Cookie Consent byPrivacyPolicies.comCanine incluse en position haute - Eugenol

Canine incluse en position haute

Sierra Tango

27/04/2017 à 14h53

Bonjour,
Cette patiente de 13 ans est baguée par un ami orthodontiste depuis un an. Les arcades sont harmonieuses et grosso-modo alignées, la classe 1 se présente bien, et il va falloir désormais s'atteler au principal souci de ce cas ; la 23 incluse.
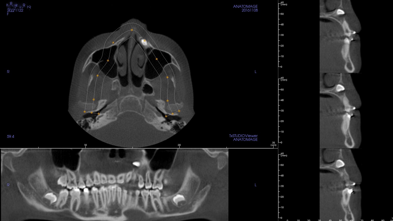
Comme vous le voyez sur les images issues de la 3D, la 23 est très haute et horizontale.
La 63 a été maintenue jusqu'à présent, l'espace entre 22 et 24 est désormais tout à fait correct.
Mon ami ortho semble, je trouve, un peu dubitatif sur la meilleure façon de mettre ( ou tenter de mettre) en place cette canine. Je lui ai dit que j'étais prêt à coller le petit bouton orthodontique qu'il m'a fourni et que si ça ne va pas être très simple, vue la hauteur de la pointe qui est vraiment haute et juste sous le nez, cela va pouvoir se faire tout de même. Le point positif, c'est le fait que la pointe n'est pas loin de la surface sous la muqueuse; c'est déjà ça.
On peut de toute façons à ce stade coller vers la pointe faute de mieux, tracter, et une fois plus basse il sera sans doute toujours temps de recoller différemment dans un second temps de façon à guider la canine avec plus de précisions.
J'ai déjà collé des boutons orthodontiques sur plusieurs canines, jamais aussi hautes cela dit, mais je pense m'en sortir et ce n'est pas ce qui m'inquiète le plus.

L'un des challenges de ce cas est bien sûr la gestion des tissus mous et le fait que l'on voudrait bien avoir de la gencive attachée autour de cette canine par la suite.

Auriez vous des suggestions / partages d'expériences concernant ;
- le tracé d'incision initial
- la façon dont vous aborderiez ce cas d'un point de vue chirurgical
- la technique à utiliser pour obtenir le résultat parodontal le plus favorable
- un éventuel article / livre, avec des explications sur la conduite à tenir pour ce genre de cas
- d'un point de vue orthodontie pure, comment sentez vous ce cas ?

J'en ai bien sûr parlé avec l'ortho, mais j'ai un peu l'impression que parfois il n'est pas tout à fait convaincu de comment il va réussir à la faire descendre, c'est pourquoi je me tourne vers certains d'entre vous pour savoir si vous n'auriez pas quelques suggestions à me faire car je voudrai vraiment traiter ce cas au mieux et pas seulement "coller comme on peut, tirer comme un boeuf, et on verra bien".

Merci des réponses.

K5fa8wrsboq04ptdrc6d - Eugenol
Jgzukejlxscgehr8sytw - Eugenol

doagui

27/04/2017 à 15h06

La traction semble possible oui, mais ça va durer toute une vie... Franchement si on considère un déplacement au rythme moyen de 1mm/mois environ, tu vois le temps que ça va prendre ? Tu as quoi, 2.5 cm à faire parcourir à cette couronne, et une fois là tu auras très probablement encore besoin de nettement modifier le torque ce qui va aussi prendre des mois.

J'espère donc simplement que les parents et le patient ont été bien prévenus de tout ça. Personnellement je ne sais pas si je n'aurais pas plutôt envisagé d'autres options.


1309531 ours brun n5iukf - Eugenol
seespan

27/04/2017 à 15h49

Non la ça devrait étre rapide, c'est une traction simple et l'axe de la racine vas se corriger pendant la descente.

Ce qui prend trois plombe c'est quand tu dois changer l'axe de la dent lors de la traction


--
หมอจัดฟัน


doagui

27/04/2017 à 16h16

Voilà une question intéressante tient, combien du temps tu envisages pour la mise en place de cette canine seespan (alignement inclus) ? C'est quoi pour toi "rapide" ?


