Cookie Consent byPrivacyPolicies.comPatient polycarieux/ Gougerot - Eugenol

Patient polycarieux/ Gougerot

Decapfour

18/01/2017 à 13h54

Bonjour à tous,
Je vous écris pour vous soumettre un cas et avoir vos avis et retour d'expérience.
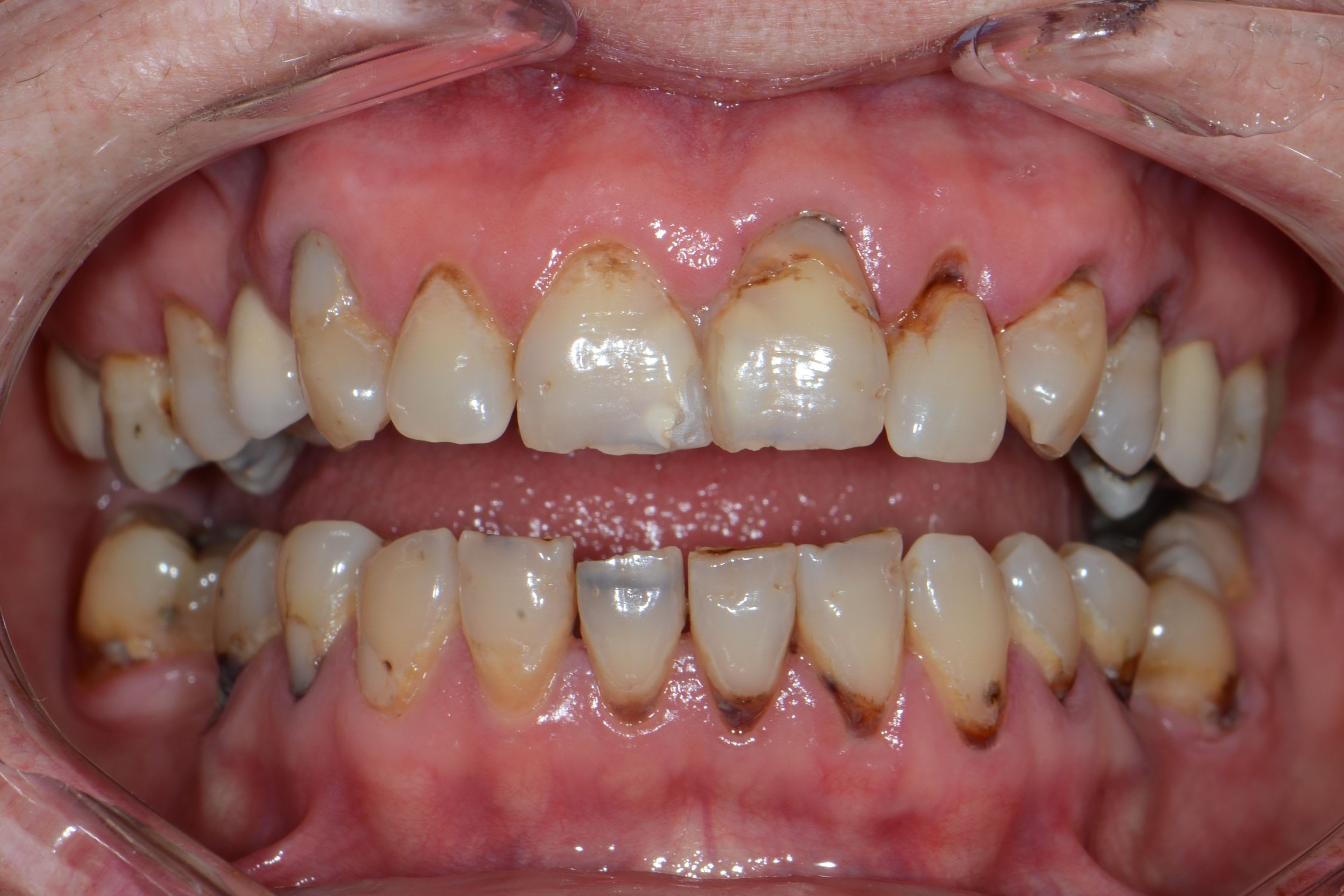
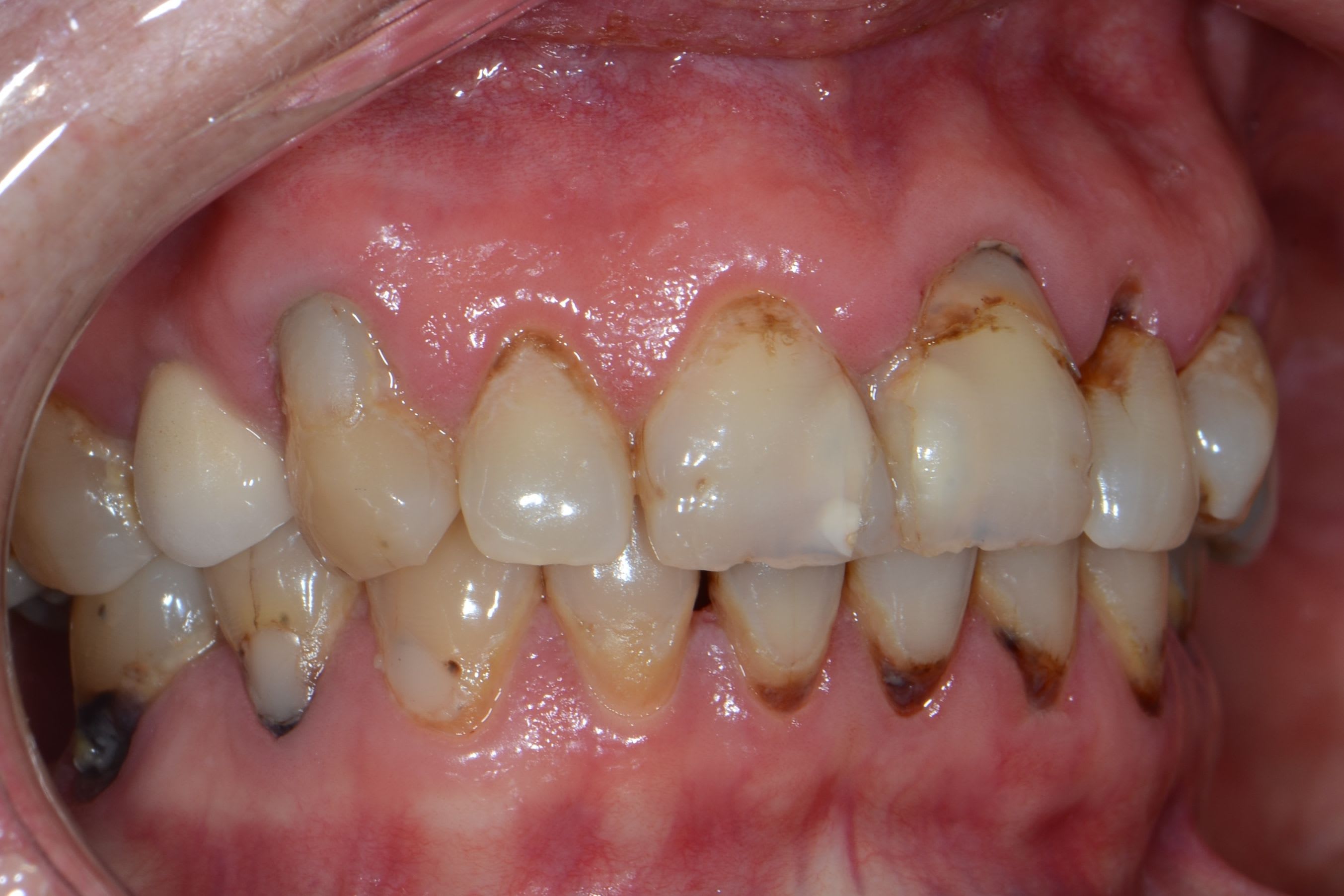
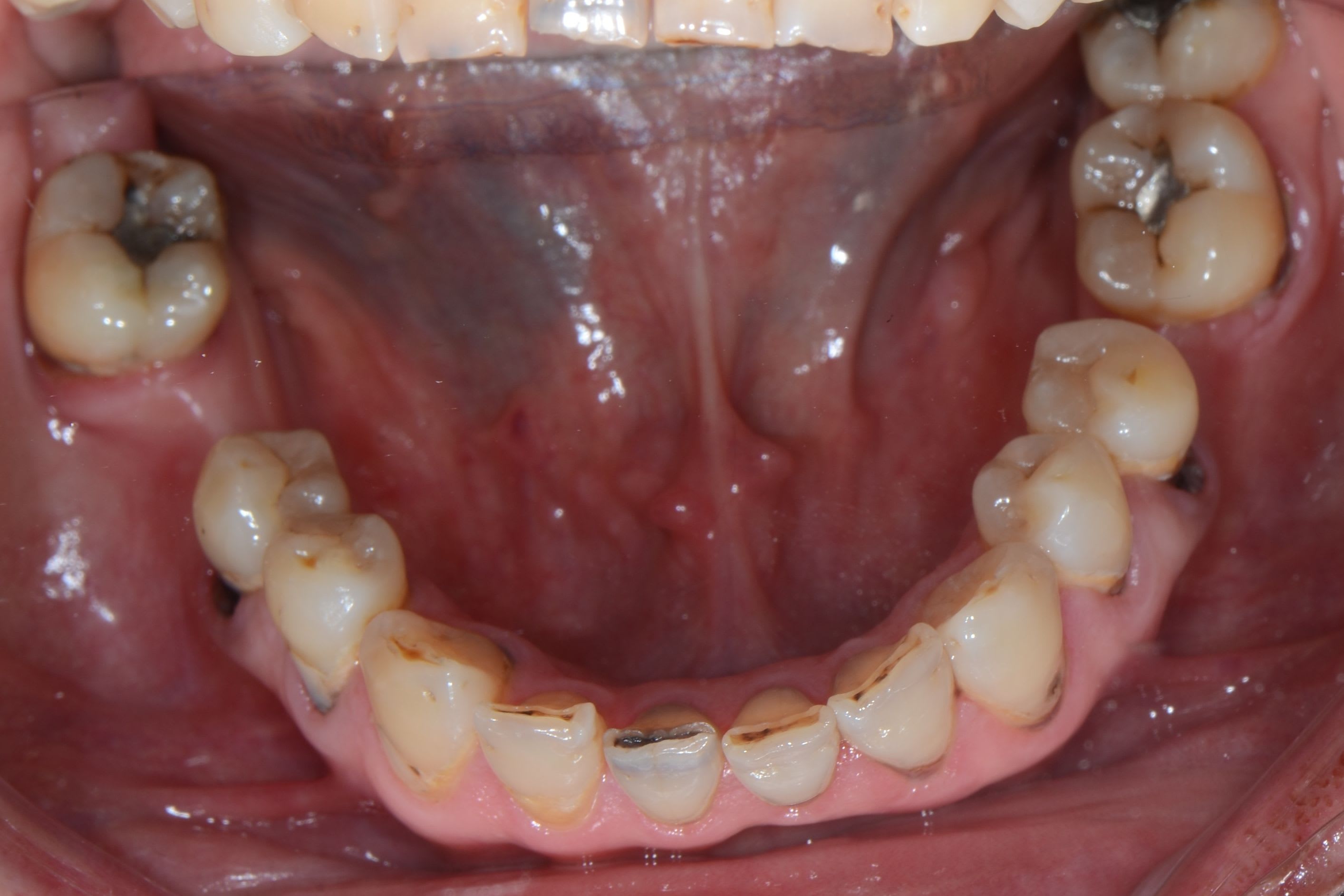
