Cookie Consent byPrivacyPolicies.comDe l'ic au sc33 - Eugenol

De l'ic au sc33

CHIRDENT

21/03/2017 à 18h34

.......patiente de 77 ans............c'est quand même mieux que les implants !

Img 1464 xkl7lj - Eugenol

Vw campersurfvan bmnk1q - Eugenol
enlaye

21/03/2017 à 18h34

chicot29 écrivait:
------------------
" C'est surtout que je me pose la question de comment tu fais ta reconstitution pré endo avant de mettre la digue. Tu sais bien qu'il faut mettre la digue avant de coller ? -))))"


on avait dit pas de coups bas :-)))


Vw campersurfvan bmnk1q - Eugenol
enlaye

21/03/2017 à 18h48

y a un truc à dire ,quand meme , ç est que vous avez le cul beni !:-)

Oui OUi OUI ,pcq le fameux sc33 ce nest pas du tout ce que vous faites !! non non !

l'equivalent du sc33 ,normalement ,tu refabriquais la dent certes avec un tenon ,mais tu refabriquais TOUTE la dent :
devant derriere , la face occlusale avec les points de contact ,+ les points de contacts promimaux .
et si d'avanture ça cassait , tu faisais la couronne .
Voilà d'ou venait " le non reconstituable durablement ",encore fallait il la reconstruire ,cette putain de dent :-)
ce n'etait pas q'un paté monté sur tenon .
Nuance ,les culs benis :-)))

PS : j'ai attendu + de 3 ans de rempla et de collabo avant de faire ma 1ere couronne !


Generique fraisage r2rxmm - Eugenol
lardonbis

21/03/2017 à 19h01

enlaye écrivait:
----------------

> PS : j'ai attendu + de 3 ans de rempla et de collabo avant de faire ma 1ere
> couronne !

mais à ton époque on montait soit même sa ceram sur une feuille de platine pliée avec soin :) ( sur un die en amalgame bien-sur )

De nos jour c'est le règne du "no skill". Protocole et matos pensés pour être non opérateur dépendant.
Les couronnes tu t'en branle tu les colles; avec une fraise suffisamment conique t'es sur d’être bon :)


Capture d  cran 2015 03 12 12.28 - Eugenol
chicot29

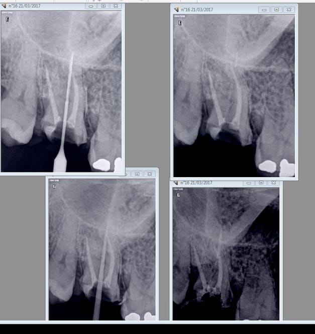
21/03/2017 à 19h08

Bon je suis en soins là, on a zappé l'étape de l'onlay ( pas remboursé) et on va zapper l'étape du SC33 ( ceram pas assez remboursée). On est dans l'indication de l'ic coiffe ( ic super bien remboursé) . Ce qui me fait chier c'est que je vais encore ramer pour virer la reconstitution pré endo. -)


--
En cas d'échec des négociations conventionnelles, seriez-vous prêt à suivre la promotion d'un déconventionnement massif de la profession par les syndicats représentatifs ? OUI - NON
Participez, anonymement, sur https://goo.gl/forms/nAO0htnsVmxotjYm1

Capture d écran 2017 03 21 19.04 - Eugenol

Orezza gazeuse verre litre ocoxey - Eugenol
casa

21/03/2017 à 19h13

Une bague de cuivre , ça c'était du vrai bricolage ! Un compo , sans matrice avec un tenon dedans : perso , ça me parait limite ! faut faire confiance à plein de truc : le tenon , le collage , et la résistance de tous ces matériaux vs la dent ! je suis dubitative mais je fais ..on verra bien , mais intellectuellement j'aime pas trop , en fait ! J'ai tort ?


Orezza gazeuse verre litre ocoxey - Eugenol
casa

21/03/2017 à 19h19

Ton histoire de pas assez remboursé me hérisse le poil ! tu n'es pas dans l'indication de l'IC ! point barre ! cf ton joli tableau ! Si t'avais un seul tarif de ceram tu n'aurais pas ce genre de considération . C'est 500 € point ! SC 33 , 3 faces ou IC . Faudrait que tu te prépares dès maintenant pcq si le RA passe ....


