Cookie Consent byPrivacyPolicies.comau pro de l'imagerie : Loge submandibulaire ou autres ? - Eugenol

au pro de l'imagerie : Loge submandibulaire ou autres ?

hua

02/05/2017 à 14h45

Bonjour,
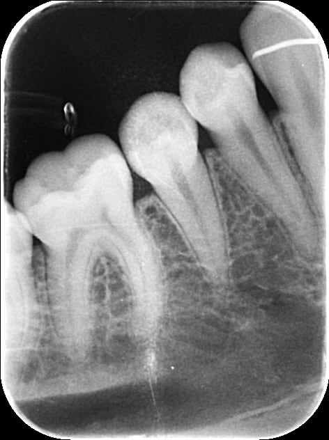
Un patient, jeune 20ans, qui vient en contrôle, 1ére fois, me dit qu'il a un kyste niveau 45/46, à surveiller, sans plus.

Je fais une pano et une rétro.
Est-ce la loge submandibulaire , j'ai un doute...l'image est bizarre. Quand pensez vous ?

Bwjx6iwybnj7iyoqvhfc - Eugenol
Zlne2xpzkxpuf3hiiecb - Eugenol

Capture d  cran 2015 05 13   10.37 - Eugenol
BA

03/05/2017 à 10h11

Cone Beam....