1309531 ours brun n5iukf - Eugenol
seespan

27/04/2017 à 16h19

doagui écrivait:
----------------
> Voilà une question intéressante tient, combien du temps tu envisages pour la
> mise en place de cette canine seespan (alignement inclus) ? C'est quoi pour toi
> "rapide" ?

Six mois, un ans grand max et sans canine à torquer à la fin
--
หมอจัดฟัน


1309531 ours brun n5iukf - Eugenol
seespan

27/04/2017 à 16h26

Vue la position de la canine tu peut amener la couronne en place ET corriger l'axe de la racine dans le même temps donc pas très long.

Un cas équivalent. Regarde la position foireuse de la racine.

Juste en realisant une traction j'ai peut tout corriger dans le même temps par tipping ( rétro confirmant l'alignement des racine ).
J'ai pas la derniére pano sur mon portable, mais toute les racines sont parrallée. Et ça c'est fait en quatre mois.


--
หมอจัดฟัน

Pr4 hwqruw - Eugenol
Pr3 myzfxs - Eugenol
Pr2 mwfjll - Eugenol
Pr1 svdjox - Eugenol

doagui

27/04/2017 à 16h43

seespan écrivait:
-----------------

> Six mois, un ans grand max et sans canine à torquer à la fin

Ca me semble très optimiste mais bon, je peux me tromper bien sûr. J'ai tendance à faire les choses nettement plus en douceur pour favoriser un bon parodonte à la fin, mais c'est empirique, peut-être que je prends trop de précautions.

Edit : joli cas que tu montres là, mais si je vois bien tu as aussi bien ingressé ton bloc insicif dans la foulée de quoi, pas loin de 2mm peut-être ? Rien d'insurmontable c'est sûr, mais il est donc encore un peu tôt pour dire que la mise en place est finie.


1309531 ours brun n5iukf - Eugenol
seespan

27/04/2017 à 17h01

Tu disais ?


--
หมอจัดฟัน

Pr5 uvbt3f - Eugenol

doagui

27/04/2017 à 17h16

Si tu me caches des infos aussi ^^.


1309531 ours brun n5iukf - Eugenol
seespan

27/04/2017 à 17h18

La dent à était tracté sans réelle intrusion du bloc incisif. Par contre du à l'axe un peut " particulier " ça à entrainer un proclincation des autres incisives ( les espace que tu vois ).

Un simple chainette elastomérique à suffit à tout remettre dans l'ordre.


--
หมอจัดฟัน


ken

27/04/2017 à 18h57

Bonjour selo notre ami Dancha pour mettre en bouche une dent incluse

18 mois : 1 an pour voir apparaître le bouton, 6 mois pour le reste.

voci un cas qui m'a pris 1 an

https://www.dropbox.com/sh/d60skvq4uh8fh17/AABQ3_rY2t2a93am-z1h--wea?dl=0

Bravo seespan


Sierra Tango

01/05/2017 à 12h33

Je reviens sur ce sujet.
J'ai pris ce soir quelques photos de la patiente en question pour mieux illustrer. Voici donc où elle en est aujourd'hui.
Ce qui me chagrine, c'est la technique à employer pour aller chercher cette canine.
J'ai déjà collé pas mal de brackets sur plusieurs cas de canines incluses mais jamais aussi hautes et il est bien sûr impensable ici de faire un lambeau replacé apicalement.
Là, à la palpation, je sens vaguement la pointe et elle est vraiment sous la fosse nasale. La 3D montre qu'elle est même en gros 1,5mm au dessus de l'apex de la canine lactéale.

Après avoir tourné ceci dans ma tête plusieurs fois et passé pas mal de temps à chercher de la documentation, je suis arrivé à la conclusion suivante ;
- je pense élever un lambeau relativement étroit, mais haut comme sur mon dessin
- faire un léger dégagement osseux sous la canine, en direction de la future traction
- coller le boitier, sur la pointe (je rappelle que ça va être hyper haut, et je ne sais pas si je vais pouvoir finasser…), ou alors si c'est techniquement accessible, légèrement en palatin.
- replacer mon lambeau tel qu'il était, la chainette en vestibulaire de l'os mais sous le lambeau.

