Cookie Consent byPrivacyPolicies.comLa meilleure obturation c'est la pulpe.... Ah bon ?😊 - Eugenol

La meilleure obturation c'est la pulpe.... Ah bon ?😊

6szjws718sv1jksw54v4mpj3a6cu - Eugenol
vulpi

13/01/2017 à 18h00

He! Faut arrêter les 2 malades de la turbine, des CR sur incisives j'en fais pas 3 pas ans.
En 2 photos vous avez mon cotât pour au moins 4 ans... :-))

Si j'étais méchant, je dirais que la belle fixe, comment dire... je fais des complets... j'en vois les limites à long terme ;-)


RépondreCiter
Vw campersurfvan bmnk1q - Eugenol
enlaye

13/01/2017 à 18h05

et donc ,Junior ? ça amene quelle conclusion ou quelle question ?


Utilisateur banni

13/01/2017 à 18h19

y a pas de question : c'était juste pour jumeler pour vous titiller un peu 😊

Le problème avec les coques polycarbonates c'est qu'elles ont toutes un peu près la même longueur... autant on peut choisir la largeur moins la longueur.
Du coup il faudra que je lui rabote un peu les chicots car c'est un peu trop grand

Autre remarque l'iPhone blanchit la teinte. Car à la base la teinte des coques c'est A3 et là on dirait du A1. La prochaine fois, je sortirai mon appareil de compétition


6szjws718sv1jksw54v4mpj3a6cu - Eugenol
vulpi

13/01/2017 à 19h11

Nan c'est pas ça Enlaye, j'le comprends l'Junior, c'est d'ta faute, ta mis des putains de photos. L'a pas pu résister.
Tiens, suite à tes photos j'ai ressorti mes bagues rouges multi-lames, zou je polis.
J'vais escagasser Junior, ce matin 25 et 23 dents vivantes, pour faire un bridge, poli miroir.


Vw campersurfvan bmnk1q - Eugenol
enlaye

13/01/2017 à 19h16

vas y ,creves le :-)))))) montres lui qui tu es :-)


6szjws718sv1jksw54v4mpj3a6cu - Eugenol
vulpi

13/01/2017 à 19h19

Ah oui l'indication du bridge, y manquait la 24, j'ai bon?


Utilisateur banni

13/01/2017 à 19h25

Et avec contre angle rouge coxo Vulpi à 400 balles 😊
Je le passe au DAC , le machin marche très bien . Par contre pour couper les couronnes c'est pas top, les fraises transmetales se bloquent dedans


Vw campersurfvan bmnk1q - Eugenol
enlaye

13/01/2017 à 19h26

oui oui ,vas y creves le ;-))))à pas peur ,Vulpi
( on disait comme ça à l'école quand on etait minot )
mets de l'huile ,petiton ,que ça brille comme çà :-)))

P6165521 hs0tds - Eugenol

6szjws718sv1jksw54v4mpj3a6cu - Eugenol
vulpi

13/01/2017 à 19h32

Nan, les prépas uniquement avé la turbine malheureux!

Effectivement pour la découpe je prends un CA nsk, ou la turbine coxo.


Vw campersurfvan bmnk1q - Eugenol
enlaye

13/01/2017 à 19h32

et 10 de der :-)))

P6095487 brr2ff - Eugenol

Utilisateur banni

13/01/2017 à 19h36

Sale suceur de moignons va 🙂🙂

Vulpi écrivait:
---------------
> Ah oui l'indication du bridge, y manquait la 24, j'ai bon?

Je ne m'en rappelle plus j'ai posé des Implants En 24 et 25 si mes souvenirs sont bons .
Et je vais corriger encore plus la vestibularisation des incisives si je peux


6szjws718sv1jksw54v4mpj3a6cu - Eugenol
vulpi

13/01/2017 à 19h57

Enlaye pour les prépas, Chicot pour l'endo, c'est pas mal nonol pour la motivation.


carident

13/01/2017 à 20h17

enlaye écrivait:
----------------
> oui oui ,vas y creves le ;-))))à pas peur ,Vulpi
> ( on disait comme ça à l'école quand on etait minot )
> mets de l'huile ,petiton ,que ça brille comme çà :-)))

Ahaha... Mais pourquoi tu polis autant tes prépa?
Pourquoi tu les "huiles"? Tu les prépares à un concour de bodybulding ou quoi? :-))))


Vw campersurfvan bmnk1q - Eugenol
enlaye

13/01/2017 à 20h59

-:))))) c est pas que je cherche a polir , c est que je taille a la turbine avec des fraises tungstene .c est tout .:-)
J ai decouvert le contre angle rouge avec eugenol ,mais que pour le grain fin .


6szjws718sv1jksw54v4mpj3a6cu - Eugenol
vulpi

13/01/2017 à 21h17

vulpi écrivait:
---------------
> He! Faut arrêter les 2 malades de la turbine, des CR sur incisives j'en fais pas
> 3 pas ans.
> En 2 photos vous avez mon cotât pour au moins 4 ans... :-))
>
> Si j'étais méchant, je dirais que la belle fixe, comment dire... je fais des
> complets... j'en vois les limites à long terme ;-)

Ah la belle fixe et l'endo qui va avec.

