Cookie Consent byPrivacyPolicies.comMucco - Eugenol
Smile beach jgh0a1 - Eugenol
Céramik

19/01/2017 à 02h28

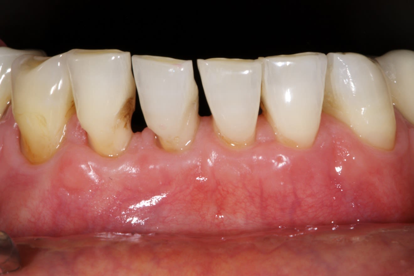
Résultat sympa à 14 jours


--
Céramik

Gdx9s1m5bmryqm4lh4bi - Eugenol
Rdxhwjr6amiibd9g7rzx - Eugenol
Gmk2mqrjefg5chnmxkk9 - Eugenol
Buybzhdhr0u2ig9msjpq - Eugenol
Ciloysaztcnfbshlcj1s - Eugenol
V5dnclpj0xuf2d1zeqjd - Eugenol
Mmqrszrdxtemhg7pgpjj - Eugenol
Slcidqcrovxlsky4qgrs - Eugenol

Aiguille cyboyt - Eugenol
fatboy

19/01/2017 à 04h41

Le greffon vient du palais?
Sympas tes points suspendus au flow.


Android jyzura - Eugenol
Tavéca

19/01/2017 à 09h05

Joli résultat, belle technique, félicitation.
Cependant ici l'indication aurait plus été une technique avec une greffe épthélio-conjonctive en 1 ou 2 temps amha.
Car même si l'épaisseur de gencive attachée est plus importante que sa hauteur, ici c'est trop limite.
Une récidive sur 31m et 32m, voir 41m est à prévoir.


atrax

19/01/2017 à 09h17

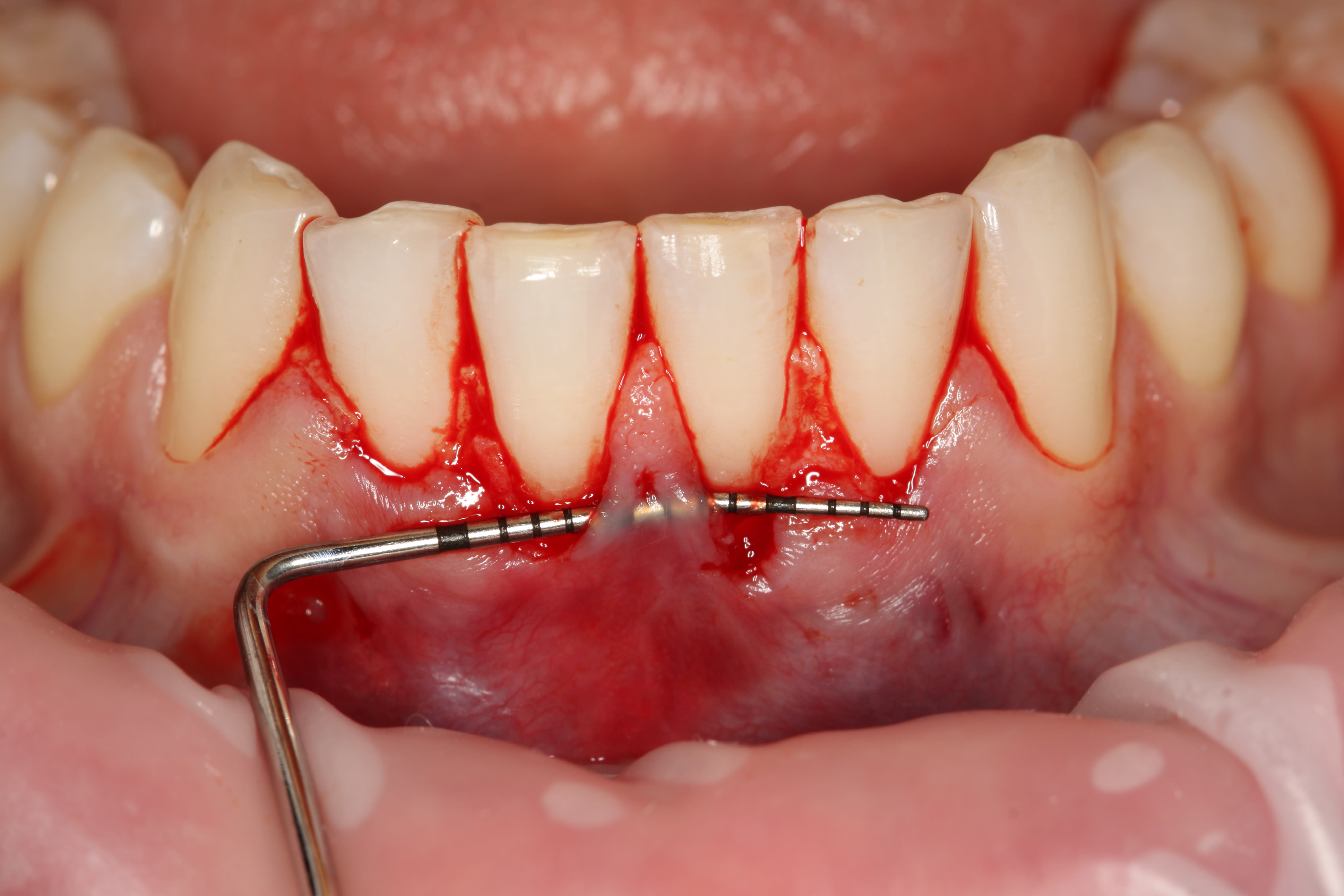
C'est magnifique et c'est élégant. Tu devrais photographier le moment où tu joues au maitre sushi avec ton scalpel pour enlever l'épithelium.


