Cookie Consent byPrivacyPolicies.comrécupération de 25 et expansion 23/24 - Eugenol
S2y2o1v7q53ws4r5wy6ou8czrpom - Eugenol
pxav

16/01/2018 à 22h47

Je te rechercherai ça René


--
xbk
La connaissance s'acquiert par l'expérience, tout le reste n'est que de l'information." ALBERT EINSTEIN


S2y2o1v7q53ws4r5wy6ou8czrpom - Eugenol
pxav

23/01/2018 à 16h45


ostéotome Tatum de D1 à D4
https://www.salvin.com/bone-grafting/Bone-Spreaders.html

--
xbk
La connaissance s'acquiert par l'expérience, tout le reste n'est que de l'information." ALBERT EINSTEIN


S2y2o1v7q53ws4r5wy6ou8czrpom - Eugenol
pxav

23/01/2018 à 16h50

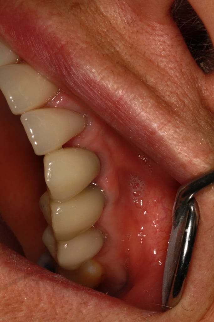
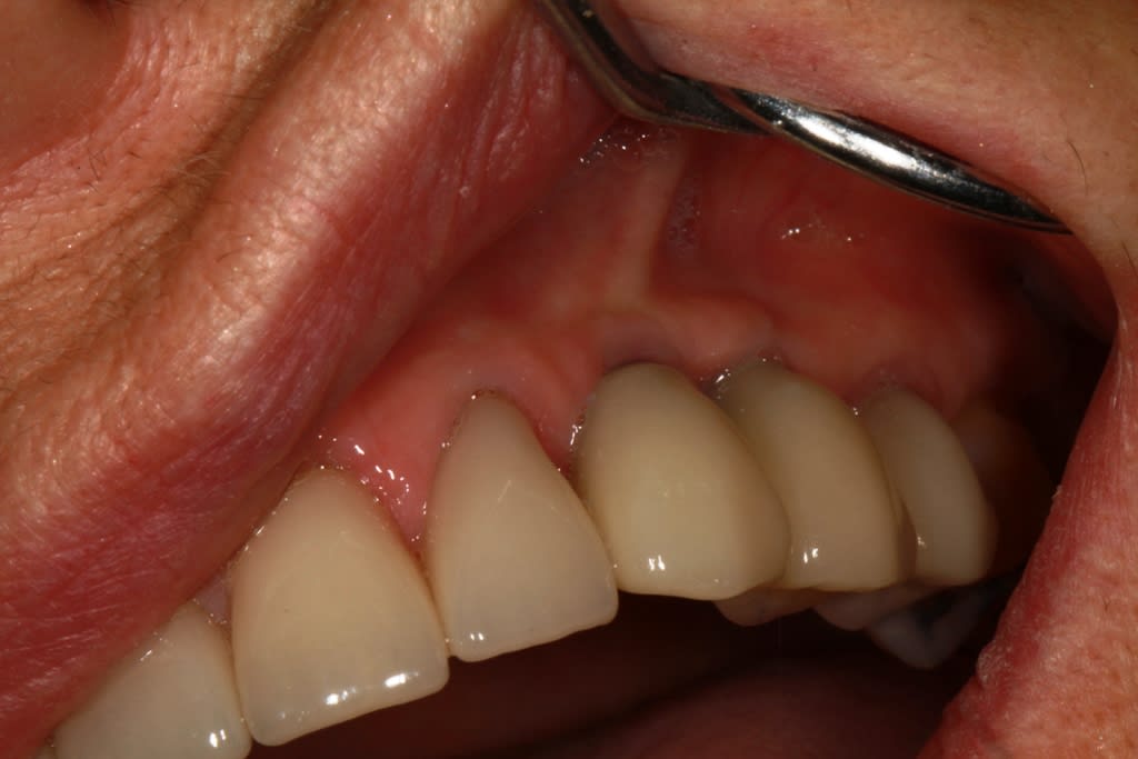
Céramik écrivait:
-------
>
>
> Une belle photo des tissus mous et des couronne 24-25 serait l'fun.
> Ça semble mince dans le secteur de l'expansion.
> Merci

salut l'ami
les photos demandées, ça te va?
> --
> Céramik


--
xbk
La connaissance s'acquiert par l'expérience, tout le reste n'est que de l'information." ALBERT EINSTEIN

Img 6051 tcye0f - Eugenol
Img 6053 vygw87 - Eugenol

12