Tous les forums
La meilleure obturation c'est la pulpe.... Ah bon ?😊
22/02/2017 à 12h31
demande au prothésiste de laisser un évidement central du diamètre de ton foret pilote :)
--
ici bientôt de la pub pour hodina .
22/02/2017 à 15h34
Oui mais bon ca va etre bien remboursé....C'est le principal. -))))
--
En cas d'échec des négociations conventionnelles, seriez-vous prêt à suivre la promotion d'un déconventionnement massif de la profession par les syndicats représentatifs ? OUI - NON
Participez, anonymement, sur https://goo.gl/forms/nAO0htnsVmxotjYm1
22/02/2017 à 17h38
c'est ça qu'il aime le Vulpi : le petit dépassement de pâte qui fait bien plaisir
(Juste histoire que le patient ait un peu mal et pense un peu à moi )
22/02/2017 à 19h29
Ben fallait que je me tape le mv2 et puis le D qui était assez courbé au 1/3 (Ca se voit pas trop sur la radio) donc j'ai pas eu le temps. Dès fois faut savoir ne pas avoir les yeux plus gros que le ventre 😉. Donc la 7 c'est pour plus tard
22/02/2017 à 19h59
junior® écrivait:
-----------------
> Étant donné que vous aimez les clavettes : je vous en remets une louche .
> Là c'est une dent à raz. C'est ce que j'appelle un pré-Implant.
So dangerous
--
De l'influence des rayons gamma sur le comportement des marguerites
23/02/2017 à 12h19
ç est l'acier ,ç est l'acier :-))))
l'important ç est d'aller bien jusqu'au bout ,qu'ils disaient ,là je crois que ç est bon :-))))))
23/02/2017 à 14h25
Je suis en train de tester un autre labo spécialisé en "chinoiserie" comme le dit Enlaye.
Là je leur ai demandé de me faire une prémolaire ayant une forme de canine . (Absence de canine)
23/02/2017 à 16h19
Et là c'est 13-14-15 bridge CCM ... toujours le nouveau labo spécialisé en chinoiserie que je suis en train de tester
23/02/2017 à 18h10
junior® écrivait:
-----------------
> Et là c'est 13-14-15 bridge CCM ... toujours le nouveau labo spécialisé en
> chinoiserie que je suis en train de tester
Tu n'as plus qu'à refaire le bloc incisivo-canin de la même teinte et ce sera nickel.
23/02/2017 à 18h34
Qu'est ce qu'il a le vulpi ? Il est de mauvaise humeur aujourd'hui 😊... c'est pas de la ceramo céramique... une CCM a toujours un aspect plus opaque que les ccc. Un poil de cul plus jaune si tu préfères
25/02/2017 à 17h43
et celle là c'est pas de la même teinte Vulpi ? On fait moins le malin tout d'un coup. On l'entend plus le Vulpi :)) . On fait profil bas :)
La 12 était comme la 22 , donc correction de la rotation.
Pas la peine de me dire qu'il y a les composites sur les dents d'à coté à refaire. Je commence à vous connaître
Y a la 11 dépulpée qui sera couronnée plus tard (un peu plus jaune la 11)
25/02/2017 à 17h53
Au fait on a perdu le suceur de moignons en route ...
25/02/2017 à 18h35
painturlurage apical, chez les nauséeux l'argentique c'est pas mal, moins encombrant qu'un capteur, faut que je m'achète un pspix rapport à l'encombrement.
23/03/2017 à 20h49
lardonbis écrivait:
-------------------
" par contre si tu à un petit topo sur le choix des fils je prend. "
quand tu mets le fil ,ç est pour se faciliter la vie ,pour pas s'emmerder lors de la taille- l'empreinte .
donc ça doit etre simple et tres rapide ,sans anesthesie bien sur .
une regle d"or : plus tu mets petit ,plus ça rentre facile .
l'important ç est de le mettre au moins devant , ç est suffisant .là ou tu veux etre le plus infra ou plutot ,on va dire le moins supra .
perso ,je n'utilise que le ;00 jaune et noir de ultrapak .
