Cookie Consent byPrivacyPolicies.comnobel replace snappy - Eugenol
Cmu2lux qdcbcg - Eugenol
damon huck

16/05/2017 à 14h08

Bonjour,

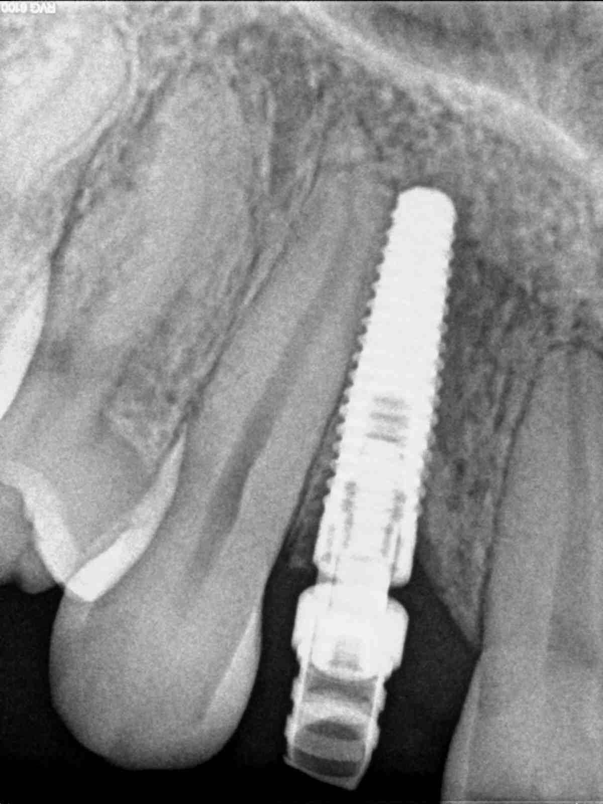
J'ai récuperer ce patient avec un implant que je pense être un NobelReplace Tapered Groovy NP 3.5 x 13mm à confirmer: il est posé plus ou moins l'emergence est correcte donc
je voudrais faire une ccm scellee
est ce que le pillier snappy 5mm peut etre retouché en longueur, ou je prends plus court si j'ai un doute

https://store.nobelbiocare.com/fr/fr/pilier/pilier-definitif/pilier-snappy/snappy-abutment-4-0-nblrpl-np-1-5mm

concernant la visseie, un tournevis hex type zimmer suffit-il?

merci

Uv1asoci9ufiwqyimsze - Eugenol

Photo pluton1b h9n4ea - Eugenol
pluton

16/05/2017 à 14h19

çà semble être bien un Nobel...

heu...de mémoire les tournevis Nobel sont plutôt de type "torx" (en étoile donc) donc un tournevis zimmer hexagonal...çà va pas le faire...

P.S: c'est une provisoire sur l'implant?...il y a comme un problème de mise en place du pilier...c'est pas à fond...


6szjws718sv1jksw54v4mpj3a6cu - Eugenol
vulpi

16/05/2017 à 14h23

pluton écrivait:
----------------
> çà semble être bien un Nobel...
>
> heu...de mémoire les tournevis Nobel sont plutôt de type "torx" (en étoile donc)

Tu as une bonne mémoire Pluton, en étoile.


Bubo bubo portrait xqn39s - Eugenol
oiseaudenuit

16/05/2017 à 18h57


> P.S: c'est une provisoire sur l'implant?...il y a comme un problème de mise en
> place du pilier...c'est pas à fond...

Je (re)confirme, tournevis en étoile
et oui pilier pas à fond. Perso je l'aime pas trop cette connectique.