Questions ;
- la canine lactéale ; l'ortho m'a dit de la laisser pour débuter, de voir si après avoir commencé à tracter la 23 elle bouge un peu auquel cas on pourra ensuite extraire très rapidement la 63 qui du coup va gêner. L'intérêt pouvant aussi être que l'alvéole déshabitée puisse offrir une précieuse zone de moindre résistance. Je me voyais bien pourtant l'extraire dans la même séance et pourquoi pas, si techniquement faisable, utiliser son alvéole pour y glisser la chaînette, fraiser apicalement au besoin pour accéder à la 23. L'ortho me dit que l'alvéole risque de se refermer sur la chainette. J'ai quand même du mal à croire que celle ci va s'osteointégrer ?!
Donc cette 63, vous l'extrairiez à quel moment ? Quid de cette idée de passer la chainette de traction dans son alvéole ?
Sinon, je laisse tout simplement la chainette en vestibulaire de l'os et sous le lambeau ?

- le lambeau. Des suggestions sur son dessin ou ce que je propose semble correct.

- un intérêt à au contraire, faire simplement une petite incision haute dans le vestibule, dans la gencive libre, juste coller un boitier sur la pointe, la chainette en vestibulaire de la muqueuse, tracter et faire commencer la descente ainsi. Mais comment par la suite obtenir un contexte parodontal favorable avec une belle gencive attachée autour de cette 23 ? J'imagine qu'une 2e intervention deviendrait alors nécessaire pour faire un LPA, mais bon, est ce mieux que la technique ci dessous.
Merci des réponses, conseils ou suggestions.

Fullsizerender 5 jkljuy - Eugenol
Img 0986 usctp8 - Eugenol
Img 0982 kaxkyf - Eugenol
Img 0990 he4dnb - Eugenol

Images mg2jvu - Eugenol
zorg

01/05/2017 à 20h05

Voici le résumé d'un cas un peu semblable que j'avais collé pour un de mes correspondants ortho en 2012. Il n'y a même pas eu besoin d'une retouche gingivale.


Sierra Tango

01/05/2017 à 23h22

D'après ta vue en 3D c'est presque identique à mon cas !
Très beau résultat, bravo.
Je n'arrive pas à comprendre comment tu obtiens un beau bandeau de gencive attachée juste après avoir tracté ainsi. Ce que tu as fait semble être la technique simple que je décris en deuxième partie de mon précédent message et je suis vraiment étonné de voir la belle tournure que cela prend à la fin.
Du coup, je ne sais plus comment faire ? ;-)


Images mg2jvu - Eugenol
zorg

02/05/2017 à 00h15

Sierra Tango écrivait:
----------------------

> Je n'arrive pas à comprendre comment tu obtiens un beau bandeau de gencive
> attachée juste après avoir tracté ainsi.

Moi non plus, lol. Je m'attendais vraiment à devoir réintervenir. Mais bon on va pas se plaindre.
En collant en face vestibulaire d'une manière ou d'une autre la traction se fait partiellement en direction vestibulaire et donc une partie de la couronne va pointer son nez avant d'arriver en gencive attachée. Peut être peux tu arriver à l'éviter en collant en face linguale et si tu arrives à faire passer le fils dans l'alvéole de la lactéale, mais çà risque d'être très très compliqué...et inutile si la traction se fait sur l'arc... vestibulaire...


Dancha2

05/05/2017 à 18h06

Désolé de me manifester si tardivement, mais je n'arrivais plus à me connecter. J'ai dû changer de mail et modifier mon pseudo en rajoutant un "2".

C'est un cas classique et beaucoup plus simple qu'il n'y paraît où il est intéressant d'utiliser l'alvéole déshabitée de la canine temporaire pour faire passer la ligature de traction.
Dès lors, le problème gingival ne se pose plus car la canine suit son chemin normal.
Tu colles en palatin, tout simplement.
Le système idéal de traction est le CT8.

Voici, en pièce jointe, une planche photo réalisée par l'équipe de Rennes (Dr Brézulier) pour un article de la Revue d'ODF (je ne sais plus quel numéro, c'est en tous cas l'année dernière). Le texte a peut-être été modifié légèrement dans l'édition finale.

Et voici un lien Dropbox pour un article sur l'utilisation du CT8, paru en 2009 dans la même revue.
https://www.dropbox.com/s/rh5hjg6sorro6lb/Chill%C3%A8s%20R_ODF%202009_CT8-1%20canines%20incluses.pdf?dl=0

N'hésite pas si tu as des questions, des problèmes ou un manque de compréhension.

