Cookie Consent byPrivacyPolicies.comBon ça faisait longtemps - Eugenol

Bon ça faisait longtemps

Smile beach jgh0a1 - Eugenol
Céramik

09/01/2017 à 16h50


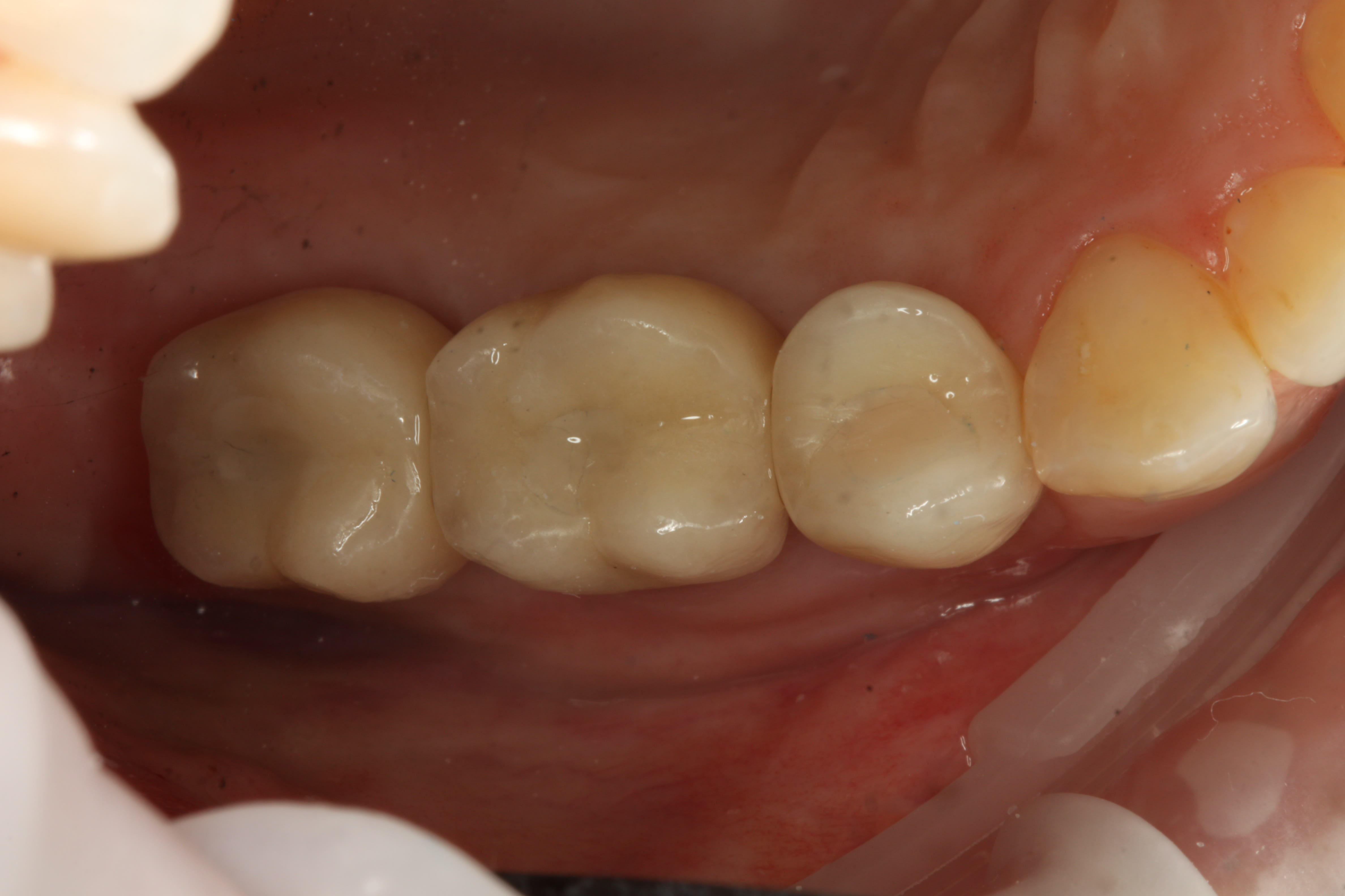
Exo racine région 15

Greffe/expansion zone 14 (que 3 mm d'os au départ)

Pose implants 14-15-16 (il n'y a pas de 7 en bas)

