Tous les forums
Avis sur les facettes pelliculaires
11/04/2017 à 06h50
j'aimerais avoir un avis sur ce type de facettes :
1) est ce que ça tient bien dans le temps ?
2) est ce qu'on peut vraiment corriger une teinte ? A4->A1 ? ou peut on passer juste d'une teinte A2 à A1 ?
Disons que j'ai du mal à croire qu'une facette très fine associée à une colle peut masquer des teintes foncées .
Pourrais je avoir un avis de la part de ceux qui En posent ?
11/04/2017 à 09h55
si tu parle des facettes sans préparations, je ne répondrais qu'a la N°1.
ça tiens super bien comme tout les collages. Donc indémontable sans tout niquer en dessous. Le traitement est irréversible contrairement à ce qu'on te vend parfois.
Le probleme c'est bien sur la paro :)
Après il y a du pelliculaire avec préparation très propre, usiné tip top, l’intérêt étant de rester dans l'émail niveau préparation je crois. J'ai du mal à voir l’intérêt au vue des valeur de collage dur la dentine. Économie tissulaire? bof.
pour le masquage je sais pas.
11/04/2017 à 09h57
les facettes pelliculaires sont peut-être l'exercice le plus difficile que nous puissions executer
parceque nous nous attaquuons à des dents saines ,et que la "mutilation " n'est jamais loin en cas d'echec
et que l'exigence du patient est legitimement très elevée
c'est du très haut niveau, hors de portée d'un cabinet d'omnipratique à mon sens pour avoir un résultat conforme aux attentes des patients
11/04/2017 à 10h17
tiens si t'es là une question :)
C'est quoi l’intérêt ?
- dans les deux cas (classique et pelliculaire) on tape dans le sain pour de l'esthétique
- dans les deux cas ce n'est pas réversible et l’échec entraine quasiment les mêmes conséquences ( pour le dentiste).
- l'une des techniques est pour le moment plus complexe et beaucoup ( beaucoup !) plus opérateur-dépendante.
Et choisir la technique la plus oprérateur-dépendante c'est déjà presque une faute en soit...... :)
11/04/2017 à 10h20
Effectivement, si tu parles de facettes sans prep, en apposition, je te renvoie à ce qu'a écrit le lardoni, irréversible et surcontour, donc naze. On n'en voie pas souvent passer, toujours des reprises de caries dessous.
Par contre les vraies pelliculaires, c'est-à-dire des facettes qui restent dans l'émail, sans retour palatin, 0,6 à 0,8mm d'épaisseur... Faut avoir le bon cas.
Dejà, des labos qui bossent sur des épaisseurs aussi fines, ça ne court pas les rues. Admettons que tu l'as.
Ensuite, tu ne modifieras pas la teinte de manière très importante, il faut une certaine épaisseur tout de même.
Modifier la forme? OK, mais si tu ne veux pas de retour palatin, il ne faut pas toucher aux points de contact non plus.
Bref, en fait, ça marche très bien à condition de ne pas devoir modifier la forme et la teinte des dents. Pure indication haha.
(en fait, j'en ai fait quelques unes, unitaires, des incisives rhyziformes ou palatinoversées, à l'aise
Un cas également de 13 à 23, sur une classe II 2 avec encombrement, à visée esthétique. Vu comme j'ai ramé, je m'en mords encore les couilles, mais le résultat était sympa, et presque no prep. Je devrais le refaire, je ferais un retour palatin, ce serait beaucoup plus simple, donc plus fiable)
11/04/2017 à 12h00
Disons que ce qui me dérange dans le fait de ne pas préparer c'est la limite juste au dessus de la gencive qui forcement doit être légèrement en sur-contour. Mais sur les photos ca rend pas mal. C'est effectivement de l'esthétisme +++ .
Parce que je sais pas pour vous mais dans ma patientele, il y en a qui ont une forte demande pour ce genre de chose. Ils sont prêts à mettre le paquet pour avoir un sourire parfait.
