Cookie Consent byPrivacyPolicies.comLa meilleure obturation c'est la pulpe.... Ah bon ?😊 - Eugenol

La meilleure obturation c'est la pulpe.... Ah bon ?😊

Generique fraisage r2rxmm - Eugenol
lardonbis

22/02/2017 à 12h31

demande au prothésiste de laisser un évidement central du diamètre de ton foret pilote :)


--
ici bientôt de la pub pour hodina .


Capture d  cran 2015 03 12 12.28 - Eugenol
chicot29

22/02/2017 à 15h34

Oui mais bon ca va etre bien remboursé....C'est le principal. -))))


--
En cas d'échec des négociations conventionnelles, seriez-vous prêt à suivre la promotion d'un déconventionnement massif de la profession par les syndicats représentatifs ? OUI - NON
Participez, anonymement, sur https://goo.gl/forms/nAO0htnsVmxotjYm1


Utilisateur banni

22/02/2017 à 17h38

c'est ça qu'il aime le Vulpi : le petit dépassement de pâte qui fait bien plaisir
(Juste histoire que le patient ait un peu mal et pense un peu à moi )

Img 0790 nlltlo - Eugenol

6szjws718sv1jksw54v4mpj3a6cu - Eugenol
vulpi

22/02/2017 à 19h22

Bin pourquoi t'as pas fait la 7 en même temps? Pas conservable?

Joli mv2


Utilisateur banni

22/02/2017 à 19h29

Ben fallait que je me tape le mv2 et puis le D qui était assez courbé au 1/3 (Ca se voit pas trop sur la radio) donc j'ai pas eu le temps. Dès fois faut savoir ne pas avoir les yeux plus gros que le ventre 😉. Donc la 7 c'est pour plus tard


mr.smith

22/02/2017 à 19h59

junior® écrivait:
-----------------
> Étant donné que vous aimez les clavettes : je vous en remets une louche .
> Là c'est une dent à raz. C'est ce que j'appelle un pré-Implant.

So dangerous
--
De l'influence des rayons gamma sur le comportement des marguerites


Vw campersurfvan bmnk1q - Eugenol
enlaye

23/02/2017 à 12h19

ç est l'acier ,ç est l'acier :-))))
l'important ç est d'aller bien jusqu'au bout ,qu'ils disaient ,là je crois que ç est bon :-))))))

