Cookie Consent byPrivacyPolicies.comvis cassée - Eugenol

vis cassée

Utilisateur banni

31/05/2017 à 13h58

C'est quel type d'implant ?
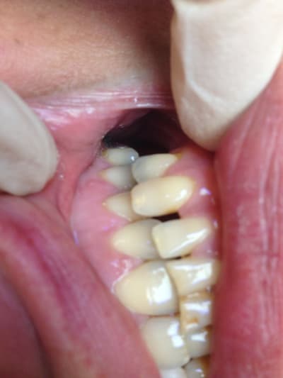
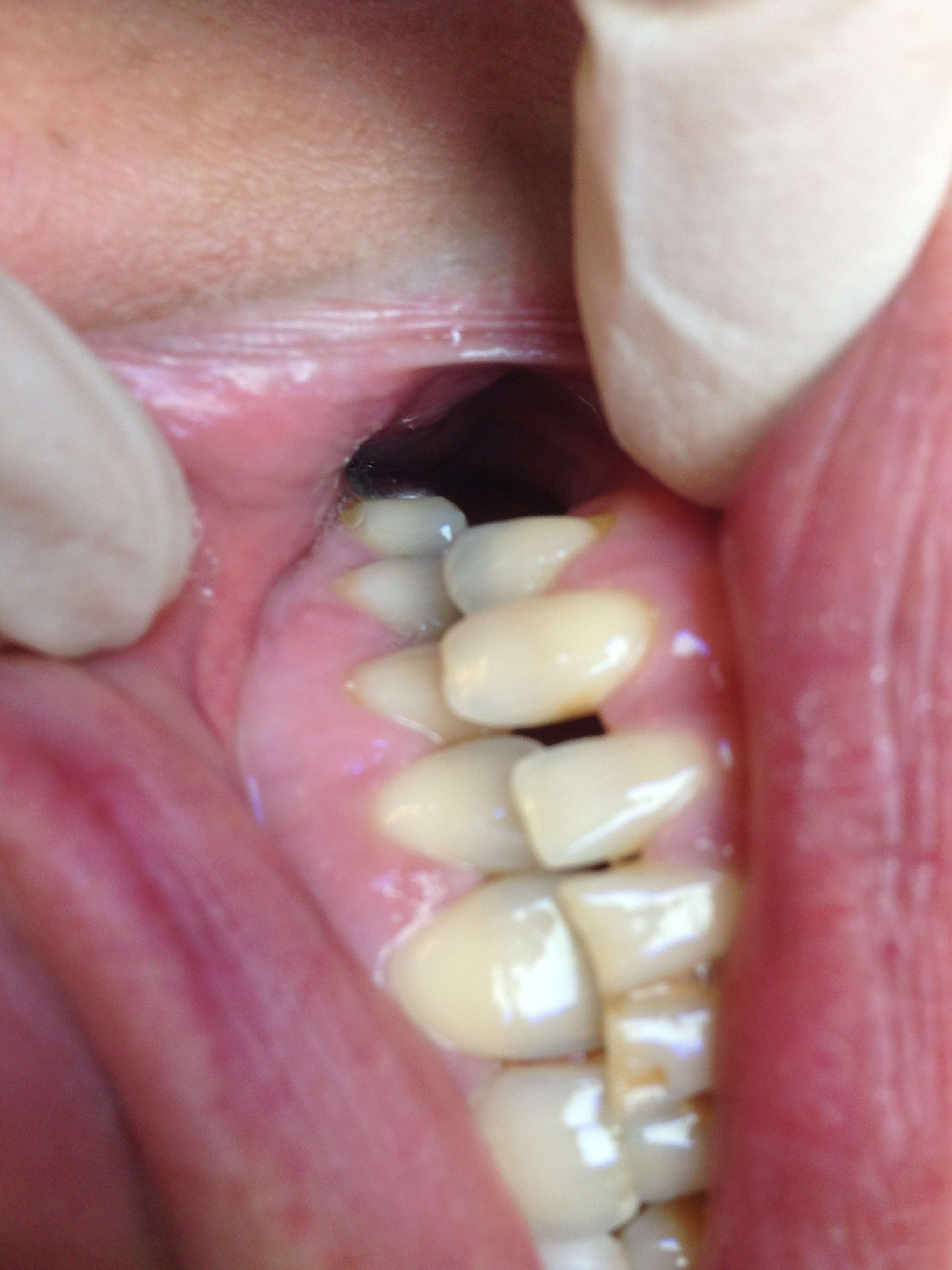
est ce qu'honnêtement c'est possible de récupérer cette vis dans ce cas ? (c'est sur une incisive latérale donc ça doit être du 3mm)
Regardez c'est rigolo on dirait qu'il y a de l'os cassé et collé sur le pilier