Le Rosbif

21/03/2017 à 19h21

Pour repondre a ce question c'est simple:

Mettre "dental panoramic" dans google et regarder tout les bouches du monde et voir avec quelle frequence il y a des ICs desous les couronnes.

https://www.google.co.uk/search?q=dental+panoramic+tomogram&source=lnms&tbm=isch&sa=X&ved=0ahUKEwjC84zFm-jSAhVrCMAKHd9GBaMQ_AUIBigB&biw=1920&bih=973#imgdii=PcTLmxnnEqn8EM:&imgrc=SfpGmE1wUK0TvM:&spf=202

Sauf si les dentistes Français connaît mieux que tout la reste du monde biensur ;-)))


--
"Si chaque confrère envoi une brosse à dent, crois moi ca les fera réfléchir."


Capture d  cran 2015 03 12 12.28 - Eugenol
chicot29

21/03/2017 à 20h03

casa écrivait:


Capture d  cran 2015 03 12 12.28 - Eugenol
chicot29

21/03/2017 à 20h07


> casa écrivait:
> --------------
> > Ton histoire de pas assez remboursé me hérisse le poil ! tu n'es pas dans
> > l'indication de l'IC ! point barre ! cf ton joli tableau ! Si t'avais un seul
> > tarif de ceram tu n'aurais pas ce genre de considération . C'est 500 € point !
> > SC 33 , 3 faces ou IC . Faudrait que tu te prépares dès maintenant pcq si le
> RA
> > passe ....
>
Je suis dans l'indication de l'onlay si j'estime que la pulpe n'est pas nase, je
suis dans l'indication de l'endo si j'estime le contraire. Enfin pour le SC33 ou
l'ic la décision se prend après préparation périphérique. Au vu de ces photos tu
en penses quoi ? Et encore la moitié qui reste c'est ma reconstitution pré
> endo. D'ailleurs il en reste un peu en distal après prépa de l'ic ca colle fort. . -)


--
En cas d'échec des négociations conventionnelles, seriez-vous prêt à suivre la promotion d'un déconventionnement massif de la profession par les syndicats représentatifs ? OUI - NON
Participez, anonymement, sur https://goo.gl/forms/nAO0htnsVmxotjYm1

Capture d écran 2017 03 21 20.05 - Eugenol
Capture d écran 2017 03 21 20.02 - Eugenol

Orezza gazeuse verre litre ocoxey - Eugenol
casa

21/03/2017 à 20h16

J'en pense que ça ne m'étonne pas que tu fasses bcp d'IC !! et comme dit plus haut , nous sommes les champions de l'IC .. c'est bizarre quand même !


Capture d  cran 2015 03 12 12.28 - Eugenol
chicot29

21/03/2017 à 20h20

C'est pas de faire un IC qui abime la dent c'est de ne pas faire un onlay. Si tu prends les recommandations ANAES les indications de sc33 sont minimes déjà rien qu'avec cette histoire de carie juxta gingivale et de 2mm de la limite de la restauration prothétique.


--
En cas d'échec des négociations conventionnelles, seriez-vous prêt à suivre la promotion d'un déconventionnement massif de la profession par les syndicats représentatifs ? OUI - NON
Participez, anonymement, sur https://goo.gl/forms/nAO0htnsVmxotjYm1


Capture d  cran 2015 03 12 12.28 - Eugenol
chicot29

21/03/2017 à 20h31

Par contre faut se méfier avec les largo 1. J'ai foré jusqu'à 3 mm de l'apex ( pas moyen de mettre un stop trop fin) , obligé de ré-obturer pour rattraper le coup. -)


--
En cas d'échec des négociations conventionnelles, seriez-vous prêt à suivre la promotion d'un déconventionnement massif de la profession par les syndicats représentatifs ? OUI - NON
Participez, anonymement, sur https://goo.gl/forms/nAO0htnsVmxotjYm1