Trans rrd01g - Eugenol

Utilisateur banni

23/02/2017 à 14h25

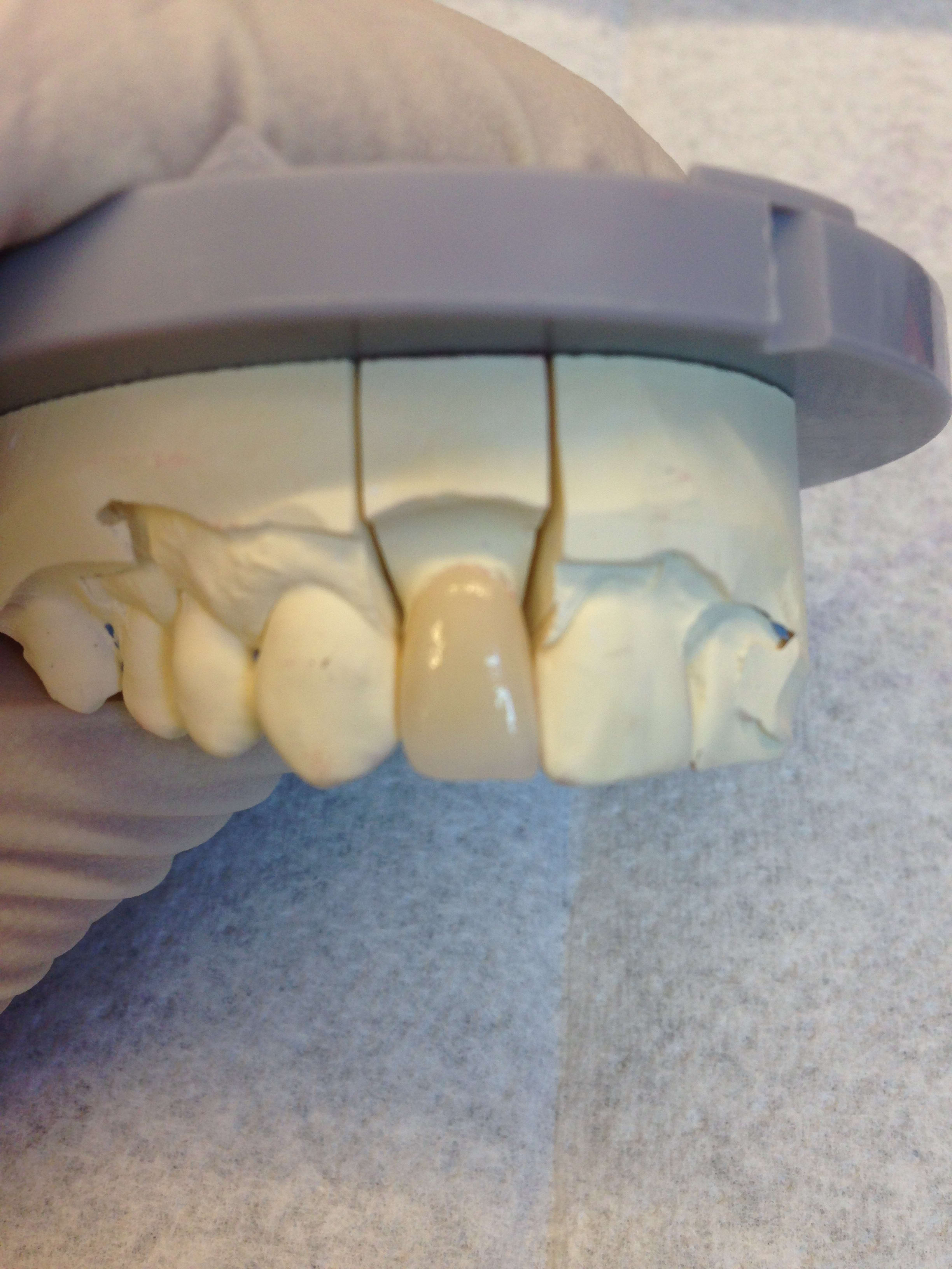
Je suis en train de tester un autre labo spécialisé en "chinoiserie" comme le dit Enlaye.
Là je leur ai demandé de me faire une prémolaire ayant une forme de canine . (Absence de canine)

Img 0801 khavge - Eugenol
Img 0803 acjoxv - Eugenol

Utilisateur banni

23/02/2017 à 16h19

Et là c'est 13-14-15 bridge CCM ... toujours le nouveau labo spécialisé en chinoiserie que je suis en train de tester

Img 0805 ucu2d8 - Eugenol

6szjws718sv1jksw54v4mpj3a6cu - Eugenol
vulpi

23/02/2017 à 18h10

junior® écrivait:
-----------------
> Et là c'est 13-14-15 bridge CCM ... toujours le nouveau labo spécialisé en
> chinoiserie que je suis en train de tester

Tu n'as plus qu'à refaire le bloc incisivo-canin de la même teinte et ce sera nickel.


Utilisateur banni

23/02/2017 à 18h34

Qu'est ce qu'il a le vulpi ? Il est de mauvaise humeur aujourd'hui 😊... c'est pas de la ceramo céramique... une CCM a toujours un aspect plus opaque que les ccc. Un poil de cul plus jaune si tu préfères


Utilisateur banni

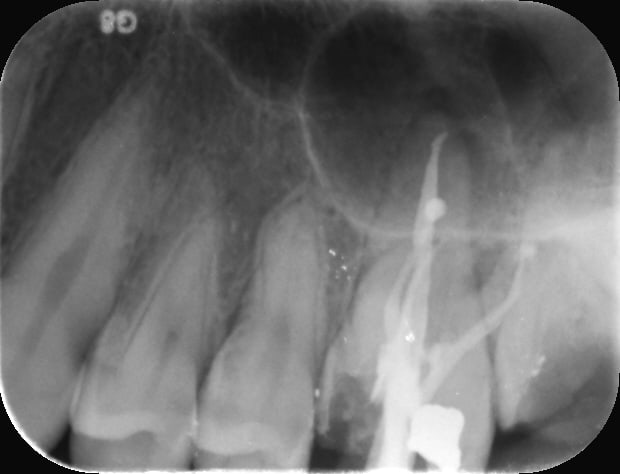
25/02/2017 à 17h43

et celle là c'est pas de la même teinte Vulpi ? On fait moins le malin tout d'un coup. On l'entend plus le Vulpi :)) . On fait profil bas :)
La 12 était comme la 22 , donc correction de la rotation.
Pas la peine de me dire qu'il y a les composites sur les dents d'à coté à refaire. Je commence à vous connaître
Y a la 11 dépulpée qui sera couronnée plus tard (un peu plus jaune la 11)