mjulkmilk

19/01/2017 à 19h15

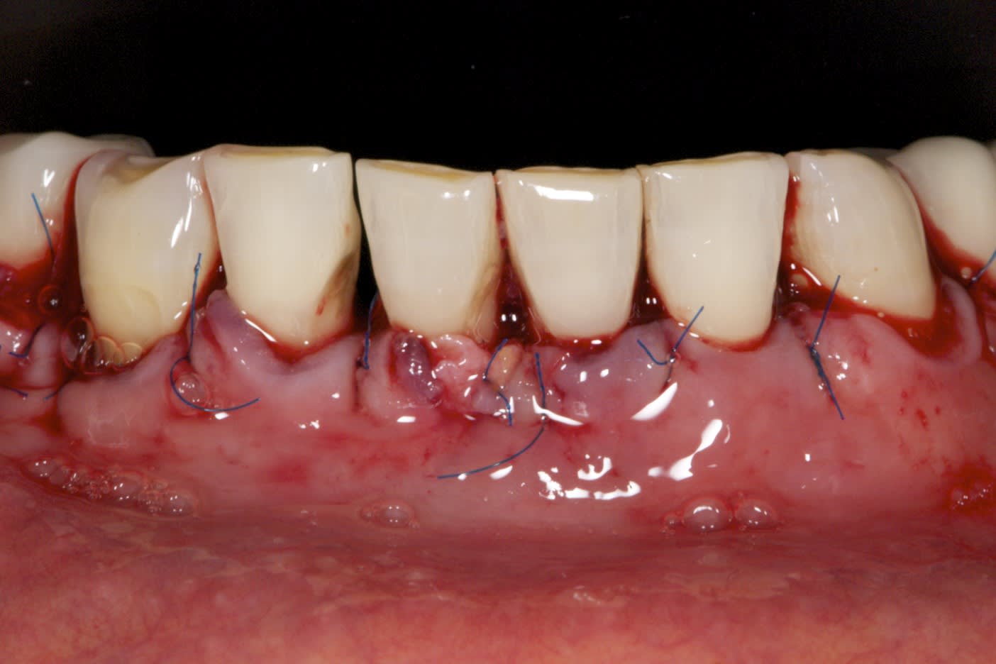
Joli les sutures, c est quoi comme fil?
Beau resultat, photo dans 5 ans?


Smile beach jgh0a1 - Eugenol
Céramik

20/01/2017 à 01h35

fatboy écrivait:
----------------
> Le greffon vient du palais?
> Sympas tes points suspendus au flow.


Palais, zone 24-26


--
Céramik


Smile beach jgh0a1 - Eugenol
Céramik

20/01/2017 à 01h40

Tavéca écrivait:
----------------
> Joli résultat, belle technique, félicitation.
> Cependant ici l'indication aurait plus été une technique avec une greffe
> épthélio-conjonctive en 1 ou 2 temps amha.
> Car même si l'épaisseur de gencive attachée est plus importante que sa hauteur,
> ici c'est trop limite.
> Une récidive sur 31m et 32m, voir 41m est à prévoir.

Merci
Pas d'accord avec toi pour la GEC
GEC dans un tissu mince comme ça c'est pas mieux, et doit faire du 2 temps, avec un résultat moche esthétiquement.

Récidive ??? non, au contraire, ça sera encore plus beau dans qq mois. Le biotype change avec l'ajout d'un tissu autogène dense comme celui utilisé. Je trouve pas ça limite du tout.

Tu as des cas comme celui-ci à nous montrer ?



--
Céramik


Smile beach jgh0a1 - Eugenol
Céramik

20/01/2017 à 01h41

atrax écrivait:
---------------
> C'est magnifique et c'est élégant. Tu devrais photographier le moment où tu
> joues au maitre sushi avec ton scalpel pour enlever l'épithelium.