Capture d écran 2017 03 21 20.28 - Eugenol

Capture d  cran 2015 03 12 12.28 - Eugenol
chicot29

21/03/2017 à 20h41

Tiencasa c'est à l'aise une endo. Tu ouvres la chambre, tu y colles de l'hypochrorite ensuite tu picores au sx au pif pour trouver les canaux et tu alternes SX-R25. Ensuite tu ouvres légèrement au largo 3. Ca prends 2 minutes et la moitié du boulot est fait. -)
Ensuite tu fais la meme chose avec le R25 et le S1 et 2 minutes après tu es à l'apex en 25 conicité 6. Je parle pour les 3 canaux bien sur. Ici pas trouvé de MV2 mais c'est rare.

Si ca te permet de laisser tomber tes limes K ca sera déjà pas mal. Bon ensuite tu deviens moins conservateur......-)))).


--
En cas d'échec des négociations conventionnelles, seriez-vous prêt à suivre la promotion d'un déconventionnement massif de la profession par les syndicats représentatifs ? OUI - NON
Participez, anonymement, sur https://goo.gl/forms/nAO0htnsVmxotjYm1

Capture d écran 2017 03 21 20.35 - Eugenol

Capture d  cran 2015 03 12 12.28 - Eugenol
chicot29

21/03/2017 à 21h10

casa écrivait:
--------------
> J'en pense que ça ne m'étonne pas que tu fasses bcp d'IC !! et comme dit plus
> haut , nous sommes les champions de l'IC .. c'est bizarre quand même !

C'est pas bizarre on est les champions de l'endo gratuite. C'est pas 80 balles une endo molaire dans les pays civilisés plutôt 600, 800 voire mille balles alors forcément l'inlay core VS SC33 faut avoir les moyens pour se poser la question -)))......


--
En cas d'échec des négociations conventionnelles, seriez-vous prêt à suivre la promotion d'un déconventionnement massif de la profession par les syndicats représentatifs ? OUI - NON
Participez, anonymement, sur https://goo.gl/forms/nAO0htnsVmxotjYm1


Capture d  cran 2015 03 12 12.28 - Eugenol
chicot29

21/03/2017 à 21h21

Cette patiente était ma dernière de la journée..... Donc parfaitement détendu j'ai eu le temps de bien l'éclairer. On vire le compo cassé photo et explication :

Voyez si on s'arrete là on peut faire un onlay et garder votre dent vivante.....

C'est 400 euros remboursés 40 par la sécu + votre mutuelle il vous reste 360 euros à charge.

C'est trop cher. Ah ?


--
En cas d'échec des négociations conventionnelles, seriez-vous prêt à suivre la promotion d'un déconventionnement massif de la profession par les syndicats représentatifs ? OUI - NON
Participez, anonymement, sur https://goo.gl/forms/nAO0htnsVmxotjYm1

Capture d écran 2017 03 21 21.18 - Eugenol

Capture d  cran 2015 03 12 12.28 - Eugenol
chicot29

21/03/2017 à 21h27

Donc on va faire moins cher je vous propôse de la dévitaliser c'est 80 balles remboursés donc gratuit.....

Alons y docteur ! -)

25 mn plus tard* voilàààààààà madame est servie. -)))

*méthode chicot réservée aux professionnels n'essayez pas de reproduire ca chez vous. -)))

Bon arrivé là nous sommes à la croisée des chemins.......

--
En cas d'échec des négociations conventionnelles, seriez-vous prêt à suivre la promotion d'un déconventionnement massif de la profession par les syndicats représentatifs ? OUI - NON
Participez, anonymement, sur https://goo.gl/forms/nAO0htnsVmxotjYm1

Capture d écran 2017 03 21 21.25 - Eugenol

Orezza gazeuse verre litre ocoxey - Eugenol
casa

21/03/2017 à 21h35

1000 balle l'endo ? waouh .. c'est où ça , au pays de Trump ? donc si c'était 1000 € tu fais pas de couronne ? Alors à quoi sert de te justifier à chaque fois , tu fais ce que tu veux mais surtout ne te casse pas la tête à te justifier .. réserve ça à la secu si besoin est. Pour nous , je crois que le message est clair .


