Cookie Consent byPrivacyPolicies.comMerci à l'handicapé qui a fait ça (37) - Eugenol

Merci à l'handicapé qui a fait ça (37)

Sierra Tango

21/03/2017 à 11h38

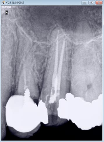
Cette radio me rappelle un peu un cliché "limes en place" que j'avais fait sur une 7 du bas lors d'un de mes premiers remplacements...
Dent hyper calcifiée, à ma décharge, en fait la chambre pulpaire n'était qu'un gros pulpolithe.
J'ouvre, je bataille, je fraise, je cherche, je tâtonne, je "poignarde de Marmasse", je refraise et vas-y que je finis par te les trouver ces trois canaux nom de nom... ! Ben dis donc, ça saigne pas mal, et dans les trois racines ; mais bon, j'usine, je lime, je racle, je rince, je lime, et ça descend, pas très vite, mais ça descend. Deux beaux orifices en mésial, un en distal, comme dans les livres. Ca saigne toujours un peu quand même...
Je finis par aller développer une radio limes en place, trois limes de 015 enfoncées en gros à 20mm, et je pars seul développer mon oeuvre dans la chambre noire. Ce qui est bien avec ce truc là, c'est que ça laissait le temps ;
- de voir arriver le désastre. C'est plus doux pour les émotifs que la RVG qui s'affiche d'un coup
- de préparer sa défense et ses arguments avant de retourner voir le patient !
La radio s'affiche, les trois limes chacune dans la furcation, aucune dans les racines ! Le grand chelem ! La longueur de travail estimée était pas si mal cela dit !
Bon la dent a fini dans le plateau, le patient ne s'en est pas ému plus que cela ; cela aurait pu être bien pire.
J'aurais du garder la radio, et faire une photo de la vue que j'avais de la dent, car je peux vous dire, que ça y ressemblait bien aux trois canaux et que je n'ai eu aucun doute à aucun moment sur le fait que je faisais une tri-perforation !
Depuis, je me suis un peu amélioré, enfin j'espère !

Cela dit pour ton copain, si sa 36 tient depuis 10 ans ainsi, la 37 va bien en faire 15 !


Orezza gazeuse verre litre ocoxey - Eugenol
casa

21/03/2017 à 11h51

ha ha ha , le petit couplet sur le développement est excellent ! pas vraiment fait de "cagade" comme cela , sauf une fois sur une incisive inf ! depuis j'ai compris , se méfier de ces petites choses là


dcs

21/03/2017 à 12h50

on a tous une merde de ce genre même après des années .

a quand le scan généralisé pour les endo!


Capture d  cran 2015 03 12 12.28 - Eugenol
chicot29

21/03/2017 à 13h17

dcs écrivait:
-------------
> on a tous une merde de ce genre même après des années .

Oui bien sur. Toi aussi tu développes tes radios le soir ? Tu ne fais jamais de radio lime en place ou cone en place en cas de doute ?

Parce que sceller un cone dans ces conditions il faut quand meme y aller. Arretez de trouver des excuses à des porcs parce que vous avez fait des merdes exceptionnellement.

Ah ! c'est vraiment pas de bol tous ces patients qui ont des bouches à abcès ! -)))

Tiens encore une pour la route. -)
--
En cas d'échec des négociations conventionnelles, seriez-vous prêt à suivre la promotion d'un déconventionnement massif de la profession par les syndicats représentatifs ? OUI - NON
Participez, anonymement, sur https://goo.gl/forms/nAO0htnsVmxotjYm1

Capture d écran 2017 03 21 13.11 - Eugenol

Tozzi

21/03/2017 à 16h12

Qu'est-ce qui saigne en lingual ?


Generique fraisage r2rxmm - Eugenol
lardonbis

21/03/2017 à 16h21

chorizo !
chicot se tapais un casse dalle pendant la bio !


Jack 2 wm3tqs - Eugenol
Treponem

21/03/2017 à 16h25

Tozzi écrivait:
---------------
> Qu'est-ce qui saigne en lingual ?

J'ai pensé la même chose, le "tiens encore une pour la route", quoi une perf ? :D
Peut-être un bout de saucisson pour lardon ? Ou une contre dépouille avec un peu de pulpe ?


Capture d  cran 2015 03 12 12.28 - Eugenol
chicot29

21/03/2017 à 17h29

Treponem écrivait:
------------------

> Peut-être un bout de saucisson pour lardon ? Ou une contre dépouille avec un peu
> de pulpe ?

