Cookie Consent byPrivacyPolicies.comPourquoi c'est pas comme chicot ? - Eugenol

Pourquoi c'est pas comme chicot ?

iyaudat

17/01/2017 à 17h26

Salut,

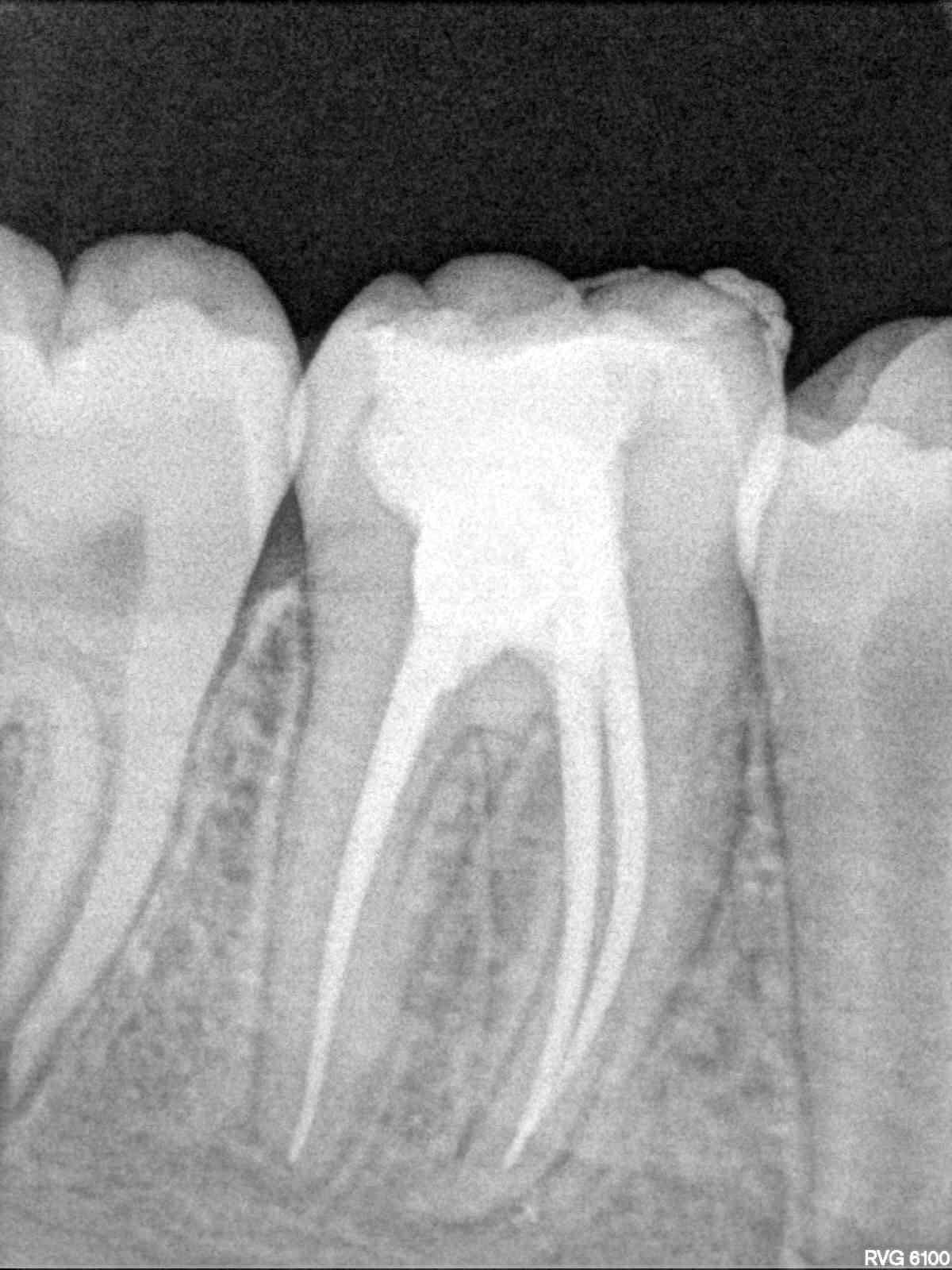
Voilà je me pose une petite question à force de voir les milliers de cas de chicot en Endo que je trouve tres réussis.