Greffe d'os zone 14-15 (particules, membrane collagène)

Un peu de mucco entre 14-13 (conjonctif)

2e temps 5 mois après pose

Empreinte 1 mois après

Pose couronnes zircone/céram transvissées
Nobel ASC : Angle Screw Chanel pour la 14, car axe pas top

Fermeture puits téflon-compo

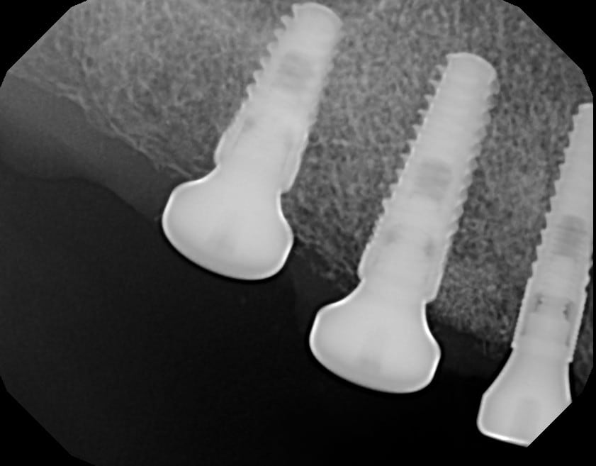
Radio

--
Céramik

Dm5gntjia1v3t3nipwyz - Eugenol
Fdbzah8x7gncawul90hz - Eugenol
Kaegpgscwiwbtj8hozfo - Eugenol
Nmgvybf7zabatowllgwl - Eugenol
Xqah81fas3whb15pzncj - Eugenol
I5cj8arp0bog7asuktrb - Eugenol
Nqystakzrjzpw2ucjspe - Eugenol
Hvzk1qj4m5trca3ezipe - Eugenol
Ksfd6ozkms4j0zuj8ce1 - Eugenol
Dc0kq1d6qaofj1sbojvk - Eugenol
Nxmwpfcfgx0verdkeumr - Eugenol
Zo549oa2jbzlk0wqzqzn - Eugenol
U66w5atr50g5aoqhtwsh - Eugenol
Fcauh9sielncsw2u3dhw - Eugenol
Mqirfespeimfbp6zlk4b - Eugenol

chicotierdu28

09/01/2017 à 17h36

Les cas de Céramik manquaient à Eugenol.


Generique fraisage r2rxmm - Eugenol
lardonbis

09/01/2017 à 17h42

c'est beau.


Jack 2 wm3tqs - Eugenol
Treponem

09/01/2017 à 17h44

lardonbis écrivait:
-------------------
> c'est beau.

pluzin


P2eqdh3csim6s7nb09ktdq3e7ev8 - Eugenol
barbabapat

09/01/2017 à 17h52

Techniquement, pourquoi avoir choisi des unitaires alors qu'en liant les éléments prothétiques tu pouvais éliminer deux axes de rotation.

Juste une question de secu?

Sinon, oui, c'est bien exécuté.


Smile beach jgh0a1 - Eugenol
Céramik

09/01/2017 à 18h12

barbabapat écrivait:
--------------------
> Techniquement, pourquoi avoir choisi des unitaires alors qu'en liant les
> éléments prothétiques tu pouvais éliminer deux axes de rotation.
>

Pas de sécu chez moi.
Principalement 2 raisons

1-J'aime pas solidariser : c'est tjrs mal nettoyer par les patients. Ici fil dentaire facile


2-Demande de la patiente : pas de bridge ou de dents jumelées
car elle a perdu des bridges dans le passé et désire des dents unitaires

Le secteur 2 est à faire aussi, autre bridge perdu, 3 implants à venir


--
Céramik


Photo pluton1b h9n4ea - Eugenol
pluton

09/01/2017 à 18h18

barbabapat écrivait:
--------------------
> Techniquement, pourquoi avoir choisi des unitaires

parce que c'est plus beau, parce que c'est bien mieux pour l’hygiène, parce qu'en cas de pb sur un élément t'as pas besoin de tout démonter, etc...

bien exécuté en tout cas, utilisation intelligente du transfert/pilier fourni (et oui, j'ai repéré l'hexagone résiduel...;-)...)

P.S: ID à sorti aussi ce genre de piliers pour rattraper les axes pour les transvissées...;-)


Icon poker h4nm2d - Eugenol
jeff

09/01/2017 à 18h21

barbabapat écrivait:
--------------------

> Juste une question de secu?

