Cookie Consent byPrivacyPolicies.comVOS NOUVEAUX PLAFOND EN PROTHESE !!!!! - Eugenol

VOS NOUVEAUX PLAFOND EN PROTHESE !!!!!

Orezza gazeuse verre litre ocoxey - Eugenol
casa

12/03/2017 à 13h19

parce que tu t'y connais en foot ?en gros, tu me dis fermes là , t'y connais rien ! Diplômée de quoi déjà ? ah mince même diplôme d’entraîneur ...ou d'entraîneuse !


Utilisateur banni

12/03/2017 à 14h00

Pas vénère réaliste. Vous allez redonner du sens à votre pratique et la société civile vous en remercie, marre de l'optimisation économique digne d'une usine à saucisses qui pourrit les métiers de la santé.


RépondreCiter
atrax

12/03/2017 à 15h07

Si vous attendez que les patients vous plaignent pour que les choses évoluent, c'est pas la peine...même au smic ils ne viendront pas nous plaindre.


Cynthia

12/03/2017 à 15h29

Effectivement Seespan ; mais nous avons qd même quelques créneaux de communication : par ex Mardi prochain sur la 5.
Ce qui nous manque c'est un vrai communicant ! La présidente de la CNSD n'est pas à l'aise dans cet exercice ; pas assez de percussion.


Le Rosbif

12/03/2017 à 15h38

seespan écrivait:
-----------------

> Tu ne pourras jamais lutter niveau communication. Les complémentaires sont les
> premier annoceur de France, tu crois quand même pas que les journeaux, TV et
> même les gros site web peuvent se permettre de les perdres.

Je ne suis pas d'accord avec ca. Depuis toujours notre niveau de communication avec le grande public est zero, nada, nothing.

Meme si on ne peat pas faire autant que les mutuels, un certain quantité de communication est mieux que rien du tout.

Ce n'est pas les avocats qui avait tout suite publier les mots dans journaux quand il était enmerdé par le gouvernement?

--
"Si chaque confrère envoi une brosse à dent, crois moi ca les fera réfléchir."


Fond net de dent 1270 86 cyav5h - Eugenol
Dr_EG

12/03/2017 à 16h04



Cynthia écrivait:
-----------------
> Effectivement Seespan ; mais nous avons qd même quelques créneaux de
> communication : par ex Mardi prochain sur la 5.
> Ce qui nous manque c'est un vrai communicant ! La présidente de la CNSD n'est
> pas à l'aise dans cet exercice ; pas assez de percussion.


va voir les posts sur https://www.eugenol.com/sujets/416920-une-emission-entiere-sur-la-dentisterie?page=1#post_917078 et sur https://www.eugenol.com/sujets/416908-promesse-de-deconventionnement?page=2#post_917016

à faire remonter aux syndicats et à l'Ordre ...


--


En cas d'échec des négociations conventionnelles, seriez-vous prêt à suivre la promotion d'un déconventionnement massif de la profession par les syndicats représentatifs ? OUI - NON
Participez, anonymement, sur https://goo.gl/forms/nAO0htnsVmxotjYm1


Capture d  cran 2015 03 12 12.28 - Eugenol
chicot29

12/03/2017 à 16h36

Ariel3015 écrivait:
-------------------
>
> Donc bienvenu à nouveau dans la grande famille de la santé ou votre titre de
> "docteur" reprend des couleurs et du sens... et tant pis pour la nouvelle
> porsche.... Vous nous avez manqué confrères !

Et tant pis pour l'acces à toutes les nouvelles technologies qui coutent la peau du cul pour te soigner. Tu vas avoir le droit à de belles merdes préhistoriques dans ta bouche payées à coup de trique par ta très chère sécu. et tes très chères mutuelles.

A toi les cotisations sociales délirantes et les soins de merde en bouche.

Tu es prothésiste ? Tu vas disparaitre. C'est un souhait de la sécu qui pour justifier les plafonds de prothèse a pris l'exemple tarifaire d'un prothésiste turc.


