Cookie Consent byPrivacyPolicies.comLaser - Eugenol

Laser

Capture d  cran 2015 03 12 12.28 - Eugenol
chicot29

09/03/2017 à 14h59

Eviction marginale.


--
En cas d'échec des négociations conventionnelles, seriez-vous prêt à suivre la promotion d'un déconventionnement massif de la profession par les syndicats représentatifs ? OUI - NON
Participez, anonymement, sur https://goo.gl/forms/nAO0htnsVmxotjYm1

T8oafimbrxl6a89o3zwa - Eugenol

mr.smith

09/03/2017 à 16h45

Une fraise de touati , cela fait le match aussi , faut juste aimer le sang


--
De l'influence des rayons gamma sur le comportement des marguerites


Avatar uy05sg - Eugenol
guest100

09/03/2017 à 16h55

Bistouri éléctrique aussi ( j'ai un laser diode,c'est à peu près pareil)


4a338550 6a5b 47ea b2a7 d3cb675c5076 oni5gh - Eugenol
fistule 69

09/03/2017 à 17h50

Chicot, t'as pas de laser !
😷😜


Capture d  cran 2015 03 12 12.28 - Eugenol
chicot29

09/03/2017 à 18h49

Et pourquoi ? il est pas assez fin et délicat chicot pour avoir un laser ? -)))


--
En cas d'échec des négociations conventionnelles, seriez-vous prêt à suivre la promotion d'un déconventionnement massif de la profession par les syndicats représentatifs ? OUI - NON
Participez, anonymement, sur https://goo.gl/forms/nAO0htnsVmxotjYm1

Capture d écran 2017 03 09 18.48 - Eugenol

4a338550 6a5b 47ea b2a7 d3cb675c5076 oni5gh - Eugenol
fistule 69

09/03/2017 à 21h00

Vous êtes riche les Bretons !
Tu râles sur le système mais tu es en plein dedans.
Salop de riche, Macron aura ta peau!

Sans deconner, quoi de mieux que le bistouri électrique?
😷🤗😜


Hok 1b hgd3rj - Eugenol
Hokusai

09/03/2017 à 21h04

En plus en fin de journée, ça sent le cochon grillé... ca ouvre l'appétit !! ;)


4a338550 6a5b 47ea b2a7 d3cb675c5076 oni5gh - Eugenol
fistule 69

09/03/2017 à 21h08

Juste pour l'odeur ?
😷👃☠️🐷🍗🍖🔥⚡️☄️💥
J'arrête !


4a338550 6a5b 47ea b2a7 d3cb675c5076 oni5gh - Eugenol
fistule 69

09/03/2017 à 21h11

chicot29 écrivait:
------------------
> Et pourquoi ? il est pas assez fin et délicat chicot pour avoir un laser ? -)))

🏋️🏋️🏋️🏋️🏋️🏋️🏋️🏋️🏋️🏋️🏋️🏋️🏋️🏋️🏋️🏋️🏋️🏋️🏋️🏋️🏋️🏋️🏋️🏋️🏋️🏋️🏋️🏋️🏋️🏋️🏋️🏋️🏋️🏋️🏋️🏋️🏋️🏋️🏋️🏋️🏋️

😷😉


Capture d  cran 2015 03 12 12.28 - Eugenol
chicot29

10/03/2017 à 18h11

fistule 69 écrivait:
--------------------
> Vous êtes riche les Bretons !
> Tu râles sur le système mais tu es en plein dedans.
> Salop de riche, Macron aura ta peau!
>
> Sans deconner, quoi de mieux que le bistouri électrique?
> 😷🤗😜

Attends un peu j'ai commandé dans la foulée des orascoptic XV1 à double grossissement 2,5 -3.5 dans la foulée. Je verrais mieux les entrées canalaires et les effets du laser pour les évictions marginales en fixée comme ca. -)))
Et un réchauffeur à composite aussi meme si je ne compte pas trop m'en servir sauf peut etre pour le seul composite de la journée il faut faire les choses correctement. On le branche combien de temps avant pour qu'il arrive à température ? Parce qu'avec l'arbitrage il n'y a pas de petites économies ! -))))



