Cookie Consent byPrivacyPolicies.comAu secours! - Eugenol

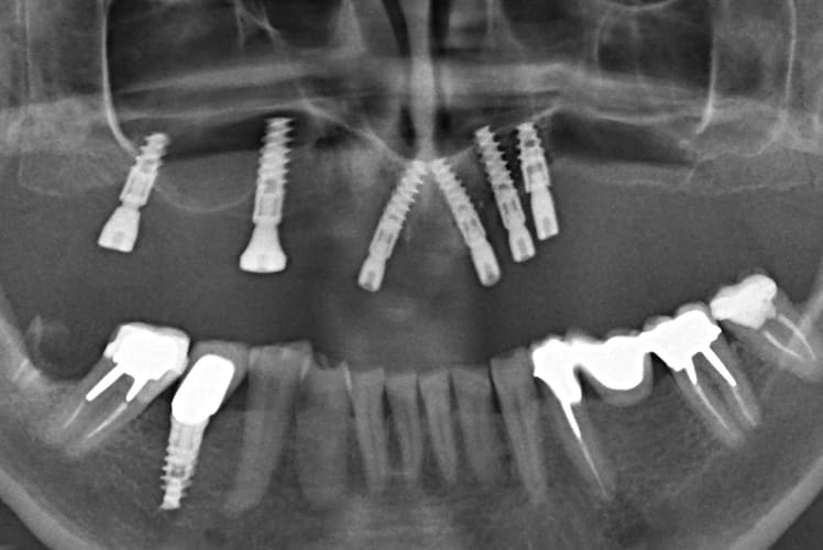
Au secours!

benswich

09/05/2017 à 10h15

Vos suggestios seront les bienvenues.

Oyjmcyeflhbpjtipz005 - Eugenol

Capture d  cran 2015 05 13   10.37 - Eugenol
BA

09/05/2017 à 10h35

Au secours , c' est un peu court .....
ton diagnostic ?, La demande du patient ?
Tu connais l' implanto qui te l' envoies?


Generique fraisage r2rxmm - Eugenol
lardonbis

09/05/2017 à 10h48

posit version pré-alpha ?
robodent student édition ?

Je déconne.
Pareil, il viens pour quoi le patient ?


benswich

09/05/2017 à 10h54

Ce n'est pas un implanto qui me l'envoie, mais un correspondant ( je suis implanto non exclusif).
On peut légitimement envisager une dépose de l'ensemble, des greffes puis un autre plan de traitement sérieux. J'essaie dans la mesure du possible de faire avec ce qu'il y a.
Il lui a été proposé une prothèse conjointe qui me paraît infaisable.
Une prothèse type " sur pilotis" idem à cause du type d'implant qui ne permet pas cela et de l'absence totale de parallélisme.
J'étudie une possibilité de prothèse adjointe sur barre.


Generique fraisage r2rxmm - Eugenol
lardonbis

09/05/2017 à 10h57

c'est quoi les implants ? posé il y a longtemps ?

sinon les barres que je vois passer sont toujours parfaitement enduites de plaques... beurk


benswich

09/05/2017 à 10h57

La patiente a fait le tour et me consulte sur recommandation.


benswich

09/05/2017 à 10h59

lardonbis écrivait:
-------------------
> c'est quoi les implants ? posé il y a longtemps ?
>
> sinon les barres que je vois passer sont toujours parfaitement enduites de
> plaques... beurk

Implants posés début de l'été dernier.
Je suis assez d'accord sur la difficulté de maintenance pour les barres. Mais..que faire d'autre?


Generique fraisage r2rxmm - Eugenol
lardonbis

09/05/2017 à 11h48

Si t'es à deux ans de la retraite et que tu compte la passer dans un pays qui n'extrade pas vers la France tu peux tenter de dépanner la patiente.
Sinon tu seras en première ligne quand ça foirera.
Si c'est pas ta mère tu bottes en touche.

Ce sont des conseils que je n'applique pas mais j’espère que tu n'es pas aussi con que moi :)


lachmar

09/05/2017 à 11h52



tout a fait d'accord avec lardon

on ne touche pas


benswich

09/05/2017 à 11h53

Si t'es à deux ans de la retraite et que tu compte la passer dans un pays qui n'extrade pas vers la France tu peux tenter de dépanner la patiente.
M..e, je suis déjà repéré!!!Pourtant on m'avait dit que les RG n'existaient plus! Les politiques auraient ils menti? Pas possible. On le voit tous les jours.
Plus sérieusement, je ne suis effectivement pas très loin de la retraite. Mais ça ne rentre pas en ligne de compte.


azerty

09/05/2017 à 12h47

c'est dtx qui a posé letruc?