Qillbnmjihnee02oolyb - Eugenol
Img 1058 rmntrv - Eugenol

Generique fraisage r2rxmm - Eugenol
lardonbis

31/05/2017 à 14h09

y'a la vis cassée et la vis dévissée puis cassée.
en principe si ça branlouille depuis quelques jours puis ce casse le morceau sortira à la première sollicitation.
Dans le cas contraire c'est la loterie :)


Capture d  cran 2015 05 13   10.37 - Eugenol
BA

31/05/2017 à 14h19

comme lardonbis j' essayerai avec un insert fin de det
pour l' implant voir avec Pluton


Utilisateur banni

31/05/2017 à 14h28

Je me demande si c'est pas du 3i je regarderai ça ce soir
Sur un Implant de 3mm avec la gencive qui pisse le sang juste à coté franchement on y voit que dalle😊


Photo pluton1b h9n4ea - Eugenol
pluton

31/05/2017 à 14h50

çà ressemble bien à du 3i...

il existe un kit Zimmer/biomet
http://www.ebay.com/itm/162170558171

coûte un bras...essaye de te le faire prêter...
et la vis, un autre...rien n'est "gratuit" chez eux...

remarque d'après ta radio: j'suis pas sûr que le col de l'implant soit pas pété...

bon courage pour gérer çà...


6szjws718sv1jksw54v4mpj3a6cu - Eugenol
vulpi

31/05/2017 à 15h00

Rapport dent+pilier/implant de 3mm? + connection interne...


Aiguille cyboyt - Eugenol
fatboy

01/06/2017 à 09h55

Je comprends pas pourquoi tu t'ennuies autant, extraction implantation dans la foulee, avec meme une provisoire. En un rendez-vous, le patient part avec une dent et 3 mois apres tu fais une definitive qu'il gardera plus que quelques annees.


Utilisateur banni

01/06/2017 à 14h16

oui mais si c'était sur toi tu préfèrerais pas plutôt qu'on essaie d'enlever la vis dans un premier temps?
Et puis perso je lui reposerai un Implant ici uniquement si elle accepte que je lui mette des Implants postérieurs . Donc ça va lui faire un bon devis si je fais ça. Ca coûte rien d'essayer de lui virer sa vis , d'autant plus que ça se trouve j'ai peut être très peu d'épaisseur d'os en largeur. Faut que je vois Le scanner


Dolan donald duck weird wqjham bw43ju - Eugenol
GéPé

01/06/2017 à 15h57

Cet implant est à déposer. Le col est abimé, et 2 spires en dehors de l'os. Sans parler de la vis cassée bien entendu


Utilisateur banni

01/06/2017 à 16h26

Non mais t'es pas sérieux là 😊.
2 spires exposées ne sont absolument pas une raison de virer un Implant
Une vis cassée n'est pas une raison non plus d'enlever un implant
Le col est abîmé je demande à voir .

Après je ne dis pas que ça ne va pas peut être ou probablement se terminer en extraction implantation immédiate, mais Pas En mise en charge immédiate en tout cas car Pas de calage postérieur


Aiguille cyboyt - Eugenol
fatboy

02/06/2017 à 06h02

Pas mise en charge immediate, mais mise en vitrine.


Photo pluton1b h9n4ea - Eugenol
pluton

02/06/2017 à 07h21

fatboy écrivait:
----------------
> Pas mise en charge immediate, mais mise en vitrine.

parce que tu crois que çà les empêche de bouffer dessus??? lol...
si en plus pas de dents en postérieur, là tu gagnes à tous les coups...
attend d'en avoir perdu 3 ou 4 malgré une sous occ de folie et tu comprendras...


Vw campersurfvan bmnk1q - Eugenol
enlaye

02/06/2017 à 08h09

fatboy écrivait:
----------------
" Pas mise en charge immediate, mais mise en vitrine."

Fatboy , il y a un truc que j'ai mis longtemps à comprendre :
lorsque tu dis en " vitrine " ,je suppose que tu veux dire en sous occ totale que ce soit en OIM ou en latéralité etc..
eh bien ça ç est une notion ( la vitrine ) qui n'est valable que pour nous et qu'au fauteuil ,avec la tète bien dans l'axe .
Or la nuit ç est tout autre chose .
la nuit , on est capable de se caler avec une position complètement improbable .
je dis bien position de calage nocturne ,et non pas d'occlusion hein !,ça n'a rien à voir .
ils sont capables d'avoir une position complètement excentré ,en ne s'appuyant QUE sur 1 seule dent de devant ,par exemple .
( ceci pour éviter un pb arr comme une prema ou un décalage latéral ou une perte de calage post ... ).
ç est pour ça que l'on perd parfois des incisives d'une façon isolée alors qu'apparemment tout devrait aller bien .


donc vitrine ,oui ,mais le jour ,alors :-)
le soir venu ,quand la lune arrive ,et que les chats sont gris .....:-)))



Logo wam1 surda3 - Eugenol
WAMkey

02/06/2017 à 08h26

Bonjour à tous.

Sans que cela ne perturbe votre discussion, nous recherchons quelques témoignages concernant les habitudes de la profession en matière de comblement osseux.

