Cookie Consent byPrivacyPolicies.comVive le composite  - Eugenol
Vw campersurfvan bmnk1q - Eugenol
enlaye

12/06/2017 à 08h22

Junior, tu dis qu il y aussi du MMA?
Ca c est 0 soucis ,0 tracas ,non?


Capture d  cran 2015 03 12 12.28 - Eugenol
chicot29

12/06/2017 à 08h34

Horreur tous ces produits de synthèse. Au moins le mercure c'est naturel. -)))


--
En cas d'échec des négociations conventionnelles, seriez-vous prêt à suivre la promotion d'un déconventionnement massif de la profession par les syndicats représentatifs ? OUI - NON
Participez, anonymement, sur https://goo.gl/forms/nAO0htnsVmxotjYm1


Le Rosbif

12/06/2017 à 08h41

enlaye écrivait:
----------------
> Junior, tu dis qu il y aussi du MMA?
> Ca c est 0 soucis ,0 tracas ,non?

MMA?! Dit donc, si ca fait un bagarre dans la bouche, c'est encore pire que je croyait!


Generique fraisage r2rxmm - Eugenol
lardonbis

12/06/2017 à 08h55

pour aller un peu dans le sens de junior..

on a d'un coté la toxicité connue (dose, durée, effets, etc ) du mercure et de l'amalgame ( y'a pas que le mercure :) )
de l'autre la toxicité supposée du compo.
Supposée car on ne la mesure pas. Et quand on la mesure ( pas pour l'usage dentaire ) pour un des composants on rajoute un CH3 au bout du biniou et hop! perché !
Si on était des bon soignants et que les propriétés des matériaux était équivalentes on utiliserais bien sur celui dont la toxicité est la mieux documentée.
Mais les propriétés ne sont pas équivalentes et on est des gros branleurs :D

Sinon je commence un peu a maitriser l'obturation à l'or cohésif ( sur dent extraite ) . Je mettrais les photo de mon premier cobaye :)


tity

12/06/2017 à 09h01

Moi j'ai arrêté les anesthésies depuis que je sais qu'il y avait de l'acide chlorhydrique dedans

Tu te rends compte ? Injecter du HCl au patient ??? On devrait TOUS être en taule depuis longtemps


RépondreCiter
Generique fraisage r2rxmm - Eugenol
lardonbis

12/06/2017 à 09h24

HCL ? J'en ai plein le bide, ça roule :D
toxicité connue, documentée, pas de soucis
je parle plus de molécules qui ressemblent fortement à des perturbateurs endocriniens, dont on ne connais la dose toxique que sur du moyen/cour terme et dont on se doute qu'elle est est excessivement faible ( la dose ) sur du long terme.


azerty

12/06/2017 à 10h00

et tu rajoutes aux composites:
cancérigènes.
mutagénes in vitro
necrosant les nerfs si tu est trop pres de ceds derniers
infiltrations carieuses silencieuses en général....


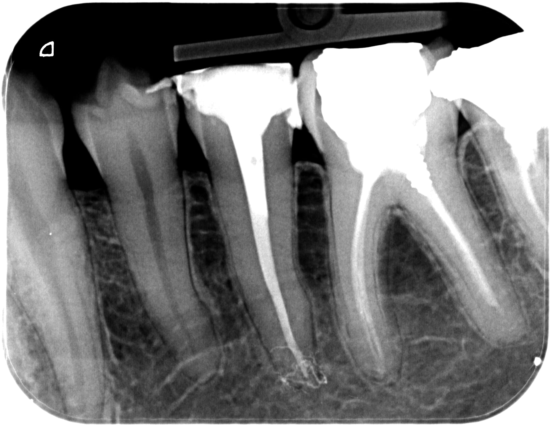
Hok 1b hgd3rj - Eugenol
Hokusai

12/06/2017 à 10h26

je suis passé au AH plus jet a base de résine epoxy...
bref c'est blindé de bisphénol A
Et comme on peut voir sur cette radio post op : plein de bisphénol a dans le periapex... c'est génial ! En fait, j'essaie de bien faire mais j'empoisonne mes patients.