Img 0813 ahgzao - Eugenol
Img 0814 gacwpm - Eugenol

6szjws718sv1jksw54v4mpj3a6cu - Eugenol
vulpi

25/02/2017 à 17h45

Allez zou!!! Vive la mutilation, chouette la dépouille, hein Junior?

Dscf2315 2 liveqq - Eugenol

Utilisateur banni

25/02/2017 à 17h53

Au fait on a perdu le suceur de moignons en route ...


6szjws718sv1jksw54v4mpj3a6cu - Eugenol
vulpi

25/02/2017 à 18h35

painturlurage apical, chez les nauséeux l'argentique c'est pas mal, moins encombrant qu'un capteur, faut que je m'achète un pspix rapport à l'encombrement.

Dscf2355 rtgzk6 - Eugenol

Vw campersurfvan bmnk1q - Eugenol
enlaye

23/03/2017 à 20h49

lardonbis écrivait:
-------------------
" par contre si tu à un petit topo sur le choix des fils je prend. "

quand tu mets le fil ,ç est pour se faciliter la vie ,pour pas s'emmerder lors de la taille- l'empreinte .
donc ça doit etre simple et tres rapide ,sans anesthesie bien sur .
une regle d"or : plus tu mets petit ,plus ça rentre facile .
l'important ç est de le mettre au moins devant , ç est suffisant .là ou tu veux etre le plus infra ou plutot ,on va dire le moins supra .
perso ,je n'utilise que le ;00 jaune et noir de ultrapak .

je te mets 1 exemple en 3 photos


Vw campersurfvan bmnk1q - Eugenol
enlaye

23/03/2017 à 20h52

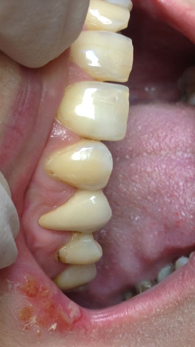
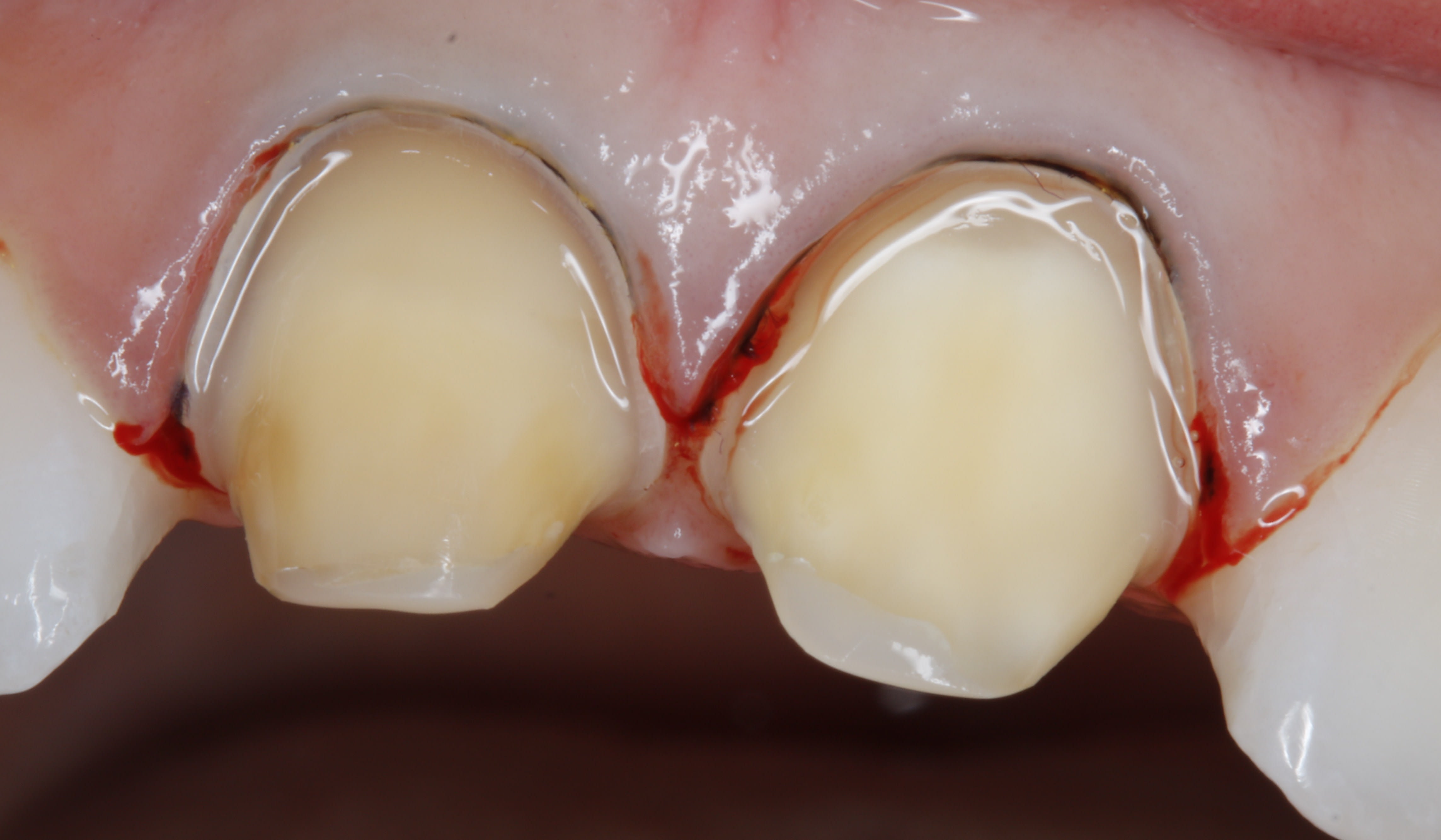
là ,on est à la 2eme seance ,apres la 1ere seance de taille rapidos et avant empreinte .
regardes bien les limites ,elles on l'air bien placées ,non ?