J'utilise moi aussi le reciproc, r25 et depuis qu'il est sorti je suis passé au blue.

Lors de mes traitements et retraitements j'ai du mal à avoir une image radio aussi belle que celle de chicot et celle qu'on peut voir parfois sur le forum, dans les publications, sur le net etc..

Mes Endos ont l'air "fades", dans le sens où mes obturations ont l'air moins denses donc moins etanchrs, peut importe la technique et je me demande d'où vient le problème.

Par exemple aujourd'hui rte sur 36,obturation mixte sisteme b + thermocompaction, mais si je fais thermocompaction seul c'est kif kif.

A votre avis ?

Quickmemo  2017 01 17 17 29 41 unqdnj - Eugenol

Generique fraisage r2rxmm - Eugenol
lardonbis

17/01/2017 à 17h30

le secret c'est la poudre d'amalgame dans le ciment :)

sinon un peu de sulfate de baryum ça peut aussi le faire


iyaudat

17/01/2017 à 17h33

lardonbis écrivait:
-------------------
> le secret c'est la poudre d'amalgame dans le ciment :)
>
> sinon un peu de sulfate de baryum ça peut aussi le faire

Ahh tout est plus clair ! =))

D'ailleurs je n'utilise qu'une pointe du ciment sur le bout de la gutta, peut être devrais-je en mettre plus ?

Au passage j'utilise le ciment MM-Seal, ça a peut être un rapport ?


lachmar

17/01/2017 à 17h34



parceque chicot retouche ses images avec un logiciel approprié


iyaudat

17/01/2017 à 17h35

lachmar écrivait:
-----------------
>
>
> parceque chicot retouche ses images avec un logiciel approprié

C'est cheatcot v2.9? On peut le trouver où? j'aimerais me faire un book Endo =)))


Hok 1b hgd3rj - Eugenol
Hokusai

17/01/2017 à 17h37

Photoshop tu connais ? Je te transforme la plus moche des obturations en meisterstuck
Disparition des lesions apicales et fragments d instruments inclue dans le pack !


iyaudat

17/01/2017 à 17h42

Hokusai écrivait:
-----------------
> Photoshop tu connais ? Je te transforme la plus moche des obturations en
> meisterstuck
> Disparition des lesions apicales et fragments d instruments inclue dans le pack
> !

3 réponses en 15 minutes ! Y a personne qui bosse ou quoi ? :0

Bref sinon comme qu'il fait ?

Chicot je t'invoque dans ce fil de discussion !!


Jack 2 wm3tqs - Eugenol
Treponem

17/01/2017 à 17h48

Retouche du contraste de tes Rx pour les sortir plus blanches que blanches ... je sais c'est cheap par rapport au photoshop :)


Generique fraisage r2rxmm - Eugenol
lardonbis

17/01/2017 à 17h58

deja ses clichés sont plus beaux que les tiens :p
:)


Orezza gazeuse verre litre ocoxey - Eugenol
casa

17/01/2017 à 18h15

Et ben voilà , on y est , le règne de l'image , du selfie endo ! de la retouche photoshop , peu importe le flacon ... As tu des problèmes avec tes endos ? es tu satisfait de ton travail ? Bref , effectivement tout un tas de paramètres peuvent jouer sur le contraste d'une radio . Déjà tu photographies un écran (avec quoi?) qui lui même n'est peut-être pas top , tes paramètres de contraste de radio numérique ne sont pas forcément les mêmes .. bref autant de facteurs qui peuvent te changer la donne en bien ou en mal ! Je ne pense pas que Chicot retouche ses radio ! faut pas pousser mais tes endos ont l'air parfaites donc stop à la chicomania ,c'est un peu notre Trump à nous ! grande gueule et étalant sa réussite !!!

Oh pinaise , je vais réveiller l'animal !

et à propos , à mon avis le selfie du siècle !

15977815 10210668091114898 5262520075168195552 n lfgszq - Eugenol

lachmar

17/01/2017 à 18h28

casa écrivait:
--------------
Je ne pense pas que Chicot
> retouche ses radio !


rassure toi ... personne ne pense que chicot retouche ses images

c'était de l'humour


Orezza gazeuse verre litre ocoxey - Eugenol
casa

17/01/2017 à 18h42

pis tiens un contre exemple , je ne suis pas chicot , j'ai pas tout ton matériel , je ne condense rien , ni à chaud ,ni à froid et pourtant ça sort pas mal !!! Comme quoi faut pas se fier aux photos , on peut tout faire avec ....