Difficile de tenir l'apn et le scalpel en même temps.
Si tu passes dans mon coin démo live
--
Céramik


Smile beach jgh0a1 - Eugenol
Céramik

20/01/2017 à 01h43

mjulkmilk écrivait:
-------------------
> Joli les sutures, c est quoi comme fil?
> Beau resultat, photo dans 5 ans?

Prolene 6-0

Photo dans 5 ans si je peux revoir la patiente
--
Céramik


Generique fraisage r2rxmm - Eugenol
lardonbis

20/01/2017 à 08h57

à une époque on voyait des cas sur les sites anglosaxon avec une greffon en peau de macchabée ( juste la trame de collagène je pense ). les résultat était " whaou" .
C'était quoi le nom ?


--
la réponse à vos questions est sans doute sur www.arcad-dentaire.fr !


Android jyzura - Eugenol
Tavéca

20/01/2017 à 12h18


> Pas d'accord avec toi pour la GEC
> GEC dans un tissu mince comme ça c'est pas mieux, et doit faire du 2 temps, avec
> un résultat moche esthétiquement.

Je suis d'accord pour le coté "rustine" si le greffon vient du palais, il y a aussi la possibilité d'un lambeau déplacé latéralement, ceci dit je maitrise mal cette technique.
>
> Récidive ??? non, au contraire, ça sera encore plus beau dans quelques mois. Le
> biotype change avec l'ajout d'un tissu autogène dense comme celui utilisé. Je
> trouve pas ça limite du tout.

Bien sur la maturation tissulaire va donner un résultat esthétique très satisfaisant à court terme.
Je me pose plus la question sur le long terme sur les zones évoquées précédemment et le manque de gencive attachée et donc de tissu kératinisé.
Te méprend pas sur mes critiques, je suis moi-même très critique avec mon propre travail et je ne suis jamais satisfait à 100%, le but est de discuter, confronter nos opinion et progresser.
il faudra évaluer ton cas dans 5-6 ans ce serait intéressant.


>
> Tu as des cas comme celui-ci à nous montrer ?

Le premier cas était facile car suffisamment de hauteur de gencive attachée, le deuxième est en court, mais avec un biotype très fin, je le sens mal.
>

1 eubsba - Eugenol
3 tl9xjt - Eugenol
2 slihuh - Eugenol
4 rwtpbm - Eugenol

Android jyzura - Eugenol
Tavéca

20/01/2017 à 12h21

2eme cas

5 rdpeb1 - Eugenol
6 tsfwgt - Eugenol
7 tsvsxd - Eugenol

Generique fraisage r2rxmm - Eugenol
lardonbis

20/01/2017 à 12h26

la qualité des photos... c'est beau ( les actes aussi :) ).

--
la réponse à vos questions est sans doute sur www.arcad-dentaire.fr !


Smile beach jgh0a1 - Eugenol
Céramik

21/01/2017 à 17h03

Tavéca écrivait:
----------------

> Le premier cas était facile car suffisamment de hauteur de gencive attachée, le


Beau travail

--
Céramik


Smile beach jgh0a1 - Eugenol
Céramik

21/01/2017 à 17h09


Consult de vendredi, joli défi en vue

--
Céramik

Defi lmurhm - Eugenol
Img 9920 lxqifx - Eugenol

Utilisateur banni

22/01/2017 à 04h22

J'ai une question :
Quand la gencive est fine comme dans vos cas -> comment faites vous pour faire un lambeau en épaisseur partielle?
Ou alors c'est pas possible et vous mettez votre greffon sous un lambeau d'épaisseur totale ?


Android jyzura - Eugenol
Tavéca

22/01/2017 à 10h39

junior® écrivait:
-----------------
> J'ai une question :
> Quand la gencive est fine comme dans vos cas -> comment faites vous pour faire
> un lambeau en épaisseur partielle?
> Ou alors c'est pas possible et vous mettez votre greffon sous un lambeau
> d'épaisseur totale ?

C'est pour ça que je ne sent pas trop mon deuxième cas et que dans un cas de biotype fin une GEC est préférable au préalable


Android jyzura - Eugenol
Tavéca

22/01/2017 à 10h42

Céramik écrivait:
-----------------
>
> Consult de vendredi, joli défi en vue
>
> --
> Céramik

As-tu prévu une radiculoplastie?
Et un petit coup de fil à l'ortho aussi ;)!


Smile beach jgh0a1 - Eugenol
Céramik

22/01/2017 à 16h56

Tavéca écrivait:
----------------
> Céramik écrivait:
> -----------------
> >
> > Consult de vendredi, joli défi en vue
> >
> > --
> > Céramik
>
> As-tu prévu une radiculoplastie?
> Et un petit coup de fil à l'ortho aussi ;)!

Radiculoplastie ? non

J'ai prévu une GEC, puis qq mois après une lambeau déplacé coronairement avec greffe bioos/emdogain

Ouais l'ortho a poussé les dents hors de l'arcade...

--
Céramik