Mais bon comme y'a pire dans les diesel et l alimentation... :)

Bisphénol cj01z0 - Eugenol

Generique fraisage r2rxmm - Eugenol
lardonbis

12/06/2017 à 10h40

Tu dois pas dépasser pour la dose journalière tolérée ( pour le moment... )
En plus la loi interdit juste le BPA dans les contenant alimentaire je crois. Tan qu'on légalise pas le cannibalisme t'es dans les clous.
par contre c'est un écotoxique... comme le mercure... et pour le séparer de la flotte ça va être coton :)
Je crois qu'il y a un marché à créer. Programme "au delà du métasys": €€€€€ !!

je viens de regarder ta pâte endo, y'a de de l'amantadine.
c'est bon pour les parkinsoniens ça :)


Avatar transparent iqadnc - Eugenol
adhoc

12/06/2017 à 19h23

L'atome d'azote trivalent aussi dans le cyanure!!!! Pourtant l'azote, hein, dis... :-)))
Bon, junior, ok, le compo ce n'est pas top, mais ca nous rend bien service!!!
On trouvera autre chose, reléguant cette résine dans les poubelles de la dentisterie. Le tour de nos ceramiques viendra aussi. Chaque chose en son temps!


Utilisateur banni

12/06/2017 à 19h50

Bande d'empoisonneurs :))))
Disons que pour faire simple je ne suis pas certain du tout que les amalgames soient plus toxiques que les composites...

Alors sinon qu'est ce qu'on a eut au programme aujourd'hui ?
- une belle langue dépapillée
- une parotide dure comme un coup de trique

Img 1134 obaeqj - Eugenol
Img 1136 c48xgt - Eugenol
Img 1135 twc9ed - Eugenol

Capture d  cran 2015 03 12 12.28 - Eugenol
chicot29

12/06/2017 à 19h59

D'ailleurs c'est pour éviter d'empoisonner le patient qu'il est très fortement conseillé de mettre la digue quand tu fais un composite. -)


--
En cas d'échec des négociations conventionnelles, seriez-vous prêt à suivre la promotion d'un déconventionnement massif de la profession par les syndicats représentatifs ? OUI - NON
Participez, anonymement, sur https://goo.gl/forms/nAO0htnsVmxotjYm1

Capture d écran 2017 06 12 20.02 - Eugenol

Capture d  cran 2015 03 12 12.28 - Eugenol
chicot29

12/06/2017 à 20h03

junior® écrivait:
-----------------

> Alors sinon qu'est ce qu'on a eut au programme aujourd'hui ?
> - une belle langue dépapillée
> - une parotide dure comme un coup de trique

COMMENT CA AUJOURD'HUI ?

Qu'est ce que c'est que ce bordel junior ? -)))


--
En cas d'échec des négociations conventionnelles, seriez-vous prêt à suivre la promotion d'un déconventionnement massif de la profession par les syndicats représentatifs ? OUI - NON
Participez, anonymement, sur https://goo.gl/forms/nAO0htnsVmxotjYm1


Hok 1b hgd3rj - Eugenol
Hokusai

12/06/2017 à 20h06

chicot29 écrivait:
------------------
> COMMENT CA AUJOURD'HUI ?
>
> Qu'est ce que c'est que ce bordel junior ? -)))

Mais c est pas vrai !!! T es un social traitre junior ??? 😢


moritooth

12/06/2017 à 22h07

chicot29 écrivait:
------------------
> D'ailleurs c'est pour éviter d'empoisonner le patient qu'il est très fortement
> conseillé de mettre la digue quand tu fais un composite. -)
>

Tout le monde n'a pas le droit au DP comme toi Chicot !


floydal

13/06/2017 à 20h59

stop aux reconstitutions foulées à 20 balles et vive les reconstitutions coulées à 250


Utilisateur banni

28/08/2017 à 11h39

Regardez : dame de 85 ans , un praticien a posé un amalgame sur la 16 alors qu'elle avait 16 ans...
C'est toujours en place ...
Allons nous voir des composites qui vont durer 69 ans sans retouche ? J'en doute

Img 0262 ghsi9j - Eugenol

6szjws718sv1jksw54v4mpj3a6cu - Eugenol
vulpi

28/08/2017 à 11h41

junior® écrivait:
-----------------
> Regardez : dame de 85 ans , un praticien a posé un amalgame sur la 16 alors qu'elle avait 16 ans...
> C'est toujours en place ...
> Allons nous voir des composites qui ont duré 69 ans sans retouche ? J'en doute

-----------------
Autre argument, entre un amalgame aux doigts et un composite à la salive et au sang le choix est vite fait.