J'te mets pas dedans mon ami, mais y en a, j'te jure!

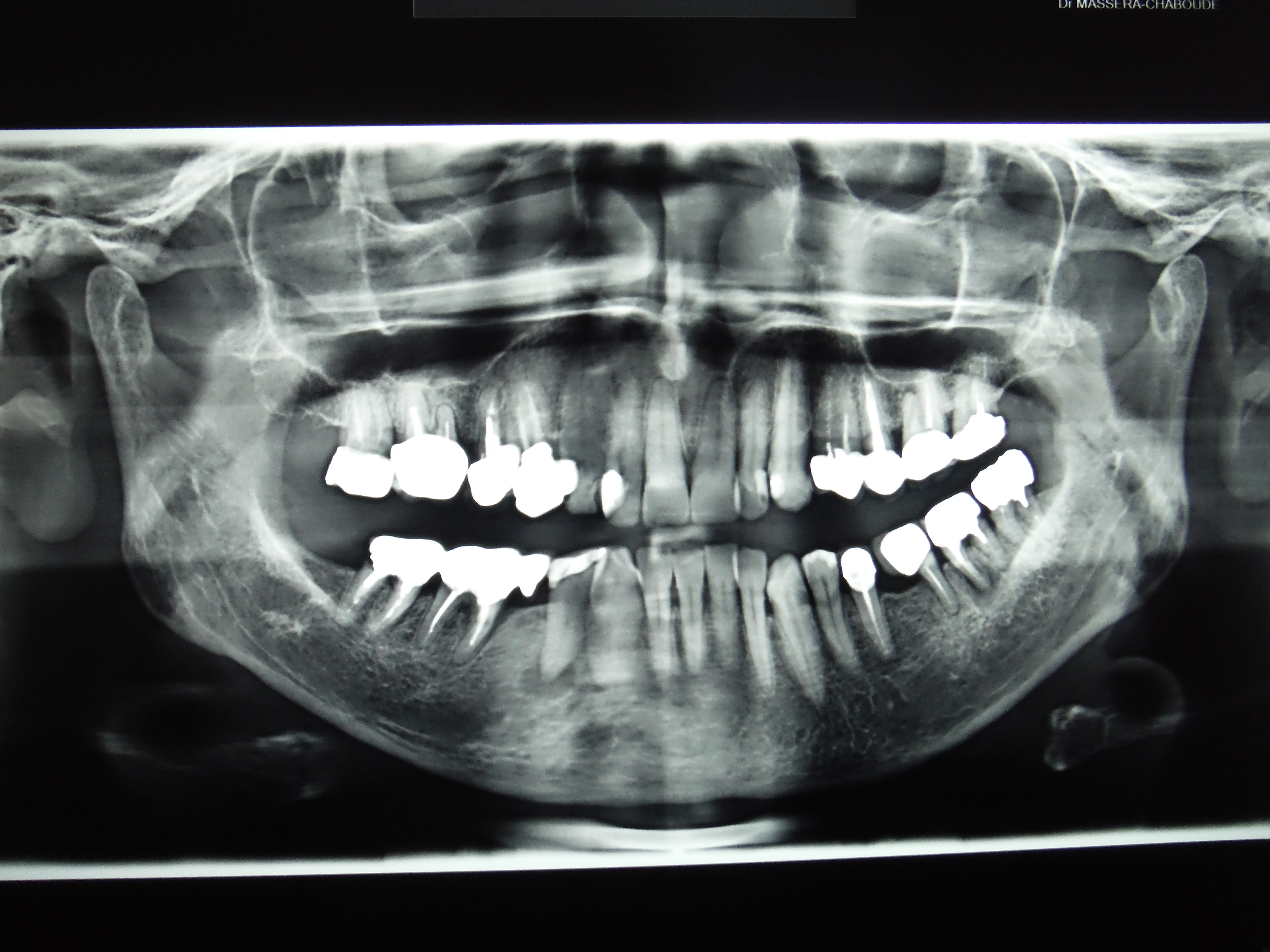
Junior va être content, il y a même une nécrose, sous ce que l'on suppose être un onlay, un grand chelem.

Dscf2219 vgoypm - Eugenol

Vw campersurfvan bmnk1q - Eugenol
enlaye

13/01/2017 à 21h28

Ben tu vois ,Vulpi ,y a un truc que je ne comprends pas :
Je vois plein d endo pas au bout et toussa mais tres rarement de belles taches noires au bout .chez nous y a peu de blanc et peu de noir ,au bout des dents.
Pour te dire , je reprends systematiquement les ttt , puisque j y suis ( dans le canal ) mais sans grande conviction du besoin .


carident

13/01/2017 à 21h58

enlaye écrivait:
----------------
> Ben tu vois ,Vulpi ,y a un truc que je ne comprends pas :
> Je vois plein d endo pas au bout et toussa mais tres rarement de belles taches
> noires au bout .chez nous y a peu de blanc et peu de noir
> ,au bout des dents.

