Cookie Consent byPrivacyPolicies.comOrigine douleur - Eugenol

Origine douleur

iyaudat

16/03/2017 à 19h14

Bonsoir,

Un patient qui souffre depuis environ 1 an, une a deux fois par semaine le soir vers 17-18h de grosses douleurs diffuses non pulsatiles (maxillaire sup gauche, sinus, oeil, derriere le crane, bref toute la partie gauche mais le centre de la douleur est selon lui localisé au dessus de la 24/25).

La douleur cède au AINS, mais aussi aux ATB, il a eu 6 jours d'amox, et apparament la douleur a disparu pendant 3 semaines.

Bref, je me suis dis que ca devait venir de 25 ou 27, donc j'ai repris les deux traitements dans les règles, mais aucune amelioration, il y avait aussi une petite carie sur la 24, mais de la a avoir de grosses douleurs pendant 1 an j'y crois pas trop.

Il a fait 2 scans a l'hopital, un du cotès gauche puis un des deux cotès (j'ai pas bien compris quel type de scan c'était mais il m'a dit qu'il m'envoie plus d'info par mail).

Je me sens un peu démuni alors peut-etre qu'une tete du forum viendra a mon secours? Merci!

Cos a97ukw - Eugenol

Dentiste_Noob

16/03/2017 à 20h32

La 47?


iyaudat

16/03/2017 à 20h40

Ouai la 47 est finie mais les douleurs sont ailleurs.


220px don camillo4 qrcfhs - Eugenol
camillo

16/03/2017 à 20h50

Canal excréteur de la glande parotide ?
Névralgie faciale du trijumeau? Présence d'une zone gachette?
Névralgie vasculaire de la face?


PAP à maman

16/03/2017 à 20h51

Belle carie mésiale sur 18?


Jack 2 wm3tqs - Eugenol
Treponem

16/03/2017 à 21h03

La meilleure obturation, c'est la pulpe ... qu'en est il sous les elements prothetiques secteur 30 ?
Sinon comme les confrères.


moritooth

16/03/2017 à 22h05

Avant de chercher midi à 14h, t'as déjà une belle carie juxtapulpaire sur 18, et une méga infection sur 47. Une fois ces problèmes traités, tu y verra peut-être plus clair.


mr.smith

16/03/2017 à 22h19

Douleurs droites qui irradient à gauche ! bof je connais pas .

J'aime pas l'image de la 37 , résorption interne , externe ou carie sous gingivale .

Et biensur test de la vitalité du bridge .


--
De l'influence de Marizol sur mon comportement .


Pierre logo clykpp - Eugenol
Denteo33

16/03/2017 à 22h21

+1 sur 37
Étonnant que tu ne l'aies pas vu


iyaudat

16/03/2017 à 23h16

Oups j'aurais du me relire plus attentivement, j'ai poste rapide apres une grosse journee, bref les douleurs sont au dessus de 24 25 et pas 14 15, je modifie -_-

Et rassurez vous je ne suis pas passe a cotes ni de la 18 ni de la 47 =) mais quoi qu'il en soit je doute que ça ait un lien avec le problème du sujet.

camillo écrivait:
-----------------
> Canal excréteur de la glande parotide ?
> Névralgie faciale du trijumeau? Présence d'une zone gachette?
> Névralgie vasculaire de la face?

Merci pour ces quelques bonnes pistes, la névralgie du trijumeau oui ca y ressemble mais comment expliquer que ça ait cede au ATB alors? Zone gachette oui la percu axiale sur la 24, mais avec un rte recent sur 25 je me demande si ça donne pas un "faux positif"?
Qu'en penses-tu?

Pour le reste je vais lire un peu avant.


chicopathe57

17/03/2017 à 00h16

camillo écrivait:
-----------------
> Canal excréteur de la glande parotide ?