Exact. -)

Putain ca marche du tonnerre de dieu le joypex 5. je suis plus rapide qu'avec l'endomaster. -)

80 balles sur ebay. -)

--
En cas d'échec des négociations conventionnelles, seriez-vous prêt à suivre la promotion d'un déconventionnement massif de la profession par les syndicats représentatifs ? OUI - NON
Participez, anonymement, sur https://goo.gl/forms/nAO0htnsVmxotjYm1


dcs

21/03/2017 à 18h02

faut être sérieux chicot ; tu juges sur une radio en 2d effilée l image d'une dent en 3d . Si au moins on avait des radios selon différents angles ce serait mieux!!!!voir mémé une 3d , et tu verrais que le cone n 'est peut être pas si centrale que ça mais plus en vestibulaire avec une fausse route !
mais tu es un genie , tu nous depasses tous ...









chicot29 écrivait:
------------------
> dcs écrivait:
> -------------
> > on a tous une merde de ce genre même après des années .
>
> Oui bien sur. Toi aussi tu développes tes radios le soir ? Tu ne fais jamais de
> radio lime en place ou cone en place en cas de doute ?
>
> Parce que sceller un cone dans ces conditions il faut quand meme y aller.
> Arretez de trouver des excuses à des porcs parce que vous avez fait des merdes
> exceptionnellement.
>
> Ah ! c'est vraiment pas de bol tous ces patients qui ont des bouches à abcès !
> -)))
>
> Tiens encore une pour la route. -)
> --
> En cas d'échec des négociations conventionnelles, seriez-vous prêt à suivre la
> promotion d'un déconventionnement massif de la profession par les syndicats
> représentatifs ? OUI - NON
> Participez, anonymement, sur https://goo.gl/forms/nAO0htnsVmxotjYm1


S8ysxdzhdqgw00w4q6m07a5d47q2 - Eugenol
Gai-Luron

21/03/2017 à 18h17

On le sait que tu fais de belles endos....
T'es pas un peu mégalo, toi???


Avatar transparent iqadnc - Eugenol
adhoc

21/03/2017 à 18h45

On apprend quand meme bien avec chicot, toujourd pret a répondre gentiment à nos questions.

Probleme de topographie:

on a tizot qui a demandé tres justement:
"Qu'est-ce qui saigne en lingual ?"

On a dcs qui dit:
"oir mémé une 3d , et tu verrais que le cone n 'est peut être pas si centrale que ça mais plus en vestibulaire avec une fausse route !"

Est ce qu'avec la photo de chicot et le petit machin rouge non identifié (un peu vif pour du sang mais bon, les photos....), on a un moyen de savoir si c'est une 36 (la fausse route serait en lingual?) ou une 46 (ca serait en vestibulaire).
-la morphologie cuspidienne résiduelle ne nous apprend rien
-la dique cache les copines!

On a juste la radio et la photo.:-) Petite énigme pour laquelle je n'ai pas de solution!:-)









lachmar

21/03/2017 à 20h42

dcs écrivait:
-------------


> mais tu es un genie , tu nous depasses tous ...
>
>

il est clairement très bon et nous le montre régulièrement ; et rien ne justifie ta causticité


S8ysxdzhdqgw00w4q6m07a5d47q2 - Eugenol
Gai-Luron

21/03/2017 à 21h44

adhoc écrivait:
---------------
> On apprend quand meme bien avec chicot, toujourd pret a répondre gentiment à nos
> questions.


Certes, mais quelqu'un comme Stéphane Simon est certainement et largement dirais-je aussi efficace que Chicot et surtout en fait moins des tonnes...
un peu d'humilité, quoi....


Orezza gazeuse verre litre ocoxey - Eugenol
casa

21/03/2017 à 22h00

Humilité : wikipedia est ton ami :"Le mot humilité (du mot latin humilitas dérivé de humus, signifiant « terre ») est généralement considéré comme un trait de caractère d'un individu qui se voit de façon réaliste. L'humilité s'oppose à toutes les visions déformées qui peuvent être perçues de soi-même (orgueil, égocentrisme, narcissisme, dégoût de soi), visions qui peuvent relever de la pathologie à partir d'une certaine intensité. L'humilité n'est pas une qualité innée chez les humains ; il est communément considéré qu'elle s'acquiert avec le temps, le vécu et qu'elle va de pair avec une maturité affective ou spirituelle. Elle s'apparente à une prise de conscience de sa condition et de sa place au milieu des autres et de l'univers."

C'est pas une qualité innée , chicot est donc très très jeune , c'est tout .


Jack 2 wm3tqs - Eugenol
Treponem

21/03/2017 à 22h04

Réalisme, humour certes caustique, une pointe de cynisme, ça peut ne pas plaire à tout le monde.
Un peu de recul diantre.


Orezza gazeuse verre litre ocoxey - Eugenol
casa

21/03/2017 à 22h17

pas mieux !


Capture d  cran 2015 03 12 12.28 - Eugenol
chicot29

21/03/2017 à 22h20

Gai-Luron écrivait:
-------------------
> adhoc écrivait:
> ---------------
> > On apprend quand meme bien avec chicot, toujourd pret a répondre gentiment à
> nos
> > questions.
>
>
> Certes, mais quelqu'un comme Stéphane Simon est certainement et largement
> dirais-je aussi efficace que Chicot et surtout en fait moins des tonnes...
> un peu d'humilité, quoi....

Ou là on ne joue pas dans la meme catégorie. Moi je fais des endos molaires à 80 balles en 25- 30 minutes. Cépaspareil. -)

Ca n'est qu'une question de séquence instrumentale. Avant il fallait etre doué , plus maintenant.