J'ai des personnes qui sont prêtes à se faire couronner des dents parfaitement saines pour avoir un sourire parfait. Et ce qui me dérange c'est de délabrer des dents qui n'ont rien demandé à personne. D'où mon intérêt pour ces fameuses facettes.
Quand il s'agit de refaire une couronne moche, pas de souci je refais. Par contre délabrer une dent pour mettre des couronnes c'est un peu problématique. De la même façon pour des facettes classiques on delabre très légèrement.... mais pas pour les pelliculaires
11/04/2017 à 12h09
le collage c'est vraiment au point maintenant.
Tu délabres aussi par apposition :)
11/04/2017 à 12h27
Le problème également c'est que certains veulent absolument des dents plus blanches que la cuvette de nos wc alors qu'à la base ils ont une teinte A1 ou A2. Faut il dire Oui ? Ou faut il les persuader qu'il ne faut pas le faire ? J'en ai certains à qui je dis que ce n'est pas nécessaire et pourtant ils veulent quand même que ca soit plus blanc que blanc. Assez embêtant à gérer tout ça
11/04/2017 à 12h34
J'aime bien leur dire que je ne suis pas esthéticienne. Je crois que je suis pas un bon client pour ces conneries en fait.
Y'a des gens qui passeront leur vie complexés par les idioties qu'ils voient à la télé, c'est aussi à toi de leur remettre les pendules à l'heure et de relativiser à leur place.
Tu le ferais, toi, te coller 6 facettes sur dents saines?
11/04/2017 à 12h45
Sethef écrivait:
----------------
> J'aime bien leur dire que je ne suis pas esthéticienne. Je crois que je suis pas
> un bon client pour ces conneries en fait.
voila exactement le fond de ma pensée
11/04/2017 à 14h27
lardonbis écrivait:
-------------------
> si tu parle des facettes sans préparations, je ne répondrais qu'a la N°1.
> ça tiens super bien comme tout les collages. Donc indémontable sans tout niquer
> en dessous. Le traitement est irréversible contrairement à ce qu'on te vend
> parfois.
> Le probleme c'est bien sur la paro :)
>
> Après il y a du pelliculaire avec préparation très propre, usiné tip top,
> l’intérêt étant de rester dans l'émail niveau préparation je crois. J'ai du mal
> à voir l’intérêt au vue des valeur de collage dur la dentine. Économie
> tissulaire? bof.
>
> pour le masquage je sais pas.
il vaut mieux rester dans l'email pour 2 raisons principales.
1/ valeur d'adhésion nettement meilleures malgré tout.
2/la dentine est un tissu très coloré, contrairement à l'émail. plus tu enlèves d'email et plus tu auras un substrat coloré.
et bien sur la préservation tissulaire.
pour la correction de teinte c'est très variable, mais un éclaircissement préalable est systématiquement (99% des cas) proposé chez moi afin d'optimiser les résultats en eclaircissant le substrat.
Pour moi le gros intérêt de ces traitement est le retour des patients. tu leur changes la vie bien souvent !
lance toi c'est super !
--
You can't always get what you want..
11/04/2017 à 14h36
dr_0le écrivait:
----------------
> 2/la dentine est un tissu très coloré, contrairement à l'émail. plus tu enlèves
> d'email et plus tu auras un substrat coloré.
mmm pas con...
mais du coup si tu est fin et en biais ( correction de la forme par exemple ) et que tu découvre une plage de dentine marron, il fait comment le prothésiste ? C'est assez masquant sur 0.6mm? Tu gères avec la colle ?
> et bien sur la préservation tissulaire.
Dans tout traitement il faut un sacrifice à sainte Apolline, si elle a pas son cota d'émail elle fait la gueule :)
11/04/2017 à 15h38
lardonbis écrivait:
-------------------
> dr_0le écrivait:
> ----------------
>
> > 2/la dentine est un tissu très coloré, contrairement à l'émail. plus tu
> enlèves
> > d'email et plus tu auras un substrat coloré.
