Cookie Consent byPrivacyPolicies.comLa meilleure obturation c'est la pulpe.... Ah bon ?😊 - Eugenol

La meilleure obturation c'est la pulpe.... Ah bon ?😊

Nouveau image bitmap fz77zh - Eugenol
Sethef

09/01/2017 Ă  11h53

chicot29 écrivait:
------------------
> barbabapat écrivait:
> --------------------
>
> >
> > Tu lui explique pourquoi tu tentes le coup et que de toute façon on arrivera
> au
> > minimum à la dévitalisation comme dans l'autre cas. Et que c'est pas la peine
> > d'attendre des douleurs intenses pour te rappeler, mais qu'en cas de doute,
> > alors on finira le traitement avec la dévitalisation.
>
> A travers l'onlay ou la ceram ou tu refais le tout gratos aprĂšs l'endo ? -)
>
> Parce qu'en général quand tu les préviens qu'ils risquent de payer 2 fois la
> pulpe a ses jours comptés. -)
>


A travers la ceram ou l'onlay si reconstruction collée, en refaisant si ccm scellée.
Et puis quoi, une fois par an j'en refais une gratos, c'est pas la mort non plus, évidemment le risque est partagé, hors de question de refaire payer le patient.
Ce matin j'ai ^posĂ© une ccm sur le papa d'une copine, mĂȘme pas besoin d'anesthĂ©sie. J'en ai taillĂ© une autre, vendredi posĂ© une autre, sans anesthĂ©sie non plus.
Faut vraiment ĂȘtre maso pour se taper les endos quand y'a pas besoin ;-)


Utilisateur banni

09/01/2017 Ă  13h37

TrĂšs sincĂšrement jamais de la vie je ne ferais un onlay sur un coiffage direct !!! Ça serait de l'escroquerie. Les patients auraient l'impression d'ĂȘtre pris pour des cons en plus .


P2eqdh3csim6s7nb09ktdq3e7ev8 - Eugenol
barbabapat

09/01/2017 Ă  13h53

Je parles de situation tangente, ca ne se limite pas au seul problĂšme des coiffage directs ou indirects.


Utilisateur banni

09/01/2017 Ă  17h50

Tiens celle ci c'est pour le plaisir d'offrir et c'est pour Vulpi qui avait l'air de se moquer de moi hier😊:
-> cas d'aujourd'hui
- dent calcifiée comme jamais
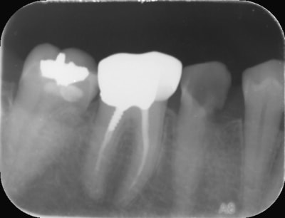
- je réussis à retrouvé le canal au niveau des 3/4 de la dent avec un insert endo fin (radio avec insert ci joint)
- obturation quasi Ă  l'apex
- rĂ©alisĂ© avec un capodent et non une digue😊😊😊

Et bien en gros chez la mamie de 80 ans c'était exactement ça : une 11 sur laquelle j'ai retrouvé le canal aux 3/4 avec mes inserts et c'est d'ailleurs aprÚs l'utilisation de mes inserts que j'ai eu un emphysÚme sur cette patiente...

Img 0656 xb3io5 - Eugenol
Img 0655 yaw1ib - Eugenol
Img 0654 kjlbni - Eugenol

Totoro ovtguw - Eugenol
T00TH

09/01/2017 Ă  18h01

si les canaux sont calcifiés au 3/4 de la dent et en l'absence d'infection apicale pourquoi aller chercher l'apex?


Capture d  cran 2015 03 12 12.28 - Eugenol
chicot29

09/01/2017 Ă  18h41

T00TH écrivait:
---------------
> si les canaux sont calcifiés au 3/4 de la dent et en l'absence d'infection
> apicale pourquoi aller chercher l'apex?

