Cookie Consent byPrivacyPolicies.comChirurgien-dentiste conseil - profil - Eugenol

Chirurgien-dentiste conseil - profil

Hok 1b hgd3rj - Eugenol
Hokusai

06/05/2017 à 19h58

CRAIG écrivait:
---------------
> Hokusai écrivait:
> -----------------
>
> > Mais ne t inquites pas tu vas bientot pouvoir te faire soigner par un gentil
> > dentiste roumain ethique et tu en auras pour ton argent !!
>
> Les dentistes mosellans, j'ai lu sur internet que c'était des grosses breles
> parce qu'ils étaient même pas français entre 1870 et 1918 : j'ai bon là?

Oui tu as raison, ce sont de très bons médecins...
Je suis un gros raciste.
Assurés français, futurs patients des hôpitaux publiques, dormez tranquillement, tout va bien.

http://www.europe1.fr/societe/des-internes-formes-a-letranger-exclus-pour-incompetence-2666011

A tient !! non en fait, Craig tu dis encore des conneries.
Les roumains ne peuvent plus se soigner ?? On s'en branle !!
Tu fais jouer ton droit de consommer ? Apres moi le déluge Craig ?

https://www.rtbf.be/info/article/detail_hemorragie-de-medecins-en-roumanie?id=8050970

Et tu vas voter ??


Dolan donald duck weird wqjham bw43ju - Eugenol
GéPé

06/05/2017 à 21h31

Mdr Craig


vintagescope

07/05/2017 à 18h59

Il y a même des Chir Dent Français qui sont obligés de partir à l'étranger pour se faire bien soigner ...


" Oh là là mon pote , je l'ai plus dans mon cabinet le matos que tu veux que j'utilise , et puis ça fait tellement longtemps que j'en ai plus fait des trucs comme tu veux …"
`
Le mec était un cador avant ...

"Viens quand même manger à la maison …"

Heureusement , on croise notre CDC à la piscine ...

Dis moi Carole , il y a un mec dans le coin , un confrère qui fais ça ? Toi , tu les connais tous …


Ah bon ???

Et toi ? Comme Michel ? Ou ? Il consulte le Samedi matin ?

J'en profiterai pour faire le plein de la voiture ….


South park   craig te7bfk - Eugenol
CRAIG

07/05/2017 à 19h18

Moi j'ai réussi à me faire soigner pour un compo OM en Suisse pour 100 euros avec une réduction confraternelle de près de 70%...

En France les confrères que j'ai eu soignés c'était gratos pour les soins et le montant remboursé pour la prothèse.

Mais c'était en France....


Capture d  cran 2015 03 12 12.28 - Eugenol
chicot29

08/05/2017 à 08h44

CRAIG écrivait:
---------------
> Moi j'ai réussi à me faire soigner pour un compo OM en Suisse pour 100 euros
> avec une réduction confraternelle de près de 70%...
>
> En France les confrères que j'ai eu soignés c'était gratos pour les soins et le
> montant remboursé pour la prothèse.
>
> Mais c'était en France....

Comment ca gratos pour les soins ? Tu fais des dépassements sur les soins opposables habituellement ? -)

Tu es gaulé Craig. -)

--
En cas d'échec des négociations conventionnelles, seriez-vous prêt à suivre la promotion d'un déconventionnement massif de la profession par les syndicats représentatifs ? OUI - NON
Participez, anonymement, sur https://goo.gl/forms/nAO0htnsVmxotjYm1


Capture d  cran 2015 03 12 12.28 - Eugenol
chicot29

08/05/2017 à 09h02

vintagescope écrivait:
----------------------

>
> Heureusement , on croise notre CDC à la piscine ...
>
> Dis moi Carole , il y a un mec dans le coin , un confrère qui fais ça ? Toi , tu
> les connais tous …

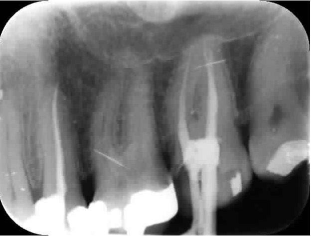
Question à mon correspondant en implanto :

"Tu ne sais pas qui pourrait me faire un RTE correctement ? J'ai comme une pèche sous une couronne."

"Ben figures toi j'en sais rien"

"Ah merde."

"Attends un peu. J'en connais un qui vient d'acheter un microscope....... "

Je n'ai effectivement pas été déçu du résultat.-)

Pèche canal palatin 27. Tant qu'à bien refaire il m'a aussi traité le MV2 qui heureusement pour moi était en Y avec le MV1. -)

Merci David tu relèves le niveau. Au fait tes collègues de promo t'envoient toujours des patients pour faire des RTE et virer les instruments fracturés ? -)

Un truc que je pige pas : la radio de fin de tt endo montrait un canal palatin traité. Comment ne peut on pas s'apercevoir qu'on vire le cone de gutta lors de la réalisation du tenon ? Et pourquoi ce cone s'est barré alors que le tenon n'a pas été réalisé dans la meme séance que l'endo ? Hein ? On a oublié de mettre du ciment de scellement ou celui ci n'a pas pris ?

Pas si pourrie que ca l'endo pourtant au départ à part MV2 non traité. -)

--
En cas d'échec des négociations conventionnelles, seriez-vous prêt à suivre la promotion d'un déconventionnement massif de la profession par les syndicats représentatifs ? OUI - NON
Participez, anonymement, sur https://goo.gl/forms/nAO0htnsVmxotjYm1

Capture d écran 2017 05 08 08.57 - Eugenol
Capture d écran 2017 05 08 09.09 - Eugenol

South park   craig te7bfk - Eugenol
CRAIG

08/05/2017 à 11h07

chicot29 écrivait:
------------------
> CRAIG écrivait:
> ---------------
> > Moi j'ai réussi à me faire soigner pour un compo OM en Suisse pour 100 euros
> > avec une réduction confraternelle de près de 70%...
> >
> > En France les confrères que j'ai eu soignés c'était gratos pour les soins et
> le
> > montant remboursé pour la prothèse.
> >
> > Mais c'était en France....
>
> Comment ca gratos pour les soins ? Tu fais des dépassements sur les soins
> opposables habituellement ? -)
>
> Tu es gaulé Craig. -)


Wouai je sais....Trop bon trop con.... 😉