--
En cas d'échec des négociations conventionnelles, seriez-vous prêt à suivre la promotion d'un déconventionnement massif de la profession par les syndicats représentatifs ? OUI - NON
Participez, anonymement, sur https://goo.gl/forms/nAO0htnsVmxotjYm1


mr.smith

12/03/2017 à 22h18

chicot29 écrivait:
------------------
>
> Exemple UNEO ( mutuelle des forces armées) niveau de prestation naturelle :
>
> Aujourd'hui :
> Inlay core : base de remboursement 100% :122,55, Sécu 70 % :85 euros,79 mutuelle
> 230 % 281,77 euros total remboursement : 367,56 euros
> Couronne céramique : base de remboursement sécu107,5, euros sécu 70 % 75,25
> euros, mutuelle 250% : 268,75 euros total remboursement : 344 euros.
> Donc en tout remboursement inlay core -couronne céramique : 711,56 euros.
>
> Après l'arbitrage censé diminuer les restes à charge:
>
> Inlay core : base de remboursement 100% 90 euros, sécu 70% 63 euros, mutuelle
> 230 % 207 euros total : 270 euros MAIS inlay core plafonné à 180 euros donc la
> mutuelle ne va en rembourser que 90 euros. Soit 277,5 euros de moins qu'avant !
> ENORME !
> Couronne céramique : base de remboursement sécu 100% 120 euros, remboursement
> sécu 70% 84 euros, Mutuelle 230 % 276 euros total remboursement : 360 euros.
> Donc en tout 450 euros !
>
> On assiste donc pour cette mutuelle bien connue vu qu'elle couvre les forces
> armées françaises ( y compris les CRS qui nous ont gazés vendredi 3 je pense lol
> !) à une diminution de prise en charge de 261,56 euros pour la réalisation d'un
> inlay core + couronne céramique et donc potentiellement d'une augmentation de
> reste à charge de ce montant pour un dentiste se mettant au niveau des futurs
> plafonds de cette réforme de merde.
>
>
> Chez moi ces patients avaient 0 reste à charge avant la réforme et 261,56 euros
> de reste à charge après. Tu as bien compris que c'était pour une seule dent ?
> Je précise parce que tu m'as l'air avoir été fini avec des résidus de fonds de
> capote.
>
> Beaucoup de patients vont l'avoir dans le fion. particulièrement ceux qui ont
> une bonne mutuelle. -))))

Et donc tu la ressens comment comment cette réforme .
Profonde ?




--
De l'influence de Marizol sur mon comportement .


PopHip

12/03/2017 à 23h51

Bebert. écrivait:
-----------------
> Le pire c'est que ces connards n'ont même pas intégré l'inflation et on va
> rapidement se trouver en dessous du seuil de rentabilité ...
>
> Mais QUI a bien pu pondre une telle connerie !
>
> C'est sûr que s'ils ont pris l'exemple du Dr Dupont qui fait 95000€ de revenu
> avec 160000€ de CA ...
> http://social-sante.gouv.fr/IMG/pdf/annexe_-_le_reglement_arbitral_en_pratique.pdf
>
> J'aurais pas du venir ici ce soir !!!!
>
> Je sens que je vais mal dormir.
>
>
> Alors si en plus on sort de l'euro et qu'on dévalue, on va finir à la soupe
> populaire si elle existe encore.
>
> J'espère que tout le monde a compris pour qui voter !
>
> Bon, pour relativiser: le décret d'application n'est pas encore paru et les
> élections sont proches.


Tiens, le Dr Dupont a augmenté son CA de 100k€ ce WE !


Capture d  cran 2015 03 12 12.28 - Eugenol
chicot29

13/03/2017 à 08h14

C'est pas complet il ont oublié le Dr Dupond qui travaille dans un centre low cost qui fait 700 000 euros de CA et qui gagne aussi 95 000 euros. -)


C'est ca les économies d'échelle. -)


--
En cas d'échec des négociations conventionnelles, seriez-vous prêt à suivre la promotion d'un déconventionnement massif de la profession par les syndicats représentatifs ? OUI - NON
Participez, anonymement, sur https://goo.gl/forms/nAO0htnsVmxotjYm1


Capture d  cran 2015 03 12 12.28 - Eugenol
chicot29

13/03/2017 à 08h16

PopHip écrivait:
----------------
>
> Tiens, le Dr Dupont a augmenté son CA de 100k€ ce WE !

On a affaire à des nuls. Mon dieu ce sont eux qui gèrent le budget de l'état.


--
En cas d'échec des négociations conventionnelles, seriez-vous prêt à suivre la promotion d'un déconventionnement massif de la profession par les syndicats représentatifs ? OUI - NON
Participez, anonymement, sur https://goo.gl/forms/nAO0htnsVmxotjYm1


Dsc05680 medium aphmfg - Eugenol
BasArtDentaire

13/03/2017 à 08h44

chicot29 écrivait:
------------------

> On a affaire à des nuls. Mon dieu ce sont eux qui gèrent le budget de l'état.