Si vous avez 2 ou 3 minutes pour répondre à quelques questions indiscrètes, votre collaboration sera très appréciée.

https://docs.google.com/forms/d/e/1FAIpQLSeHhaovT2JnMo9hHBzvfLQU8CdLKzg8Ef6tDbECpqKey5eqzw/viewform?usp=sf_link


Cordialement

Alexandre MULLER


Aiguille cyboyt - Eugenol
fatboy

02/06/2017 à 08h34

Attention, j'en ai perdu, je ne le nie pas. Moins maintenant, je selectionne les cas plus drastiquement, pas de sportifs, d'idiots, de trop baraques, beaucoup d'os, implant plus long que la couronne, serrage a plus de 35, je prefere les laterales aux centrales ou aux canines .
La sous occlusion est franche et aucun contact ne doit etre possible. Le patient a des consignes claires, je sous-entends que s'il le perd c'est sa faute.
Les piliers provisoires que j'utilise ne sont pas tres rigides (Direct), j'ai l'impression que la composante laterale s'applique plus sur la torsion de la vis de pilier que sur l'implant.

Vous ne faites jamais de mise en vitrine?


Generique fraisage r2rxmm - Eugenol
lardonbis

02/06/2017 à 08h43

j'en ferai quand je ferai des implants unitaire antérieur.
Dans 5 ans peu être :)

Je leur ferai une belle polycarbonate remplie de silicone et posée sur un pilier provisoire court.

si il croque ou ou parle anglais ça giclera :)


Photo pluton1b h9n4ea - Eugenol
pluton

02/06/2017 à 10h20

si, bien sûr que j'en fais...
j'ai même un"joker" supplémentaire avec les Megagen, c'est leur pilier fuse abutment...
n'empêche que çà sauve pas tout...

mais la base, c'est un calage postérieur complet...si non => technique enfouie avec un petit partiel résine ou un bridge prov collé...(je parle pour de l'unitaire...pas pour des grosses reconstructions MCI avec Posit...)


Dolan donald duck weird wqjham bw43ju - Eugenol
GéPé

02/06/2017 à 14h29

junior® écrivait:
-----------------
> Non mais t'es pas sérieux là 😊.
> 2 spires exposées ne sont absolument pas une raison de virer un Implant
> Une vis cassée n'est pas une raison non plus d'enlever un implant
> Le col est abîmé je demande à voir .

Chacune des raisons séparément n'est pas une raison de virer l'implant, 2 ou 3 en même temps par contre...


Utilisateur banni

03/06/2017 à 10h27

tu m'étonnes que la vis aies cassé 😊
Elle vient taper avec sa canine en plein sur sa latéral (2eme photo). Pas de dents En postérieur et articulé croisé.

Img 1063 ntmcsm - Eugenol
Img 1062 qiuel9 - Eugenol

6szjws718sv1jksw54v4mpj3a6cu - Eugenol
vulpi

03/06/2017 à 11h15

extrais la canine, ce sera plus sûr.

Bon en définitif quel est ton projet ther?

Tu n'avais pas un k de complète qui...?


Utilisateur banni

03/06/2017 à 20h43

Et bien je serais bien partant pour lui faire un bridge sur dents vivantes plutôt. Si je lui refais une couronne sur Implant ça va recasser. Qu'est ce que vous En pensez ?


mr smith

03/06/2017 à 23h50

junior® écrivait:
-----------------
> Et bien je serais bien partant pour lui faire un bridge sur dents vivantes
> plutôt. Si je lui refais une couronne sur Implant ça va recasser. Qu'est ce que
> vous En pensez ?

Pas de postérieurs , et bien tu n'auras pas d’antérieures , mon cher patient !
les dents sont un outil , pas une vitrine !


Utilisateur banni

04/06/2017 à 07h54

ca on est d'accord mais Le gros problème c'est que le bord libre de son incisive vient buter contre la pointe canine ...
Donc avec des dents postérieures est ce que vous vous amuseriez à reposer une couronne sur cet Implant ou à reposer un implant - couronne ? Moi non


6szjws718sv1jksw54v4mpj3a6cu - Eugenol
vulpi

04/06/2017 à 08h37

valplast une dent le temps de traiter l'arrière (c'est la seule indication de cette m....)
Si il n'est pas preneur ça te libérera des créneaux horaires.
Une fois l'arr calé tu vois...Je serai tenté de faire une unitaire vissée provisoire, si l'axe de l'implant le permet?, et attendre un peu (usure, dévissage... ).

une dent : une emmerde
trois dents: trois emmerdes, et si il te pète le cosmétique... galère

Il lui manque des dents en postr au maxillaire... une belle pap dans les règles de l'art... miam!


Smile beach jgh0a1 - Eugenol
Céramik

05/06/2017 à 16h39


Il a été posé quand cet implant ?
Place au minimum une belle pano
ensuite des modèles montés, des tofs où on voit qq chose


--
Céramik


12