Cookie Consent byPrivacyPolicies.comrécupération de 25 et expansion 23/24 - Eugenol
S2y2o1v7q53ws4r5wy6ou8czrpom - Eugenol
pxav

17/05/2017 à 19h13

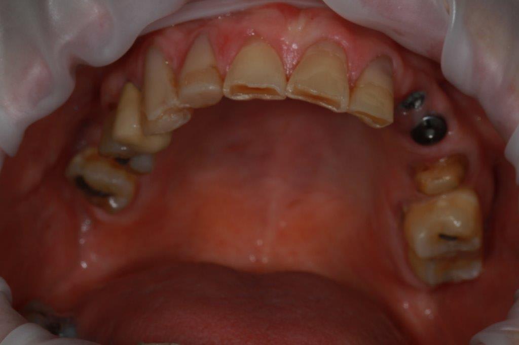
petit cas sympa ancien bridge très mobile....plutôt que d'extraire 25, j'ai déposé la couronne, retraité la dent stabilisation pendant deux mois puis séance d'ostéotension et ce jour pose de deux axioms PX 34120 après expansion...


--
xbk
"Si tous ceux qui croient avoir raison n'avaient pas tort, la vérité ne serait pas loin" Dac Pierre

Tiufoea2qqsbntimvpse - Eugenol
X3rdbruxznlq0o9bbsr2 - Eugenol
Okqcoetu5iwn1eytdmu2 - Eugenol
Yysxe9vbwa6fa6fnujbj - Eugenol
Hszyuwljpyp6hsclon6d - Eugenol
Xi5nscxqwhohsbkts1az - Eugenol
Fqk0mg9xrnriztvsuc05 - Eugenol
Dgbk3wtohp0byieaepeu - Eugenol
L6gkaelqeaz87gmchsu7 - Eugenol
Ex7m8lcmwoppfju24aos - Eugenol

Generique fraisage r2rxmm - Eugenol
lardonbis

17/05/2017 à 19h17

pourquoi ce profil de spires sur les simili-implant ?
sinon à la fin t'as combien d'os en vestibulaire et palatin ?

Super boulot sinon. Un jour.... non je vais tout péter :)


S2y2o1v7q53ws4r5wy6ou8czrpom - Eugenol
pxav

17/05/2017 à 19h33

qu'est ce que tu appelle simili implants?


--
xbk
"Si tous ceux qui croient avoir raison n'avaient pas tort, la vérité ne serait pas loin" Dac Pierre

Img 4527 z1ujha - Eugenol
Img 4528 sk3gjz - Eugenol
Img 4532 dbn5gp - Eugenol
Img 4534 f5oxh1 - Eugenol
Img 4536 c9yssa - Eugenol
Img 4539 ysvwsm - Eugenol
Img 4543 czytud - Eugenol
Img 4545 1 pyfavb - Eugenol

4a338550 6a5b 47ea b2a7 d3cb675c5076 oni5gh - Eugenol
fistule 69

17/05/2017 à 21h35

Je pense que tu parles des expanseurs ...
😷🤔

Img 0229 kjo14h - Eugenol

Photo pluton1b h9n4ea - Eugenol
pluton

17/05/2017 à 21h43

sauf que ceux qu'il utilise sont les Meisinger

http://www.meisinger.de/files/downloads/produkte/BM/Bone_Spreading.pdf


4a338550 6a5b 47ea b2a7 d3cb675c5076 oni5gh - Eugenol
fistule 69

17/05/2017 à 21h47

Très jolie Pxav, comme d'habitude.
Propre, simple, net ....c'est fou comme cela semble facile de voir faire les autres !
Dis-moi, tu fais un préforage ou tu utilises directement les expanseurs ?
Merci.
😷🤗


4a338550 6a5b 47ea b2a7 d3cb675c5076 oni5gh - Eugenol
fistule 69

17/05/2017 à 21h50

Pluton, je suis pas un pro du pas de vis comme toi !
😷😜


S2y2o1v7q53ws4r5wy6ou8czrpom - Eugenol
pxav

17/05/2017 à 22h03


Pas de preforage dans ce cas là, directement à l'osteotome demi lune

--
xbk
"Si tous ceux qui croient avoir raison n'avaient pas tort, la vérité ne serait pas loin" Dac Pierre