> Névralgie faciale du trijumeau?
heu c'est névralgie du nerf facial (VII) ou nevralgie du trijumeau (III) mais pas un mix des deux:)))

Alors moi je propose une merdouille occlusale sur le bridge 25 à 27 notamment à cause d'un contact prématuré sur 27 et 38 qui explique les résorptions radiculaires distales de ces 2 dents, les douleurs sinusiennes, maxillaires gauches, sur 25 (ben ouais solidarisée à 27), le soulagement par AINS et ATB (ils ont une légère action antiinflammatoire)
pis il a l'air d'avoir une occlusion de merde (perte prématurée des 6?)
soluce: 38 en sous occ en OC et en latéralité, ça te prends 20 secondes grand max et tu lui demandes "c'est mieux?"
et puis vérifier qu'il y ait pas une autre prématurité sur les bridges métal qui trompent les papiers à articuler.




iyaudat

17/03/2017 à 14h42

chicopathe57 écrivait:
----------------------
> camillo écrivait:
> -----------------
> > Canal excréteur de la glande parotide ?
>
> > Névralgie faciale du trijumeau?
> heu c'est névralgie du nerf facial (VII) ou nevralgie du trijumeau (III) mais
> pas un mix des deux:)))
>
> Alors moi je propose une merdouille occlusale sur le bridge 25 à 27 notamment à
> cause d'un contact prématuré sur 27 et 38 qui explique les résorptions
> radiculaires distales de ces 2 dents, les douleurs sinusiennes, maxillaires
> gauches, sur 25 (ben ouais solidarisée à 27), le soulagement par AINS et ATB
> (ils ont une légère action antiinflammatoire)
> pis il a l'air d'avoir une occlusion de merde (perte prématurée des 6?)
> soluce: 38 en sous occ en OC et en latéralité, ça te prends 20 secondes grand
> max et tu lui demandes "c'est mieux?"
> et puis vérifier qu'il y ait pas une autre prématurité sur les bridges métal qui
> trompent les papiers à articuler.
>
>
>

Punaise j'aime comment tu vois les choses!! tu veux pas venir m'assister au cab? =))

Bon je vais tester toutes vos propositions mais ca y ressemble beaucoup, par contre est ce normal que les douleurs n'apparaissent que mnt alors que ces bridges ont 20 ans? ou peut etre egression recente de la 38?

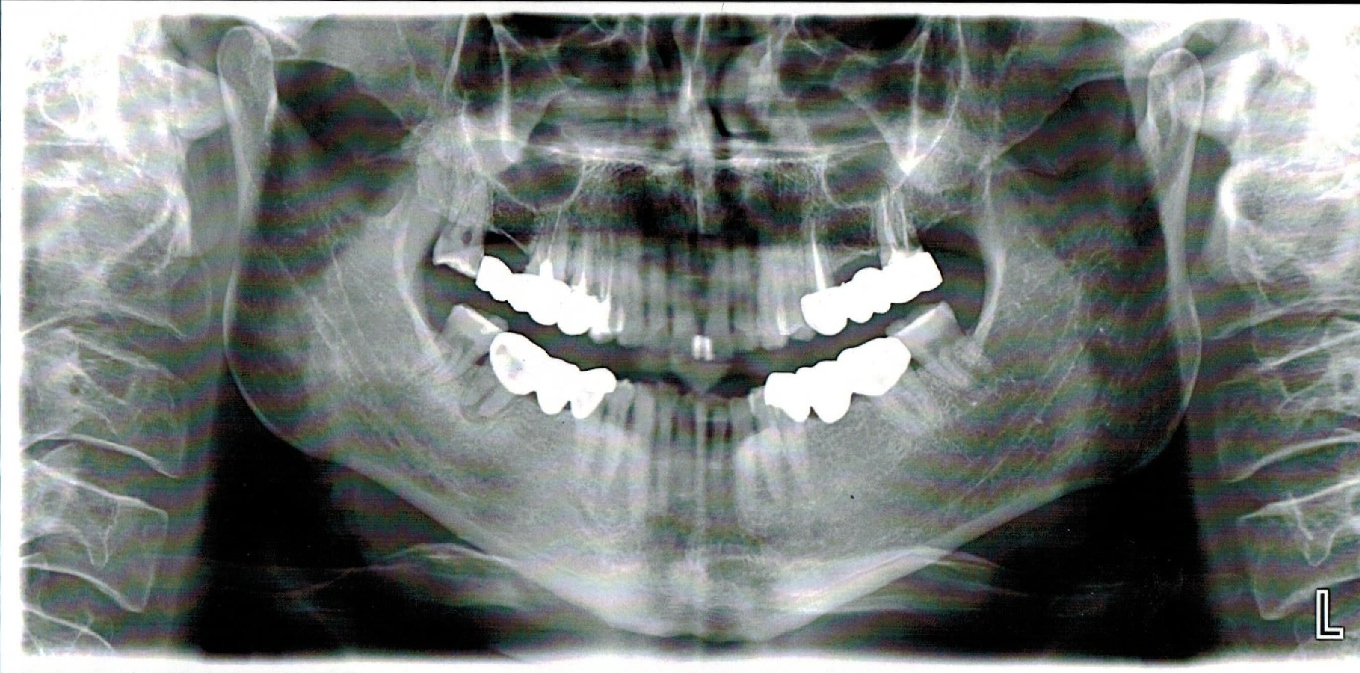
Au passage je vous poste le scan réalisé:

Cos2 oy4y4u - Eugenol

Avatar transparent iqadnc - Eugenol
adhoc

17/03/2017 à 15h04

L'image plus visible ... qui objective aussi une fracture de la racine Distale de 27.

Cos e6jnrs - Eugenol

Tanish

17/03/2017 à 15h11

Tu dis dans ton poste que tu as repris les traitements du secteur 20 pour ensuite dire que le bridge a une vingtaine d'années. Comment as tu fait ds ce cas pour entreprendre une rte sur 27 avec apparemment un inlay core ?... Ce que je vois sur ta pano c'est surtout 2 fractures radiculaires: une au tiers coronaire de la racine mesio vestibulaire juste à l apex du tenon l autre au tiers apical de la 25...sans parler de la grosse lésion sur la racine distale qui ressemble plus à une énorme carie sous la couronne qu'à une résorption externe.


Avatar transparent iqadnc - Eugenol
adhoc

17/03/2017 à 15h24

Peut etre pour 25 un artefact? (variation brutale de densité liée au modelé osseux)?
EDIT: en regardant bien, la solution de continuité radiculaire me parait bien importante pour un artefact. La probabilité de fracture horizontale au tiers apical radiculaire est importante!


Tanish

17/03/2017 à 16h51

Oui je suis d'accord j'ai regardé à plusieurs reprises et c'est plus de l'ordre de la fracture ;autant sur 25 que sur la 27. Les piliers du bridge en l'état ne sont plus conservables. Pour le moment cela se manifeste par des douleurs mais d'ici quelques temps d'autres symptômes s'en suivront notamment lorsque la 27 va commencer par lâcher il va apparaître un abcès en vestibulaire juste en regard de la racine mesio vestibulaire ou peut-être en regard de l'espace inter radiculaire et non au fond du vestibule. C'est l'affaire de quelques mois. Il vaut mieux temporiser jusque là et confirmer le diagnostic. Auquel cas il faudra tout déposer et envisager l'extraction des 2 piliers.
En attendant le remettre sous antibiotiques fausserait la donne. Contentes toi des anti-inflammatoires à visée antalgique.


chicopathe57

17/03/2017 à 18h12

Le mec se plaint de douleur depuis 2 ans, si la fracture radiculaire était la cause, depuis ce temps cela aurait déjà dégénéré, ou au moins aurait déclenché des signes cliniques visibles.

carie or not carie sur 27/38?
Une retroalvéolaire serait top pour préciser la lésion.
Je trouve le contour en distal un peu trop net. C'est aussi à contrôler lors de l'exam clinique avec la sonde, ça prend 2 secondes, s'il n'y a pas de cavité bien moelleuse, c'est très probablement une résorption et on a une piste...occlusale

et je rajoute:
douleur vers 17h/18h grosso modo après la journée de travail bien stressante ou le mec a un peu serré les dents donc il majore son trouble occlusale.
L'éthiologie occlusale est toujours compatible avec le fait d'avoir un bridge depuis 20 ans qui ne posait pas de problème jusque là.