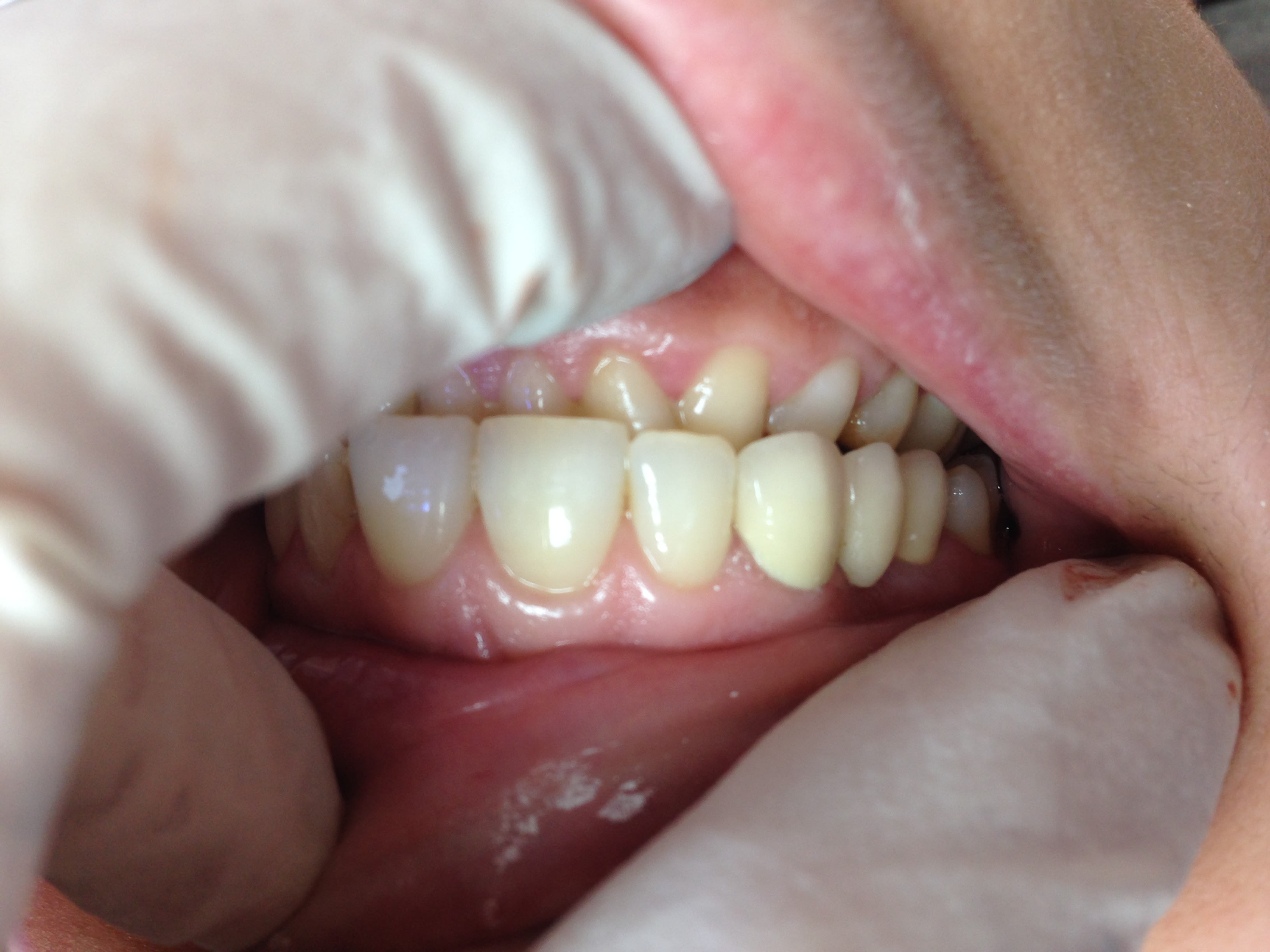
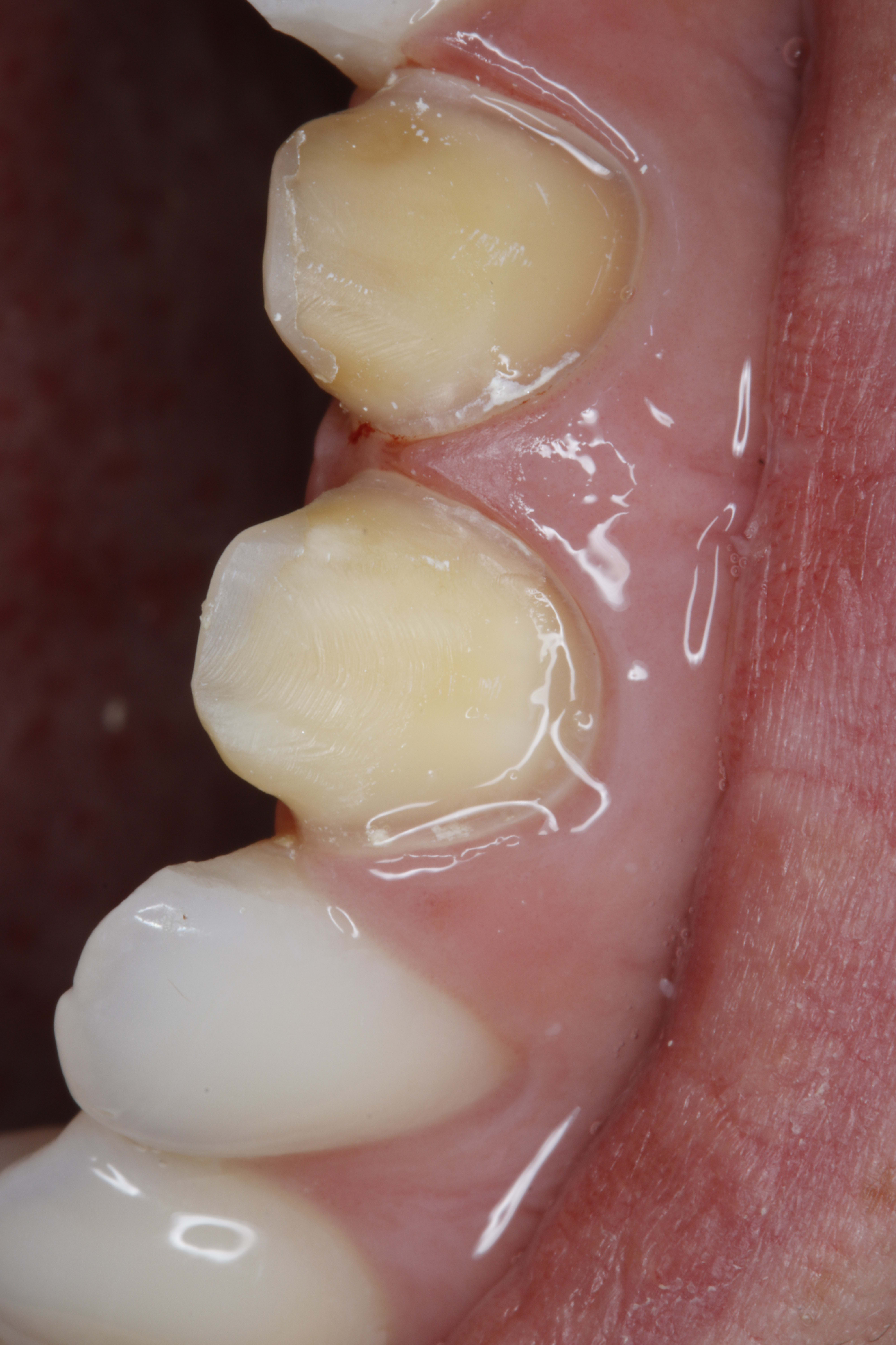
je te mets 1 exemple en 3 photos
23/03/2017 à 20h52
là ,on est à la 2eme seance ,apres la 1ere seance de taille rapidos et avant empreinte .
regardes bien les limites ,elles on l'air bien placées ,non ?