Pour facturer un inlay core ce qui entraine une baisse du reste Ă  charge. -)

--
En cas d'Ă©chec des nĂ©gociations conventionnelles, seriez-vous prĂȘt Ă  suivre la promotion d'un dĂ©conventionnement massif de la profession par les syndicats reprĂ©sentatifs ? OUI - NON
Participez, anonymement, sur https://goo.gl/forms/nAO0htnsVmxotjYm1


6szjws718sv1jksw54v4mpj3a6cu - Eugenol
vulpi

09/01/2017 Ă  19h16

Ah c'est dommage! La 6 a une couronne non adaptée en distal (premiÚre RX il y a la reconstitution qui déborde, c'est pas étanche) et probablement une indication de RTE, la 5 non conservable à long terme, 4 en pilier antérieur dent vivante, voilà une belle indication de bridge :-)))


Utilisateur banni

09/01/2017 Ă  19h43

la 5 est parfaitement Conservable ! sinon j'aurais mis un Implant
Et sinon Oui j'ai dépulpé car je veux mettre un IC et ne pas avoir de merde ensuite
Et l'idée de délabrer la 4 pour faire un bridge ça ne me plaßt pas des masses


Ylfwcw979cz1jnx9gfqeaxndiuzk - Eugenol
Algi

09/01/2017 Ă  20h12

Junior juste une question: t'es à l'aise avec l'endo, tu penses bien faire et tu maitrises tes cas? Tu fais ça parceque tu penses c'est la meilleure option?

Alors tu as raison.

Perso j'aime pas l'endo, ça me gonfle et j'ai l'impression d'euthanasier des dents potentiellement viables.

Pour moi y'a un gradient therapeutique: soin simple, soin plus complexe, coiffage indirect et/ou direct.... et endo eventuellement quelques années plus tard... ensuite c'est i core si on a de la chance, puis bridge ou implant... pi ppa pi complet.

Si on considĂšre que chaque etape peut durer 5 Ă  10 ans (voire plus) ben on arrive Ă  faire durer des dents un certain temps.

Sur des dents limite je fais le soin et j’attends des fois plusieurs mois avant de passer à inlay, onlay ou coiffe sur dent vivante.

Des restaurations sur dents vivantes (surtout des coiffes faut reconnaitre) j'en fait des dizaines chaque annĂ©e et je dois avoir pulpite et endo peut ĂȘtre 1 tous les 2 ans....

Bref moi je suis plus Ă  l'aise avec la pulpe....

C'est comme pour les femmes: y'en a qui preferent les grandes brunes minces et d'autres les petites blondes boulottes......

Pour finir: les dents vivantes se défendent mieux, signalent en général un debut de souci... bref sont moins sujettes à la carie fatale qui a évolué à bas bruit.

ps: perso moi c'est les petites brunes que je préfÚre...... la derniÚre en date mesure 1m50, m'a fait 2 beaux enfants et on attaque notre 21eme année de mariage.


--
L’extrĂ©misme est le culte sans la culture ;
le fondamentalisme est la croyance sans la connaissance ;
l’intĂ©grisme est la religiositĂ© sans la spiritualitĂ©.

On a toujours le choix mais entre quoi et quoi?
Vas-y boulégue et l'avenir te le dira!


6szjws718sv1jksw54v4mpj3a6cu - Eugenol
vulpi

09/01/2017 Ă  20h16

Algi écrivait:
--------------
> ps: perso moi c'est les petites brunes que je préfÚre...... la derniÚre en date
> mesure 1m50, m'a fait 2 beaux enfants et on attaque notre 21eme année de
> mariage.

RAAAHHHHH!!!! Un petite brune.
>
>
> --
> L’extrĂ©misme est le culte sans la culture ;
> le fondamentalisme est la croyance sans la connaissance ;
> l’intĂ©grisme est la religiositĂ© sans la spiritualitĂ©.
>
> On a toujours le choix mais entre quoi et quoi?
> Vas-y boulégue et l'avenir te le dira!