Des nuls... On le savait bien avant même que MST annonce un budget équilibré pour la sécu.


Au passage il faut féliciter celui qui nous avait évoqué une faute de frappe entre 160 k et 260 k. Pour lui : un magnifique panier garnie contenant un lot d'amalgame et de verre ionomère, ainsi qu'un pot d'un kilo de vaseline.


Capture d  cran 2015 03 12 12.28 - Eugenol
chicot29

13/03/2017 à 08h49

C'est pour ca que la facture finale au contribuable dans les réalisations étatiques est en général bien plus salée que dans les prévisions. -))))


Sortez les !

--
En cas d'échec des négociations conventionnelles, seriez-vous prêt à suivre la promotion d'un déconventionnement massif de la profession par les syndicats représentatifs ? OUI - NON
Participez, anonymement, sur https://goo.gl/forms/nAO0htnsVmxotjYm1


P2eqdh3csim6s7nb09ktdq3e7ev8 - Eugenol
barbabapat

13/03/2017 à 08h56

BasArtDentaire écrivait:
------------------------
>
>
> Au passage il faut féliciter celui qui nous avait évoqué une faute de frappe
> entre 160 k et 260 k. Pour lui : un magnifique panier garnie contenant un lot
> d'amalgame et de verre ionomère, ainsi qu'un pot d'un kilo de vaseline.

Faute de frappe, je ne sais pas. Une correction est toujours moins visible que la connerie initiale. Après c'est trop visible avec des chiffrage officiels pour en démontrer la stupidité.

Mais parmi ceux qui ont vus la première version, peu iront voir d'eux même si elle à été corrigée et bcp resteront au final sur la première version.


colza2

13/03/2017 à 09h04

surtout les media qui ont publié dès parution du communiqué :-)
ou ceux qui auront gardé cela en stock dans leurs docs


carident

13/03/2017 à 09h33

casa écrivait:
--------------
> démonstration carident qui ne rentre pas dans ma logique .. désolée . Le reste à
> charge reste le même ! j'en sais quelque chose puisque je n'ai jamais utilisé le
> levier IC pour faire passer mes devis ... je reste cohérente . baisser son tarif
> de couronne et augmenter son IC quitte à le faire payer plus cher qu'une
> couronne et une des absurdités avec lequel nous avons
> allègrement joué !

Essayes d'oublier un peu ta propre personne, il n'est pas question de toi ici... Essayes de dépasser ta logique (si c'est possible pour toi bien sûre?!), et de ne pas toujours penser de manière aussi étriquer... Je sais, je t'en demande un peu trop, mais essayes quand même!

Alors, quel est le motif de toute cette mascarade de plafonnement? Ne s'agit-il pas avant tout du renoncement aux soins dentaires qui serait dû au reste à charge trop important?

Or, la majorité des dentistes de France essayent de faire en sorte que leurs patients puissent faire leur soins, en faisant des remises pour leurs patients les plus indigents (c'est le cas notamment des CMU, mais aussi pour les ACS, etc...), et en faisant en sorte que leurs patients soient le mieux remboursés par leur mutuelle...
Donc, à part quelques dentistes butés, comme toi, qui ont décidé dans leur petite tête étriquée, que les inlay-core ne devaient pas être facturés au delà d'une certain montant (et d'ailleurs quel est ce montant juste pour l'inlay-core d'après toi? Je suis curieux de le savoir...).

Alors, je te félicite de "rester cohérente"! Les plafonnements qui vont être mis en place ne changeront rien pour toi ; enfin ils ne changeront rien pour tes patients... Malheureusement pour eux, ils avaient déjà un reste à charge et ils continueront à en avoir un... Donc, on peut en déduire que cet arbitrage ne résoudra rien quant à l'accès aux soins dentaire, car il ne diminue pas le reste à charge de tes patients... Non? Tu me suis?

Par contre, et c'est là que c'est plus grave, tous les patients, qui consultaient des dentistes plus compréhensif du système ou plus empathiques (qui représentent une grande majorité des praticiens), et qui n'avaient pas ou très peu de reste à charge jusque là, et donc pas de problème d'accès aux soins dentaires, vont se retrouver avec une explosion du reste à charge... Et pour eux l'accès aux soins dentaires risque d'être fortement remis en cause.