23/03/2017 à 20h58
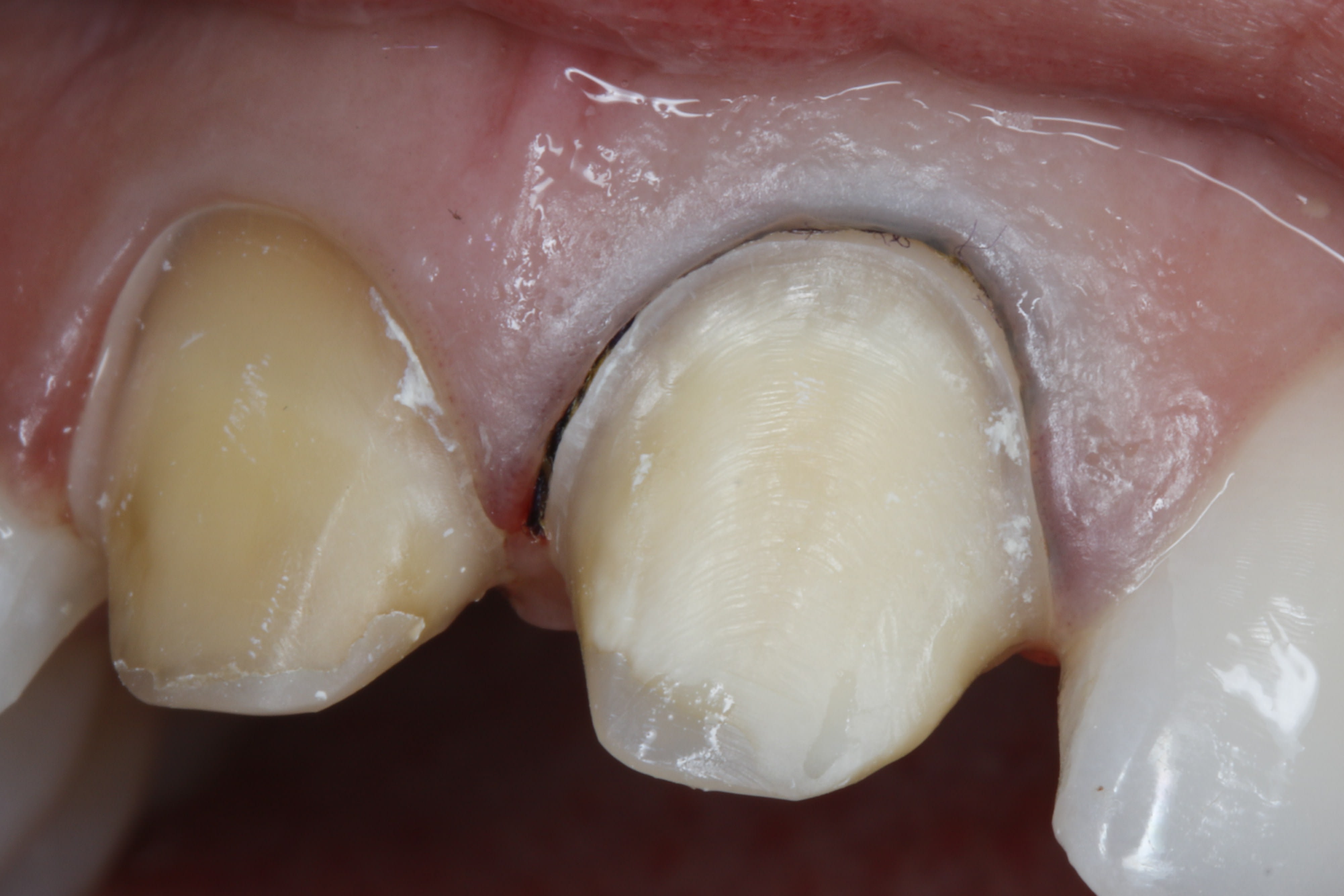
et pourtant ,si on met le fil ,on voit une nette difference entre la limite et le niveau gingival .et pas d'une façon homogène .
ç est cette difference qu'il faut reprendre ,et UNIQUEMENT cette difference .
si tu ne mets pas le fil ,t'y en sais rien .
23/03/2017 à 21h00
donc un petit coup de finition jusquau fil ,et hop empreinte ,fil en place ,bien sur.
facile ,non ?
23/03/2017 à 21h35
Ben pendant qu'on y est dans le concret , tu fais comment pour tailler ? tu commences par où, quelles fraises ? histoire de savoir si je ne m'y prends pas comme un manche parce que c'est pas ce que je préfère !!
23/03/2017 à 21h59
enlaye écrivait:
----------------
> donc ça doit etre simple et tres rapide ,sans anesthesie bien sur .
> une regle d"or : plus tu mets petit ,plus ça rentre facile .
> l'important ç est de le mettre au moins devant , ç est suffisant .là ou tu veux
Ah!... Voilà pourquoi j'y arrive pas.
23/03/2017 à 23h20
moi aussi quand ca me prend de mettre un fil j'utilise du 000 , 00 ou 0 mais très sincèrement je m'en passe dans pas mal de cas. Et avec une bonne wash y a pas de sous ou sur contour et en plus pas d'agression de la gencive par ces cordonnets.
Tu mets systématiquement des cordonnets Enlaye ?
24/03/2017 à 00h50
Céramik écrivait:
-----------------
" 2 séances pour ces tailles ?
Tu as photo avant les tailles ?"
oui 2 pour celles là comme pour toutes les autres depuis 30 ans .
2 ç est le minimum syndical.
les photos avant ? heu oui certainement ,faut que je les retrouve ,je les ai prise le jour de la 1ere taille ,çad il y a 1 mois .