Cookie Consent byPrivacyPolicies.comPourquoi commet-on des erreurs??? - Eugenol

Pourquoi commet-on des erreurs???

Image saznoz - Eugenol
Hodina

03/02/2017 à 23h08

Réponses dans le dernier article du blog Arcad-dentaire
www.arcad-dentaire.fr



--
😁😁😁
Le Blog dentaire.
Cliquez ici--> www.arcad-dentaire.fr
Dernier article----------------POURQUOI COMMET-ON DES ERREURS??????
(-Vivre le sourire Hollywoodien-)

G0cs6n1bpgjcm7sl8krt - Eugenol

Vw campersurfvan bmnk1q - Eugenol
enlaye

04/02/2017 à 08h28

J ai bien aimé le biais rétrospectif .


iyaudat

04/02/2017 à 16h01

Intéressant merci pour cet article


Image saznoz - Eugenol
Hodina

04/02/2017 à 16h03

Moi aussi je l'aime bien le rétrospectif!
Concernant l'article, ça me fait plaisir de faire plaisir!!!



--
😁😁😁
Le Blog dentaire.
Cliquez ici--> www.arcad-dentaire.fr
Dernier article----------------Pourquoi commet-on des erreurs????
(-Vivre le sourire Hollywoodien-)


Generique fraisage r2rxmm - Eugenol
lardonbis

04/02/2017 à 16h10

sympa cet article Hodina.

Pour la prévention des échec j'avais beaucoup aimé une formation de Franck Renouard ( plutôt centré sur l'implanto mais les échec c'est les même cause partout ).

Je m'en sert toutes les semaines ou presque.

quelque chose que j'ai appris à cette formation :
http://www.acat-toulouse.org/uploads/media_items/objectif-destination-un-syndr%C3%B4me-souvent-fatal-amd2.original.pdf
Ne pas vouloir finir un plan de traitement à tout pris :)


--
la réponse à vos questions est sans doute sur www.arcad-dentaire.fr !


Image saznoz - Eugenol
Hodina

05/02/2017 à 11h32

lardonbis écrivait:
-------------------
> sympa cet article Hodina.
>
> Pour la prévention des échec j'avais beaucoup aimé une formation de Franck
> Renouard ( plutôt centré sur l'implanto mais les échec c'est les même cause
> partout ).
>
> Je m'en sert toutes les semaines ou presque.
>
> quelque chose que j'ai appris à cette formation :
> http://www.acat-toulouse.org/uploads/media_items/objectif-destination-un-syndr%C3%B4me-souvent-fatal-amd2.original.pdf
> Ne pas vouloir finir un plan de traitement à tout pris :)
>
>
> --
> la réponse à vos questions est sans doute sur www.arcad-dentaire.fr !

Salut Lardonbis,
Merci pour ton retour,
Et oui Franck Renouard est la sommité dans notre monde dentaire sur les Facteurs humains!
Plusieurs articles vont suivre sur ce thème que trouve passionnant!! Et trop souvent méconnu de nos confrères.
--
😁😁😁
Le Blog dentaire.
Cliquez ici--> www.arcad-dentaire.fr
Dernier article----------------Pourquoi commet-on des erreurs????
(-Vivre le sourire Hollywoodien-)


Thombod

06/02/2017 à 10h41

Merci pour cet article, pour les nonoliens qui veulent aller plus loin vous pouvez consulter la thèse publiée par un confrère qui a servi a écrire cet article et dont voici la source : http://thesesante.ups-tlse.fr/927/1/2015TOU33058.pdf


Vw campersurfvan bmnk1q - Eugenol
enlaye

06/02/2017 à 12h13

Tres belle these .tres claire .


Image saznoz - Eugenol
Hodina

06/02/2017 à 13h28

Merci pour le lien que je viens de rajouter sur le blog


--
😁😁😁
Le Blog dentaire.
Cliquez ici--> www.arcad-dentaire.fr
Dernier article----------------Pourquoi commet-on des erreurs????
(-Vivre le sourire Hollywoodien-)


P2eqdh3csim6s7nb09ktdq3e7ev8 - Eugenol
barbabapat

06/02/2017 à 14h50

http://www.lequotidiendumedecin.fr/actualites/article/2017/01/31/patient-malpoli-risque-derreur-medicale_844299


https://www.egora.fr/actus-pro/conditions-d-exercice/15390-les-patients-desagreables-vous-poussent-a-l-erreur

".......


Etre désagréable avec son médecin augmente le risque d'être mal diagnostiqué quand la pathologie est complexe, révèlent des chercheurs néerlandais.

Se montrer difficile, désagréable ou méfiant avec son médecin fait grimper de 42% le risque d'un mauvais diagnostic, en cas de pathologie compliquée. Des scientifiques de l'université de Rotterdam viennent de publier leurs résultants dans le BMJ quality & safety.