Adieu l'accès aux soins dentaire, bonjour au véritable renoncement aux soins dentaires!

> enlaye te dirait que ce sont les mutuelles qui ont obtenu ce jouet !
>

Les mutuelles n'avaient pas besoin d'un texte de loi pour plafonner le remboursement des inlay-core... Pour celles qui le souhaitaient, et qui ne représentent pas la majorité des mutuelles (loin de là), il suffisait de rajouter une ligne dans leur tableau des garanties pour distinguer le taux de remboursement des inlay-core du reste des prothèses dentaire... C'est aussi simple que celà, nul besoin de légiférer!

D'ailleurs, les mutuelles dites "responsables" (dont les pouvoirs publics ont cherché à définir des contrats qui couvrent un socle de base, respectent le parcours de soins et ne poussent pas à la dépense) instaurent-elles un remboursement différencié entre les inlays-core et les prothèses? Non!

Les meilleurs garanties des mutuelles accessibles aux bénéficiaires de l'ACS, qui remboursent à 300% les prothèses dentaires sans plafond instaurent-elles un distinguo entre inlay core et les autres prothèses dentaires? Non!

La plupart des mutuelles qui remboursent très bien les prothèses dentaires (500% et plus) instaurent-elles un taux plus bas pour les inlays core? Non!

Alors, si l'état et les mutuelles considèrent qu'un taux de remboursement de 300% ou 500% pour les pour les inlay core est légitime, pourquoi devrions-nous penser autrement?!

Si les mutuelles vendent des garanties (qui prévoient bon un remboursement de l'inlay core) que le patient paye, pourquoi devrions-nous l'en priver?

Alors au nom de quel sacro-saint critère les dentistes ne devraient-ils pas avoir un tarif de l'inlay-core qui dépasse le montant que casa a défini???

> Quant à bacler "notre" travail ... tu imagines ce que j'en pense !
>

Malheureusement, pas mal le font déjà, et ils n'auront pas de mal à accentuer le rythme s'il le faut pour maintenir leur niveau de revenus...


mr.smith

13/03/2017 à 10h00

PopHip écrivait:
----------------
> Bebert. écrivait:
> -----------------

>
> Tiens, le Dr Dupont a augmenté son CA de 100k€ ce WE !


Et alors , je ne vois pas ou est le problème , il était de garde ce dimanche matin ;o)))



--
De l'influence de Marizol sur mon comportement .


Capture d  cran 2015 03 12 12.28 - Eugenol
chicot29

13/03/2017 à 10h25

carident écrivait:
------------------

> Donc, à part quelques dentistes butés, comme toi, qui ont décidé dans leur
> petite tête étriquée, que les inlay-core ne devaient pas être facturés au delà
> d'une certain montant (et d'ailleurs quel est ce montant juste pour l'inlay-core
> d'après toi? Je suis curieux de le savoir...).

Un inlay core dans les règles de l'art doit etre réalisé en technique directe en résine calcinable. C'est autre chose que de faire un SC33 qui est un jeu d'enfant.


En cas d'échec des négociations conventionnelles, seriez-vous prêt à suivre la promotion d'un déconventionnement massif de la profession par les syndicats représentatifs ? OUI - NON
Participez, anonymement, sur https://goo.gl/forms/nAO0htnsVmxotjYm1


Capture d  cran 2015 03 12 12.28 - Eugenol
chicot29

13/03/2017 à 10h28

Casa je viens encore de reprendre un de tes traitements. Appliques toi merde ! -)))


--
En cas d'échec des négociations conventionnelles, seriez-vous prêt à suivre la promotion d'un déconventionnement massif de la profession par les syndicats représentatifs ? OUI - NON
Participez, anonymement, sur https://goo.gl/forms/nAO0htnsVmxotjYm1

Capture d écran 2017 03 13 10.28 - Eugenol
Capture d écran 2017 03 13 10.31 - Eugenol

Capture d  cran 2015 03 12 12.28 - Eugenol
chicot29

13/03/2017 à 10h39

C'est cool mes patients militaires se précipitent pour faire leurs couronnes cette année. 2017 année blanche ? Ca va envoyer !

J'aime bien les mesures synergiques. -)))
--
En cas d'échec des négociations conventionnelles, seriez-vous prêt à suivre la promotion d'un déconventionnement massif de la profession par les syndicats représentatifs ? OUI - NON
Participez, anonymement, sur https://goo.gl/forms/nAO0htnsVmxotjYm1


Image bm39we - Eugenol
daggets

13/03/2017 à 10h47

chicot29 écrivait:
------------------

> C'est autre chose que de faire un SC33 qui est un jeu
> d'enfant.