Photo pluton1b h9n4ea - Eugenol
pluton

09/05/2017 à 13h04

si çà peut aider, les implants sont des Naturactis ETK....


Images 1 qtgoxf - Eugenol
ciwil

09/05/2017 à 14h00

attends quelques mois, Invisalign va sûrement sortir un concept de gouttières pour redresser les axes implantaires ;)


Ylfwcw979cz1jnx9gfqeaxndiuzk - Eugenol
Algi

09/05/2017 à 14h25


Pas compétent pour les conseils de rattrapage...

Par contre assez compétent pour applaudir des deux mains le bras cassé qui a posé ces merveilles!

Quand je dis que certains "confrères" font en sorte qu'on mérite la réputation qui nous est faite et l'arbitrage on me traite d'anticonfraternel alors je dirai rien ce coup ci.

--
L’extrémisme est le culte sans la culture ;
le fondamentalisme est la croyance sans la connaissance ;
l’intégrisme est la religiosité sans la spiritualité.

On a toujours le choix mais entre quoi et quoi?
Vas-y boulégue et l'avenir te le dira!


benswich

09/05/2017 à 15h20

pluton écrivait:
----------------
> si çà peut aider, les implants sont des Naturactis ETK....

Merci. J'avais déjà l'info.


benswich

09/05/2017 à 15h22

azerty écrivait:
----------------
> c'est dtx qui a posé letruc?
Pas loin d'être ça. Le cd traitant aurait fait venit un "spécialiste" dans son cabinet pour commetre ça.


Generique fraisage r2rxmm - Eugenol
lardonbis

09/05/2017 à 15h27

haaa.... les bon vieux itinérants/cash-back-machine.

Y a vais pas des anesthésistes qui faisaient ça à une époque ( ou je trompe de pays ...)
A deux départements de chez moi il y en avait un qui se tapais toute l'implanto d'un centre mut qui ne pratiquais pas. Il y avait bien-sur un petit bifton de remerciement pour chaque vis posée ...
Vomissez bien, ça c'est gratos :D


lachmar

09/05/2017 à 15h34

lardonbis écrivait:
-------------------
> haaa.... les bon vieux itinérants/cash-back-machine.
>
> Y a vais pas des anesthésistes qui faisaient ça à une époque ( ou je trompe de
> pays ...)
> A deux départements de chez moi il y en avait un qui se tapais toute l'implanto
> d'un centre mut qui ne pratiquais pas. Il y avait bien-sur un petit bifton de
> remerciement pour chaque vis posée ...
> Vomissez bien, ça c'est gratos :D


les implants autorises aux omni dans leur cab c'est la mort annoncée des RCP d'ici quelques années


South park   craig te7bfk - Eugenol
CRAIG

09/05/2017 à 15h40

ciwil écrivait:
---------------
> attends quelques mois, Invisalign va sûrement sortir un concept de gouttières
> pour redresser les axes implantaires ;)

🤣🤣🤣


mr smith

09/05/2017 à 16h39



Pour moi le pépiniériste est ORL ;0)
-------

Dans ton cas pourquoi pas une Ackermann pour sauver les meubles ?
--
De l'influence de Marizol sur mon comportement .

Img 1211 nwxmtq - Eugenol

dcs

09/05/2017 à 16h52

benswich écrivait:
------------------
> Vos suggestios seront les bienvenues.

vus êtes tous nuls !!!!
C est un nouveau concept : le clavetage !!!!!


Photo pluton1b h9n4ea - Eugenol
pluton

09/05/2017 à 17h14

si çà avait été des disk j'aurais dit une intervention à la "pépélaratiche"...sauf que lui faisait les prothèses et qu'il n'était pas mauvais le bougre...


Generique fraisage r2rxmm - Eugenol
lardonbis

09/05/2017 à 17h45

mr smith écrivait:
------------------
>
>
> Pour moi le pépiniériste est ORL ;0)


depuis que j'ai collé une 24 contre la racine d'une 23 je la ferme niveau axe :)


benswich

09/05/2017 à 18h14

dcs écrivait:
-------------
> benswich écrivait:
> ------------------
> > Vos suggestios seront les bienvenues.
>
> vus êtes tous nuls !!!!
> C est un nouveau concept : le clavetage !!!!!
>

C'est pas joli de se moquer Dr D


mr smith

09/05/2017 à 18h51

lardonbis écrivait:
-------------------
> mr smith écrivait:
> ------------------
> >
> >
> > Pour moi le pépiniériste est ORL ;0)
>
>
> depuis que j'ai collé une 24 contre la racine d'une 23 je la ferme niveau axe :)
>

Faut pas chercher bien loin , c'est la canine qui était dans un mauvais axe ;)
--
De l'influence de Marizol sur mon comportement .


12