Cookie Consent byPrivacyPolicies.comFaire des photos avec son téléphone - Eugenol

Faire des photos avec son téléphone

Utilisateur banni

17/06/2017 à 14h20

Smile lite MDP

Npfz8xho8ii2ydiot0tj - Eugenol
Ztbafigyse7gtfmbxdw5 - Eugenol

1309531 ours brun n5iukf - Eugenol
seespan

17/06/2017 à 15h05

Le truc que j'ai jamais compris.

Quel est l’intérêt de claquer l'équivalent d'un boitier SLR dans un gadget qui ne donneras des photos reproductible qu'avec le même smart phone, smart phone qui n'ont généralement pas une durée de vie de plus de trois quatre ans (surtout chez la tranche de la population qui achéte ce genre de bidule ).

Si l'on ne cherche pas une solution de niveau professionnel autant s'équiper avec un compact type G16 ou TG4, TG3 ( perso le département d'ortho nous avait fournie des nikon P300 pour notre master qui prennait des photos nickel ) .




--
หมอจัดฟัน


Utilisateur banni

17/06/2017 à 15h54

j'ai un Nikon D7100... et y a pas à dire ça fait vraiment chier de Le sortir, c'est encombrant et pas du tout ergonomique. Mais ça fait de belles photos. Et en plus c'est cher.

L'avenir est Le smartphone qui fera de superbes photos . C'est pas encore Le cas je te l'accorde mais c'est quand même vachement pratique. En plus pour les cas d'ortho on se tamponne de la teinte. Maxillaire mandibule secteurs latéraux sourire face profil. Tout y passe Et c'est très rapide avec Le téléphone portable 😊


1309531 ours brun n5iukf - Eugenol
seespan

17/06/2017 à 16h19

Non le portable c'est chiant. Pas évident à tenir, bouton mal placer pour les réglages, batterie pas à recharger chaque jours, ect.

Je prend des photos quasi à chaque rendez vous, j'exporte par wifi et import dans kitview pour montrer dans la séance au patient ( très bon pour la motivation ).

Avec un compact dédier ( c'est a dire qui reste au cab ) j'ai deux réglage, extra oral et intra oral. Si je veux entraîner une assistante à s'en servir c'est le temps nécessaire pour lui apprendre à cadrer. Quelque soit la personne qui s'en sert si le cadrage est respecté les photos sont très reproductible même avec deux séance espacée de plusieurs mois.

Le SLR ça s'aura pour les photo intial final, les cas un peut " zarb " ( ça j'en ais pas mal au cambodge ) et les photo de promotion/conférence.
Je connais pas mal d'ortho qui tourne avec cette formule.

Le smartphone n'est pas un outil pro, je me vois mal le filer à mon assistante et encore moins avoir des photos reproductible si je le faisait, ça n'a aucune stabilité dans le temps et niveau ergonomique c'est à chier .



--
หมอจัดฟัน


1309531 ours brun n5iukf - Eugenol
seespan

17/06/2017 à 16h28

junior® écrivait:
-----------------
> j'ai un Nikon D7100... et y a pas à dire ça fait vraiment chier de Le sortir,
> c'est encombrant et pas du tout ergonomique. Mais ça fait de belles photos. Et
> en plus c'est cher.

J'avais pensé me prendre le D7200, mon hopital ayant des D100, D200 et D300s je commence à me former avec le D300S . Je me forme d'abord et quand j'aurais une idée de comment utiliser ce genre de matériel, avec quel fréquence et pour quel utilisation ( pour l'instant j'ai des projets d'utilisation mais reste à savoir si au niveau pratique c'est réalistes ), je verrais pour investir.

j'ai trouvé un court en ligne de l'université de Birmingham qui semble assez bien foutue.

Pour avoir vue des photos IO prisent avec le D100, D200, D300S et Canon 70D, je me dirige vers le D300S d'occase. Entre le D100 ( que tu trouves d'occase pour 100$ ) et de Canon 70D je ne vois aucune différence niveau qualité. Il y a eux des progrés en plus de 10 ans mais rien qui ne fasse de différence au niveau dentaire.
Le soucis c'est que le D100 et D200 sont incompatible wifi, le D300S lui accepte les cartes wifi.

