Cookie Consent byPrivacyPolicies.com[Identification Implant] - Eugenol

[Identification Implant]

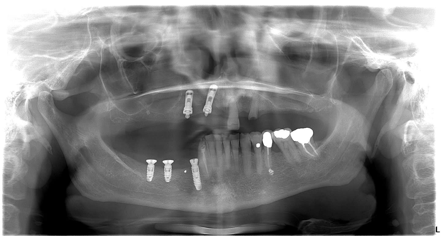
Decapfour

09/05/2017 à 18h33

Bonjour,
Un petit peu d'aide ne serait pas de refus.
Pouvez vous me donner votre avis sur ces deux implants?
J'étais parti sur de L'imz mais le commercial me dit que non. Pensez vous que ca pourrait etre du calcitec distribué par Zimmer?
Merci a vous,

Bonne soirée

PS: radio prise avec angulateur

Okw3xdzvfc1gqh89jvuf - Eugenol
Utgnslywhl5kcxsrixxk - Eugenol

Photo pluton1b h9n4ea - Eugenol
pluton

09/05/2017 à 20h58

un calcitec c'est fort probable...ou alors un spline reliance là aussi de chez zimmer


Decapfour

10/05/2017 à 12h52

Merci beaucoup!