6szjws718sv1jksw54v4mpj3a6cu - Eugenol
vulpi

09/01/2017 Ă  20h17

pour la 4 je vois pas le problĂšme, couronne sur dent vivante, obturation Ă  la pulpe, rien Ă  craindre :-))

En revanche pour en revenir au bridge l'enfoncement des racines d'une 6 mandibulaire et d'une 4 ... pas trĂšs en accord.

Ta 5 tu pouvais y coller un compo et faire une prépa?


6szjws718sv1jksw54v4mpj3a6cu - Eugenol
vulpi

09/01/2017 Ă  20h19

Algi écrivait:
--------------

> Si on considĂšre que chaque etape peut durer 5 Ă  10 ans (voire plus) ben on
> arrive Ă  faire durer des dents un certain temps.
>
> Sur des dents limite je fais le soin et j’attends des fois plusieurs mois avant
> de passer Ă  inlay, onlay ou coiffe sur dent vivante.
>
> Des restaurations sur dents vivantes (surtout des coiffes faut reconnaitre) j'en
> fait des dizaines chaque annĂ©e et je dois avoir pulpite et endo peut ĂȘtre 1 tous
> les 2 ans....
>
> Bref moi je suis plus Ă  l'aise avec la pulpe....
>
> C'est comme pour les femmes: brunes minces
> petites ...... ;-)))
>
> Pour finir: les dents vivantes se défendent mieux, signalent en général un debut
> de souci... bref sont moins sujettes à la carie fatale qui a évolué à bas bruit.

+1
>

> ps: perso moi c'est les petites brunes que je préfÚre...... la derniÚre en date
> mesure 1m50, m'a fait 2 beaux enfants et on attaque notre 21eme année de
> mariage.
+1
>
>
> --
> L’extrĂ©misme est le culte sans la culture ;
> le fondamentalisme est la croyance sans la connaissance ;
> l’intĂ©grisme est la religiositĂ© sans la spiritualitĂ©.
>
> On a toujours le choix mais entre quoi et quoi?
> Vas-y boulégue et l'avenir te le dira!


Ylfwcw979cz1jnx9gfqeaxndiuzk - Eugenol
Algi

09/01/2017 Ă  20h42

Ai parcouru le post..... à croire que la pulpe nous excite car ça part en live chaud chaud chaud pas mal de fois....

A ce compte lĂ ..... des fois ça m'arrive de faire des endos (et mĂȘme des inlay core des fois) et l'endo c'est effectivement, des fois, comme le sexe faut dire....

D'abord les preliminaires, anesthesie puis approche de la chambre pulpaire (ahhh la chambre pulpaire..... "PulPaire".... tu remplaces le P par un V.... tu me suis?..... si t'aimes pas les v tu gardes les p et t'as vite en tĂȘte des analogies "pulpeux", "paire sous le pull).... rien que ça c'est tout un kama soutra qui s'offre Ă  toi.

Ensuite vient le moment ou tu irrigues la chambre et tu vas penetrer tout doucement LES canaux, des fois trois voire quatre.... autant dire que les gonzesses sont trés limitées si on y pense bien..... trois orifices, dont le moins lisse selon gainsbarre...

Finalement, quand avec doigtĂ© et dĂ©licatesse tu atteints le fond (o putain presque je bande lĂ !) alors commence le va et vient, avec irrigation s'entend, on y met mĂȘme des fois du glide (du lubrifiant quoi!). Le truc c'est que, en plus, traditionnellement on y passait des instruments de plus en plus gros..... pur fantasme pour un mec "tu la sens comme elle est de plus en plus grosse"....

Pour finir c'est l'éjac.... oups l'obtur...ation, la pùte blanche, cremeuse et onctueuse avec un beau puff qui deborde en dehors de l'apex preuve de ta virilité endodontique.....

ps: et pourtant les filles aussi font des endo..... va falloir qu'elles nous en disent plus sur cet aspect de la chose...

Je sors.