Daniel


Generique fraisage r2rxmm - Eugenol
lardonbis

05/05/2017 à 18h20

le retour de la canne à pêche démoniaque :)


Sierra Tango

07/05/2017 à 01h07

Ahhh ! Voilà, c'est exactement mon cas ! Merci pour ton aide.

Donc, toi tu me confirmes que l'on peut tout à fait tirer profit de l'alvéole déshabitée et passer la ligature au travers celle-ci comme tu l'as fait sur les photos jointes. C'était l'idée qui m'était naturellement venue mais l'orthodontiste n'avait pas eu l'air emballé (mais sans me dire non plus comment il voulait voir le bracket collé...)

Quelques questions si tu le veux bien ;
- quel type de ligature utilises tu ? Mon ortho préconise une "gold chain" mais je n'en ai pas. Je veux bien en commander mais si tu me dis qu'une ligature toute simple fait l'affaire... Pas de chainette élastique ici ? (risque qu'elle sorte de son bouton lors de la traction et qu'aller la replacer ne soit pas un vrai bonheur ?)
- quel a été le laps de temps entre la chirurgie et l'apparition de la pointe canine à travers la muqueuse dans le cas que tu présentes ?


Darmon - Eugenol
latin

07/05/2017 à 09h06

Pour une canine haute elle est plutôt bien placée dans la mesure où elle est parallèle au plan sagittal médian => les racines des dents adjacentes ne feront pas trop obstacle au trajet de la traction.

Jamais de chaînette élastomérique car c'est un horrible support à biofilm!!!
Sois tu prends une chaînette plaquée or du commerce (avantage tu peux compter les maillons!) soit tu passes une bête ligature métal dans un œillet puis tu fabriques un toron.

Collage près de la pointe, là où c'est accessible, ce qui compte c'est que ça tienne. Pas avec un bracket, mais avec un œillet, de toute façon il faudra recoller une fois la dent sortie.

Je suis d'accord avec ce qui a été dit plus haut : passer le dispositif de traction par l'alveole de 63 c'est l'idéal.

Dans tous les cas le trajet de la traction va être sympa!


Dancha2

08/05/2017 à 15h14


lardonbis écrivait:
-------------------
> le retour de la canne à pêche démoniaque :)

Non, ni démoniaque ni magique, divine tout simplement !

Sierra Tango écrivait:
----------------------
> Ahhh ! Voilà, c'est exactement mon cas ! Merci pour ton aide.
> ...
> Quelques questions si tu le veux bien ;
> - quel type de ligature utilises tu ? Mon ortho préconise une "gold chain" mais
> je n'en ai pas. Je veux bien en commander mais si tu me dis qu'une ligature
> toute simple fait l'affaire... Pas de chainette élastique ici ? (risque qu'elle
> sorte de son bouton lors de la traction et qu'aller la replacer ne soit pas un
> vrai bonheur ?)

Une simple ligature métallique torsadée, repliée à l'émergence de la gencive ce qui est beaucoup plus facile à accrocher qu'un maillon de chaînette qui est souvent soit pas assez soit trop sorti de la muqueuse. L'activation se fait en la repliant plus court au fur et à mesure de l'évolution de la dent incluse. Voir les photos de la planche ci-jointe.

> - quel a été le laps de temps entre la chirurgie et l'apparition de la pointe
> canine à travers la muqueuse dans le cas que tu présentes ?

Voir les photos de la planche ci-jointe (bis).

Le système CT8 est vraiment le système de choix pour les cas comme ça : force légère, grand amplitude de mouvements, pas de risque de déplacements des autres dents, confort du dispositif etc..
Je ne peux que t'encourager vivement à l'utiliser. Que du bonheur !
Tu pourrais même démonter le reste de l'appareil le temps de la traction.

Pour la phase chirurgicale de mise en place des micro-vis, simplifiée au maximum et à la portée de tout orthodontiste, voici un lien DropBox pour voir le dernier article que nous avons écrit sur le sujet. C'était dans "l'Orthodontie Française" de décembre dernier :
https://www.dropbox.com/s/dg81bqsl23b414p/160039-chilles-print.pdf?dl=0

Daniel

08 05 2017 09 34 40 rfgckx - Eugenol