Cookie Consent byPrivacyPolicies.comEnceinte de 7 mois , que faire ? - Eugenol

Enceinte de 7 mois , que faire ?

Icon hase505so n7k1wb - Eugenol
airylis

18/01/2017 à 09h41

Tout est dans le titre . Mis sous AB et attendre l'accouchement ?

Msfnffchknpjzrziadoj - Eugenol

Generique fraisage r2rxmm - Eugenol
lardonbis

18/01/2017 à 09h48

bobo ?
foyer actif ?

Demande écrite à l'obstétricien si ça suinte pour moi.
Ne rien faire sans ça.
On m'a déjà emmerdé +++ 3 mois après pour une périapicale, alors une exo/curetage :)


220px don camillo4 qrcfhs - Eugenol
camillo

18/01/2017 à 09h56

Envoi la patiente avec un courrier explicatif et la radio au gynéco obstétricien.
A lui de voir si il veut l'envoyer chez le stomato pour exo en milieu hospitalier.
En clair, evites toi du stress pour rien ( enfin pour 33.44 euros)


Img 9301 q0yyqn - Eugenol
Art-dent

18/01/2017 à 09h58

lardonbis écrivait:
-------------------
> bobo ?
> foyer actif ?
>
> Demande écrite à l'obstétricien si ça suinte pour moi.
> Ne rien faire sans ça.
> On m'a déjà emmerdé +++ 3 mois après pour une périapicale, alors une
> exo/curetage :)

Même question, c'est symptomatique?
Sinon, pourquoi vouloir extraire en première intention larbondis?


--


Generique fraisage r2rxmm - Eugenol
lardonbis

18/01/2017 à 10h10

si ça suinte faut peut être dynamiter :)
faudrait pas que ça sente le pourris pendant l'accouchement :)


4a338550 6a5b 47ea b2a7 d3cb675c5076 oni5gh - Eugenol
fistule 69

18/01/2017 à 10h20

7 mois, c'est trop tard pour avorter ?
😷😜


Icon hase505so n7k1wb - Eugenol
airylis

18/01/2017 à 10h23

Patiente étrangère qui vit sur un bateau, a déjà accouché sur ce bateau... n'a pas de gyneco ni de medecin... Bref c'est a moi de prendre la décision ! Pas facile car je pense au bébé , pas a elle qui se fout de sa santé !


Generique fraisage r2rxmm - Eugenol
lardonbis

18/01/2017 à 10h34

comment tu peux te retrouver dans une merde pareille ? :)
t'es sur une barque davier à la main, frontale/botte pour l'exo :) ?


4a338550 6a5b 47ea b2a7 d3cb675c5076 oni5gh - Eugenol
fistule 69

18/01/2017 à 10h45

Des merdes planquées, on en a tous !
AB type pénicillines s'il y a des signes cliniques, sinon rien et on fait un beau bébé avant de toucher.
Quelque chose me dit que le truc ne date pas d'hier !
Tu envoies au sto après.
😷🤗


zolimome

18/01/2017 à 11h09

fistule 69 écrivait:
--------------------

si fistule e dit... sait que quoi qu'y cause...


Generique fraisage r2rxmm - Eugenol
lardonbis

18/01/2017 à 11h18

fistule 69 écrivait:
--------------------
> Des merdes planquées, on en a tous !

je parle pas de ça.

C'est plus le combo patient flottant/pas de suivi obstétrical qui me fait halluciner


Icon hase505so n7k1wb - Eugenol
airylis

18/01/2017 à 11h30

lardonbis écrivait:
-------------------
> comment tu peux te retrouver dans une merde pareille ? :)
> t'es sur une barque davier à la main, frontale/botte pour l'exo :) ?

Non j'habite prés du port et cette dame est russe et ...ma femme aussi, alors ...
Je vais continuer les AB et attendre , vu les commentaires et l'avis d'un ami chirurgien maxillo facial ...et essayer , quand même? de desobturer le canal et le laisser ouvert ?


Icon hase505so n7k1wb - Eugenol
airylis

18/01/2017 à 11h36

fistule 69 écrivait:
--------------------
> Des merdes planquées, on en a tous !
> AB type pénicillines s'il y a des signes cliniques, sinon rien et on fait un
> beau bébé avant de toucher.
> Quelque chose me dit que le truc ne date pas d'hier !
> Tu envoies au sto après.
> 😷🤗

Oui d’après ce que j'ai compris , elle a déjà été 2 fois quand elle était en Belgique voir des dentistes qui lui "ont coupé la gencive" ...(traduction :-).