Photo pluton1b h9n4ea - Eugenol
pluton

17/05/2017 à 22h29

fistule 69 écrivait:
--------------------
> Pluton, je suis pas un pro du pas de vis comme toi !
> 😷😜

je le sais car je suis venu le voir chez lui, il y a maintenant de çà quelques années...;-)
perso j'ai aussi un kit MIS mais que j'ai complété petit à petit avec d'autres car pas assez complet contrairement au Meisinger...
Maintenant j'ai aussi ceux de chez Megagen tout aussi complets que ceux de Meisinger avec l'avantage d'avoir le même pas de vis que les implants et donc permettent de travailler comme les implants lisses qu'a eu pxav avec Anthogyr mais avec une forme un peu plus appropriée (un peu en ballon de rugby ) pour l'expansion et des repères de profondeur bien pratiques en cours d'intervention...


Paul Pitt

18/05/2017 à 08h58

As tu fait une decharge osseuse verticale ?


4a338550 6a5b 47ea b2a7 d3cb675c5076 oni5gh - Eugenol
fistule 69

18/05/2017 à 09h13

Pxav, je vois des zones concaves entre les implants et en mesiale, tu laisses les expanseurs pour visser les implants, tu réalises 4 points d'impacte avec les demi-lunes ?
😷🤗


S2y2o1v7q53ws4r5wy6ou8czrpom - Eugenol
pxav

18/05/2017 à 09h32

Paul Pitt écrivait:
-------------------
> As tu fait une decharge osseuse verticale ?

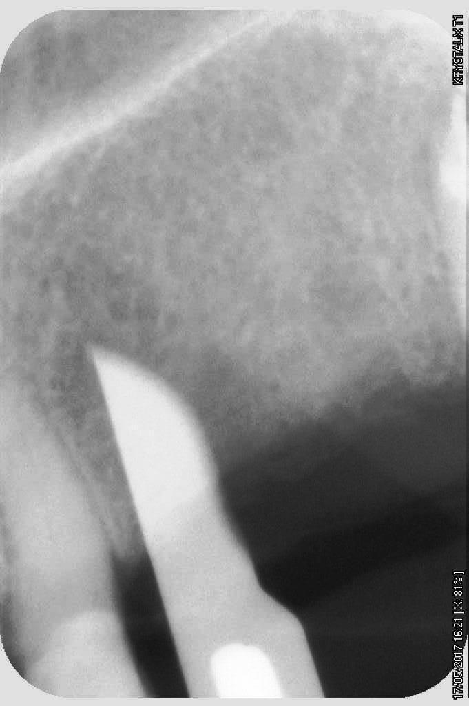
non, uniquement travail par voie crestale, très légère fêlure niveau 23, mais sans conséquence
--
xbk
"Si tous ceux qui croient avoir raison n'avaient pas tort, la vérité ne serait pas loin" Dac Pierre


Android jyzura - Eugenol
Tavéca

18/05/2017 à 09h42

Chirurgie très élégante.
Compenses-tu une lyse crestale probable par un sur-enfouissement?


S2y2o1v7q53ws4r5wy6ou8czrpom - Eugenol
pxav

18/05/2017 à 09h55

fistule 69 écrivait:
--------------------
> Pxav, je vois des zones concaves entre les implants et en mesiale, tu laisses les expanseurs pour visser les implants, tu réalises 4 points d'impacte avec les
> demi-lunes ?
> 😷🤗

comme je n'ai pas fait de décharges osseuse en vestibulaire, j'ai effectivement travaillé toute la longueur de la crête, mais, là j'ai ôtè les expanseurs avant de visser les implants car ce sont des PX qui ont un apex assez fin, pour des regular j'aurais pratiqué différemment.
par contre je suis passé par le stade implants lisse (34100 et 34120)
--
xbk
"Si tous ceux qui croient avoir raison n'avaient pas tort, la vérité ne serait pas loin" Dac Pierre

