Cookie Consent byPrivacyPolicies.comHistoire de l'implantologie en images 😊 - Eugenol

Histoire de l'implantologie en images 😊

Utilisateur banni

05/07/2017 Ă  13h55

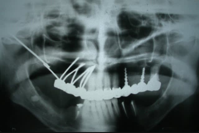
C'Ă©tait Ă  partir de quelle largeur d'os que tu pouvais mettre ça ?! Car lĂ  ça doit bien faire du 8 mm de largeur ces Implants ! Car si t'as juste 2mm de largeur d'os mĂȘme avec une expansion t'exploses les pans osseux pour mettre un tel implant

Si y en a d'autres qui ont des panos d'anciens Implants, n'hĂ©sitez pas Ă  les poster ici 😉


S2y2o1v7q53ws4r5wy6ou8czrpom - Eugenol
pxav

05/07/2017 Ă  16h26

en expansion, avec un peu (beaucoup?) d’expĂ©rience , on peu planter sur des crĂȘtes d'1 mm...,


--
xbk
"Si tous ceux qui croient avoir raison n'avaient pas tort, la vérité ne serait pas loin" Dac Pierre

Vinadelle37 tsiwwy - Eugenol
Vinadelle152 vfiug5 - Eugenol
Vinadelle86 eh0mhs - Eugenol

Generique fraisage r2rxmm - Eugenol
lardonbis

05/07/2017 Ă  16h42

le mec il ressort il a deux mandibules concentriques :)


Utilisateur banni

05/07/2017 Ă  16h44

ca je te crois
Mais pour mettre des Tatum fallait plus que 2 mm de largeur de crĂȘte, non ? Avec 2 mm t'arrivais Ă  faire une expansion pour caser des Tatum trĂšs larges (ça devait ĂȘtre du 8 mm ou plus non ?)?
Avec du 2mm de largeur de crĂȘte pourquoi pas mettre du 3,7 ou 4,2 .... mais pour un Implant de 8mm de large ?!?


Photo pluton1b h9n4ea - Eugenol
pluton

05/07/2017 Ă  16h52

les tatum sont larges mais pas trÚs épais...ce sont des implants impactés...pas vissés...;-)


Utilisateur banni

05/07/2017 Ă  17h29

ok je suis allé voir c'est 7,5 ou 10 mm étant donné ta radio mais du uniquement 3,5 en épaisseur.... donc là c'est largement faisable de caler du 3,5 sur une épaisseur de 2mm de crete aprÚs expansion . J'avais pas du tout compris qu'il y avait une épaisseur et une largeur différente


Utilisateur banni

05/07/2017 Ă  20h10

et les linkow pourquoi les avoir abandonnĂ©s ? Car c'est pas complĂštement con comme systĂšme... ça peut ĂȘtre mis dans des cretes fines


S2y2o1v7q53ws4r5wy6ou8czrpom - Eugenol
pxav

05/07/2017 Ă  20h44

juniorŸ écrivait:
-----------------
> ok je suis allé voir c'est 7,5 ou 10 mm étant donné ta radio mais du uniquement
> 3,5 en épaisseur.... donc là c'est largement faisable de caler du 3,5 sur une
> épaisseur de 2mm de crete aprÚs expansion . J'avais pas du tout compris qu'il y
> avait une épaisseur et une largeur différente


de mémoire,à l'époque D4: 7.5x4.5x20mm pour adulte seulement

il les a réduit maintenant.

--
xbk
"Si tous ceux qui croient avoir raison n'avaient pas tort, la vérité ne serait pas loin" Dac Pierre


lachmar

06/07/2017 Ă  09h27

juniorŸ écrivait:
-----------------
> et les linkow pourquoi les avoir abandonnés ? Car c'est pas complÚtement con
> comme systĂšme... ça peut ĂȘtre mis dans des cretes fines


parceque Brannemark a tout ecrasé dans les années 90

et que tous les budgets R&D sont allés sur les vis titane et l'osteointegrationdu TiA6V

d'autres systÚmes prometteurs ont été mis de cÎté (encore que ca semble bouger avec Straumann qui reprend le systÚme sadau amélioré)


Utilisateur banni

06/07/2017 Ă  22h06

1947 implant de Fomiggini en tantale

Img 1241 mlvhxd - Eugenol

Utilisateur banni

06/07/2017 Ă  22h10

1964 Chercheve sort son Implant En chrome cobalt -> Et on remarquera que c'est Ă  peu de chose prĂšs quasi Le mĂȘme que Formiggini

