Cookie Consent byPrivacyPolicies.comlocalisateur joypex 5 - Eugenol

localisateur joypex 5

Capture d  cran 2015 03 12 12.28 - Eugenol
chicot29

14/03/2017 à 10h02

Mes endos masters commencent à merder donc j'ai utilisé le joypex 5 acheté 80 euros sur Ebay.

Résultat : 20 mn l'endo sur cette 26.

Enorme. Marc Apap avait raison. -)))

Mais toujours pas de cathétérisme manuel hein ! -)))


--
En cas d'échec des négociations conventionnelles, seriez-vous prêt à suivre la promotion d'un déconventionnement massif de la profession par les syndicats représentatifs ? OUI - NON
Participez, anonymement, sur https://goo.gl/forms/nAO0htnsVmxotjYm1

V1zli8oznxpp6kxdjhbs - Eugenol

Icon poker h4nm2d - Eugenol
jeff

14/03/2017 à 16h43

20 mn !

On va te plafonner ton endo a 50 euro, si tu continue.

Blague a part, je l'ai aussi, tres satisfait, mais je prends toujours un rv d'une heure.

peut etre a cause du cathetérisme manuel lime 10 et 15 ?


Capture d  cran 2015 03 12 12.28 - Eugenol
chicot29

14/03/2017 à 17h05

Moi aussi RDV d'une heure. Ca fait 40 mn à poster sur eugenol. -))

Ces 2 là 1h de RDV expédiées en 25 mn. -) Malheureusement j'avais un doublon de RDV. Sinon ca aurait été passé au taille crayon dans la foulée. -)

J' alterne le localisateur sur l'entran ( S1) et WDW connect ( réciproc R25 blue)

80 balles vous faites pas chier à acheter autre chose. -)

--
En cas d'échec des négociations conventionnelles, seriez-vous prêt à suivre la promotion d'un déconventionnement massif de la profession par les syndicats représentatifs ? OUI - NON
Participez, anonymement, sur https://goo.gl/forms/nAO0htnsVmxotjYm1

Capture d écran 2017 03 14 17.02 - Eugenol
Capture d écran 2017 03 14 17.02 - Eugenol

E - Eugenol
e.maxx

15/03/2017 à 20h13

chicot29 écrivait:

> J' alterne le localisateur sur l'entran ( S1) et WDW connect ( réciproc R25
> blue)
>
> 80 balles vous faites pas chier à acheter autre chose. -)

tu clipse le joypex sur les limes s1 et R25 et tu tarrete au bip qui signale l'apex? ou bien tu fais une mesure avant de commencer?


Capture d  cran 2015 03 12 12.28 - Eugenol
chicot29

15/03/2017 à 20h58

Irrigation de la chambre. SX au pif pour trouver les canaux r25 au pif pour élargir les entrées
Re sx pour descendre un peu plus R25.
Séchage chambre ouverture des orifices largo 3. irrigation.

Séchage joypex sur S1 détermination de la LT. ( récapitulation R25 si nécessaire ( jamais forcer) irrigation) Récapituler avec le R25 permet au S1 de descendre dans les cas difficiles.

Travail au R25 LT -1 en milieu saturé en hypochlorite.

Séchage puis Joypex sur R25 jusqu'à la lt. irrigation 2-3 minutes par canal max.



--
En cas d'échec des négociations conventionnelles, seriez-vous prêt à suivre la promotion d'un déconventionnement massif de la profession par les syndicats représentatifs ? OUI - NON
Participez, anonymement, sur https://goo.gl/forms/nAO0htnsVmxotjYm1


Capture d  cran 2015 03 12 12.28 - Eugenol
chicot29

17/03/2017 à 19h43

Du coup je me suis pris un autre localisateur. On peut le mettre au poignet. -)


--
En cas d'échec des négociations conventionnelles, seriez-vous prêt à suivre la promotion d'un déconventionnement massif de la profession par les syndicats représentatifs ? OUI - NON
Participez, anonymement, sur https://goo.gl/forms/nAO0htnsVmxotjYm1

