Cookie Consent byPrivacyPolicies.comEncore et toujours des implants à identifier ! - Eugenol

Encore et toujours des implants à identifier !

Hinanui

15/06/2017 à 14h07

Bonjour

J'aurais besoin de vos lumières.
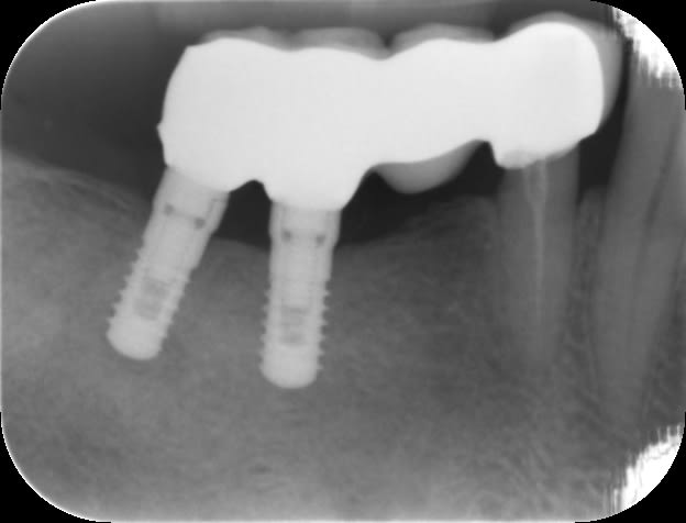
Un patient que je suis régulièrement s'est présenté avec un bridge implanto-dento porté descellé. Les piliers sont dévissés. Les vis sont solidaires des piliers.
Je souhaite faire durer le plus longtemps possible ce bridge.
Quelqu'un peut-il me dire si il connaît la marque et comment faire pour revisser ce type de pilier car il n'y a pas de puits de vis. Existe-t-il un instrument spécifique ?

Merci beaucoup

Apkq93j4uqx3zew0x0o1 - Eugenol
Utuzs7cohoi910bvrvqy - Eugenol
Oalfke5brw5up5mn1rjt - Eugenol

Photo pluton1b h9n4ea - Eugenol
pluton

15/06/2017 à 17h14

ONB de chez IDI...

http://osseosource.com/dental-implants/product_info.php?manufacturers_id=118&products_id=854

les piliers utilisés sont des piliers pleins qui ont été préparés en bouche à la turbine...


Hinanui

15/06/2017 à 18h01

Merci beaucoup !
Je vais me renseigner auprès de la société.

Si d'içi là quelqu'un a le temps : comment fait-on pour appliquer un torque sur ce genre de pilier ?
Il y a un méplat sur une des faces : est-ce qu'il existe un instrument spécifique ?


mr smith

15/06/2017 à 19h42

Hinanui écrivait:
-----------------
> Merci beaucoup !
> Je vais me renseigner auprès de la société.
>
> Si d'içi là quelqu'un a le temps : comment fait-on pour appliquer un torque sur
> ce genre de pilier ?
> Il y a un méplat sur une des faces : est-ce qu'il existe un instrument
> spécifique ?
>

Regardes si le méplat se retrouve dans l'intrados ?
Si oui , bon courage , pour un jeu de patience ;o(


Utilisateur banni

16/06/2017 à 07h17

Hinanui écrivait:
-----------------

> Si d'içi là quelqu'un a le temps : comment fait-on pour appliquer un torque sur
> ce genre de pilier ?

La vis ayant déjà été activée elle a perdu ces qualités initiale donc même si tu appliques le torque préconisé par le fabriquant son serrage ne sera plus un gage de maintient.




> Il y a un méplat sur une des faces : est-ce qu'il existe un instrument
> spécifique ?
>

Il existe un instrument universel, la pince.


le descellement a permis de préserver l'association support implantaire et dento-porté.


South park   craig te7bfk - Eugenol
CRAIG

16/06/2017 à 15h43

Ta photo des implants en place est à déconseiller aux trypophobes!


Hinanui

17/06/2017 à 09h52

Bonjour

Merci à tous de vos réponses.

Pour posit : si je comprends bien tu me déconseilles de réutiliser les vis (donc les piliers vu que tout est d'un seul tenant, donc pas de réutilisation du bridge). Est-ce que je prends un risque pour les implants si je tente tout de même ?

Le contexte pour explication : c'est un patient très sympa et qui comprend bien les choses, qui a eu plusieurs grands bridges dento et dento-implanto portés. (Ce n'est pas moi qui les ai réalisés !) 3 des 4 secteurs se sont déjà cassés la figure, et on été remplacés par des implants. C'est le dernier secteur qui tenait. J'ai déjà prévu de retraiter 44.Je souhaiterais essayer d'utiliser ce bridge jusqu'au bout, mais bien entendu, si cela met en jeu l'avenir des implants, je vais proposer un plan B : je pense 1 implant supplémentaire en 45, couronne unitaire 44, couronnes sur les 3 implants.


Utilisateur banni

17/06/2017 à 15h00

Cela me semble plus conforme pour un traitement sur le long terme