Cookie Consent byPrivacyPolicies.comIdentification implant. - Eugenol

Identification implant.

John gp55mb - Eugenol
Faivre-rampant

20/02/2017 à 20h42

Est ce que quelq'un peut me dire quelle est la marque de cette implant ?

Désolé de la qualité de l'image.
au plaisir de vous lire.

Bewfb4xlvoja2vggogjy - Eugenol
Dp3h1a6blacmfgtu4lyb - Eugenol

John gp55mb - Eugenol
Faivre-rampant

21/02/2017 à 14h17

Personne ?


Photo pluton1b h9n4ea - Eugenol
pluton

21/02/2017 à 17h41

Bein quand la qualité de l'image permettra de faire une identification, tu auras une réponse....


Olieve

16/03/2017 à 17h15

Encore une colle pour Pluton.

Posé il y a une vingtaine d'année en Italie... Je doute de trouver des pièces et j'ai pas envie de le déposer.

Il y avait un bridge 5 éléments là dessus et le bridge a cassé entre les deux inter ..

Merci

Implant fjjxvc - Eugenol

Olieve

19/03/2017 à 19h17

Personne n'a d'avis sur cet implant ? Moi je rien trouvé sur Osseosource ou Whatimplant.


Photo pluton1b h9n4ea - Eugenol
pluton

19/03/2017 à 20h56

amha c'est celui là en version étroite

http://osseosource.com/dental-implants/product_info.php?products_id=1078

http://www.timplant.cz/public/files/text/katalog_cs.pdf


Olieve

19/03/2017 à 22h52

Je pense qu'encore une fois tu as trouvé !

Merci Pluton.

Je vais prendre contact directement avec eux


1 okqrab - Eugenol
Léonard

07/06/2024 à 15h07

Bonjour à tous

Petite question identification...
Secteur 14 /15
Avez vous une idee ?
je pense a des anthogyr ou eurotechnika...
pas sur...

Merci

9a7lkd6rxj66pn408lzxo83mvfu3 - Eugenol

Photo pluton1b h9n4ea - Eugenol
pluton

08/06/2024 à 12h00

Léonard écrivait:
-------
> Bonjour à tous
>
> Petite question identification...
> Secteur 14 /15
> Avez vous une idee ?
> je pense a des anthogyr ou eurotechnika...
> pas sur...
>
> Merci

Rétro stp
Pas assez de détails sur une pano


1 okqrab - Eugenol
Léonard

09/06/2024 à 21h15

ok je vais essayer de la revoir .-)


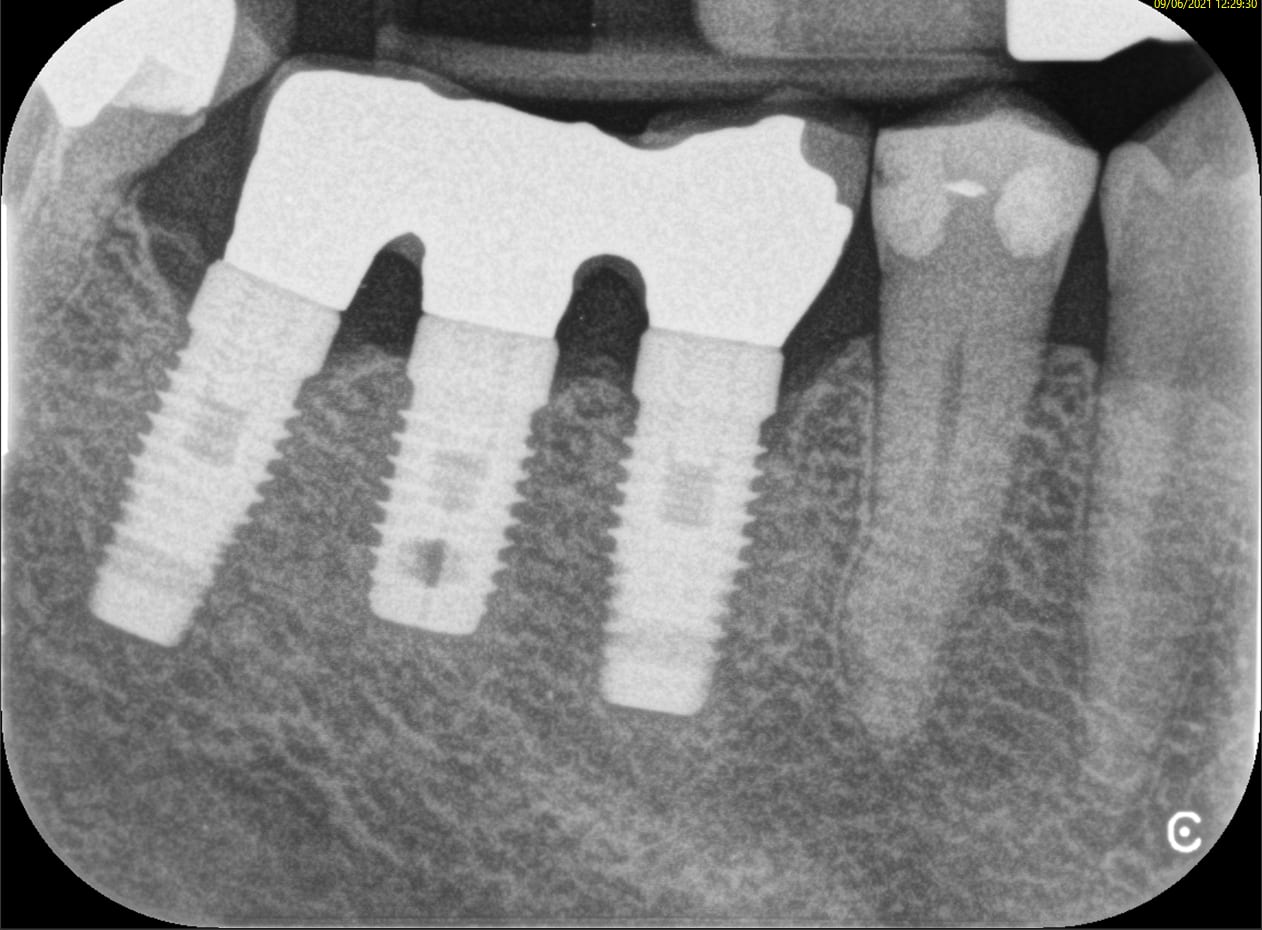
Pranou

10/06/2024 à 18h48

Bonsoir
Pouvez vous m'aider a identifier ces implants. La seule chose que je sais, c'est que ce n'est pas tout jeune !
Merci

Vtui8qni2kewwypr4hhdkct1r12p - Eugenol

Photo pluton1b h9n4ea - Eugenol
pluton

10/06/2024 à 20h41

Faudrait démonter pour être certain…..parce que j’arrive pas à voir la connexion…
En 1 je dirais du Sterioss
https://www.spotimplant.com/fr/implants-dentaire/steri-oss/steri-oss-original-non-hex
En 2, des 3M ESPE
https://www.spotimplant.com/fr/implants-dentaire/espe-3m/fixture


Pranou

11/06/2024 à 13h55

Merci Pluton, je vais déposer la prothèse pour essayer d'avoir plus d'informations