>
>
> mmm pas con...
>
> mais du coup si tu est fin et en biais ( correction de la forme par exemple ) et
> que tu découvre une plage de dentine marron, il fait comment le prothésiste ?
> C'est assez masquant sur 0.6mm? Tu gères avec la colle ?
je pige pas ..
--
You can't always get what you want..
11/04/2017 à 22h55
"drôle " tu arrives à passer d'une teinte A4 à du A1 avec éclaircissement plus facettes pelliculaires ?
12/04/2017 à 01h59
junior® écrivait:
-----------------
> "drôle " tu arrives à passer d'une teinte A4 à du A1 avec éclaircissement plus
> facettes pelliculaires ?
Non je ne prétends pas gagner 4 teinte avec une chips en emax de 0,6 mm d'épaisseur à chaque fois:):)
Mais tout dépend du cas, de l'étiologie de la coloration.
Parfois l'éclaircissement fait tout le boulot et le patient ne veut même plus de facette à la fin du traitement.
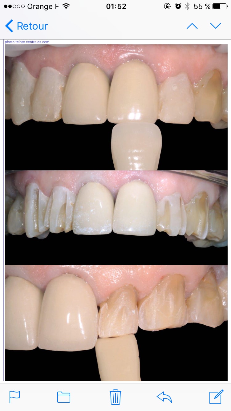
Je ne suis pas sur mon ordi mais jai qq photo qui traîne d'un cas tout frais (moins d'un mois auquel je pense pour étayer mes propos). le rattrapage est assez intéressant sur des facettes sans préparation quasiment puisqu'il y avait une perte de substance vestibulaire sur les dents à traiter. On a des substrats très colorés (nd7-8) et La patiente à même refusé l'éclaircissement...dans ce cas là je pense qu'elle a eu raison et qu'il aurait été inutile puisque presque plus d'email résiduel en vestibulaire.
Et avec ces ´facettes' le rattrapage de teinte est très sympa.
On a comme témoin les 2 ccm centrales (3m1 il me semble) que la patiente voulait' masquer' et que l'on a pas touché.
Cas de mars 2017.
Je ne prétends pas rattraper toutes les teintes mais les matériaux acutels ont des propriétés optiques intéressantes. ;)
Pspour la dernière PhotO, je le suis juste amuse avec le 105 et l'ouverture de champ:) mais je n'ai pas les autres photos du cas sur mon tel:)
--
You can't always get what you want..
12/04/2017 à 08h36
dr_0le écrivait:
----------------
> je pige pas ..
>
Je suis pas clair :)
je pense que des fois tu corriges la forme des dent.
On triche un peu, par exemple décortiquer 0mm en mesial, 0.5mm au centre et 1mm en distal.
Il se passe quoi en cas :
- de forte différence de teinte émail/dentine
- de dentine exposée en distal
- de facette très fine
Es-tu obligé de décortiquer encore plus pour masquer ou en 0.6 mm de ceram ça passe ?
Tu transmet les différentes teintes du support au prothésiste ?
12/04/2017 à 08h48
Regarde le cas que j'ai posté.
Mock up en place( un peu flingué par 1j de port)
Prepa au travers du mock up pour ne prendre que l'épaisseur nécessaire.
Donc forcément tu vas avoir une facette qui aura dès différence d'épaisseur.
Mais regarde le résultat final. Sur des facettes fine. Celle ci faisaient .9 mm d'épaisseur au compas.
Je n'ai pas toutes les photos de l'empreinte / cordonnets/ essaygae sur le téléphone.
Mais La patiente est très satisfaite et le résultat est supa selon moi.. même si la 12 ne me plait pas:)
regarde le cas fini, le 'rattrapage"' de teinte =) pourtant un membre du forum n'y croyait pas quand je lui ai envoyé la photo des préparations =) hein Gépé !
--
You can't always get what you want..