--
En cas d'échec des négociations conventionnelles, seriez-vous prêt à suivre la promotion d'un déconventionnement massif de la profession par les syndicats représentatifs ? OUI - NON
Participez, anonymement, sur https://goo.gl/forms/nAO0htnsVmxotjYm1


Capture d  cran 2015 03 12 12.28 - Eugenol
chicot29

10/03/2017 à 18h24

Ca marche bien le laser. Les empreintes injectées aussi d'ailleurs ! -)))

Mon prothésiste va penser que j'ai pété un plomb. Il sera pas loin de la vérité d'ailleurs. -)))

Pour le seul ic à clavette depuis des années j'ai pas fait les choses à moitié ! -)))
--
En cas d'échec des négociations conventionnelles, seriez-vous prêt à suivre la promotion d'un déconventionnement massif de la profession par les syndicats représentatifs ? OUI - NON
Participez, anonymement, sur https://goo.gl/forms/nAO0htnsVmxotjYm1

Capture d écran 2017 03 09 14.52 - Eugenol

Tozzi

12/03/2017 à 09h53

Joli !
Tu as mis des tenons calcinables ?
Tu les as mis après avoir injecté ?


Capture d  cran 2015 03 12 12.28 - Eugenol
chicot29

12/03/2017 à 11h49

Non tout injecté. -)


--
En cas d'échec des négociations conventionnelles, seriez-vous prêt à suivre la promotion d'un déconventionnement massif de la profession par les syndicats représentatifs ? OUI - NON
Participez, anonymement, sur https://goo.gl/forms/nAO0htnsVmxotjYm1


Capture d  cran 2015 03 12 12.28 - Eugenol
chicot29

13/03/2017 à 14h40

47


--
En cas d'échec des négociations conventionnelles, seriez-vous prêt à suivre la promotion d'un déconventionnement massif de la profession par les syndicats représentatifs ? OUI - NON
Participez, anonymement, sur https://goo.gl/forms/nAO0htnsVmxotjYm1

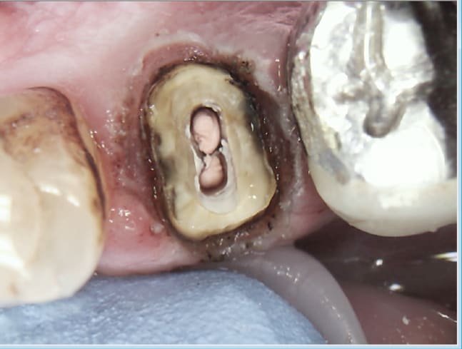
Capture d écran 2017 03 13 14.39 - Eugenol

Capture d  cran 2015 03 12 12.28 - Eugenol
chicot29

13/03/2017 à 15h57

35. Oups ! un SC33 qui s'est barré ! -)))

Le clip flow qui va bien easy à déposer et qui maintient la gencive à distance.....

Je me suis pas foulé sur ce coup là meme pas de RTE à faire . -)
--
En cas d'échec des négociations conventionnelles, seriez-vous prêt à suivre la promotion d'un déconventionnement massif de la profession par les syndicats représentatifs ? OUI - NON
Participez, anonymement, sur https://goo.gl/forms/nAO0htnsVmxotjYm1

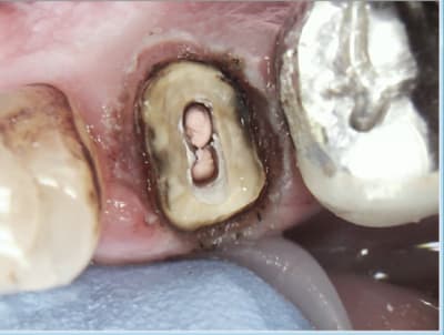
Capture d écran 2017 03 13 15.59 - Eugenol

4a338550 6a5b 47ea b2a7 d3cb675c5076 oni5gh - Eugenol
fistule 69

13/03/2017 à 16h24

Tu te prends pour Dark Vador mon Chicot ? ;-)

Quoi de plus qu'avec ton bistouri électrique ?