R2 aarbb4 - Eugenol

iyaudat

17/01/2017 à 18h43

Treponem écrivait:
------------------
> Retouche du contraste de tes Rx pour les sortir plus blanches que blanches ...
> je sais c'est cheap par rapport au photoshop :)

Je vais essayer =))

casa écrivait:
--------------
> Et ben voilà , on y est , le règne de l'image , du selfie endo ! de la retouche
> photoshop , peu importe le flacon ... As tu des problèmes avec tes endos ? es tu
> satisfait de ton travail ? Bref , effectivement tout un tas de paramètres
> peuvent jouer sur le contraste d'une radio . Déjà tu photographies un écran
> (avec quoi?) qui lui même n'est peut-être pas top , tes paramètres de contraste
> de radio numérique ne sont pas forcément les mêmes .. bref autant de facteurs
> qui peuvent te changer la donne en bien ou en mal ! Je ne pense pas que Chicot
> retouche ses radio ! faut pas pousser mais tes endos ont l'air parfaites donc
> stop à la chicomania ,c'est un peu notre Trump à nous ! grande gueule et étalant
> sa réussite !!!
>
> Oh pinaise , je vais réveiller l'animal !
>
> et à propos , à mon avis le selfie du siècle !
>

Aucun problème avec mes endos, mais vu que j'ai que peu de bouteille je le saurai surement dans longtemps =))

Non mais je sais que la radio fait pas l'endo mais si ca venait d'autre chose que les contrastes j'aurais voulu le savoir voila tout!

Merci en tout cas


Orezza gazeuse verre litre ocoxey - Eugenol
casa

17/01/2017 à 18h43

ah oui, moi non plus, pas retouchée ! Sinon c'est de la triche .


iyaudat

17/01/2017 à 18h45

casa écrivait:
--------------
> pis tiens un contre exemple , je ne suis pas chicot , j'ai pas tout ton matériel
> , je ne condense rien , ni à chaud ,ni à froid et pourtant ça sort pas mal !!!
> Comme quoi faut pas se fier aux photos , on peut tout faire avec ....

T'as quel capteur radio et avec quel logiciel? as-tu modifié des parametres? tu utilises quel ciment?


Orezza gazeuse verre litre ocoxey - Eugenol
casa

17/01/2017 à 18h56

RVG trophy , ciment : Acroseal de SEPTODONT ,je crois que Chicot a une trophy aussi ...


Orezza gazeuse verre litre ocoxey - Eugenol
casa

17/01/2017 à 18h57

Ah oui le logiciel y fait beaucoup parce que avec un même capteur et une mise à jour logiciel j'ai vraiment vu la différence de netteté !


Gruik

17/01/2017 à 19h00

casa écrivait:
--------------

> et à propos , à mon avis le selfie du siècle !

C'est un fake!


Orezza gazeuse verre litre ocoxey - Eugenol
casa

17/01/2017 à 19h07

aahh mince , je suis déçue !!!!


Jack 2 wm3tqs - Eugenol
Treponem

17/01/2017 à 19h16

casa écrivait:
--------------
> pis tiens un contre exemple , je ne suis pas chicot , j'ai pas tout ton matériel
> , je ne condense rien , ni à chaud ,ni à froid et pourtant ça sort pas mal !!!
> Comme quoi faut pas se fier aux photos , on peut tout faire avec ....

Faut y coller un IC/Cr sur ton endo casa ...
Bon allez je me sauve ;)


Orezza gazeuse verre litre ocoxey - Eugenol
casa

17/01/2017 à 20h19

Ouais , vais faire ça aussi comme chicot ! Pour la petite histoire de cette dent , gamine de 14 ans chez qui un jeune confrère a voulu faire un composite ... qui a mal tourné ! douleurs mais il n'a rien voulu savoir et les parents me l'ont amené .... Heureusement qu'ils n'ont pas attendu trop longtemps ....: bon , à sa décharge , faut dire que la gamine est ch ..pénible !