Icon hase505so n7k1wb - Eugenol
airylis

18/01/2017 à 11h41

Je flippe quand même car je pense au bébé , ou ...aux jumeaux car vue la grosseur du ventre a 7 mois ... ! Et me sentirai responsable si quelque chose arrivait !


lachmar

18/01/2017 à 11h47

airylis écrivait:
-----------------
> Je flippe quand même car je pense au bébé , ou ...aux jumeaux car vue la
> grosseur du ventre a 7 mois ... ! Et me sentirai responsable si quelque chose
> arrivait !


alors n'hesite pas adresse la à un service hospitalier

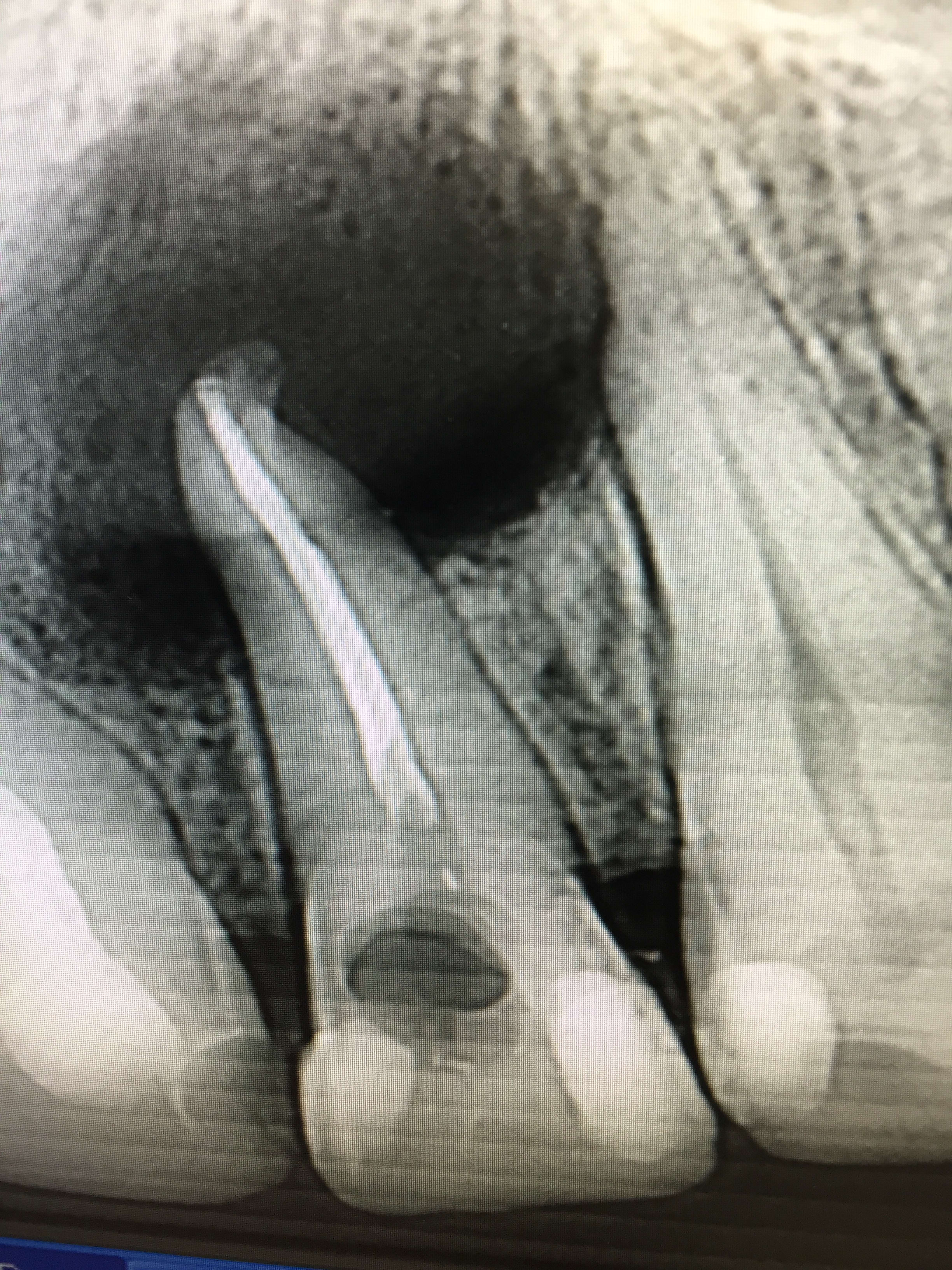
tu ne peux pas faire la RTE parcequ'il y a un apex deplace et l'indication d'une chir endo


Photo1 wmxx1a - Eugenol
Dentalgic

18/01/2017 à 11h55

D'accord avec lachmar, fracture du 1/3 apical : à extraire.
Pourquoi attendre?