Ensuite tout à fait possible que je craque pour le D7200, mais seulement si je prévois un usage régulier du SLR. Si en pratique l'usage est peut fréquent ça s'aura soit utilisation des SLR de mon hopital, soit achat d'un D300S d'occase.

--
หมอจัดฟัน


Olieve

17/06/2017 à 22h39

seespan écrivait:
-----------------
> Le truc que j'ai jamais compris.
>

T'as raison, c'est des branquignoles chez StyleItaliano !

http://www.styleitaliano.org/smile-lite-mdp


1309531 ours brun n5iukf - Eugenol
seespan

18/06/2017 à 04h01

Olieve écrivait:
----------------
> seespan écrivait:
> -----------------
> > Le truc que j'ai jamais compris.
> >
>
> T'as raison, c'est des branquignoles chez StyleItaliano !
>
> http://www.styleitaliano.org/smile-lite-mdp

Sur ce coup là oui.

--
หมอจัดฟัน


1309531 ours brun n5iukf - Eugenol
seespan

18/06/2017 à 14h27

Après avoir passé une semaine à me taper le mode d'emplois first du D200 puis du D300, je continue le court en ligne sur les photos dentaire.

A la section sur le shutter speed ( temps d'exposition à priori en Français ).

Shutter speed 1/200, à cette vitesse si tu prend sans flash la photo est complètement noire, la seul lumiére qui va tombé sur le capteur sera celle du flash.
Celle veut dire que si tu fait la même photo de bouche dans des conditions d'éclairage différent ( heure de la journée différente, pas la même saison, pas le même endroit, éclairage de la pièce modifié ) cela n'aura aucun impact sur ta photo notamment au niveau des couleurs.

Les led sont déconseillé en dentaire car elles ne peuvent généralement pas fournir une lumière assez intense pour autorisé un temps d'exposition aussi court. Traduction l'éclairage ambiant vas avoir va avoir une influence avec le gadget. Les photos seront jolie avec un éclairage uniforme mais la consistance des couleurs entre différent clichée ne sera pas garantie.

A cela s'ajoute of course qu'a moins que des application existe pour controler l'appareil photo du téléphone tu n'a aucun moyen de fixer les différents paramètre pour t'assuré qu'ils sont constant entre deux séances.



--
หมอจัดฟัน


South park   craig te7bfk - Eugenol
CRAIG

18/06/2017 à 14h54

Merci Junior pour cet accessoire qui semble intéressant bien que cher...
Y aurait il un retour de personnes l'ayant utilisé ou sur internet par exemple?


1309531 ours brun n5iukf - Eugenol
seespan

18/06/2017 à 14h58

Oui il y a un mois ou deux, sur DDF ou French kiss un utilisateur en avait parlé.

Vue qu'il y a avait des septiques, il à prie est posté la même photo de bouche gadget et SLR.

La SLR était mieux of course.


--
หมอจัดฟัน


lfdupérou

18/06/2017 à 18h44

J'utilise le smile capture depuis quelques mois. C'est mon mari qui l'a acheté ( atrocement cher effectivement) mais ne s'en sert jamais. Ça n'est pas exactement le même système que sur la photo de Junior , peut-être son prédécesseur ( achat en 2015)
Je suis une feignasse donc ça me va bien, je colle le bazar sur mon tel, prends les photos et les envoie en MMS illico au prothésiste.
Bizarrement, parfois pour la teinte c'est nickel, d'autres fois je n'y arrive pas. Ça vient peut-être de la lumière dans ma salle pas du tout constante.
Pour des praticiens qui ont l'habitude d'iconographier leurs cas, ça ne me semble pas valable, pour ceux qui comme moi ont la flemme de sortir un appareil, de transférer les photos, c'est mieux que rien. Après le prix est scandaleux.


1309531 ours brun n5iukf - Eugenol
seespan

19/06/2017 à 03h07

lfdupérou écrivait:
-------------------

> Bizarrement, parfois pour la teinte c'est nickel, d'autres fois je n'y arrive
> pas. Ça vient peut-être de la lumière dans ma salle pas du tout constante.