Avatar eugenol pe0ymx - Eugenol
nicklebenou

17/01/2017 à 21h22

iyaudat écrivait:
-----------------
> Treponem écrivait:
> ------------------
> > Retouche du contraste de tes Rx pour les sortir plus blanches que blanches ...
> > je sais c'est cheap par rapport au photoshop :)
>
> Je vais essayer =))
>
> casa écrivait:
> --------------
> > Et ben voilà , on y est , le règne de l'image , du selfie endo ! de la
> retouche
> > photoshop , peu importe le flacon ... As tu des problèmes avec tes endos ? es
> tu
> > satisfait de ton travail ? Bref , effectivement tout un tas de paramètres
> > peuvent jouer sur le contraste d'une radio . Déjà tu photographies un écran
> > (avec quoi?) qui lui même n'est peut-être pas top , tes paramètres de
> contraste
> > de radio numérique ne sont pas forcément les mêmes .. bref autant de facteurs
> > qui peuvent te changer la donne en bien ou en mal ! Je ne pense pas que Chicot
> > retouche ses radio ! faut pas pousser mais tes endos ont l'air parfaites donc
> > stop à la chicomania ,c'est un peu notre Trump à nous ! grande gueule et
> étalant
> > sa réussite !!!
> >
> > Oh pinaise , je vais réveiller l'animal !
> >
> > et à propos , à mon avis le selfie du siècle !
> >
>
> Aucun problème avec mes endos, mais vu que j'ai que peu de bouteille je le
> saurai surement dans longtemps =))
>
> Non mais je sais que la radio fait pas l'endo mais si ca venait d'autre chose
> que les contrastes j'aurais voulu le savoir voila tout!
>
> Merci en tout cas

la radio opacité de la gutta peut varier en fonction de la concentration en oxyde de zinc... selon les marques et leur composition densité différente. et aussi de la qualité de ton capteur numérique donc te prends pas la tête


moritooth

17/01/2017 à 23h07

Ben...il est où Chicot ? allez fait pas le timide !


Capture d  cran 2015 03 12 12.28 - Eugenol
chicot29

18/01/2017 à 01h13

casa écrivait:
--------------
> pis tiens un contre exemple , je ne suis pas chicot , j'ai pas tout ton matériel
> , je ne condense rien , ni à chaud ,ni à froid et pourtant ça sort pas mal !!!
> Comme quoi faut pas se fier aux photos , on peut tout faire avec ....

Sans ciment de scellement ca le fait aussi casa. -)


--
En cas d'échec des négociations conventionnelles, seriez-vous prêt à suivre la promotion d'un déconventionnement massif de la profession par les syndicats représentatifs ? OUI - NON
Participez, anonymement, sur https://goo.gl/forms/nAO0htnsVmxotjYm1

Capture d écran 2017 01 18 01.13 - Eugenol

Capture d  cran 2015 03 12 12.28 - Eugenol
chicot29

18/01/2017 à 01h20

Pour l'endo au départ du post elle est très bien c'est à mon avis une histoire de contraste.
Je vois que tu as le meme logiciel d'imagerie que le mien sers toi de la balance de contraste du panneau de controle !
Je vois qu'il y a des endos "sécu" un peu partout. Au lieu de se préoccuper du reste à charge sur la prothèse ils devraient se préoccuper du résultat catastrophique qu'engendrent leurs tarifs opposables de merde sur leurs assurés. -)

Tiens avec votre tiers payant de m.... il serait bon d'adjoindre en pièce jointe à la FSE les radios et photos des actes commis et vous payez en fonction de la qualité du travail. Il n'y a pas de raisons qu'une bouse soit honorée au meme tarif qu'un travail de qualité.
C'est tout à fait réalisable.

Une idée : collez des amendes pour les merdes ca financera le travail de qualité. et tirera tout le monde vers le haut. -) -)

--
En cas d'échec des négociations conventionnelles, seriez-vous prêt à suivre la promotion d'un déconventionnement massif de la profession par les syndicats représentatifs ? OUI - NON
Participez, anonymement, sur https://goo.gl/forms/nAO0htnsVmxotjYm1

Capture d écran 2017 01 18 01.20 - Eugenol
Capture d écran 2017 01 18 01.36 - Eugenol

12