Cookie Consent byPrivacyPolicies.compolident - Eugenol

polident

ramusque

17/03/2017 à 13h51

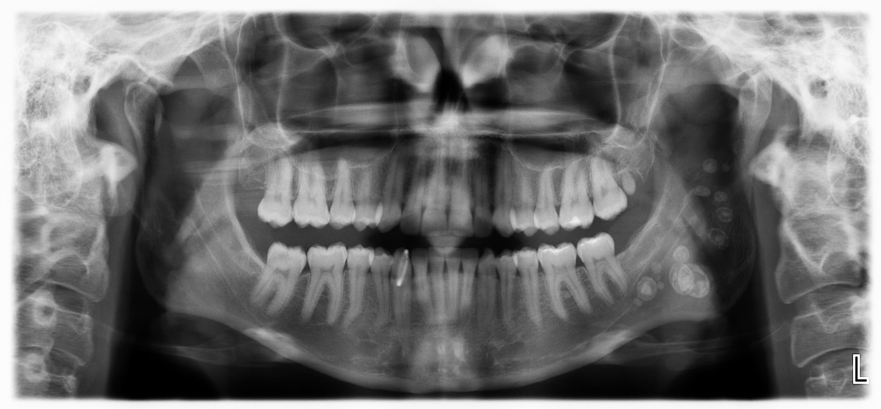
découverte fortuite à la pano.
Hyperodontie?

Vj2yga8hiwzqgdqaee8x - Eugenol

Photo pluton1b h9n4ea - Eugenol
pluton

17/03/2017 à 14h41

amha c'est plutôt des calculs salivaires parotidiens....


ramusque

17/03/2017 à 14h52

je la revois dans 3 mois car etudie à londres
je demanderai une echographie