Cookie Consent byPrivacyPolicies.comJ'ai fait une perfo - Eugenol

J'ai fait une perfo

super la dentisterie

21/06/2017 à 14h16

J'en suis malade.c'est la première fois que ça m'arrive.chambre bien ouverte mais je ne passais pas dans le canal mésiolingual d'une 37. J'ai pris l'insertion us comme j'ai appris à la sfe sauf que j'ai pris une mauvaise orientation.donc prudence sur l'utilisation de ces instruments tres efficaces.je n'ai en plus pas retrouvé le canal donc j'ai tout gagné....et j'en ai pas dormi.


dent2669

21/06/2017 à 15h12

Le secret c'est de voir ce qu'on fait dans ces cas là !! Et pour ça il n'y a que le microscope opératoire... Les inserts US endo, ils sont bien sympa à la SFE mais les utiliser sans aides optiques c'est super dangereux !
Adresse à un endo pour qu'il gère ça. Ce n'est pas la fin du monde et c'est tout à fait faisable !


Hok 1b hgd3rj - Eugenol
Hokusai

21/06/2017 à 15h18

Achete un microscope... en plus en 2018, l endo molaire sera revalorisée pour pouvoir justement investir dans ce genre de matos ;)


super la dentisterie

21/06/2017 à 15h28

J'ai déjà le microscope pour la paro qui est dans un coin de mon bureau et je fais la formation Cisco donc le microscope pour l'endo c'est certainement super mais pas pour moi.en attendant et pour me remettre de mon coup de stress, je vais regarder un épisode de josephine ange gardien,pays où la vie est sans stress
Bonne journée


Capture d  cran 2015 05 13   10.37 - Eugenol
BA

21/06/2017 à 18h29

Et puis pour finir de te rassurer, si l'indo exclusif ne s'en sort pas, il reste le davier et l' implant!,
Ta nuit de sommeil vaut mieux que ca!


Generique fraisage r2rxmm - Eugenol
lardonbis

21/06/2017 à 18h58

BA écrivait:
------------

> reste le davier et l' implant!,


pareil.
Fait disparaitre les preuves et augmente ton CA :)


super la dentisterie

21/06/2017 à 19h03

Je suis une grande stressée et après plus de 20 ans,je me dis que ce métier n'est plus pour moi....il va m'user complètement


Fear and loathing in las vegas toax7t - Eugenol
Donchico

24/06/2017 à 11h43

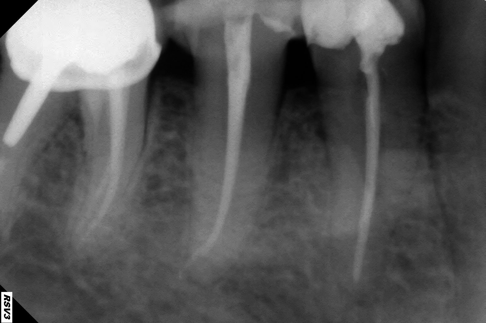
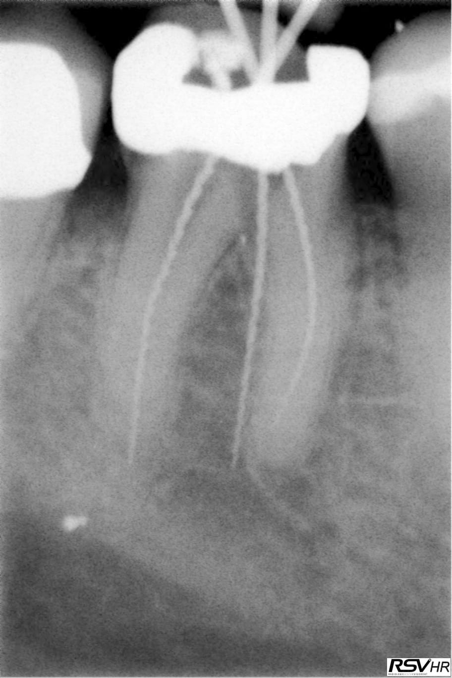
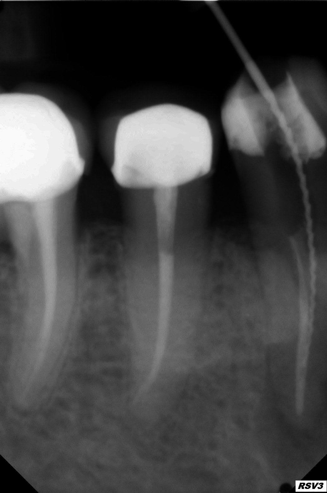
tout le monde en fait des perfos (cf article de tauromachie avec banderilles quicksleeper ailleurs sur le forum :))

Avant d'extraire la dent, je tente toujours d'obturer la perfo avec du MTA (à mes frais bien sûr et ça marche la plupart du temps parce que l'atteinte de furcation n'a pas encore été contaminée..

Exemple perfo magistrale en 2009, et radio 2013 et 2017 (on ne vois que la racine mésiale mais la furcation tient le coup.

46 2009 2 fujwq5 - Eugenol
46 2017 ra1wjf - Eugenol
46 2013 rwugpl - Eugenol
46 2009 cxmhe5 - Eugenol

super la dentisterie

24/06/2017 à 18h41

Merci pour les photos.cela ressemble à ce qui s'est passé pour moi.j'ouvre tes la chambre avec une fraise endormi z donc je n'avais jamais eu de soucis de perfo sur une ouverture de chambre.
Le souci est effectivement l'utilisation des us si on ne voit pas bien.
Tu as parfaitement regle le pb , moi je n'avais pas de mta.j'ai obture avec une pâte d'obturation canalaire .on va voir mais ca y est je redors la nuit.merci pour votre soutien