Blague... Mais c'est quoi ton protocole ? Screw post- amalgame ?
C'est sûr que si tu fais du sc33 quand tu as une cavité 1 ou 2 faces c'est pas la misère.

En tout cas, dans tout ce merdier d'arbitrage, le plafond de la RC aurait peut être eu le mérite d'inciter plus de Confrères au sc33... Si il y avait eu une revalorisation de l'acte !!


Capture d  cran 2015 03 12 12.28 - Eugenol
chicot29

13/03/2017 à 11h06

daggets écrivait:
-----------------
> chicot29 écrivait:
> ------------------
>
> > C'est autre chose que de faire un SC33 qui est un jeu
> > d'enfant.
>
>
> Blague... Mais c'est quoi ton protocole ? Screw post- amalgame ?
> C'est sûr que si tu fais du sc33 quand tu as une cavité 1 ou 2 faces c'est pas
> la misère.

3 faces ou plus c'est couronne mon garcon. Meme pas besoin de matrice tu le montes en composite. D'ailleurs la décision du SC 33 ou inlay core se prend en principe après préparation périphérique.


--
En cas d'échec des négociations conventionnelles, seriez-vous prêt à suivre la promotion d'un déconventionnement massif de la profession par les syndicats représentatifs ? OUI - NON
Participez, anonymement, sur https://goo.gl/forms/nAO0htnsVmxotjYm1


Image bm39we - Eugenol
daggets

13/03/2017 à 11h12

chicot29 écrivait:

> 3 faces ou plus c'est couronne mon garcon.

Je ne dis pas le contraire, je fais du sc33 (quand les conditions s'y prêtent ) sous couronne


Capture d  cran 2015 03 12 12.28 - Eugenol
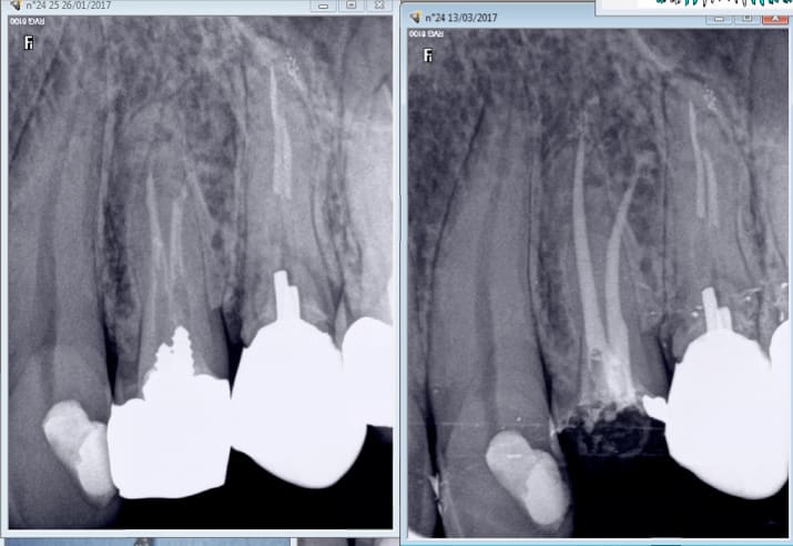
chicot29

13/03/2017 à 12h20

Donc tu n'as pas besoin de matrices etc. Meme pas besoin d'utiliser un moule comme pour un ic direct. C'est super rapide.

Ici les 2 vont avoir droit à leur ic coiffe ( CMU) et pourtant un ic tarif CMU ca ne rapporte pas bésef.

--
En cas d'échec des négociations conventionnelles, seriez-vous prêt à suivre la promotion d'un déconventionnement massif de la profession par les syndicats représentatifs ? OUI - NON
Participez, anonymement, sur https://goo.gl/forms/nAO0htnsVmxotjYm1

Capture d écran 2017 03 13 12.21 - Eugenol

rice and carie

13/03/2017 à 13h26

chicot29 écrivait:
------------------
> C'est cool mes patients militaires se précipitent pour faire leurs couronnes
> cette année. 2017 année blanche ? Ca va envoyer !
>
> J'aime bien les mesures synergiques. -)))
> --
tu peux inclure tes DCNS aussi.
On peut même les préparer en leur disant l'an prochain ce sera plus cher.


1...9101112