Ou tout simplement parce que le White balance sur votre téléphone est en mode automatique. Ce qui veut dire que la teinte des dents va varier en fonction de l'ensemble des couleurs présente sur la photo.
Tu prend la photo avec des écarteurs transparent les dents seront d'une certaine couleur, tu prend la photo avec des écarteur plastique blanc et les dents seront d'une autre couleur.

> Pour des praticiens qui ont l'habitude d'iconographier leurs cas, ça ne me
> semble pas valable, pour ceux qui comme moi ont la flemme de sortir un appareil,
> de transférer les photos, c'est mieux que rien. Après le prix est scandaleux.

Oui ou l'on peut prendre un simple compact avec une carte wifi paramétré pour envoyer les photos dans un fichier sur l'ordinateur.


--
หมอจัดฟัน


Olieve

19/06/2017 à 11h53

seespan écrivait:
-----------------

> La SLR était mieux of course.

> --
> หมอจัดฟัน

C'est le minimum à quoi on pouvait s'attendre !

Mais tu ne réussiras de toute façon pas à prendre une teinte avec un SLR.


1309531 ours brun n5iukf - Eugenol
seespan

19/06/2017 à 14h50

C'est pas pour prendre une teinte mais pour pouvoir comparer un avant et un après.

Le réglage de la white balance peut se faire sur quasi tout les appareil, ça n'est pas spécifique au SLR.

L'idée est de prendre des photos les plus reproductible possible entre deux séance. Le SLR permet de le faire, comme un compact régler avec des paramètre constant. Le SLR aura l'avantage avec le contrôle précis du point de focus that's all.


Cela étant dit après une semaine de préparation j'ai prie mes première photo de bouche avec le D300S.

Oui c'est plus jolie notamment grasse au flash anulaire mais c'est mon de point de vue. Les assistante elles trouvent les photos du TG4 plus esthétique, la raison :

- le TG4 capture moins de détail à la surface des dents, leur donnant un aspect plus " lisse " "homogéne "
- Vue qu'il n'a qu'un point flash j'ai des ombres qui offrent des zones de contrastes esthétique.

Bref ça confirme ce que je pensé, pour les discussion avec le patient, c'est le compact qu'il faut utiliser ( du moins pour les photos après :-) ) .

Sinon avec une carte eye-fi, les photos arrive directement sur mon portable.

Je viens de filer un G15 + carte wifi a un dentiste de mon étage, on va voir ce qu'il pense de l'outils pour l'iconographie de cas simple + discussion avec le patient.


--
หมอจัดฟัน


Utilisateur banni

20/06/2017 à 07h32

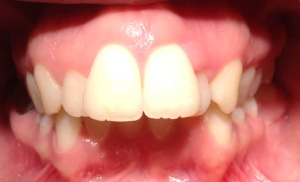
En tout cas je confirme pour la teinte , les téléphones prennent des photos qui ne rendent pas compte de la teinte. Avec Le mien les dents paraissent systématiquement plus blanches.
Et puis deuxième inconvénient on a de l'ombre. La preuve en photo . Si j'avais fait pris cette photo avec mon Nikon non seulement il n'y aurait pas eu d'ombre mais En plus la teinte serait très largement mieux ressortie .
Mais Le gros avantage du téléphone, c'est que :
1) il est léger et facilement maniable
2) tu peux directement envoyer ta photo par mail ou mms ou poster sur eugenol par exemple
3) ça fait des photos honorables
4) très rapides de faire des photos avec
5) beaucoup plus ergonomique qu'un appareil photo

Inconvénients :
1) luminosité et ombre en postérieur + secteurs latéraux
2) teinte
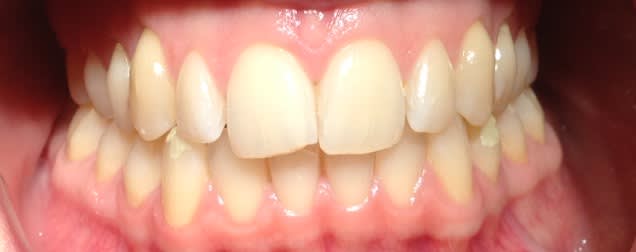
3) et vous remarquerez que les dents En antérieur paraissent beaucoup plus blanches que celles En postérieur (voir la photo avec l'overjet)

----> je dois changer mon téléphone : est ce que quelqu'un sait quel est le téléphone qui prend les meilleures photos ?