--
L’extrĂ©misme est le culte sans la culture ;
le fondamentalisme est la croyance sans la connaissance ;
l’intĂ©grisme est la religiositĂ© sans la spiritualitĂ©.

On a toujours le choix mais entre quoi et quoi?
Vas-y boulégue et l'avenir te le dira!


Vw campersurfvan bmnk1q - Eugenol
enlaye

09/01/2017 Ă  20h51

Tu m étonnes que tu n arrives pas a te lever le matin :-)
Tu dois te faire de ces Putain de rĂȘves :-):-):-):-)


Utilisateur banni

09/01/2017 Ă  21h12

vulpi écrivait:
---------------
> pour la 4 je vois pas le problĂšme, couronne sur dent vivante, obturation Ă  la
> pulpe, rien Ă  craindre :-))
>
> En revanche pour en revenir au bridge l'enfoncement des racines d'une 6
> mandibulaire et d'une 4 ... pas trĂšs en accord.
>
> Ta 5 tu pouvais y coller un compo et faire une prépa?

Non je ne pouvais pas coller de compo et faire une prepa


Ylfwcw979cz1jnx9gfqeaxndiuzk - Eugenol
Algi

09/01/2017 Ă  21h42

"Nan je pouvais pas coller de compo et faire une prepa"

A ces djeun's....

Junior y colle pas de compo, oh no! pasque sinon y peut pas chantonner à l'oreille de ses octogénaires

"je vais, je vais et je vieeeens.... dans ton canal palatin..."

ok je sors


--
L’extrĂ©misme est le culte sans la culture ;
le fondamentalisme est la croyance sans la connaissance ;
l’intĂ©grisme est la religiositĂ© sans la spiritualitĂ©.

On a toujours le choix mais entre quoi et quoi?
Vas-y boulégue et l'avenir te le dira!


Ylfwcw979cz1jnx9gfqeaxndiuzk - Eugenol
Algi

09/01/2017 Ă  21h46

Et au fait, tant que j'y pense.... junior, si t'es dans un trip Harold et Maude,.... y'a pas que l'endo pour fantasmer sur les vieilles..... pense à Mme Michu, cette charmante septuagénaire qui te suces les doigts pour tester la retention de son complet.... sans parler de ce qu'elle pourrait te faire sans ledit complet.... pompier de velours, on en a deja parlé ici....

ok ok je sors... de toute façon y'a bruce willis à la télé.... , 58 minutes, le 2, celui avec les avions...


--
L’extrĂ©misme est le culte sans la culture ;
le fondamentalisme est la croyance sans la connaissance ;
l’intĂ©grisme est la religiositĂ© sans la spiritualitĂ©.

On a toujours le choix mais entre quoi et quoi?
Vas-y boulégue et l'avenir te le dira!


6szjws718sv1jksw54v4mpj3a6cu - Eugenol
vulpi

09/01/2017 Ă  22h04

Algi écrivait:
--------------
> Et au fait, tant que j'y pense.... junior, si t'es dans un trip Harold et
> Maude,.... y'a pas que l'endo pour fantasmer sur les vieilles..... pense Ă  Mme
> Michu, cette charmante septuagénaire qui te suces les doigts pour tester la
> retention de son complet.... sans parler de ce qu'elle pourrait te faire sans
> ledit complet.... pompier de velours, on en a deja parlé ici....
>
Oh putain, un spécialiste de la complÚte, y connais tous les trucs! C'est surtout pendant l'empreinte IIre la succion du doigts. La plus jeune patiente à qui j'ai fait un complet n'avait pas 30 ans, une jolie petite brune, à peau mate, une péruvienne. Ah les idées qu'on ce fait... "poussez sur mon doigt avec la langue".

Junior, on peut toujours coller, le no crown no post tu connais?