Les chercheurs ont réuni 63 futurs médecins de famille dans leur dernière année d’apprentissage. Ils les ont placés face à des scénarios d’examen censés mener au diagnostic d’une pathologie parmi six au choix. Chacune pouvait apparaître sous deux formes différentes : soit chez un patient normal, soit chez un patient pénible.

Chaque patient difficile était catégorisé comme très exigeant, agressif, suspicieux face aux compétences du médecin, indiscipliné par rapport aux conseils, dubitatif quant à la capacité du médecin à le prendre au sérieux, ou complètement désabusé.

Les six maladies étaient réparties selon deux groupes : trois étaient jugées faciles à diagnostiquer – pneumonie, embolie pulmonaire et méningo-encéphalite –, et trois plus compliquées – hyperthyroïdie, pancréatite aiguë d’origine alcoolique et appendicite.

A chaque consultation, les futurs médecins devaient émettre un diagnostic rapide en fonction des informations du scénario présenté. Ils pouvaient par la suite reprendre le descriptif plus longuement, et éventuellement réviser leur jugement.

Pour les trois pathologies les plus simples, le nombre de mauvais diagnostics était supérieur de 6 % chez les patients difficiles par rapport aux patients classiques. Pour les diagnostics compliqués, il s’élevait à 42 % ! Et même si la révision faisait baisser le pourcentage de mauvais diagnostics, elle ne suffisait pas à rattraper le retard.

"Cela suggère que l’énergie mentale dépensée pour appréhender le comportement problématique interfère avec l’assimilation des informations cliniques", expliquent les chercheurs. Ils pensent aussi que ces effets obtenus pour les besoins de l'étude sans contact direct avec les patients pourraient être encore plus importants dans la vie réelle.

........"


Generique fraisage r2rxmm - Eugenol
lardonbis

06/02/2017 à 19h02

barbabapat écrivait:
--------------------
> http://www.lequotidiendumedecin.fr/actualites/article/2017/01/31/patient-malpoli-risque-derreur-medicale_844299
>
>
> https://www.egora.fr/actus-pro/conditions-d-exercice/15390-les-patients-desagreables-vous-poussent-a-l-erreur


heureusement elle arrive, L'IA qui s'en bat de vos états d’âme : http://www.caducee.net/actualite-medicale/13304/cancerologie-l-ia-watson-d-ibm-fait-deja-mieux-que-les-medecins.html




--
la réponse à vos questions est sans doute sur www.arcad-dentaire.fr !


Generique fraisage r2rxmm - Eugenol
lardonbis

07/02/2017 à 09h54

Je pense très fort à toi ce matin Hodina..
Je crois bien que je viens de visser un 23 dans la racine d'une 22...

Erreurs :

- chir " à la cool"
- l'axe, bon , c'est du classique...
- pas de retro de contrôle premier foret en place alors que la 22 à une racine en banane.


--
la réponse à vos questions est sans doute sur www.arcad-dentaire.fr !


Image saznoz - Eugenol
Hodina

07/02/2017 à 12h46

Merci de ton retour
Pourrais tu mettre en' ligne mes radio pré-op (per-op?) et post-op ?


--
😁😁😁
Le Blog dentaire.
Cliquez ici--> www.arcad-dentaire.fr
Dernier article----------------Pourquoi commet-on des erreurs????
(-Vivre le sourire Hollywoodien-)


Generique fraisage r2rxmm - Eugenol
lardonbis

07/02/2017 à 12h49

yep
la per-op y'a que dalle :)

donc cas facile :
Patient parfait, super sympa, on blague pas mal hors rdv.
complet en bas, ne supporte rien en haut, receptif a la thérapeutique implantaire. sa mut lui en rembourse un par an.

il viens initialement pour un devis brg 24 à 22.
Je lui fait une proposition impl+ccm en 23 superdiscount et banco. et un autre pour 25 26 16 . 27 et 17 devront être extraite et remplacés dans les 5 ans je pense


Jour de chir. Je lui pose donc une vis ( tiens autre erreur, c'était ma première avec ce système qu'utilise mon associé ).
Le capteur (visiodent ) salle de chir déconne----> pas de foret en place.

Visiblement les forets sont bien taillant, j'ai rien senti.
pose d'un 3.5 11.

-erreur d'axe super classique.
-nouveau ( pour moi ) système
-trop " cool " j'étais pas à ce que je faisais...


bref .. de la merde, depuis l'indication jusqu’à la pose :)


--
la réponse à vos questions est sans doute sur www.arcad-dentaire.fr !

On parle on parle et on fore à coté vwudtj - Eugenol
Ça a l air facile ppmgu6 - Eugenol

Vw campersurfvan bmnk1q - Eugenol
enlaye

07/02/2017 à 12h54

lardonbis écrivait:
-------------------
" Je pense très fort à toi ce matin Hodina..
Je crois bien que je viens de visser un 23 dans la racine d'une 22..."

valium prozac en iv .....pour toi ,bien sur .
pardon Lardonbis ,ç est pas drole ,en fait .