Si il y avait un gars compétent en occluso sur nonol, il pourrait nous dire ce qu'il pense de l'usure à long terme des faces occlusales en compo, mais d'occluso nous n'avons point...;-)


Utilisateur banni

28/08/2017 à 19h39

Un mec compétent en occluso sur nonol ? Je connais pas 😊. Je ne vois pas de qui tu pourrais parler


Dolan donald duck weird wqjham bw43ju - Eugenol
GéPé

28/08/2017 à 23h21

junior® écrivait:
-----------------
> Regardez : dame de 85 ans , un praticien a posé un amalgame sur la 16 alors qu'elle avait 16 ans...
> C'est toujours en place ...
> Allons nous voir des composites qui vont durer 69 ans sans retouche ? J'en doute

-----------------
Allez encore une fois.
B I A I S
D E
C O N F I R M A T I O N

C'est vraiment une maladie ce truc, pire que le SIDA je pense. Mais je veille au grain.
Pour un seul amalgame encore là après 69 ans, combien de dents pétées par effet de coin / combien de reprise de carie ? Allez au pif 999 pour 1.


Utilisateur banni

28/08/2017 à 23h38

Y a le gépé qui cherche la castagne ...😊
Dis voir Quelle est la longévité moyenne des amalgames ?
Et quelle est celle des composites?


Dolan donald duck weird wqjham bw43ju - Eugenol
GéPé

28/08/2017 à 23h40

Tu entends quoi par longévité ? Moi quand je vois un amalgame je trouve ça tellement dégueu que j'estime sa longévité à 30 secondes si le patient me laisse faire.
Et la longévité d'un composite de bonne qualité fait dans les règles de l'art est très bonne, surement plus d'une dizaine d'années.


RépondreCiter
Utilisateur banni

28/08/2017 à 23h50

Si tu cherches un petit peu, je te laisse chercher ... la longévité des amalgames est supérieure aux composites.
Et c'est bien dommage qu'on déglingue des amalgames qui n'ont rien demandé à personne et qu'on les remplace par des composites dont la longévité est inférieure


Dolan donald duck weird wqjham bw43ju - Eugenol
GéPé

29/08/2017 à 07h58

Inférieure selon quels critères ? Je m'explique : quand décides-tu qu'un amalgame est à reprendre ?


Utilisateur banni

29/08/2017 à 08h30

Tu ne vas pas contredire les études qui montrent que la longévité d'un amalgame est supérieure aux composites quand même ?
Et bien apparemment toi tu changes tes amalgames avec comme explication que c'est "degueu".
Moi je les change uniquement si il y a reprise de carie ou si ils sont cassés.
Toi tu parles d'une longévité de plus de 10 ans pour les compos . Et encore faut que ça soit bien fait ^^. Moi je te parle de longévité d'amalgames en plusieurs décennies.
Y a pas à chercher bien loin on va prendre un autre cas j'ai eu une carie à l'âge de 7 ans , l'amalgame est intact (pas de casse et pas de reprise de carie) plus de 20 ans après. Y a pas photo pour la longévité. Vas regarder les études. C'est pas moi qui le dis.
Raaaaf je sais bien , on vous bourre le mou du coté de Paris : c'est moins toxique et ça tient très bien les compos . C'est vrai que bouffer du plastique jaune qui dure plus de 10 ans quand c'est bien fait, c'est beaucoup mieux ^^.
Je peux te dire que quand la cavité s'y prête, sur mes parents sur les personnes proches ou sur moi même : y a pas à réfléchir je choisis l'amalgame.


123...