12/04/2017 à 13h52
lachmar écrivait:
-----------------
> les facettes pelliculaires sont peut-être l'exercice le plus difficile que nous
> puissions executer
> parceque nous nous attaquuons à des dents saines ,et que la "mutilation " n'est
> jamais loin en cas d'echec
>
> et que l'exigence du patient est legitimement très elevée
> c'est du très haut niveau, hors de portée d'un cabinet d'omnipratique à mon sens
> pour avoir un résultat conforme aux attentes des patients
Entièrement d'accord.
C'est pourquoi je cherche un praticien sur le 34 qui en pose pour adresser.
Réponse en MP.
Merci.
12/04/2017 à 15h44
paradoxe écrivait:
------------------
> lachmar écrivait:
> -----------------
> > les facettes pelliculaires sont peut-être l'exercice le plus difficile que
> nous
> > puissions executer
> > parceque nous nous attaquuons à des dents saines ,et que la "mutilation "
> n'est
> > jamais loin en cas d'echec
> >
> > et que l'exigence du patient est legitimement très elevée
> > c'est du très haut niveau, hors de portée d'un cabinet d'omnipratique à mon
> sens
> > pour avoir un résultat conforme aux attentes des patients
>
> Entièrement d'accord.
> C'est pourquoi je cherche un praticien sur le 34 qui en pose pour adresser.
> Réponse en MP.
> Merci.
--
You can't always get what you want..
Pas d'accord.
Malheureusement à cause de réaction comme celle la qu'on entend beaucoup de praticiens dirent que les "facettes ça ne tient pas" ou alors "c'est trop dur à réaliser " et que l'on sacralise cet acte qui n'est pas plus compliqué qu'une endodontie molaire par exemple.
C'est en continuant comme ça que l'on verra des dents mutilées inlay core couronne ccm sur des centrales"pour que ça tienne"
Il faut au contraire permettre au plus grand nombre de s'y mettre , formation continue etc.. il y a une réelle demande!!
L'indication n'est pas compliquée à poser, la préparation plus simple que la préparation d'une couronne ou d'un bridge, l'assemblage u e fois appris est ultra reproductible..
Le seul élément indispensable est le bon labo. Puisque comme dit plus haut, l'exigence esthétique est importante. Cela implique des séances de wax up, mockup, essayage....et un labo qui maitrise parfaitement la céramique.
12/04/2017 à 16h09
dr_0le
on sacralise cet acte qui n'est pas plus compliqué qu'une
> endodontie molaire par exemple.
je pense que chicot sera d'accord avec moi pour te dire qu'une endo molaire c'est facile ))))
mais qu'une facette n'est pas trop dans nos cordes
aucun d'entre nous ne peut etre bon en tout )))
12/04/2017 à 17h44
lachmar écrivait:
-----------------
> dr_0le
>
>
>
> on sacralise cet acte qui n'est pas plus compliqué qu'une
> > endodontie molaire par exemple.
>
>
> je pense que chicot sera d'accord avec moi pour te dire qu'une endo molaire
> c'est facile ))))
>
> mais qu'une facette n'est pas trop dans nos cordes
>
> aucun d'entre nous ne peut etre bon en tout )))
--
You can't always get what you want..
Ok tu m'envoies tes cas de facettes je t'envoie mes endo molaires..on échange nos coordonnées en mp:))
12/04/2017 à 17h47
dr_0le écrivait:
----------------
> lachmar écrivait:
> -----------------
> > dr_0le
> >
> >
> >
> > on sacralise cet acte qui n'est pas plus compliqué qu'une
> > > endodontie molaire par exemple.
> >
> >
> > je pense que chicot sera d'accord avec moi pour te dire qu'une endo molaire
> > c'est facile ))))
> >
> > mais qu'une facette n'est pas trop dans nos cordes
> >
> > aucun d'entre nous ne peut etre bon en tout )))
>
>
> --
> You can't always get what you want..
>
> Ok tu m'envoies tes cas de facettes je t'envoie mes endo molaires..on échange
> nos coordonnées en mp:))
bonne idée : et on dichotomise comme des fous