Image saznoz - Eugenol
Hodina

07/02/2017 à 12h54

Ben oui j'avais bien compris!
Raison pour laquelle je l'avais mis en parallèle avec un "?"
Allez envoie!😀😀😀


--
😁😁😁
Le Blog dentaire.
Cliquez ici--> www.arcad-dentaire.fr
Dernier article----------------Pourquoi commet-on des erreurs????
(-Vivre le sourire Hollywoodien-)


Image saznoz - Eugenol
Hodina

07/02/2017 à 12h59

enlaye écrivait:
----------------
> lardonbis écrivait:
> -------------------
> " Je pense très fort à toi ce matin Hodina..
> Je crois bien que je viens de visser un 23 dans la racine d'une 22..."
>
> valium prozac en iv .....pour toi ,bien sur .
> pardon Lardonbis ,ç est pas drole ,en fait .

C'est sur que si ça commence comme ça, ça met pas en confiance pour montrer ses erreurs et en discuter!
Merci Enlaye😡
Nan j'rigole ! 😂
--
😁😁😁
Le Blog dentaire.
Cliquez ici--> www.arcad-dentaire.fr
Dernier article----------------Pourquoi commet-on des erreurs????
(-Vivre le sourire Hollywoodien-)


Generique fraisage r2rxmm - Eugenol
lardonbis

07/02/2017 à 13h33

Tien du coup je refais le fil des conneries et j'en trouve d'autres.
Scan fait le matin même ( rdv annulé...par moi )et crête assez fine à ma grande surprise, d'où la pioche dans le stock du voisin....

Les leçons :
-ne pas arranger le patient.
-ne pas improviser
-Il n'y à pas de "petite" chirugie.

Bénéfice secondaire:
- j'ai découvert un systeme sympa et pas cher.
- visiblement je supporte assez bien de faire des couilles, j'ai manger comme un goret à midi... burp! prochaine étape un NAI !!

Ce que ça coute:
- la 22 et une matiné au patient
- deux implants et une chir en plus pour moi ... la semaine va être longue..



la réponse à vos questions est sans doute sur www.arcad-dentaire.fr !


Image saznoz - Eugenol
Hodina

07/02/2017 à 13h40


Amusez vous à compter le nombre d'erreurs ( même petites) faites chaque jour! Ça fait peur....
Puis calculez le coût de ces erreurs par jour et en extrapolant.... par an.....
GLOUPS!!!

--
😁😁😁
Le Blog dentaire.
Cliquez ici--> www.arcad-dentaire.fr
Dernier article----------------Pourquoi commet-on des erreurs????
(-Vivre le sourire Hollywoodien-)


Generique fraisage r2rxmm - Eugenol
lardonbis

07/02/2017 à 13h42

mise à jour:

consult téléphonique
-le patient n'a pas mal... percu négative sur 22
a juste pris un doliprane avant l'intervention à 8h

Du coup je dépose/extrais quand même ?
Le bobo viens au bout de quelques jour ?
Je peu planter direct en 23 ?

Et si je me tape la 21? :) :) :)


--
la réponse à vos questions est sans doute sur www.arcad-dentaire.fr !


Totoro ovtguw - Eugenol
T00TH

07/02/2017 à 13h52

La 22 est elle condamnée? une bio et une resec apicale après la dépose de l'implant ne permettrait pas de la conserver?

(c'est vraiment une question je pose pas d'implant donc je me demande si c'est faisable !)


Image saznoz - Eugenol
Hodina

07/02/2017 à 13h55



Envoie les radios Lardonbis!
Qu'on analyse ensemble les erreurs et comment les éviter su possible les prochaines gois
--
😁😁😁
Le Blog dentaire.
Cliquez ici--> www.arcad-dentaire.fr
Dernier article----------------Pourquoi commet-on des erreurs????
(-Vivre le sourire Hollywoodien-)