Celle là c'était ce matin 35 minutes parce que je me suis demandé pendant 10 minutes si il n'yavait pas un 3 ième mv. -)
--
En cas d'échec des négociations conventionnelles, seriez-vous prêt à suivre la promotion d'un déconventionnement massif de la profession par les syndicats représentatifs ? OUI - NON
Participez, anonymement, sur https://goo.gl/forms/nAO0htnsVmxotjYm1

Capture d écran 2017 03 21 22.27 - Eugenol

6szjws718sv1jksw54v4mpj3a6cu - Eugenol
vulpi

21/03/2017 à 22h24

chicot29 écrivait:
------------------
...
>
> Ou là on ne joue pas dans la meme catégorie. Moi je fais des endos molaires à
> 80 balles en 25- 30 minutes. Cépaspareil. -)
>

Oui c'est ça, les endos de Chicot ne sont pas géniales, elles sont comme cela doit être (les dépassements de pâtes en moins mon Chicot ;-))
Mais pour la rapidité chapeau bas!


Capture d  cran 2015 03 12 12.28 - Eugenol
chicot29

21/03/2017 à 22h30

vulpi écrivait:
---------------
> chicot29 écrivait:
> ------------------
> ...
> >
> > Ou là on ne joue pas dans la meme catégorie. Moi je fais des endos molaires à
> > 80 balles en 25- 30 minutes. Cépaspareil. -)
> >
>
> Oui c'est ça, les endos de Chicot ne sont pas géniales, elles sont comme cela
> doit être (les dépassements de pâtes en moins mon Chicot ;-))
> Mais pour la rapidité chapeau bas!

C'est vrai ne pas viser l'apex radiologique. -)

Mais je m'améliore , celle de 14 h. Nouveau patient ( mais est utile de le préciser quand on voit l'endo de 24, encore un problème technique hein ? ) ) Pulpite 25 ( signe d'appel status lol !) endo. Il va y avoir la 12 à reprendre non ? -)

En cas d'échec des négociations conventionnelles, seriez-vous prêt à suivre la promotion d'un déconventionnement massif de la profession par les syndicats représentatifs ? OUI - NON
Participez, anonymement, sur https://goo.gl/forms/nAO0htnsVmxotjYm1

Capture d écran 2017 03 21 22.36 - Eugenol
Capture d écran 2017 03 21 22.37 - Eugenol

Capture d  cran 2015 03 12 12.28 - Eugenol
chicot29

21/03/2017 à 22h42

Des merdes j'en fais aussi et je les poste aussi d'ailleurs. -)

Tiens en voilà une qui date de 2008 et que j'ai croisée la semaine dernière. Protapers de merde ! -)
Sans digue en plus beurk ! -)


--
En cas d'échec des négociations conventionnelles, seriez-vous prêt à suivre la promotion d'un déconventionnement massif de la profession par les syndicats représentatifs ? OUI - NON
Participez, anonymement, sur https://goo.gl/forms/nAO0htnsVmxotjYm1

Capture d écran 2017 03 21 22.46 - Eugenol

Jack 2 wm3tqs - Eugenol
Treponem

22/03/2017 à 08h05

Tu vas encore nous énerver, même tes merdes se transforment en or :)
Joli le canal distal obturé pile à l'apex courbure négociée, là on peut dire que la meilleur obturation c'est le niti.
Chapeau !


lachmar

22/03/2017 à 08h25

Gai-Luron écrivait:
------------------->
>
> Certes, mais quelqu'un comme Stéphane Simon est certainement et largement
> dirais-je aussi efficace que Chicot et surtout en fait moins des tonnes...
> un peu d'humilité, quoi....


il y en a plein qui sont meilleurs que chicot ... mais ils font les canaux à 300 euros pièce

chicot est un exemple pour les omnipraticiens comme nous

et il nous pousse en avant et nous motive en publiant régulièrement (même ses bouses)

j'aimerais que ceux qui le critiquent postent aussi tant de cas que lui


burnax

22/03/2017 à 08h31

+1


Generique fraisage r2rxmm - Eugenol
lardonbis

22/03/2017 à 08h38

+1 itou


Capture d  cran 2015 03 12 12.28 - Eugenol
chicot29

22/03/2017 à 08h42

Tout à fait. pas difficile de faire une bonne endo. Ce qui est plus dur c'est de le faire vitesse grand V et de façon reproductible à tous les coups. Le plus drole c'est que la plupart du temps ca ne prend pas plus de temps que de faire une peinture canalaire.

Aucune excuse avec le matos qui existe actuellement. Faut demander à ton chef de centre de t'acheter du matos correct gai luron. -)

--
En cas d'échec des négociations conventionnelles, seriez-vous prêt à suivre la promotion d'un déconventionnement massif de la profession par les syndicats représentatifs ? OUI - NON
Participez, anonymement, sur https://goo.gl/forms/nAO0htnsVmxotjYm1