Capture d écran 2017 03 17 19.42 - Eugenol

Capture d  cran 2015 03 12 12.28 - Eugenol
chicot29

17/03/2017 à 19h45

Et ca aussi, ca manquait je ne les avais pas en double pour le 2ième fauteuil. . -)


--
En cas d'échec des négociations conventionnelles, seriez-vous prêt à suivre la promotion d'un déconventionnement massif de la profession par les syndicats représentatifs ? OUI - NON
Participez, anonymement, sur https://goo.gl/forms/nAO0htnsVmxotjYm1

Capture d écran 2017 03 17 19.45 - Eugenol
Capture d écran 2017 03 17 19.45 - Eugenol

machto70

14/04/2017 à 13h11

chicot29 écrivait:
------------------
> Et ca aussi, ca manquait je ne les avais pas en double pour le 2ième fauteuil. .
> -)


chicot29 ce pen remplace ton frIendo ? aussi efficace ?


Capture d  cran 2015 03 12 12.28 - Eugenol
chicot29

14/04/2017 à 13h35

Ben oui c'est pareil.


--
En cas d'échec des négociations conventionnelles, seriez-vous prêt à suivre la promotion d'un déconventionnement massif de la profession par les syndicats représentatifs ? OUI - NON
Participez, anonymement, sur https://goo.gl/forms/nAO0htnsVmxotjYm1


Generique fraisage r2rxmm - Eugenol
lardonbis

14/04/2017 à 14h31

super le petit localisateur !
J'avais rien trouvé de mieux que mon tout petit de chez medicNRG que je pose sur le patient. Celui là a l'air nickel.


lachmar

14/04/2017 à 15h04

lardonbis écrivait:
-------------------
> super le petit localisateur !
> J'avais rien trouvé de mieux que mon tout petit de chez medicNRG que je pose sur
> le patient. Celui là a l'air nickel.


tu l'as achete ou le medic NRG ?


Generique fraisage r2rxmm - Eugenol
lardonbis

14/04/2017 à 15h32

je sais plus trop .... à une époque je testais des trucs pour un catalogue on m'en avais envoyé un bleu et on me l'avais laissé.
Là j'en ai un argenté oO du coup je sais pas du tout d’où il viens et où est passé le bleu.
J'ai donc du l'acheter (megadental??).
bon matos mais bouffe vite les piles et finition bien bas de gamme.


Utilisateur banni

15/04/2017 à 17h51

Je viens de traiter ce matin cette 23 ... est ce que quelqu'un peut me dire son avis sur l'apex et la pâte qui fuse en latéral ? C'est bizarre , non ?

Img 0889 rsea3s - Eugenol

lachmar

15/04/2017 à 18h01



ca fait un mix de resorption interne et resorption externe à mon avis

j'aimerais bien avoir une radio dans 3 mois si la dent est toujours la )


Utilisateur banni

15/04/2017 à 18h33

je me demande si il n'y a pas de fracture horizontale de l'apex.
C'est dommage j'ai pris la photo de mon écran. J'aurais du exporter ca direct depuis mon ordi.
Moi non plus je ne la sens pas cette dent.


4a338550 6a5b 47ea b2a7 d3cb675c5076 oni5gh - Eugenol
fistule 69

15/04/2017 à 22h02

Coucou Junior,
Racine longue, endo nickel ...que penses-tu d'un curetage apical ?
Après, si pas de réveil et pas d'évolution, on regarde ...
😷🤔😉


Utilisateur banni

15/04/2017 à 23h27

j'y ai pensé. J'ai pas prévu de le faire. Vous feriez tous une petite chir dans ce cas ?


6szjws718sv1jksw54v4mpj3a6cu - Eugenol
vulpi

16/04/2017 à 08h35

Non, attendre encore et encore (des mois, des années pour une cicat osseuse, dans les années 90 il y a eu de jolies parutions avec cicat à 2, 3 ans)
Si pb tu l'adresseras à Enlaye, il sait faire.