4a338550 6a5b 47ea b2a7 d3cb675c5076 oni5gh - Eugenol
fistule 69

18/01/2017 à 12h04

zolimome écrivait:
------------------
> fistule 69 écrivait:
> --------------------
>
> si fistule e dit... sait que quoi qu'y cause...

Trop subtile pour toi !
😷😜


Generique fraisage r2rxmm - Eugenol
lardonbis

18/01/2017 à 12h17

Dentalgic écrivait:
-------------------
> D'accord avec lachmar, fracture du 1/3 apical : à extraire.
> Pourquoi attendre?

parce qu'en cas de merde ( il est myope, il boite :) ), même n'ayant rien à voir avec cette dent on cherchera un coupable. Et si c'est pas Баба Яга la coupable , c'est donc le dentiste :)

Obstétricien c'est tout, y'a surement d'autres choses qu'une cachole pourrie qu'il doit vérifier.


Images nv3xcf - Eugenol
au fond du canal

18/01/2017 à 13h07

Risque de prématurité fortement accru du fait du foyer infectieux chronique.
Ça serait ma femme, je réglerai le problème infectieux ASP.



--
"Mal nommer les choses c'est ajouter au malheur du monde"
Albert Camus.


pharmacien75

18/01/2017 à 13h14

Attention aux ATB contre-indiqués chez la femme enceinte par contre.


Image001 e0kg9q - Eugenol
clemsdent

18/01/2017 à 13h46

et si le gamin est myope et qu'on vous renvoie la faute pour dire c'est parce que le dentiste m'a mis ss ATB pdt 2 mois, car il voulait pas traiter... !!!
franchement .... !!

l'indication est clairement l'extraction, et vu qu'elle est enceinte, c'est une raison de plus !!!








Avatar hjdsnm - Eugenol
TiGabi

18/01/2017 à 13h47

Si vous avez des doutes sur l'abord d'une femme enceinte lors de soins bucco-dentaires, vous trouverez facilement des articles synthétiques sur le sujet. Ces connaissances font parti du bagage minimal à avoir en médecine bucco-dentaire.
Aucun médecin ne connait mieux les dents ou la bouche qu'un chirurgien-dentiste. Nous seuls savons à quoi correspond réellement la lésion radio-claire visible à l'apex de cette dent : un bouillon de culture de stretptocoques et de germes anaérobies, entourés d'une zone très inflammatoire, aux nombreux capilaires dilatés dans lesquels se déversent à chaque minute plusieurs milliers de bactéries.

Une demi-carpule d'anesthésique résorbée en 2 heures est infiniment moins nocive qu'une bactérièmie constante pendant 2 mois.

Je vous prie de réaliser que ce forum est public. Je ressens une certaine gêne à lire qu'une dizaine de chirurgiens-dentistes ne suffisent pas pour avulser une dent.


Generique fraisage r2rxmm - Eugenol
lardonbis

18/01/2017 à 13h52

clemsdent écrivait:
-------------------
> et si le gamin est myope et qu'on vous renvoie la faute pour dire c'est parce
> que le dentiste m'a mis ss ATB pdt 2 mois, car il voulait pas traiter... !!!
> franchement .... !!
>
> l'indication est clairement l'extraction, et vu qu'elle est enceinte, c'est une
> raison de plus !!!


on risque bien plus de te reprocher de ne pas avoir orienté la patiente , avec ou sans sa dent (oui il faut la virer c'est clair), vers la consult gynéco du coin.



--
la réponse à vos questions est sans doute sur www.arcad-dentaire.fr !


Vw campersurfvan bmnk1q - Eugenol
enlaye

18/01/2017 à 14h08

7 mois ? Il est temps de commencer La tapisserie rose ou bleue .je sors.


Avatar hjdsnm - Eugenol
TiGabi

18/01/2017 à 14h10

lardonbis écrivait:
-------------------
> on risque bien plus de te reprocher de ne pas avoir orienté la patiente , avec
> ou sans sa dent (oui il faut la virer c'est clair), vers la consult gynéco du
> coin.

Je ne vois pas ce qu'apporterait une consultation chez un gynécologue.