Non, puisque solidarisé ou pas, c'est remboursé pareil.


Smile beach jgh0a1 - Eugenol
Céramik

09/01/2017 à 18h24

pluton écrivait:
----------------

> bien exécuté en tout cas, utilisation intelligente du transfert/pilier fourni
> (et oui, j'ai repéré l'hexagone résiduel...;-)...)
>


15 et 16, piliers inclus avec l'InterActive

14 Pilier ASC de chez Nobel, compatible InterActive, avec rattrapage jusqu'à 25 degrés



--
Céramik

Asc y4vshj - Eugenol

Photo pluton1b h9n4ea - Eugenol
pluton

09/01/2017 à 18h52

oui, mais ils font aussi la même chose aussi maintenant chez ID...;-)...et amha moins cher que chez Nobel...;-)


tictac

09/01/2017 à 19h19

Tu utilises quoi comme matériau à empreinte. Chapeau en tout cas! T'as pas été gêné car le sinus car ça semble juste non?


moritooth

09/01/2017 à 19h26

C'est beau, c'est propre. Joli cas.

Au boulot pour l'autre coté !


Smile beach jgh0a1 - Eugenol
Céramik

09/01/2017 à 20h04

tictac écrivait:
----------------
> Tu utilises quoi comme matériau à empreinte. Chapeau en tout cas! T'as pas été
> gêné car le sinus car ça semble juste non?

Aquasil Ultra
Porte empreinte jetable de chez 3M

Sinus, tout juste, pose a mains levées avec scan sur l'écran en face ;-)

--
Céramik


Smile beach jgh0a1 - Eugenol
Céramik

09/01/2017 à 20h06

moritooth écrivait:
-------------------
> C'est beau, c'est propre. Joli cas.
>
> Au boulot pour l'autre coté !

Faut des sous, on verra dans qq mois

--
Céramik


Smile beach jgh0a1 - Eugenol
Céramik

09/01/2017 à 20h07

pluton écrivait:
----------------
> oui, mais ils font aussi la même chose aussi maintenant chez ID...;-)...et amha
> moins cher que chez Nobel...;-)

C'était pas dispo fin 2016 quand j'ai posé les couronnes
Merci pour l'info, je regarde.
Étrangement, ça mets du temps à arriver les changements chez ID dans mon coin...


Tu as un lien pour moi SVP
--
Céramik


Photo pluton1b h9n4ea - Eugenol
pluton

09/01/2017 à 21h22

Céramik écrivait:
-----------------

> Tu as un lien pour moi SVP
> --
> Céramik

http://store.implantdirect.eu/fr/prosthetics/interactive/37mmd-plat/cadcam-ti-bases.html


paulman2

10/01/2017 à 10h44

Petite question, quel compo tu utilise, il est très opaque et permet de bien cacher le puit

Merci

bonne journée

Paulman


Smile beach jgh0a1 - Eugenol
Céramik

12/01/2017 à 02h50

pluton écrivait:
----------------
> Céramik écrivait:
> -----------------
>
> > Tu as un lien pour moi SVP
> > --
> > Céramik
>
> http://store.implantdirect.eu/fr/prosthetics/interactive/37mmd-plat/cadcam-ti-bases.html

Merci


Pas dispo au Canada, pas aux USA (pas sur les sites web)

Je tél demain matin !




--
Céramik


Smile beach jgh0a1 - Eugenol
Céramik

12/01/2017 à 02h58

Avec couronne zircone, c'est déjà plus facile.

Ensuite, teflon dans le puit, compo flow blanc opaque (ionoseal)et Esthelite OA3.