Capture d  cran 2015 03 12 12.28 - Eugenol
chicot29

21/03/2017 à 21h38

Soit je remplis le trou avec le meme composite que celui avec laquelle j'ai déjà reconstitué la partie arrière de votre dent ( on va l'ancrer avec une vis dans une racine, ca ne sera pas plus solide mais il faut bien que je becte) on fait une couronne en céramique : il vous en coutera 580 euros remboursés 400 euros par la sécu et votre mutuelle. Donc 180 euros à charge.....

C'est encore trop cher docteur......

Ah ? Bon comme je n'ai pas qu'un tour dans mon sac je vais vous proposer LA solution à vos problèmes.

On rase tout ce qui reste, il ne va plus rester que la racine et on va y mettre un faux moignon en métal et une céramique. ca vous coutera 690 euros tout remboursé par votre sécu et votre mutuelle : 0 de reste à charge.

Vous voyez docteur, quand vous voulez........-)))))


--
En cas d'échec des négociations conventionnelles, seriez-vous prêt à suivre la promotion d'un déconventionnement massif de la profession par les syndicats représentatifs ? OUI - NON
Participez, anonymement, sur https://goo.gl/forms/nAO0htnsVmxotjYm1


Capture d  cran 2015 03 12 12.28 - Eugenol
chicot29

21/03/2017 à 21h40

casa écrivait:
--------------
> 1000 balle l'endo ? waouh .. c'est où ça , au pays de Trump ? donc si c'était
> 1000 € tu fais pas de couronne ? Alors à quoi sert de te justifier à chaque fois
> , tu fais ce que tu veux mais surtout ne te casse pas la tête à te justifier ..
> réserve ça à la secu si besoin est. Pour nous , je crois que le message est
> clair .

J'ai soigné une américaine c'était 1000 dollars pour une endo sur PREMOLAIRE !
Du coup avec mes 40 balles je suis passé pour un cas soc limite suspicion genre " ou suis je tombée qu'est ce qu'il va me faire ? ".....-))))

Mais je suis content en France c'est l'état qui paie nos études. Si j'avais su qu'il s'occuperait de mes tarifs plus tard j'aurais fait autre chose ! -))))

--
En cas d'échec des négociations conventionnelles, seriez-vous prêt à suivre la promotion d'un déconventionnement massif de la profession par les syndicats représentatifs ? OUI - NON
Participez, anonymement, sur https://goo.gl/forms/nAO0htnsVmxotjYm1


blaise2583

21/03/2017 à 21h43

casa écrivait:
--------------
> Une bague de cuivre , ça c'était du vrai bricolage ! Un compo , sans matrice
> avec un tenon dedans : perso , ça me parait limite ! faut faire confiance à
> plein de truc : le tenon , le collage , et la résistance de tous ces matériaux
> vs la dent ! je suis dubitative mais je fais ..on verra bien , mais
> intellectuellement j'aime pas trop , en fait ! J'ai tort ?

Moi c est 90 pour 100 sc33 avec coffrage bague cuivre molle ajustée injection polycore autour du tenon si bague bien ajustée (coup à prendre) puis taille à minima que je fignole au rv taille empreinte la gencive est bien plus belle après la cicatrisation (d ailleurs le spe endo utilisé pas mal les bagues pour reconstitutions pré endo). Et l'avantage c'est que si le mec ne revient pas de suite c est pas foutu car ça fait chier une belle endo qu on extrait après c'est sur que tu n optimise pas le remboursement mais tu ne t embêtés pas avec des calculs à la noix... ça a mis un an à être intégré donc délicat pour le ca mais après ç est comme ça évolue


Orezza gazeuse verre litre ocoxey - Eugenol
casa

21/03/2017 à 21h47

Oui, je fais ça aussi mais je sais pas j'ai pas trop confiance !! je me demande combien de temps ça va durer ... réponse dans quelques années !