Ylfwcw979cz1jnx9gfqeaxndiuzk - Eugenol
Algi

09/01/2017 Ă  22h19

Mettre les doigts effectivement ça marche aussi pour les empreintes...... et pi c'est un bon test pour savoir la quantité de trucs qu'on peut leur fourrer dans la bouche sans les faire vomir, ah les empreeeeiiiiinnnnttess....

Ah quel beau métier que le notre pour peu qu'on ait un peu d'imagination.....

Quand à toi Vulpi, ta péruvienne.... ah ta péruvienne.... arrete je suis un homme marié!


--
L’extrĂ©misme est le culte sans la culture ;
le fondamentalisme est la croyance sans la connaissance ;
l’intĂ©grisme est la religiositĂ© sans la spiritualitĂ©.

On a toujours le choix mais entre quoi et quoi?
Vas-y boulégue et l'avenir te le dira!


Utilisateur banni

09/01/2017 Ă  22h41

vulpi écrivait:
---------------
> Algi écrivait:
> --------------
> > Et au fait, tant que j'y pense.... junior, si t'es dans un trip Harold et
> > Maude,.... y'a pas que l'endo pour fantasmer sur les vieilles..... pense Ă  Mme
> > Michu, cette charmante septuagénaire qui te suces les doigts pour tester la
> > retention de son complet.... sans parler de ce qu'elle pourrait te faire sans
> > ledit complet.... pompier de velours, on en a deja parlé ici....
> >
> Oh putain, un spécialiste de la complÚte, y connais tous les trucs! C'est
> surtout pendant l'empreinte IIre la succion du doigts. La plus jeune patiente Ă 
> qui j'ai fait un complet n'avait pas 30 ans, une jolie petite brune, Ă  peau
> mate, une péruvienne. Ah les idées qu'on ce fait... "poussez sur mon doigt avec
> la langue".
>
> Junior, on peut toujours coller, le no crown no post tu connais?

C'est Ă  dire ?
Ce que je connais surtout c'est que quand on est en sous gingival en L tu peux toujours te brosser pour coller avec du composite 😊
C'est bien beau le compo mais un bon IC c'est largement mieux dans pas mal de cas


6szjws718sv1jksw54v4mpj3a6cu - Eugenol
vulpi

09/01/2017 Ă  22h53

Bin tu fais une remontée de marge


Utilisateur banni

09/01/2017 Ă  23h03

Oui jconnais mais J'ai pas que ça à faire 😊... un bon IC qui descend en profondeur (ça va plaire à Algi) et tout roulera


6szjws718sv1jksw54v4mpj3a6cu - Eugenol
vulpi

09/01/2017 Ă  23h05

juniorŸ écrivait:
-----------------

>
> C'est Ă  dire ?
> Ce que je connais surtout c'est que quand on est en sous gingival en L tu peux
> toujours te brosser pour coller avec du composite 😊
> C'est bien beau le compo mais un bon IC c'est largement mieux dans pas mal de
> cas

Hum, hum... si tu es vraiment trĂšs en sous gingival ton effet ferule ne va pas ĂȘtre simple Ă  obtenir, il y a un risque de fracture radiculaire si tu ne la cercles pas bien, c'est pas tout de l'embrocher.


Utilisateur banni

09/01/2017 Ă  23h12

1 mm En sous gingival ça va c'est jouable


Utilisateur banni

10/01/2017 Ă  07h43

Donc dans un cas comme ça , avec juste un gros pan V qui reste, vous mettez un compo et roule ma poule, emballez c'est pesĂ© y a plus rien Ă  voir, par ici l'addition s'il vous plaĂźt et par dessus vous calez une couronne 😊??
Parce qu'une fois que la prepa est faite En V et ben il ne restera plus grand chose : environ 1,5mm de dentine en V

Finalement je sais pas pourquoi je prĂ©fĂšre ma solution 😊. Par contre t'as raison sur un truc Vulpi je vais retraiter la 6 pour non pas faire un bridge mais plutĂŽt 2 couronnes jumelĂ©es assurant la pĂ©rennitĂ© de 5 et 6


1234...