035 zcpvi1 - Eugenol

S2y2o1v7q53ws4r5wy6ou8czrpom - Eugenol
pxav

18/05/2017 à 10h03

Tavéca écrivait:
----------------
> Chirurgie très élégante.
> Compenses-tu une lyse crestale probable par un sur-enfouissement?

en général (99,9% des cas) je ne constate aucune lyse osseusecrestale, ce type de chir. est très douce pour l'os, lame 15, et ostéotomes, pas de forage, pas de consommation d'os, pas d'agression ni de lavage (piezzo), et je fais toujours attention à laisser du sang (sauf pour les photos) ce qui est le meilleur pansement pour l'os.
par contre les axioms doivent être posé en sous crestal, ce qui est fait ici, avec sans doute comme souvent une nécessitè d’ostéotomie, lors de la mise en charge, car il est fréquent que le col implantaire soit recouvert.
--
xbk
"Si tous ceux qui croient avoir raison n'avaient pas tort, la vérité ne serait pas loin" Dac Pierre


Photo thumb 45 lnhuvp - Eugenol
wakrap

20/05/2017 à 06h28

Petite info pratique. Mesinger est à très bon prix en Espagne ici: sanhigia.com.


S2y2o1v7q53ws4r5wy6ou8czrpom - Eugenol
pxav

24/11/2017 à 09h49


des nouvelles de ce cas... mise en charge des implants et attelle incisive mandibulaires avec suppression du diastème

--
xbk
La connaissance s'acquiert par l'expérience, tout le reste n'est que de l'information." ALBERT EINSTEIN

Img 5861 pk4tbz - Eugenol
Img 5863 2 o1vwde - Eugenol

S2y2o1v7q53ws4r5wy6ou8czrpom - Eugenol
pxav

05/12/2017 à 11h13

expansion qui donne un résultat correcte je crois


--
xbk
La connaissance s'acquiert par l'expérience, tout le reste n'est que de l'information." ALBERT EINSTEIN

Img 5928 r5mn6n - Eugenol
Img 5927 akxsnv - Eugenol
Img 5926 htcic7 - Eugenol

Aiguille cyboyt - Eugenol
fatboy

05/12/2017 à 11h22

Beau boulot.
Comment as-tu temporisé?


Paul Pitt

05/12/2017 à 12h21

Bah dis donc tu en as abattu du boulot entre le 24/11 et le 5/12 !! beau travail ! si tu en as beaucoup des patients comme ca qui font tout refaire je suis preneur ! ;-))


S2y2o1v7q53ws4r5wy6ou8czrpom - Eugenol
pxav

05/12/2017 à 12h43


la temporisation ce fut avec sont stellitte (retouché) puis des provisoires résine, je n'ai pas voulu faire l'empreint des ceram du haut en même temps que les implants.
--
xbk
La connaissance s'acquiert par l'expérience, tout le reste n'est que de l'information." ALBERT EINSTEIN


S2y2o1v7q53ws4r5wy6ou8czrpom - Eugenol
pxav

05/12/2017 à 12h47

Paul Pitt écrivait:
---------
> Bah dis donc tu en as abattu du boulot entre le 24/11 et le 5/12 !! beau travail
> ! si tu en as beaucoup des patients comme ca qui font tout refaire je suis
> preneur ! ;-))

j'ai passé l'age de la retraite, donc si je continu à bosser c'est en grosse partie pour le plaisir, donc si les patients ne veulent pas considérer leurs bouche en entier, je les envois chez des confrères...:-)
mon vrai plaisir serait 3 patients par semaine....mais je n'en suis pas encore là.
Par contre je les gardes pour le moment.....

--
xbk
La connaissance s'acquiert par l'expérience, tout le reste n'est que de l'information." ALBERT EINSTEIN


Smile beach jgh0a1 - Eugenol
Céramik

07/01/2018 à 23h58



Une belle photo des tissus mous et des couronne 24-25 serait l'fun.
Ça semble mince dans le secteur de l'expansion.
Merci
--
Céramik


rene

16/01/2018 à 22h43

xavier,
donnes moi les references de ou des ostéotomes semi lune

@micalement


rene

16/01/2018 à 22h43

STP


12