Même recette sur tout mes cas, peut importe la couleur de la couronne, ça marche ;-)

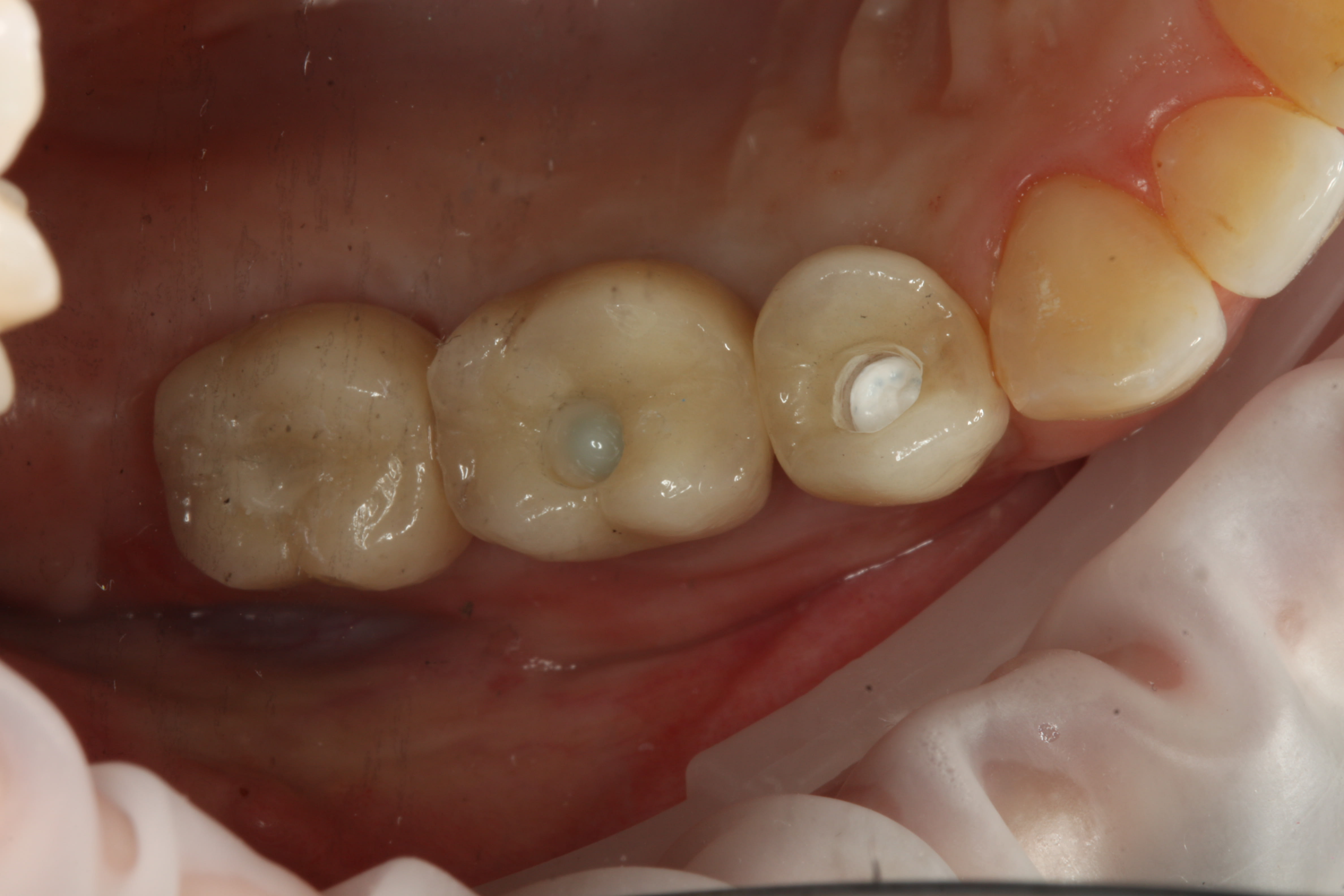
Photo avec 14 teflon, 15 plus Ionoseal et 16 plus Esthelite OA3

Sorry pour le miroir super sale :-(

--
Céramik

98 crowns 2 u8h1jr - Eugenol

paulman2

12/01/2017 à 07h08

Merci pour ta réponse
Bonne journée
Paulman


Smile beach jgh0a1 - Eugenol
Céramik

14/01/2017 à 17h04

pluton écrivait:
> ----------------
> http://store.implantdirect.eu/fr/prosthetics/interactive/37mmd-plat/cadcam-ti-bases.html
>

Réponse de ID Canada :

-Pas dispo au Canada avant novembre 2017...

:-(

Céramik


Blue eye thumb medium dx1i0w - Eugenol
bill

20/01/2022 à 23h48

Après celui d'alhoun, je remonte ce post, d'un autre excellent praticien, dommage qu'il ne poste plus...


--
https://docudent.fr
Tous les documents du cabinet dentaire
& l'aide à la cotation du Reste à Charge 0
________________________________________