Img 1156 zw0u8g - Eugenol
Img 1129 lmp9ak - Eugenol

Hok 1b hgd3rj - Eugenol
Hokusai

20/06/2017 à 08h05

C est pas tant la fidelite des couleurs que la surexposition pour ta przmiere photo.
Apres je suis d accord avec seespan pour entegistrer la teinte il faut une balance des blancs juste, et la le format RAW aide beaucoup et une charte pour realiser la balance. Le flash annulaire est d une grande aide et l objectif macro est un plus indeniable.

Si en plus tu as un filtre polarisant, le ceramiste a toutes les info pour faire une belle ceram.

Pour les ceramiques ant je prends toujours des photos et une dent du teintier vivodent spe comme reference (oblige de prendre la photo a 4 mains)


Utilisateur banni

20/06/2017 à 08h55

pour les smartphones les meilleurs pour faire des photos seraient :
- Huawei P10 (entreprise qui est En collaboration avec Le spécialiste allemand de la photo Leica)
- Le galaxy S 8
- l'IPhone 7 plus en attendant l'IPhone 8 😊


1309531 ours brun n5iukf - Eugenol
seespan

20/06/2017 à 15h29

junior® écrivait:
-----------------
> En tout cas je confirme pour la teinte , les téléphones prennent des photos qui
> ne rendent pas compte de la teinte. Avec Le mien les dents paraissent
> systématiquement plus blanches.

La phrase qui veut dire que tu n'as rien compris à comment marche les appareils photo. Aucun appareil numérique ne te prend une teinte identique à la "réalité" .

La seul manière fiable de prendre une teinte avec un appareil photo à ma connaissance, c'est de prendre une photo de bouche avec la teintier et la couleur sélectionner dans le champs.


> Et puis deuxième inconvénient on a de l'ombre. La preuve en photo . Si j'avais
> fait pris cette photo avec mon Nikon non seulement il n'y aurait pas eu d'ombre
> mais En plus la teinte serait très largement mieux ressortie .

Oui est plus important de mon point de vue, avec un compacte ou SLR utilisant les même paramétre ( que tu peut contrôler ) tu es sure de ressortir les même teinte lors de la prochaine séance.

> Mais Le gros avantage du téléphone, c'est que :


> 1) il est léger et facilement maniable
> 2) tu peux directement envoyer ta photo par mail ou mms ou poster sur eugenol
> par exemple
> 3) ça fait des photos honorables
> 4) très rapides de faire des photos avec
> 5) beaucoup plus ergonomique qu'un appareil photo

Un compact type Nikon P300 ou TG4
1 léger et vue que contrairement au téléphone tu ne l'as pas toujours dans la poche mais dans un tiroirs le pois n'est pas un soucie.
2 Tu peus envoyer AUTOMATIQUEMENT ( sans aucune action de ta part ) la photos sur un ordinateur munie du WIFI ( ou même sur ton téléphone si c'est ça qui t'excite ). De là import dans ton fichier patient ( ben oui si tu envois un doc à ton prothésiste mieux vaut en garder une trace ), voir même import automatique avec tout les tags grâce à kitview.
3 Ca fait des photos d'une qualité suffisante pour utiliser en tant que documents professionnel. Perso j'ai tourné avec ça pendant plus de six ans et jamais je n'ai eux de soucie ou remarque sur la qualité des clichés, sachant que je n'utilise que deux réglages ( intra et extra ).
4 Encore plus rapide avec un appareil qui n'a qu'un réglage et ou tu vérifie en temps réelle la qualité de l'image sur l'écran de ton ordinateur.
5 J'ai du prendre deux fois des photos avec mon portable et j'ai pas trouvé ça ergonomique du touts.
6 c'est stable dans le temps. La durée de vie d'un appareil photo n'a rien à voir avec celle d'un téléphone portable. Pas d’obsolescence programmée.
Important car l'un des intéret de faire des photos clinique c'est pour pouvoir comparer. Si tout les trois quatre ans tu change de portable, tout les trois quatre ans ton " type " de photo vas changer.
Perso j'ai due changer trois fois de compact en début d'exercice, la transition entre les clichés prit par les différent appareil c'est pas top.