Capture d  cran 2015 03 12 12.28 - Eugenol
chicot29

21/03/2017 à 21h49

Et voilà comment on passe de ca à ca ! -)

Magnifique le meilleur système de santé au monde ! -)))

Ce pays est foutu. -)
--
En cas d'échec des négociations conventionnelles, seriez-vous prêt à suivre la promotion d'un déconventionnement massif de la profession par les syndicats représentatifs ? OUI - NON
Participez, anonymement, sur https://goo.gl/forms/nAO0htnsVmxotjYm1

Capture d écran 2017 03 21 21.48 - Eugenol

Capture d  cran 2015 03 12 12.28 - Eugenol
chicot29

21/03/2017 à 21h58

blaise2583 écrivait:
--------------------

> Moi c est 90 pour 100 sc33 avec coffrage bague cuivre molle ajustée injection
> polycore autour du tenon si bague bien ajustée (coup à prendre) puis taille à
> minima que je fignole au rv taille empreinte la gencive est bien plus belle
> après la cicatrisation (d ailleurs le spe endo utilisé pas mal les bagues pour
> reconstitutions pré endo). Et l'avantage c'est que si le mec ne revient pas de
> suite c est pas foutu car ça fait chier une belle endo qu on extrait après c'est
> sur que tu n optimise pas le remboursement mais tu ne t embêtés pas avec des
> calculs à la noix... ça a mis un an à être intégré donc délicat pour le ca mais
> après ç est comme ça évolue

Il ne revient pas pourquoi veux tu qu'il revienne ? C'est tout blanc et tout joli. Il reviendra quand ca ca aura pété et usé bien à raz de la gencive et tu pourras lui bousiller celle d'en face égressée pour gagner de la hauteur. -)

Yes ! jackpot ! bonus fois 2, extra ball , same player shoot again. -)


--
En cas d'échec des négociations conventionnelles, seriez-vous prêt à suivre la promotion d'un déconventionnement massif de la profession par les syndicats représentatifs ? OUI - NON
Participez, anonymement, sur https://goo.gl/forms/nAO0htnsVmxotjYm1

Capture d écran 2017 03 21 21.57 - Eugenol

blaise2583

21/03/2017 à 22h44

chicot29 écrivait:
------------------
> blaise2583 écrivait:
> --------------------
>
> > Moi c est 90 pour 100 sc33 avec coffrage bague cuivre molle ajustée injection
> > polycore autour du tenon si bague bien ajustée (coup à prendre) puis taille à
> > minima que je fignole au rv taille empreinte la gencive est bien plus belle
> > après la cicatrisation (d ailleurs le spe endo utilisé pas mal les bagues pour
> > reconstitutions pré endo). Et l'avantage c'est que si le mec ne revient pas de
> > suite c est pas foutu car ça fait chier une belle endo qu on extrait après
> c'est
> > sur que tu n optimise pas le remboursement mais tu ne t embêtés pas avec des
> > calculs à la noix... ça a mis un an à être intégré donc délicat pour le ca
> mais
> > après ç est comme ça évolue
>
> Il ne revient pas pourquoi veux tu qu'il revienne ? C'est tout blanc et tout
> joli. Il reviendra quand ca ca aura pété et usé bien à raz de la gencive et tu
> pourras lui bousiller celle d'en face égressée pour gagner de la hauteur. -)
>
> Yes ! jackpot ! bonus fois 2, extra ball , same player shoot again. -)
>
>
> --
> En cas d'échec des négociations conventionnelles, seriez-vous prêt à suivre la
> promotion d'un déconventionnement massif de la profession par les syndicats
> représentatifs ? OUI - NON
> Participez, anonymement, sur https://goo.gl/forms/nAO0htnsVmxotjYm1

Souvent ça les embêté d avoir qu un moignon ce est pas pratique pour manger... pour l egression tu as raison mais je cale juste un point de contact pour bloquer après on peut dire ce qu on veut si un mec ne veut pas mettre un copeck dans sa bouche ça sera foutu et on en a tous la je me laisse qq mois de rab par rapport à la irm... de toutes les façons tu prends 100 dentistes 100 façons de bosser et en essayant de faire au mieux je espère enfin des fois on peut en douter en voyant certains tafs