Capture d  cran 2015 03 12 12.28 - Eugenol
chicot29

21/04/2017 à 12h15

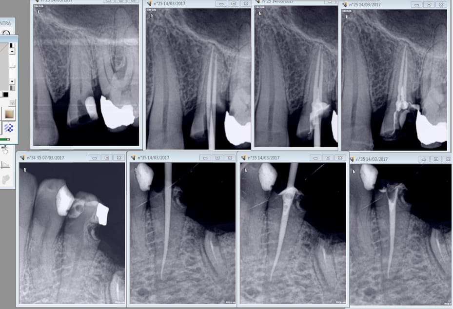
J'ai l'impression que mon joypex 5 commence à merder. Du coup j'essaye celui ci qui marche à merveille. -)

J'aime pas finir des soins que je n'ai pas commencé. A votre avis perfo distale ou carie pré existante ? -)

Le patient se plaignait depuis longtemps d'une douleur niveau 26 27 avec pèche ca m'étonnerait que 16 ( je pense intacte au début) en soit la cause car il y a une image sur la racine mésiale de 17. Fracturée ou MV2 non traité ? Bizarre bizarre.

Ah oui le canal palatin était vivant.
--
En cas d'échec des négociations conventionnelles, seriez-vous prêt à suivre la promotion d'un déconventionnement massif de la profession par les syndicats représentatifs ? OUI - NON
Participez, anonymement, sur https://goo.gl/forms/nAO0htnsVmxotjYm1

Capture d écran 2017 04 21 12.13 - Eugenol

4a338550 6a5b 47ea b2a7 d3cb675c5076 oni5gh - Eugenol
fistule 69

21/04/2017 à 12h30

Je penche plus pour un problème paro ...
Fêlure de 16, perte osseuse et douleur qui engendre une complication endo- paro sur 17...
😷🤔


lachmar

21/04/2017 à 15h53



la photo revele clairemen une felure bien infiltrée

que donne le sondage ?


Capture d  cran 2015 03 12 12.28 - Eugenol
chicot29

21/04/2017 à 17h45

Pas fait de sondage. La 16 donnant des signes de sensibilité à la percussion j'ai fait l'endo. On verra pour le sondage après. -)

Mais peut etre que le sondage a été fait à la lime 15 par la perfo en distal de 16. Je n'ai pas de compte rendu pour savoir ce que ca a donné. Je ne sais pas si tu as remarqué mais la cavité d'accès est légèrement désaxée en distal. La dent en outre était vivante du moins le canal palatin. -)


--
En cas d'échec des négociations conventionnelles, seriez-vous prêt à suivre la promotion d'un déconventionnement massif de la profession par les syndicats représentatifs ? OUI - NON
Participez, anonymement, sur https://goo.gl/forms/nAO0htnsVmxotjYm1


Capture d  cran 2015 03 12 12.28 - Eugenol
chicot29

24/04/2017 à 19h57

4 endos molaires aujourd'hui. Réglé comme du papier à musique ce petit localisateur d'apex chinetoque. -)

Et encore une couronne sur dent vivante qui foire une ! -)

Ca a bien le temps de se calcifier avant de crever ca ne rend le chalenge de trouver le mv2 que plus intéressant. -)

--
En cas d'échec des négociations conventionnelles, seriez-vous prêt à suivre la promotion d'un déconventionnement massif de la profession par les syndicats représentatifs ? OUI - NON
Participez, anonymement, sur https://goo.gl/forms/nAO0htnsVmxotjYm1

Capture d écran 2017 04 24 19.55 - Eugenol
Capture d écran 2017 04 24 19.50 - Eugenol
Capture d écran 2017 04 24 19.52 - Eugenol
Capture d écran 2017 04 24 19.47 - Eugenol

Drpopol gvroh3 - Eugenol
drpopol

06/03/2019 à 18h18

Salut,

j'ai le Denjoy, et je me demandais vous faites quoi de l'embout gris (celui ou s'accroche la lime endo) pour le nettoyer?
Ca passe en autoclave?

merci!


Eikichi

08/03/2019 à 14h43

Salut everybody, j ai envie de me laisser tenter, plutot joypex 5 ou le mini ifive ?


12