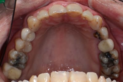
Nouvelle patiente 60 ans, pas de tabac, pas d'habitudes alimentaires prédisposantes mais syndrôme sec, très peu de salivation et ce depuis 2 ans.
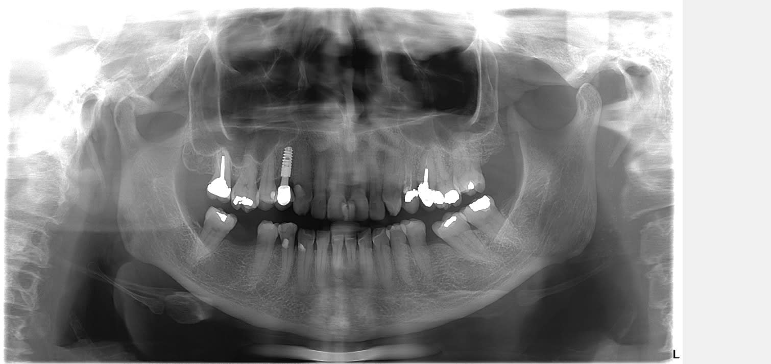
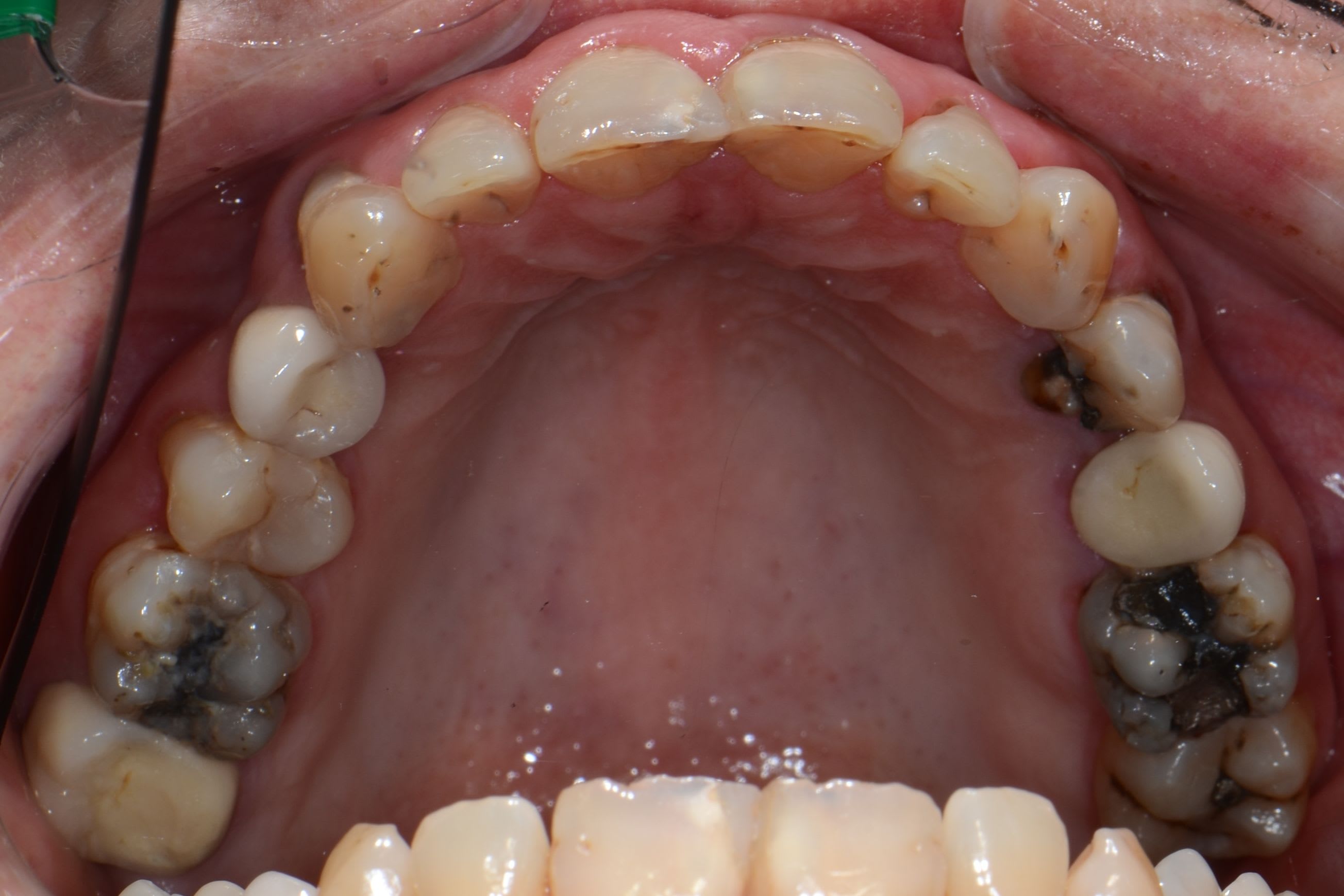
A l'examen clinique, caries de collets typiques, la 45 a du être dévitalisée. Les caries sont plus importantes cliniquement que radiologiquement. Par ex les incisives mand étaient presque intégralement cariées en linguale (?).
Je lui ai fais un bilan et ai décidé de soigner les caries de collet au CVI (GC Equia forte). La 24 et 45 seront couronnées.
Le souci est que malgré la fluoration (flucaril bi-fluoré), motiv à l'hygiène ca progresse quand même.
Elle ne peut venir qu'une fois par mois.
J'ai l'impression que ca ne finira jamais, sans parler du coté relativement inesthétique du cvi.
Je peux pas faire de gouttières car les soins sont en cours.....
Que feriez vous?
Est une indication de couronner les dents atteintes?
Merci a vous!

