Cookie Consent byPrivacyPolicies.comYes 10 ans - Eugenol

Yes 10 ans

fgui

26/06/2017 à 19h59

merci mta

Xewropqgoi7qck4sxlty - Eugenol
B9jqgdhzybz6txs38flh - Eugenol

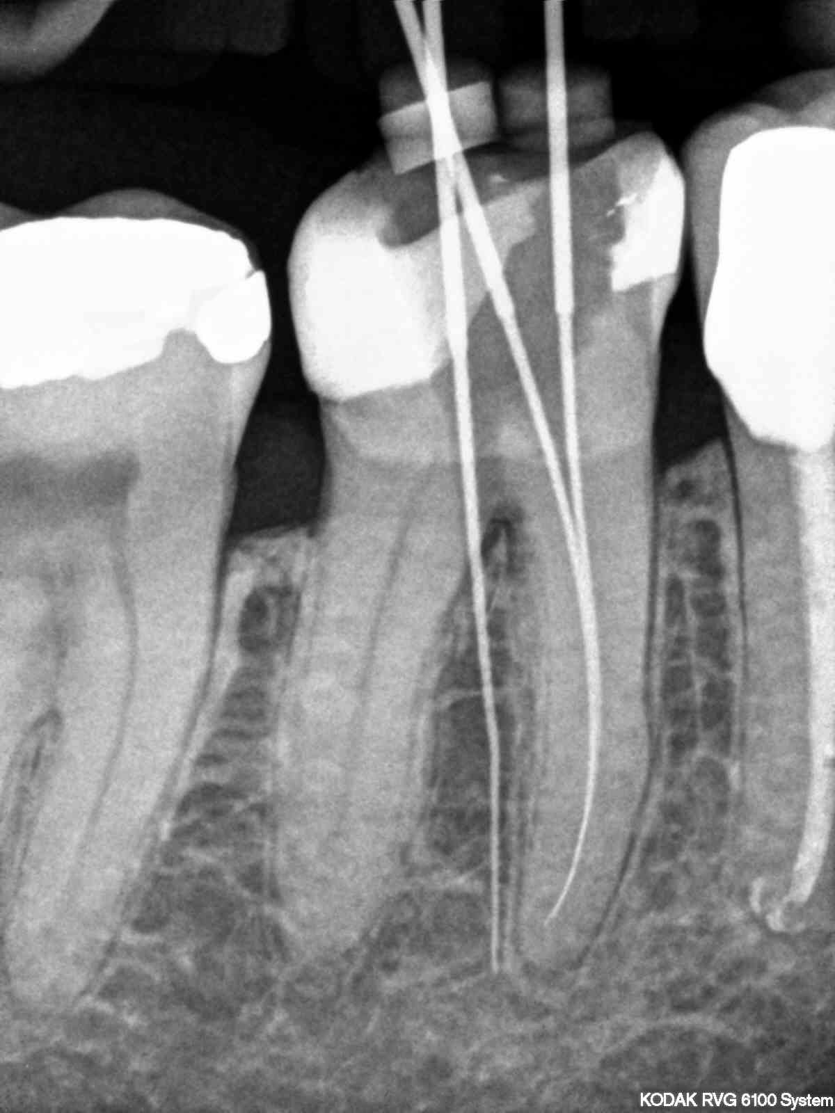
Le Rosbif

26/06/2017 à 22h00

What?? No inlay-core???!!!


Totoro ovtguw - Eugenol
T00TH

26/06/2017 à 22h06

Joli!

Par contre, il y a peut être une reprise de carie en distale !
Une nouvelle couronne et Go pour 10 ans de plus !