Cookie Consent byPrivacyPolicies.comprotaper gold - Eugenol

protaper gold

abitbol bernard

01/02/2017 à 10h02

Bonjour

Que pensez vous des protaper gold en rotation continue?

J'en utilise et je ne suis pas satisfait comparé avec les protaper universel.J'ai beaucoup de casse.

Merci de votre aide


lachmar

01/02/2017 à 10h11



je ne sais pas comment tu fais

on est plusieurs ici à etre enthousiasmes par les gold avec zero casse

il faut simplement cesser de les utiliser dès qu'ils se despirent surtout S1 et F3


6szjws718sv1jksw54v4mpj3a6cu - Eugenol
vulpi

01/02/2017 à 10h15

Oui, surprenant, je les jette après 6 utilisations et bourine bien plus qu'avec les universels qui étaient pour le coup cassants (un peu comme Juppé, faudrait un Juppé gold :-)) )


lachmar

01/02/2017 à 10h16



moi c'est peu dire que je bourrine : je maltraire et je pousse (contrairement a ce qu'il faut faire)


PtnbZ

01/02/2017 à 10h17

Si tu les casses tu les utilises mal ou tu as achete du contrefait. Quelle est ta séquence ?


fatalmolaire

01/02/2017 à 14h52

Ben oui je confirme je préfère nettement les gold, ça dépote plus et pas de casse pour l'instant ...


moritooth

01/02/2017 à 17h02

En fait j'utilise que le SX et le S1, mais depuis le passage au gold , j'ai trouvé une amélioration. Le S1 prend beaucoup mieux les courbures et casse moins.

Meme amélioration en passant au Réciproc blue.


Generique fraisage r2rxmm - Eugenol
lardonbis

01/02/2017 à 17h40

avec une flexibilité comme ça on pourrait pas passer à des cavité d’accès moins délabrantes.

Je pense notamment à un protocole d'élimination des surplomb que j’avais vu dans la compil d'article "réalité clinique" ( un numéro de 1993/1995 je pense ).

la cavité d’accès était minimaliste mais autorisait le passage de l'instrument ( manuel dans l'article je crois) via une seule courbure


merde! le "no post no crown" rampe dans mon esprit..
--
la réponse à vos questions est sans doute sur www.arcad-dentaire.fr !


abitbol bernard

01/02/2017 à 18h19

Merci pour vos réponses

Première chose: Je suis peut être fou mais je n utilise que des limes neuves (la trouille sans doute)

deuxième chose: Je trouve que les limes sont trop souples et donc parfois avec le S1 en tâtonnant pour trouver les canaux MV de 17 (entre autre) ça se tord et ça Pete quand on tourne
Pour trouver des canaux "dur" d’accès avec ça: pas évident!!!! (c’était plus facile avec les universels)

Auriez vous un truc??


abitbol bernard

01/02/2017 à 18h22

Je rajoute que je n’achète jamais du contrefait


Olieve

01/02/2017 à 19h29

abitbol bernard écrivait:
-------------------------

> deuxième chose: Je trouve que les limes sont trop souples et donc parfois avec
> le S1 en tâtonnant pour trouver les canaux MV de 17 (entre autre) ça se tord
> et ça Pete quand on tourne
> Pour trouver des canaux "dur" d’accès avec ça: pas évident!!!! (c’était plus
> facile avec les universels)
>
> Auriez vous un truc??

Démarre ton traitement avec un SX Universal et continue ta séquence avec les golds une fois que l'entrée des canaux est évasée.


Bagheera tudzjy - Eugenol
bagheerra

01/02/2017 à 19h33

Olieve écrivait:
----------------
> abitbol bernard écrivait:
> -------------------------
>
> > deuxième chose: Je trouve que les limes sont trop souples et donc parfois avec
> > le S1 en tâtonnant pour trouver les canaux MV de 17 (entre autre) ça se tord
> > et ça Pete quand on tourne
> > Pour trouver des canaux "dur" d’accès avec ça: pas évident!!!! (c’était plus
> > facile avec les universels)
> >
> > Auriez vous un truc??
>
> Démarre ton traitement avec un SX Universal et continue ta séquence avec les
> golds une fois que l'entrée des canaux est évasée.

Tout à fait d'accord. Le problème est que chez les fournisseurs, les Universal sont petit à petit remplacés par des Gold.


lachmar

01/02/2017 à 21h43

abitbol bernard écrivait:
-------------------------
> le S1 en tâtonnant pour trouver les canaux MV de 17 (entre autre) ça se tord
> et ça Pete quand on tourne
> Pour trouver des canaux "dur" d’accès avec ça: pas évident!!!! (c’était plus
> facile avec les universels)
>
> Auriez vous un truc??



oui:
n'instrumenter que les canaux que tu vois

on ne trouve pas un canal avec un SX mais on elargit sa partie coronaire avec cet instrument

la cavité d'accès doit te permettre de visualiser toutes les entrées canalaire en abattant à l'aide d'US ou de mini fraises boules sur grand mandrins les portions de plancher qui peuvent les cacher

quand tu as repéré et dégagé l'accès de toutes tes entrées canalaires, tu as fait le plus dur

en aucun cas tu ne dois chercher avec un SX : tu risques de peter à cause du surplomb dentinaire


moritooth

01/02/2017 à 22h58

Chicot doit être en vacances. Etonnant qu'il ne soit pas encore passé sur ce fil...