Aa cu59xg - Eugenol

Vw campersurfvan bmnk1q - Eugenol
enlaye

23/03/2017 à 20h58

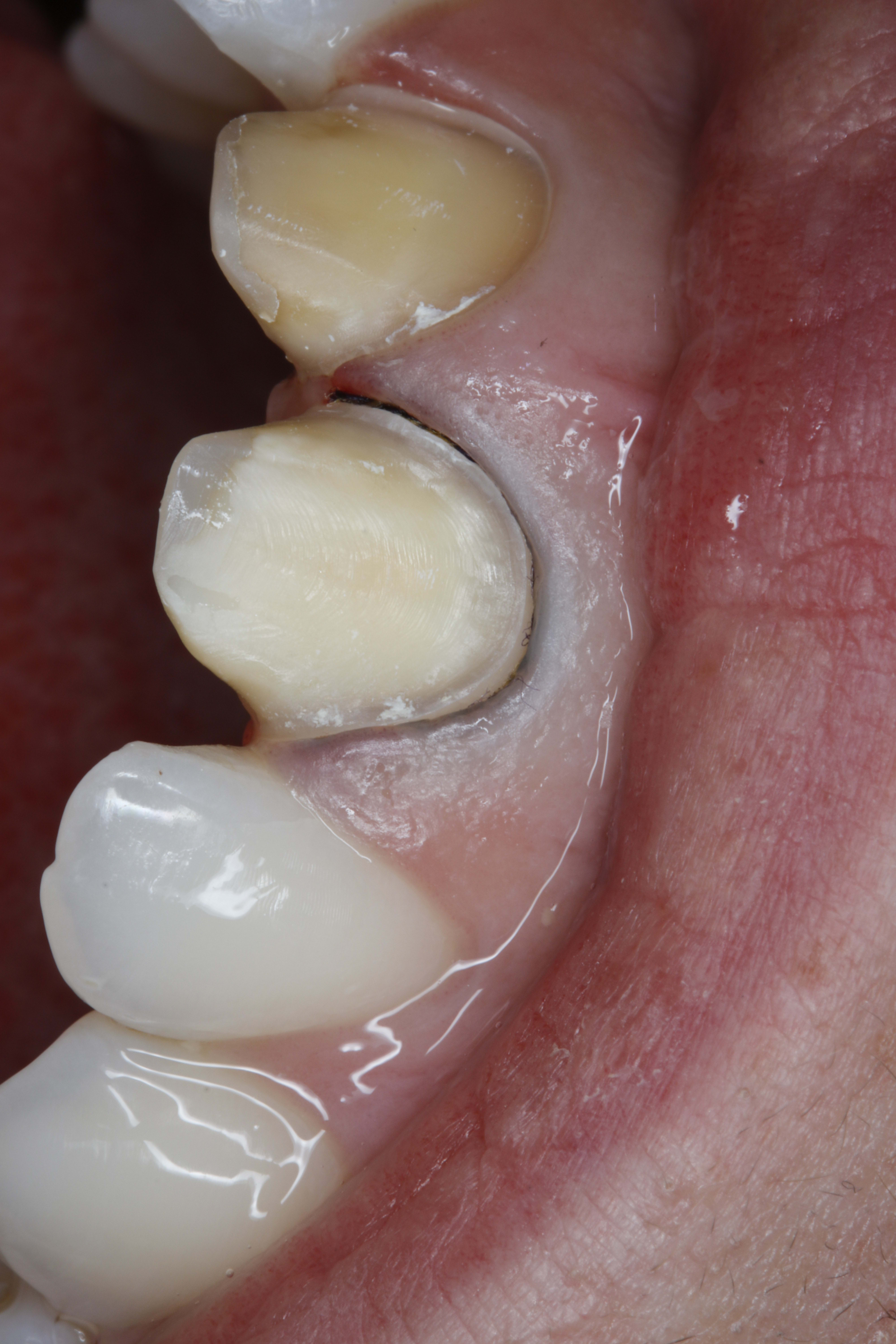
et pourtant ,si on met le fil ,on voit une nette difference entre la limite et le niveau gingival .et pas d'une façon homogène .
ç est cette difference qu'il faut reprendre ,et UNIQUEMENT cette difference .
si tu ne mets pas le fil ,t'y en sais rien .