Generique fraisage r2rxmm - Eugenol
lardonbis

07/02/2017 à 14h03

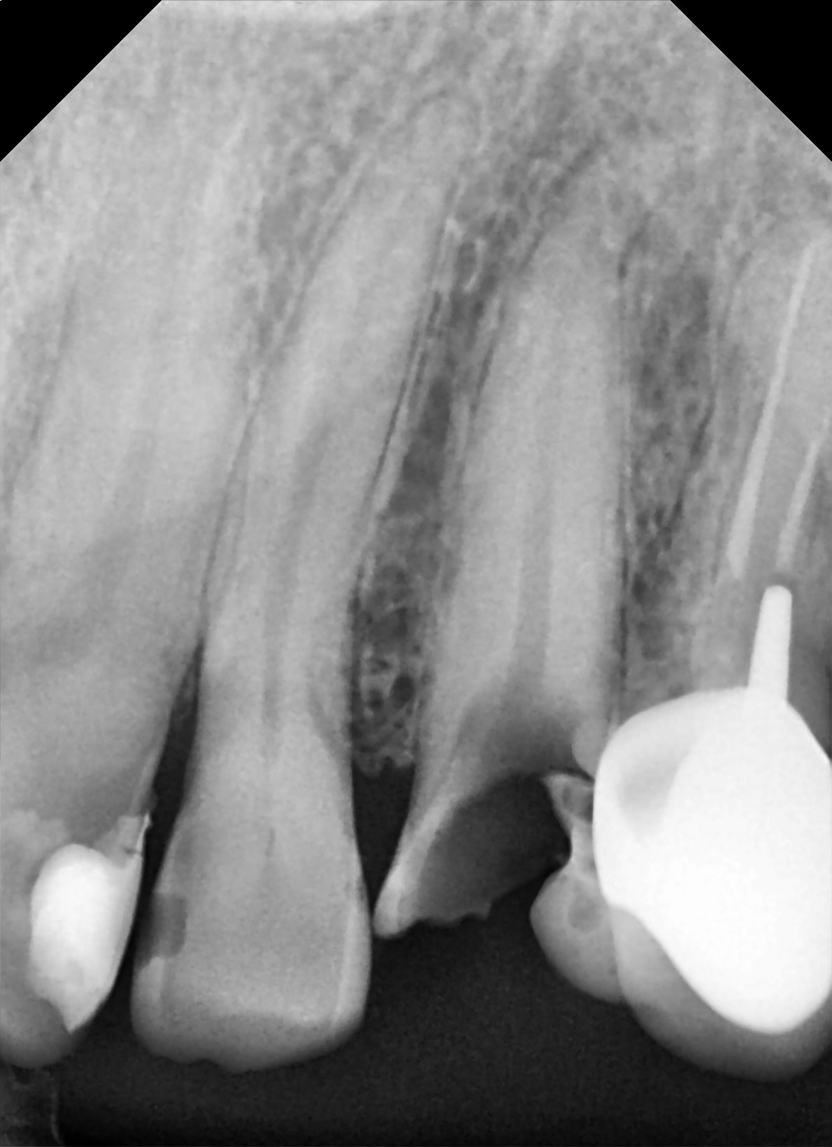
Je t'ai mis la rétro avec le débris de 23 et celle avec le piercing de 22 :)
j'envoie d'autres radio le jours de la dépose.
Et si j'y arrive une photo de la racine de 22 :)

fait chier ce patient à pas avoir mal .... il me met le doute.
J'aurais du faire un scan direct après mais il devait aller bosser.

Je viens d'aller voir à la sté ... les forets sont pas si taillant ... j'ai du y aller comme un gros bœuf :(

--
la réponse à vos questions est sans doute sur www.arcad-dentaire.fr !


Image saznoz - Eugenol
Hodina

07/02/2017 à 22h13

Enfin le temps de te répondre.
Concernantnce qu'il faut faire maintenant que l'erreur est faite, je n'en sais rien! Les avis diverges sur ce sujet dans differents post d'Eugénol, allant du "ne touche rien" jusqu'au "dépose vite".... À mon avis demande la conduite à tenir à un "expert" dans le domaine!
Concernant ce type d'erreurs, voici quelques images trouvé sur Eugenol…
Concernant le nombre d'erreurs faites, il semble que tu en ais faite pas mal… et c'est très bien de les citer… afin de mettre en place des actions correctives pour que ces erreurs n'arrivent plus! Pour cela le mieux est donc de les lister et de réunir ton équipe pour en parler afin de trouver les remèdes!!!
Mais il y a apparemment une erreur de parallaxe, qui elle est systématique! Le seul moyen d'y remédier étant de faire une radio tuteur en place…



--
😁😁😁
Le Blog dentaire.
Cliquez ici--> www.arcad-dentaire.fr
Dernier article----------------Pourquoi commet-on des erreurs????
(-Vivre le sourire Hollywoodien-)

Img 1027 j2e1ql - Eugenol
Img 1032 tuwxzn - Eugenol
Img 1029 p6u7ju - Eugenol
Img 1028 qwv4cr - Eugenol
Img 1033 yf3uut - Eugenol

Vw campersurfvan bmnk1q - Eugenol
enlaye

08/02/2017 à 11h18

Hodina ,peut être que tu as sauvé le monde :-):-)
j ai fourni ton article en photocopie à un sous marinier .
Un commander temp bond ,avec plein de barrettes jaunes sur les epaules.
J y ai dit " faites pas l con avec le bouton ,lisez ca ,on sait jamais ":-):-):-)


12