>
> Inconvénients :
> 1) luminosité et ombre en postérieur + secteurs latéraux
> 2) teinte
> 3) et vous remarquerez que les dents En antérieur paraissent beaucoup plus
> blanches que celles En postérieur (voir la photo avec l'overjet)

Oui mais ça c'est ton téléphone avec tes réglage. Le soucie du téléphone c'est que tu as proche de zéro contrôle sur tes photos.
>
> ----> je dois changer mon téléphone : est ce que quelqu'un sait quel est le
> téléphone qui prend les meilleures photos ?


Si tu veux de " jolie " photo prend un téléphone. Si tu veux des photos " reproductible " prend un appareil qui te permet de contrôler les différents paramétre. Si une app te donne le contrôle sur le telephone ça rendrait déjà le gadget reproductible.


--
หมอจัดฟัน


Image r6habu - Eugenol
Thomas Crown

31/10/2020 à 15h50

3 ans plus tard .. y a t il un intérêt à ce produit encore aujourd’hui et à t on trouver une solution pour transférer effectivement une teinte au labo ? Je suis intéressé par ce produit, que l’on trouve d’occasion maintenant. Merci


Botticelli birth venus 2 erg9vl - Eugenol
garance

01/11/2020 à 00h40

Avec l'appareil photo de ma fille qui est un canon, EOS 70 D , l'objectif macro et le flash annulaire, je suis incapable de faire une bonne photo .
Je n'y comprends rien et ça m'énerve . Mon prothésiste m'a dit qu'il avait été impressionné par les photos dentaires avec le dernier IPHONE .
Mon téléphone m'ayant lâchée, le vendeur de chez darty m'a dit que le OPPO A9 2020 fait des photos très biens . Je me suis dit " je le prends, ça me dépannera, on verra après et je suis allergique au mot "IPHONE" et il a 2 cartes sim alors c'est chouette pour les vacances . J'ai une carte sim marocaine qui attend de pouvoir rentrer au pays dés que ce sera possible .
Et bien pour 170 € , c'est vraiment pas mal

Oppo a9 2020 sxkwrr - Eugenol
Oppo a9 2020 bis zhylxj - Eugenol

Utilisateur banni

01/11/2020 à 06h58

Je ne sais pas qui est celui qui a posté ce sujet il y a quelques années, mais je trouve que ce post est très intéressant. Comment se fait-il que je n’arrive pas à envoyer un message privé à celui qui a posté ce magnifique post ?


Utilisateur banni

14/11/2020 à 20h34

Photo prise avec iPhone 12. Sans flash avec juste le Scialytique. D’ailleurs je l’ai mal orienté. En le centrant mieux , tout est visible : droite et gauche. Là on a de l’ombre à gauche

2f80ed3a 0f2b 421c a999 c15cb712c793 sdmipu - Eugenol

8tercecn7hisbbqbde2nil4nyxrw - Eugenol
Hanibalecter

14/11/2020 à 21h08

Les smartphone deviennent de plus en plus compétitif niveau photo
Maintenant on a les appli pour pouvoir régler la vitesse d'obturation et les ISO, la possibilité de prendre en RAW, de regler la balance des blanc. Le transfert se fait automatiquement sur le PC

Ca remplacera surement dans qq années nos scan 3D en réduisant considérablement le temps d'acquisition


Olieve

15/11/2020 à 09h56

Pangolin écrivait:
--------
> Photo prise avec iPhone 12. Sans flash avec juste le Scialytique. D’ailleurs je
> l’ai mal orienté. En le centrant mieux , tout est visible : droite et gauche. Là
> on a de l’ombre à gauche

Juste une précision, c'est avec le grand angle ou le télé (uniquement présent sur le pro) ?


Utilisateur banni

15/11/2020 à 17h33

Franchement Olieve , je viens juste de l’avoir, il est tout nouveau.je n’ai strictement rien réglé , j’ai juste appuyé sur le bouton.
La prochaine fois je le réglerai sur portrait , éclairage studio. Je viens de m’apercevoir qu’on peut régler la profondeur !!! Y a peut-être moyen d’avoir les côtés bien comme il faut.


12