Vw campersurfvan bmnk1q - Eugenol
enlaye

17/03/2017 à 18h40

iyaudat écrivait:
-----------------
Bonsoir,

" Un patient qui souffre depuis environ 1 an, une a deux fois par semaine le soir vers 17-18h de grosses douleurs diffuses non pulsatiles (maxillaire sup gauche, sinus, oeil, derriere le crane, bref toute la partie gauche mais le centre de la douleur est selon lui localisé au dessus de la 24/25)."

17-18 h ! ça ç est un signe qui n'a rien a voir avec une fracture ou carie....je serais plus de l'avis ce Chicopathe .
que fait il vers 17-18h ? il rumine en voiture dans les embouteillages ou dans le metro ?
metro boulot bruxo ?:-)))

" La douleur cède au AINS, mais aussi aux ATB, il a eu 6 jours d'amox, et apparament la douleur a disparu pendant 3 semaines."

il etait en vacance ?


Generique fraisage r2rxmm - Eugenol
lardonbis

17/03/2017 à 18h49

sa femme était chez sa mère malade pendant 3 semaines....
il rentre du boulot a 17h....


Vw campersurfvan bmnk1q - Eugenol
enlaye

17/03/2017 à 19h04

* comment elle s' appelle ta femme ?
- j'ai pas de femme
* ah bon, mais qu'est ce tu fais au bar ?? ( entre 5 et 6 )


iyaudat

17/03/2017 à 19h21

Comme d'hab ca fait plaisir de voir autant de reponses.

Alors il est vrai que la pano est trompeuse mais:

Il n'y a pas d'IC ni sur la 25 ni sur la 27, et pour reprendre les traitements j'ai pu deposer le bridge a l'arrache couronne (je sais c'est pas bien mais sinon fallait flinguer le bridge et monsieur avait pas les sous pour tout refaire)

Il n y a pas non plus de fracture que ce soit sur la 25 ou la 27, a mon avis l'image sur la 7 c'est du a la corticale, pour la 25 je l'explique pas mais j'ai les retro au cab et RAS, meme ce qui semble etre une carie en distale de la 7 be non, d'ailleurs cette radio transparence n y etait pas sur les retros... (qui sont au cab mais la c est le week end donc repos)

J ai une petite preference pour la piste occlusale, je vous tiens au jus et continue a lire vos recommandations, merci les gars! (et meme les filles hein (= )



Tanish

17/03/2017 à 23h52

Des images radios quasi evidentes sur la pano qui n'apparaissent pas sur les retros surtt sur la 27 c'est qu'ils règlent très mal les appareils à Nice ! ou c'est ta rvg qui contraste mal...poste nous les retros je veux vraiment voir.
Si c'est un pb occlusal le fait d'avoir bidouille en remettant le même bridge alors que t'as repris les soins en dessous cela risque fort d'accentuer le problème l'ajustage ne sera jamais parfait.
Et pour les traits de fracture oui il faut qq fois beaucoup de temps pour que les signes s'installent notamment parce que les dents sont dévitalisées depuis longtemps.
C'est rigolo cette volonté de différencier les tendances aux diagnostiques selon le sexe...je parie que sur ce post les hommes se penchent preferentiellement pour les pb occlusaux tandis que les filles vers les fractures et les caries (?!)...mmmm
A méditer...


iyaudat

20/03/2017 à 12h37

Alors voila les retros:

PS: la cavité sur la 24 est bien entendu reconstituée et la carie a été soignée le jour de mon post donc rien à voir avec les douleurs je précise.

Cos3 lihslt - Eugenol

Orezza gazeuse verre litre ocoxey - Eugenol
casa

20/03/2017 à 13h11

SI bridge déposé,pourquoi ne pas l'avoir laissé quelques jours sans ..pour voir si amélioration : cf pb occlusaux .


iyaudat

20/03/2017 à 14h21

casa écrivait:
--------------
> SI bridge déposé,pourquoi ne pas l'avoir laissé quelques jours sans ..pour voir
> si amélioration : cf pb occlusaux .

Ça doit être le manque d’expérience et d'intuition, mais c'est en forgeant que bla bla bla nan? j'y penserai dorénavant =)


12