Capture d  cran 2015 03 12 12.28 - Eugenol
chicot29

13/03/2017 à 16h45

37. chicot roi du sc33. -)


--
En cas d'échec des négociations conventionnelles, seriez-vous prêt à suivre la promotion d'un déconventionnement massif de la profession par les syndicats représentatifs ? OUI - NON
Participez, anonymement, sur https://goo.gl/forms/nAO0htnsVmxotjYm1

Capture d écran 2017 03 13 16.44 - Eugenol

Capture d  cran 2015 03 12 12.28 - Eugenol
chicot29

13/03/2017 à 16h46

Chiotte c'est fini pour aujourd'hui. 3 cerams et une CC acier ( celle du sc 33) seulement. -)


--
En cas d'échec des négociations conventionnelles, seriez-vous prêt à suivre la promotion d'un déconventionnement massif de la profession par les syndicats représentatifs ? OUI - NON
Participez, anonymement, sur https://goo.gl/forms/nAO0htnsVmxotjYm1


Capture d  cran 2015 03 12 12.28 - Eugenol
chicot29

13/03/2017 à 16h48

fistule 69 écrivait:
--------------------
> Tu te prends pour Dark Vador mon Chicot ? ;-)
>
> Quoi de plus qu'avec ton bistouri électrique ?

Il parait que ca chauffe moins que le bistouri.

Ca ne vire que quelques couches de cellules. C'est plus fin.

J'ai comme un doute là. -)


--
En cas d'échec des négociations conventionnelles, seriez-vous prêt à suivre la promotion d'un déconventionnement massif de la profession par les syndicats représentatifs ? OUI - NON
Participez, anonymement, sur https://goo.gl/forms/nAO0htnsVmxotjYm1


Generique fraisage r2rxmm - Eugenol
lardonbis

13/03/2017 à 16h49

chicot29 écrivait:
------------------
> 37. chicot roi du sc33. -)


Noooonnnn !!!!
Chicot va bientôt passer au no post no crown.
C'est un des signes de l'apocalypse !!
Le châtiment !!

C0907d2 r2x5wm - Eugenol

4a338550 6a5b 47ea b2a7 d3cb675c5076 oni5gh - Eugenol
fistule 69

13/03/2017 à 18h17

Laser a rien que je te dis !
Tu es complice du système !
😷😜


4a338550 6a5b 47ea b2a7 d3cb675c5076 oni5gh - Eugenol
fistule 69

13/03/2017 à 18h22

https://www.gacd.fr/article-0289600-servotome-2.html
Même usage en bien moins cher !
😷🤗


Capture d  cran 2015 03 12 12.28 - Eugenol
chicot29

13/03/2017 à 18h47

Oui, ca j'en ai 2. cépaspareil.


--
En cas d'échec des négociations conventionnelles, seriez-vous prêt à suivre la promotion d'un déconventionnement massif de la profession par les syndicats représentatifs ? OUI - NON
Participez, anonymement, sur https://goo.gl/forms/nAO0htnsVmxotjYm1


4a338550 6a5b 47ea b2a7 d3cb675c5076 oni5gh - Eugenol
fistule 69

13/03/2017 à 19h30

Chicot, je fais mon Junior car je suis jaloux de ton nouveau joujou !

Évidemment que l'indication endo est un vrai plus.
Combien pour ton servotome d'occasion ?
😷😉


4a338550 6a5b 47ea b2a7 d3cb675c5076 oni5gh - Eugenol
fistule 69

13/03/2017 à 19h33

Il faut que je fasse une photo du miens !
Un collector .
😷😱