Cookie Consent byPrivacyPolicies.comCementoblastome? - Eugenol

Cementoblastome?

clarafon

09/06/2017 à 07h46

Bonjour,

J'ai besoin de vos lumières concernant ce cas.
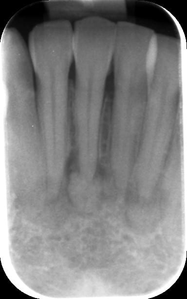
Patiente de 45 ans avec deux incisives mandibulaires qui ont changé de teinte, sans signes cliniques particuliers si ce n'est une légère sensibilité à l'apex de ces dents.
A la rétro alvéolaire on a une image de calcification apicale.
J'ai fait réaliser un CBT et le radiologue me parle de cimentoblastome (je pense cementoblastome).
Qu'en pensez-vous? feriez-vous le traitement endo?
Sa demande de départ est seulement esthétique.

Merci par avance pour vos avis.

Yrudsillwofmuxmlrspn - Eugenol
Jb9s9wvfusgjzfldmeyk - Eugenol

Generique fraisage r2rxmm - Eugenol
lardonbis

09/06/2017 à 09h01

je suis pas super bon la dedans mais on dirait bien un cementoblatome. J'en ai jamais vu sur des incisives par contre...


clarafon

09/06/2017 à 09h55

J'ai regardé un peu la biblio là dessus, on préconise l'avulsion des dents et l'exérèse du cementoblastome, ça te dit quelque chose, elle qui venait pour un pb esthétique elle va repartir avec 2 dents en moins!!!
As-tu une idée du traitement ?


Generique fraisage r2rxmm - Eugenol
lardonbis

09/06/2017 à 12h16

je viens de regarder aussi.
Le traitement de référence c'est exo + curetage.
Certains font bio + curetage + résection apicale mais c'est que des "case report"... ça vaut pas grand chose


Tozzi

09/06/2017 à 21h34

Moi je vois çà je laisse.
C'est quoi le risque ?


clarafon

09/06/2017 à 21h46

C'est une tumeur bénigne mais qui évolue dans le temps et qui bouffe l'os du maxillaire, d'après ce que j'ai pu lire.


Hok 1b hgd3rj - Eugenol
Hokusai

09/06/2017 à 21h47

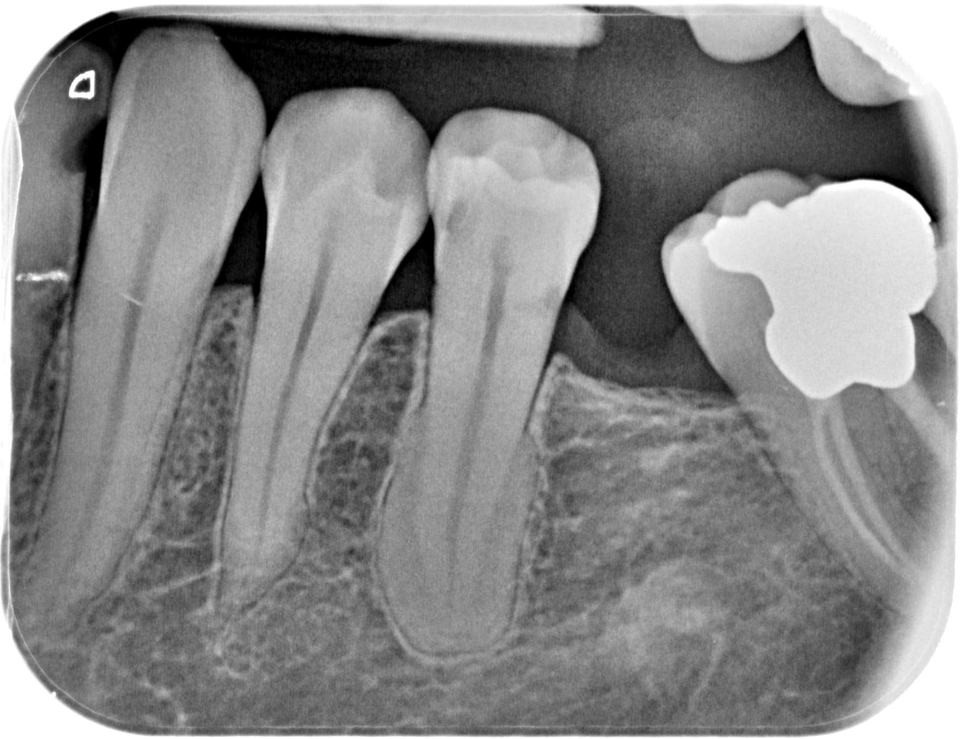
Je crois que j ai la meme chose que toi.
Mi mai j'en ai découvert un sur une 5 du bas chez une nouvelle patiente, totalement asymptomatique... je ne connais pas la conduite a tenir, si une âme charitable peut m'éclairer ce serait sympa.
Il lui manque déjà la 6 et la 7 a un pied dans la tombe...

Cementoblastome eelsrf - Eugenol

clarafon

09/06/2017 à 21h48

Je l'ai adressée au stomato avec qui je bosse.