Bonne journée


Jbtde0ljpe59f2b6zx0c - Eugenol
Tcjwyiazc1a3jg3ncm4e - Eugenol
Xgcdolsvofqrbltdednc - Eugenol
Emo6wkddxaebd6op1d94 - Eugenol
Ckgida6ms52nk9gqduzv - Eugenol
Yq8d7dzhh5t8rfqjb2rc - Eugenol
Z0ykjej3qfiquq2jcldd - Eugenol

Generique fraisage r2rxmm - Eugenol
lardonbis

18/01/2017 à 14h08

elle prend quoi comme psychotrope ?


--
la réponse à vos questions est sans doute sur www.arcad-dentaire.fr !


Zorba le grec 1373406512 108 lfk5ey - Eugenol
zorbalegrec

18/01/2017 à 14h58

Pour savoir si c'est un gougerot sjogren, demande lui si elle a des sécheresses vaginales


Generique fraisage r2rxmm - Eugenol
lardonbis

18/01/2017 à 15h29

genre il faut demander avant pfff

le test du sucre, ya que ça de vrai :)


--
la réponse à vos questions est sans doute sur www.arcad-dentaire.fr !


Capture d  cran 2015 03 12 12.28 - Eugenol
chicot29

18/01/2017 à 16h07

moi je ne vois aucun problème particulier.Je trouve plutôt qu'elle a une bouche saine pour son age.. -)

Par chez moi à 30 ans ca donne ca très fréquemment. . -)

--
En cas d'échec des négociations conventionnelles, seriez-vous prêt à suivre la promotion d'un déconventionnement massif de la profession par les syndicats représentatifs ? OUI - NON
Participez, anonymement, sur https://goo.gl/forms/nAO0htnsVmxotjYm1

Capture d écran 2017 01 18 16.06 - Eugenol

Decapfour

18/01/2017 à 18h27

Ok merci pour les réponses.
Sinon concrètement ? ...


Dsc 0094 rkrzoz - Eugenol
Guillaume T

19/01/2017 à 05h50

Sur un syndrome sec le pouvoir tampon de la salive se casse la figure et la plaque est très adhérente.
Bon... j'allais dire que ce n'est pas la cata eu égard à ce que je vois tous les jours dans mon coin.
Sur les polycaries récidivantes je me sers beaucoup de vernis fluoré type Bifluorid ou autre.
Quant au matériau de restauration idéal pour une carie juxta ou sous sous gingivale... ca se complique.
Le PH initial des CVI lors du début de la réaction acide base reste assez bas, et sur une dentine jeune et perméable le risque de toxicité pulpaire est élevé; Sur une dentine scléreuse le risque est bien moindre.
le risque du CVI est que son étanchéité n'est acquise que sur une dentine parfaitement saine, or la marge cervicale d'une carie en nappe n'est pas toujours très nette, même avec un fil rétracteur. Le CVI sur des épaisseurs trop fines craquèle.
S'il n'y a pas de risque pulpaire, je me sers beaucoup de CVI + compo avec rétraction gingivale et vernis fluoré.
lors des comblements de sillons chez les polycariés, je termine toujours ma séance par une application de vernis.
Je crois que sur le plan épidémio, en terme de CAO, les vernis fluorés apportent le même gain que les comblements de sillons. alors je cumule les deux.


Decapfour

19/01/2017 à 07h07

Merci Guillaume