CrownAndBridge

01/02/2017 à 23h34

Olieve écrivait:
----------------
> abitbol bernard écrivait:
> -------------------------
>
> > deuxième chose: Je trouve que les limes sont trop souples et donc parfois avec
> > le S1 en tâtonnant pour trouver les canaux MV de 17 (entre autre) ça se tord
> > et ça Pete quand on tourne
> > Pour trouver des canaux "dur" d’accès avec ça: pas évident!!!! (c’était plus
> > facile avec les universels)
> >
> > Auriez vous un truc??
>
> Démarre ton traitement avec un SX Universal et continue ta séquence avec les
> golds une fois que l'entrée des canaux est évasée.

Exactement comme toi et je jette aussi presque systématiquement. Presque impossible de rater une endo à moins de manquer de concentration. Bien plus à l'aise dans les plans de traitement !


Capture d  cran 2015 03 12 12.28 - Eugenol
chicot29

02/02/2017 à 06h34

moritooth écrivait:
-------------------
> Chicot doit être en vacances. Etonnant qu'il ne soit pas encore passé sur ce
> fil...

je trouve les canaux au sx sans meme avoir jeté un oeil dans la cavité d'accès. En suite je passe un coup de R25 blue puis SX , blue SX ....en gros jusqu'à 18 mm de lt. En suite je passe le S1 pour aller à l'apex.

Ca n'a foiré qu'une seule fois lundi. Et encore sur un canal franchement pas difficile à priori.



--
En cas d'échec des négociations conventionnelles, seriez-vous prêt à suivre la promotion d'un déconventionnement massif de la profession par les syndicats représentatifs ? OUI - NON
Participez, anonymement, sur https://goo.gl/forms/nAO0htnsVmxotjYm1

Capture d écran 2017 02 01 13.11 - Eugenol
Capture d écran 2017 02 01 15.45 - Eugenol
Capture d écran 2017 02 01 14.04 - Eugenol
Capture d écran 2017 02 01 15.37 - Eugenol

lachmar

02/02/2017 à 10h15

chicot29 écrivait:
------------------

>
> je trouve les canaux au sx sans meme avoir jeté un oeil dans la cavité d'accès.



champion du mooooooonde


Capture d  cran 2015 03 12 12.28 - Eugenol
chicot29

02/02/2017 à 11h02

Sauf pour le mv2 des fois. les trois autres c'est finger in the nose. mais bon c'est bien ouvert à la fraise tonneau avant ! -)

--
En cas d'échec des négociations conventionnelles, seriez-vous prêt à suivre la promotion d'un déconventionnement massif de la profession par les syndicats représentatifs ? OUI - NON
Participez, anonymement, sur https://goo.gl/forms/nAO0htnsVmxotjYm1


lachmar

02/02/2017 à 11h15



dans la plupart des MV2 sur les patients de plus de 40 ans, je passe un temps fou au microscope avec un insert US pour abattre le plafond et les rebords vicieux qui cachent le MV2

si tu attaque au SX classique tu vas droit à la fracture

pareil sur certains mésio vestibulaires de 36 ou 37 de patients agés

et pour les prémolaires du haut triphydes je te dis pas


champion du moooooonde


Capture d  cran 2015 03 12 12.28 - Eugenol
chicot29

02/02/2017 à 11h53

lachmar écrivait:
-----------------
>
>
> dans la plupart des MV2 sur les patients de plus de 40 ans, je passe un temps
> fou au microscope avec un insert US pour abattre le plafond et les rebords
> vicieux qui cachent le MV2
>

mouhahaha. A la fraise boule au toucher sans regarder contact plancher et tu travailles en remontant. . Tu as des problèmes de sensibilités au bout des doigts ? l'age surement. -))))

--
En cas d'échec des négociations conventionnelles, seriez-vous prêt à suivre la promotion d'un déconventionnement massif de la profession par les syndicats représentatifs ? OUI - NON
Participez, anonymement, sur https://goo.gl/forms/nAO0htnsVmxotjYm1


Vw campersurfvan bmnk1q - Eugenol
enlaye

02/02/2017 à 12h11

lachmar écrivait:
-----------------
" dans la plupart des MV2 sur les patients de plus de 40 ans, je passe un temps fou au microscope avec un insert US pour abattre le plafond et les rebords vicieux qui cachent le MV2"

ç est un Labrador qu'il te faut :-))))))))


lachmar

02/02/2017 à 12h23

enlaye écrivait:
----------------

>
> ç est un Labrador qu'il te faut :-))))))))



joli )))))


lachmar

02/02/2017 à 13h20

enlaye écrivait:
----------------

>
> ç est un Labrador qu'il te faut :-))))))))


on fait un deal ?

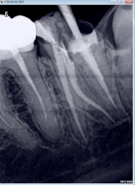
tu me montres 2 radios en incidence oblique de 2e MV obturés et je m'achète un lab )))


Capture d  cran 2015 03 12 12.28 - Eugenol
chicot29

02/02/2017 à 18h47

Et d'une. RTE s'il vous plait. -)


--
En cas d'échec des négociations conventionnelles, seriez-vous prêt à suivre la promotion d'un déconventionnement massif de la profession par les syndicats représentatifs ? OUI - NON
Participez, anonymement, sur https://goo.gl/forms/nAO0htnsVmxotjYm1

Capture d écran 2017 02 02 18.52 - Eugenol

6szjws718sv1jksw54v4mpj3a6cu - Eugenol
vulpi

02/02/2017 à 22h19

protaper pas gold, SX... tout neuf, juste sorti de l’emballage.

Dscf1089 vvouly - Eugenol

12