Cookie Consent byPrivacyPolicies.comCapteurs radio ebay - Eugenol
alex33

17/02/2017 à 10h07

Bonjour à tous, mon capteur montrant des signes de fatigue je vais peut être devoir en changer à court terme. J'ai eu un devis pour un capteur kodak 6200 à plus de 6500 euros, garantie 5 ans et possibilité de fonctionner en wifi.
je trouve cela hyper cher...
Certains ont ils acheté des capteurs sur ebay?
j'ai surtout vu les capteurs kodak et vatech?
j'ai contacté le vendeur, la garantie est uniquement valable pour l'Inde( ce que je peux comprendre), mais est ce facile à installer? J'ai julie actuellement et vais passer sous logos sous peu!
ci joint les liens:

http://www.ebay.com/itm/Kodak-RVG-6200-Carestream-Digital-RVG-Dental-X-Ray-Sensor-Size-1-Free-Shipping-/322197594590?hash=item4b047921de:g:KfIAAOSwLEtYmryJ

http://www.ebay.com/itm/Kodak-RVG-5200-RVG-Dental-X-Ray-Sensor-with-Size-1-Free-Worldwide-Shipping-/3224
26085381?hash=item4b1217a005:g:m2cAAOSwjVVVuv2S

http://www.ebay.com/itm/VATECH-RVG-Dental-Imaging-System-Intraoral-Digital-X-Ray-EZ-SENSOR-SIZE-1-5-/222354929296?hash=item33c562f690:g:tzcAAOSw6DtYXQre

Merci d'avance


X ray 03 medium zvq18j - Eugenol
cyber_quenottes

17/02/2017 à 10h40

je vais te donner "le truc"

tu repères sur ebay.com le numéro de l'objet

exemple pour un de tes liens = 222354929296

ensuite tu te connectes sur TON ebay.fr

et tu recherches le numéro 222354929296

et tu vas tomber dessus en euros etc...

--
==================
la csnd a voulu le "fromage" de la CCAM
la SECU a ajouté une tapette autour


alex33

17/02/2017 à 11h36

oui je connais la technique. Sur ebay.fr il n'y a que des gendex plus chers. A l'internationale il y a beaucoup plus de choix. 1800 le vatech ca fait 1600 euros.
Mais la n'est pas ma question. Facile ou pas a' installer? Et certains ont ils deja teste' un achat de ce genre?


Orezza gazeuse verre litre ocoxey - Eugenol
casa

17/02/2017 à 11h45

Bonjour ,

Alors , j'ai déjà installé une RVG 6100 toute seule .... achetée d'occaz (enfin neuve mais un modèle d'expo) pas eu de soucis , réinstallée depuis sur un autre ordinateur . le problème est le numéro de licence du logiciel ,tu installes une version d'essai de 30 j après il faut l'activer ....


Dg oto4if - Eugenol
DG

17/02/2017 à 15h03

alex33 écrivait:
----------------

> Mais la n'est pas ma question. Facile ou pas a' installer? Et certains ont ils
> deja teste' un achat de ce genre?

1. Oui, pour le Vatech, sur Win7. Tu implémentes sur ton ordi le logiciel Easydent V4 à l'aide du cd fourni . Et c'est tout. Mon logiciel de gestion du cab fait le lien automatiquement.

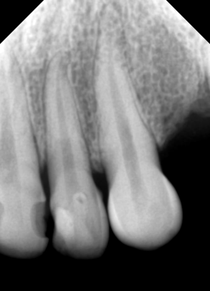
2. Oui, il y a trois ans. Avec quelques craintes au départ, mais tout c'est passé normalement. Et cela marche toujours aujourd'hui (on est hors période de "garantie", donc).
Une bête radio faite ce matin. C'est suffisamment lisible je crois, il n'y a ici aucune retouche effectuée,mais le logiciel le permet.

S20170217 114143 0000 jfwjri - Eugenol

alex33

17/02/2017 à 20h57

DG écrivait:
------------
> alex33 écrivait:
> ----------------
>
> > Mais la n'est pas ma question. Facile ou pas a' installer? Et certains ont ils
> > deja teste' un achat de ce genre?
>
> 1. Oui, pour le Vatech, sur Win7. Tu implémentes sur ton ordi le logiciel
> Easydent V4 à l'aide du cd fourni . Et c'est tout. Mon logiciel de gestion du
> cab fait le lien automatiquement.
>
> 2. Oui, il y a trois ans. Avec quelques craintes au départ, mais tout c'est
> passé normalement. Et cela marche toujours aujourd'hui (on est hors période de
> "garantie", donc).
> Une bête radio faite ce matin. C'est suffisamment lisible je crois, il n'y a ici
> aucune retouche effectuée,mais le logiciel le permet.

Merci! Tu l'as acheté a' un vendeur indien?


Dg oto4if - Eugenol
DG

18/02/2017 à 10h05

Oui et comme évoqué sans aucun souci (Le taux de change $/€ était plus favorable en 2014) Pour le Vatech il faut choisir le modèle avec le logiciel plus récent ezdent-i qui peut fonctionner avec W10. Ezdent4 ne fonctionne qu'avec Xp ou W7. Autant savoir...


Catherine Laycor

19/02/2017 à 17h25

Le Vatech EZ-SENSOR est le même capteur que le Visiodent RSV5. Il fonctionne donc parfaitement avec Visiodent Imaging pour peu que ce soit la dernière version.