Aa 2 voqbhr - Eugenol

Vw campersurfvan bmnk1q - Eugenol
enlaye

23/03/2017 à 21h00

donc un petit coup de finition jusquau fil ,et hop empreinte ,fil en place ,bien sur.

facile ,non ?

Aa 3 afhwha - Eugenol

Vw campersurfvan bmnk1q - Eugenol
enlaye

23/03/2017 à 21h07

fichier moins lourd

Aa b4aqov - Eugenol
Aa 2 pn4k5p - Eugenol
Aa 3 kf1lmf - Eugenol

Smile beach jgh0a1 - Eugenol
Céramik

23/03/2017 à 21h17


2 séances pour ces tailles ?
Tu as photo avant les tailles ?


--
Céramik


Orezza gazeuse verre litre ocoxey - Eugenol
casa

23/03/2017 à 21h35

Ben pendant qu'on y est dans le concret , tu fais comment pour tailler ? tu commences par où, quelles fraises ? histoire de savoir si je ne m'y prends pas comme un manche parce que c'est pas ce que je préfère !!


6szjws718sv1jksw54v4mpj3a6cu - Eugenol
vulpi

23/03/2017 à 21h59

enlaye écrivait:
----------------


> donc ça doit etre simple et tres rapide ,sans anesthesie bien sur .
> une regle d"or : plus tu mets petit ,plus ça rentre facile .
> l'important ç est de le mettre au moins devant , ç est suffisant .là ou tu veux

Ah!... Voilà pourquoi j'y arrive pas.


Utilisateur banni

23/03/2017 à 23h20

moi aussi quand ca me prend de mettre un fil j'utilise du 000 , 00 ou 0 mais très sincèrement je m'en passe dans pas mal de cas. Et avec une bonne wash y a pas de sous ou sur contour et en plus pas d'agression de la gencive par ces cordonnets.
Tu mets systématiquement des cordonnets Enlaye ?


Vw campersurfvan bmnk1q - Eugenol
enlaye

24/03/2017 à 00h50

Céramik écrivait:
-----------------
" 2 séances pour ces tailles ?
Tu as photo avant les tailles ?"

oui 2 pour celles là comme pour toutes les autres depuis 30 ans .
2 ç est le minimum syndical.

les photos avant ? heu oui certainement ,faut que je les retrouve ,je les ai prise le jour de la 1ere taille ,çad il y a 1 mois .


1...282930...