Cookie Consent byPrivacyPolicies.comLa meilleure obturation c'est la pulpe.... Ah bon ?😊 - Eugenol

La meilleure obturation c'est la pulpe.... Ah bon ?😊

Utilisateur banni

24/06/2017 à 12h26

Petite Chinoiserie de 33 à 42 de derrière les fagots .

Je suis allé voir la définition de chinoiserie parce que ça a un petit coté péjoratif 😊:

Objet de luxe et de fantaisie, venu de Chine ou exécuté en Occident dans un goût s'inspirant de la Chine ; décor, œuvre d'art, motif de ce style.
Familier. Subtilité excessive aboutissant souvent à des complications tracassières (surtout pluriel) : Les chinoiseries de l'Administration.

Img 1173 rcuspi - Eugenol

6szjws718sv1jksw54v4mpj3a6cu - Eugenol
vulpi

24/06/2017 à 12h34

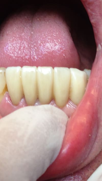
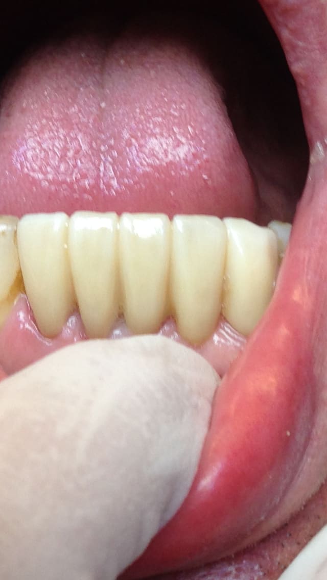
Ah aujourd'hui c'est latex... ça change! Enfin le doigt est tout de même devant :-))


Utilisateur banni

24/06/2017 à 16h09

C'est selon les préférences de chacun. Certains préfèrent le doigt devant , d'autres derrière .

Et puis Le but c'est de montrer aussi par la même occasion la qualité des gants chinois 😊


6szjws718sv1jksw54v4mpj3a6cu - Eugenol
vulpi

24/06/2017 à 16h43

"Quand le sage montre la lune, l'imbécile regarde le doigt".

Lao-Tseu

A ce sujet, j'ai mis le mien où il ne fallait pas... ça a piqué... heureusement le bout est pas tombé... de peu j'étais mutilé grave, une cause de divorce un truc pareil;-)))

Dscf2538 2 i37ydz - Eugenol
Dscf2539 2 herjvf - Eugenol

Utilisateur banni

24/06/2017 à 17h23

" quand on s'endort avec Le cul qui gratte , on se réveille avec les doigts qui puent"
Liu Zentao deng xiaoping


6szjws718sv1jksw54v4mpj3a6cu - Eugenol
vulpi

24/06/2017 à 17h45

les labos en Chine sont des usines, tu as un gars qui ne fera que des 45 CCM par exemple, pas 44 ou 46, forcement il est pointu dans son domaine, la 45, et très standard pour ses résultats, bien obligé il y en a 10 derrière qui attendent pour la place!


Vw campersurfvan bmnk1q - Eugenol
enlaye

25/06/2017 à 09h10

oui ça se passe comme ça , et celui qui fait chier ,on le met à la 18 .


Generique fraisage r2rxmm - Eugenol
lardonbis

26/06/2017 à 09h48

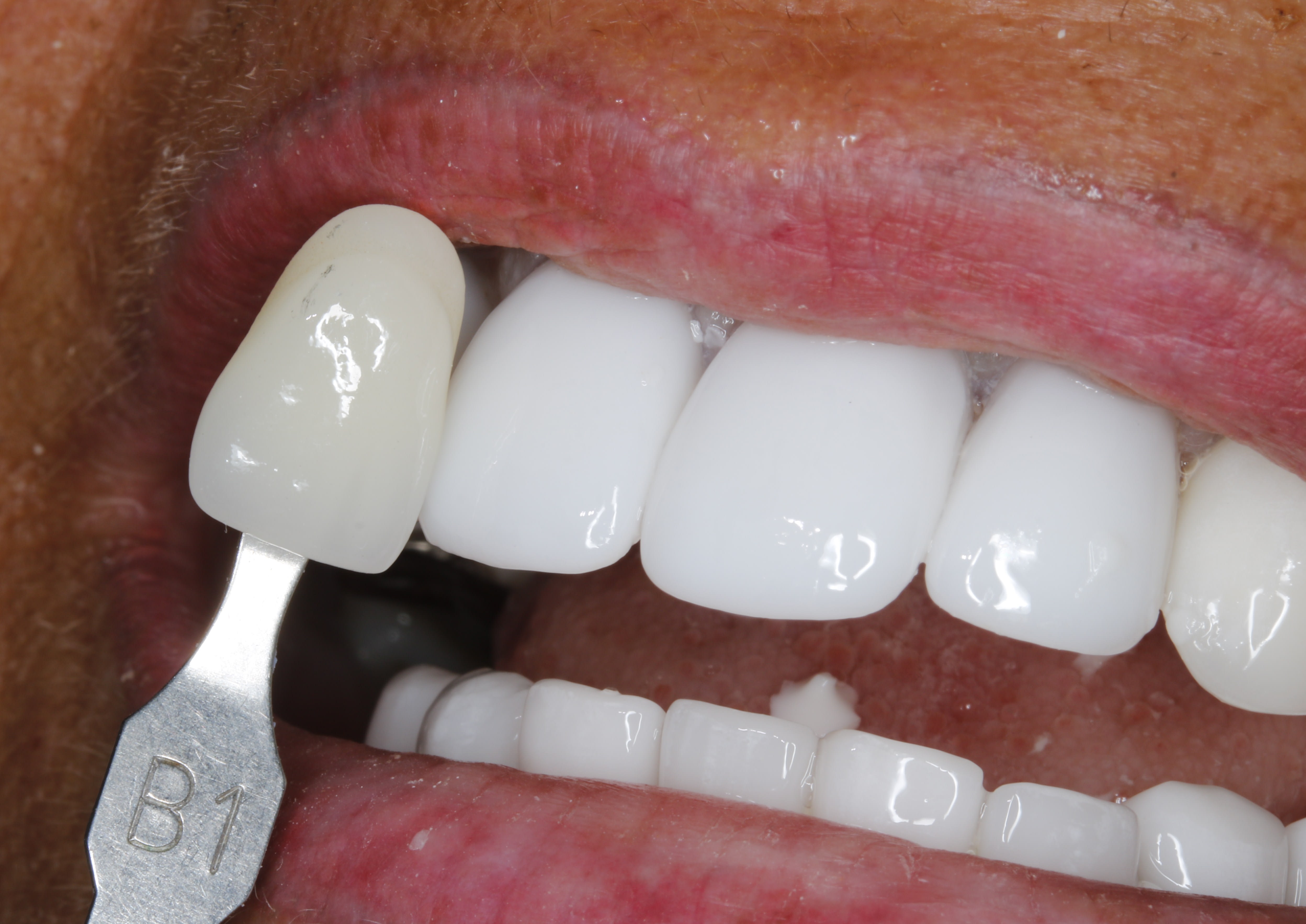
Ton truc enlaye ça me fait penser à un objet métallique ( alu ? inox? or blanc ?) passé sur la ceram ( pas besoin de frotter fort, juste le passer). Genre un clip de capuchon de stylo plume.