C'est normal, par chez toi les dentistes aèrent les apex en sortant les dents de leur alvéole avant de les y remettre... ;-)


Orezza gazeuse verre litre ocoxey - Eugenol
casa

13/01/2017 à 22h05

chuuuut parlez moins fort, chicot va débarquer avec ses endos et vous montrez radio , photo à l'appui que l'endo y'a que ça qui compte ! et au bout svp ! bien blanc , bien compact . Enlaye , tu doutes ? mais qui n'a jamais douté ?


6szjws718sv1jksw54v4mpj3a6cu - Eugenol
vulpi

13/01/2017 à 22h22

parla pui piano...




6szjws718sv1jksw54v4mpj3a6cu - Eugenol
vulpi

13/01/2017 à 22h32

:-)))))


Vw campersurfvan bmnk1q - Eugenol
enlaye

13/01/2017 à 22h51

casa écrivait:
--------------
" Enlaye , tu doutes ? mais qui n'a jamais douté ? "

eh bien ,oui je doutes quelque fois que la meilleur obturation soit la pulpe :
je vois 90% de retraités qui viennent de toutes régions .
la pulpite chez eux n'existe pas .
et le peu de dents vivantes que je vois chez eux sont en fait nécrosées .
alors ,
soit ils ont déjà perdu les dents à problèmes que vous avez dévitalisé ,et je ne les vois pas ,du coup .
soit ils sont de la région ,et comme il y a 1 dentiste tous les mètres ,l'endo est faite de façon très précoce ,voir très prophylactique ,et dans ce cas le microbe n'a même pas eu le temps de coloniser la pulpe .

au final ,y a des endo de partout sans embrouilles ( radiologiques) et la douleur pulpaire ou endodontique ,je ne connais pas ou peu .


6szjws718sv1jksw54v4mpj3a6cu - Eugenol
vulpi

13/01/2017 à 22h55

enlaye écrivait:
----------------

> est faite de façon très précoce ,voir très prophylactique ,et dans ce cas le
> microbe n'a même pas eu le temps de coloniser la pulpe .
>
Et en plus tellement rapidement que même si elles ( les bactéries) avaient voulu elle n'auraient pas pu, en plus si y a un amalgame dessus toxique comme c'est! aucune chance.

En ouvrant les yeux, on en voit plein...


Orezza gazeuse verre litre ocoxey - Eugenol
casa

13/01/2017 à 23h12

Ben aujourd'hui bingo , douleur sous une de mes endo réalisée il y 2 ans ... effectivement pas au bout sur une racine ! le flemme sans doute , pas un bon jour .. bref heureusement j'ai pas couronné ..et un bon vielle amalgame la dessus sans tenon , donc tout va bien , on va reprendre ça a tête reposée et tout ira bien ! enfin j'espère ... Pourtant des comme ça j'ai du en faire des tonnes et surtout au début ...et pas tant de retour que ça ! et pourtant je surveille quand j'en revois des anciens , je mitraille histoire de voir un peu ce que ça devient .... Bon je ne dis pas qu'il faille bacler le truc, mais c'est pas non plus la peine d'en faire un drame ! et puis la digue , j'en ai posé une une fois à la fac !!! et je ne suis pas belge ! Le bise Enlaye !


Vw campersurfvan bmnk1q - Eugenol
enlaye

13/01/2017 à 23h37

enlaye écrivait:
----------------oui oui ,vas y creves le ;-))))à pas peur ,Vulpi ( on disait comme ça à l'école quand on etait minot )
mets de l'huile ,petiton ,que ça brille comme çà :-)))
carident écrivait:
------------------ Ahaha... Mais pourquoi tu polis autant tes prépa? Pourquoi tu les "huiles"? Tu les prépares à un concour de bodybulding ou quoi? :-))))




Capture d  cran 2015 03 12 12.28 - Eugenol
chicot29

13/01/2017 à 23h38

Patient vu en urgence ( première fois) le 22/12 sur 15. ATB. je fais l'endo de 37 le 11 01 car j'avais le temps et remis le RTE de 15 la semaine suivante.
Ben figurez vous qu'il a pris rendez vous ailleurs ( sans annuler les RDV au cabinet) au motif que j'ai laissé l'infection sur 15 et qu'on ne prend rendez vous chez le dentiste que quand on a mal au dents et la 37 ne faisait pas mal ( la 15 non plus du reste après les ATB).

Mon pauvre garçon si tu savais En plus de la 15 tu as des traitements magnifiques sur 16 et 14. -)
D'ailleurs c'est un plaisir de ne pas avoir à les refaire un de ces 4 et de savoir que c'est un as de l'endo locale qui va s'occuper de toi. . -)))

Fait chier quand meme de se casser le cul pour rien.


--
En cas d'échec des négociations conventionnelles, seriez-vous prêt à suivre la promotion d'un déconventionnement massif de la profession par les syndicats représentatifs ? OUI - NON
Participez, anonymement, sur https://goo.gl/forms/nAO0htnsVmxotjYm1

Capture d écran 2017 01 13 23.26 - Eugenol

1...678...