltration. Des microtraumatismes répétés, etc, etc...

Bref, c'est pour ça que je t'ai répondu qu'il n'y avait rien de logique et je te le confirme

PS : pour moi ce n'est pas la 12 le principal souci sur ta radio mais bien la 11



--


6szjws718sv1jksw54v4mpj3a6cu - Eugenol
vulpi

08/01/2017 à 23h01

Et si ça se trouve il prend une loupe pour observer le truc.
En revanche 80 balais, c'est un record! Une première médicale!


Utilisateur banni

08/01/2017 à 23h04

Vous avez jamais eu d'emphysème ?
Quand ça t'arrive t'as pas l'air con, c'est assez impressionnant
J'ai pas parlé de trou Vulpi 😊, j'ai juste parlé d'effet de pompe. Vous avez vraiment les idées mal placées les vieilles branches


RépondreCiter
carident

08/01/2017 à 23h05

junior® écrivait:
-----------------
> À mes débuts j'irriguais tellement et je faisais tellement des mouvements de
> pompe que...

Problème de jeunesse... Tu verras avec l'âge tu irrigueras et tu pomperas moins :-)


Utilisateur banni

08/01/2017 à 23h05

vulpi écrivait:
---------------
> Et si ça se trouve il prend une loupe pour observer le truc.
> En revanche 80 balais, c'est un record! Une première médicale!

70-80 ans je t'assure : c'est l'une de mes plus grosse boulette d'ailleurs cette histoire d'emphysème


6szjws718sv1jksw54v4mpj3a6cu - Eugenol
vulpi

08/01/2017 à 23h06

Soit dit en passant, si il y a eu trauma, normalement il y a une surveillance radio afin de dépister les nécroses, 3, 6 mois puis tout les ans.


6szjws718sv1jksw54v4mpj3a6cu - Eugenol
vulpi

08/01/2017 à 23h09

junior® écrivait:
-----------------
> vulpi écrivait:
> ---------------
> > Et si ça se trouve il prend une loupe pour observer le truc.
> > En revanche 80 balais, c'est un record! Une première médicale!
>
> 70-80 ans je t'assure : c'est l'une de mes plus grosse boulette d'ailleurs cette
> histoire d'emphysème

ça m'est aussi arrivé, une boulette de jeunesse, mais la victime n'avait que 24 ans, affaire de goût;


Utilisateur banni

08/01/2017 à 23h11

oui pour la 11 on a l'impression qu'il y a une résorption. Je vais refaire une radio plus nette


6szjws718sv1jksw54v4mpj3a6cu - Eugenol
vulpi

08/01/2017 à 23h14

normalement le mouvement de va et vient sans buter et sans forcer est fait pour éviter les accidents.

Bon j'ai bien fait avaler une lime k 25 a une mamie dans les 80 ans, nous sommes frères d'armes au final.


Utilisateur banni

08/01/2017 à 23h14

vulpi écrivait:
---------------
> Soit dit en passant, si il y a eu trauma, normalement il y a une surveillance
> radio afin de dépister les nécroses, 3, 6 mois puis tout les ans.

Je sais bien !
C'est pas mon patient à la base. La surveillance n'a pas été faite visiblement.
C'était une première consultation et la première fois que je le voyais


Utilisateur banni

08/01/2017 à 23h19

Art dent : t'as jamais vu de dent avec Onlay qui se termine En nécrose ? Et pourtant la pulpe au départ était nickel ....

-> ce que je veux dire par là : une bonne pulpec est parfois bien préférable que de suivre cette idée de "la meilleure obturation c'est la pulpe"


6szjws718sv1jksw54v4mpj3a6cu - Eugenol
vulpi

08/01/2017 à 23h28

junior® écrivait:
-----------------
> Art dent : t'as jamais vu de dent avec Onlay qui se termine En nécrose ? Et
> pourtant la pulpe au départ était nickel ....
>
> -> ce que je veux dire par là : une bonne pulpec est parfois bien préférable que
> de suivre cette idée de "la meilleure obturation c'est la pulpe"

Moins de soucis avec les CR sur dents vivantes, plus de délabrement, mais superficiel.
Les onlays parfois descendent vraiment "bas", les tubuli sont de grands diamètres.
Bizarrement on voit moins ce phénomène sous des amalgames +++, une explication? Probablement une piste bactérienne, ou un matériau cyto-toxique.


Utilisateur banni

08/01/2017 à 23h38

Idem pour ceux qui font des coiffages pulpaires directs
Ça se finit comment ? Ah ah .... et ben le mec est sensible au froid OU alors ça se finit en pulpite carabinée ou nécrose
Alors "la meilleure obturation c'est la pulpe" c'est bien pour amuser la galerie sauf que dans la réalité c'est pas forcément vrai

Alors la meilleure obturation c'est la pulpe art dent? T'en es toujours aussi sûr ?😊


12...