Utilisateur banni

26/06/2017 à 10h33

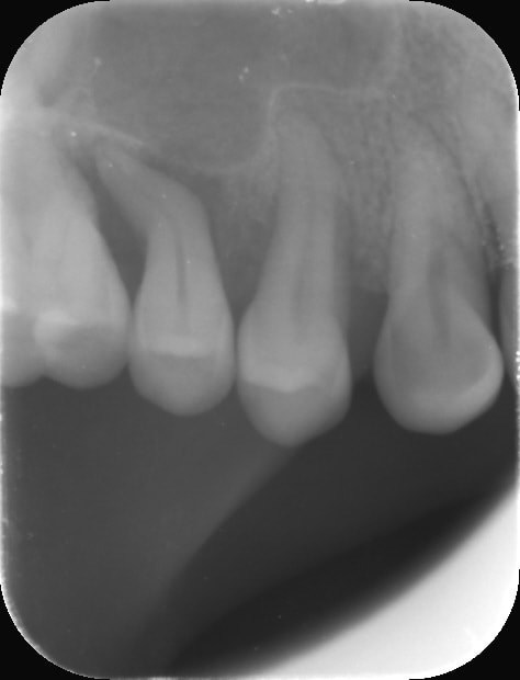
La meilleure obturation c'est la pulpe quand il n'y a pas de problèmes d'occlusion :
la dent bouge tellement qu'il y a du avoir en plus du traumatisme une section de la vascularisation apicale

Img 1175 ljqfer - Eugenol
Songy s ubgiwl - Eugenol

Vw campersurfvan bmnk1q - Eugenol
enlaye

26/06/2017 à 12h21

lardonbis écrivait:
-------------------
" Ton truc enlaye ça me fait penser à un objet métallique ( alu ? inox? or blanc ?) passé sur la ceram ( pas besoin de frotter fort, juste le passer). "

à pile ? :-))))


Generique fraisage r2rxmm - Eugenol
lardonbis

26/06/2017 à 12h30

brrrrrrrrrrrr

ça fait sauter le ciment ça :)


Le Rosbif

27/06/2017 à 16h55

Donc par le meme logic Junior, tout la monde doivent faire enlevé leur appendice pour ne pas avoir une appendicite!


Vw campersurfvan bmnk1q - Eugenol
enlaye

27/06/2017 à 16h56

voilà , refait à l'américaine , elle est contente .

 mg 1272 scncgt - Eugenol

Generique fraisage r2rxmm - Eugenol
lardonbis

27/06/2017 à 17h14

bleach
fond de teint
U.V

le combo Julio Iglesias


Utilisateur banni

27/06/2017 à 18h12

C'est quoi la substance blanchâtre qu'on voit sur la langue ? ^^


6szjws718sv1jksw54v4mpj3a6cu - Eugenol
vulpi

27/06/2017 à 18h23

junior® écrivait:
-----------------
> C'est quoi la substance blanchâtre qu'on voit sur la langue ? ^^

:-)))) Oh la boulette!


Generique fraisage r2rxmm - Eugenol
lardonbis

27/06/2017 à 19h00

t'appelles ça comme ça ?


4a338550 6a5b 47ea b2a7 d3cb675c5076 oni5gh - Eugenol
fistule 69

27/06/2017 à 22h31

Enlay, il a refait gratos, mais bon , il fallait lui dire merci ...
Il fallait faire les photos avant la petite gaterie !
😷😜😋🤓


Vw campersurfvan bmnk1q - Eugenol
enlaye

27/06/2017 à 22h38

fistule 69 écrivait:
--------------------
" Enlay, il a refait gratos, mais bon , il fallait lui dire merci ...
Il fallait faire les photos avant la petite gaterie !
😷😜😋🤓 "


no zob in job :-))))


4a338550 6a5b 47ea b2a7 d3cb675c5076 oni5gh - Eugenol
fistule 69

27/06/2017 à 22h47

Ça marche à l'envers ...
No job in zob !

Bonne soirée à toi.
😷😜


Vw campersurfvan bmnk1q - Eugenol
enlaye

27/06/2017 à 22h48

:-))))


1...3233