Img 1242 pklray - Eugenol

Utilisateur banni

06/07/2017 Ă  22h15

1949 Implant de golberg Et gershkoff sous periosté

Et là En photo c'est Linkow qui a repris l'idée et qui a fait du sous periosté aussi

Img 1243 uoqn6w - Eugenol

Utilisateur banni

06/07/2017 Ă  22h27

1950-1980 petit résumé de ce qu'on pouvait faire. Du Dahl et Linkow

Img 1244 vxvvx8 - Eugenol

Utilisateur banni

07/07/2017 Ă  06h29

1943 Implant "bouton" et attachement pour complet de Dahl

Img 1254 owaioq - Eugenol
Img 1255 xiaigt - Eugenol

Utilisateur banni

07/07/2017 Ă  06h37

jusque dans les annĂ©es 80 : On a eu toute une sĂ©rie d'implants Linkow . Y en a toute une collection comme une collection de bijoux 😊

Img 1256 exies0 - Eugenol

Utilisateur banni

07/07/2017 Ă  06h45

Et lĂ  c'est les Implants de Scialom En tantale puis titane : intĂ©rĂȘt on pouvait Ă©viter les structures anatomiques

Lachmar si tu regardes -> regarde la derniĂšre photo , y en a un qui a rallongĂ© un scialom 😊. Une idĂ©e de gĂ©nie ^^

D'ailleurs comment ça se mettait ? Ils les vissaient directement dans l'os ?!?!? Sans prĂ©paration avec des forĂȘts ?

Img 1250 by0ulf - Eugenol
Img 1245 llgo28 - Eugenol
Img 1249 tlffvn - Eugenol
Img 1251 nutlcq - Eugenol
Img 1252 mvt1kt - Eugenol
Img 1246 hr61cm - Eugenol

Photo pluton1b h9n4ea - Eugenol
pluton

07/07/2017 Ă  07h29

sans forage, Ă  la "masse" (au maillet...;-))


Fond net de dent 1270 86 cyav5h - Eugenol
Dr_EG

07/07/2017 Ă  08h15

pluton écrivait:
----------------
> sans forage, Ă  la "masse" (au maillet...;-))

... et soudure en bouche pour faire tenir la prothĂšse ... đŸ‘“đŸŽ†đŸŽ‡đŸ”©

--


Suite Ă  l'Ă©chec des nĂ©gociations conventionnelles et la mise en place d'un rĂšglement arbitral, seriez-vous prĂȘt Ă  suivre la promotion d'un dĂ©conventionnement massif de la profession par les syndicats reprĂ©sentatifs ? OUI - NON
Participez, anonymement, sur https://goo.gl/forms/nAO0htnsVmxotjYm1

Calculez votre impact financier du rĂšglement arbitral sur : https://docs.google.com/spreadsheets/d/1TI0-w878rn7kdnDafB5qWfq-4RWbKjeESZWv9TC0t80/edit?usp=sharing


Utilisateur banni

07/07/2017 Ă  09h16

Tiens celle ci c'est pour pxav :
1970 Implant développé par les docteurs Roberts -> Implant ramique et symphysaire

Img 1259 bcan1b - Eugenol

Utilisateur banni

07/07/2017 Ă  09h35

1938 : Strock posa Le premier implant sous forme de vis qui est resté en bouche 17 ans ( implant en Vitalium) . Et on remarquera qu'il ressemble étrangement pour beaucoup aux Implants modernes. En 1937-38 ils avaient déjà presque tout compris.

Img 1263 inqaoi - Eugenol

S2y2o1v7q53ws4r5wy6ou8czrpom - Eugenol
pxav

07/07/2017 Ă  09h43

juniorŸ écrivait:
-----------------
> Tiens celle ci c'est pour pxav :
> 1970 Implant développé par les docteurs Roberts -> Implant ramique et
> symphysaire

pour moi, c'est du Tatum, si tu veux, il m'en reste un...mais à poser ça reste hot....
--
xbk
"Si tous ceux qui croient avoir raison n'avaient pas tort, la vérité ne serait pas loin" Dac Pierre

Img 5828 sggrfq - Eugenol
Img 5829 wayugg - Eugenol
Img 5830 vyxhar - Eugenol

S2y2o1v7q53ws4r5wy6ou8czrpom - Eugenol
pxav

07/07/2017 Ă  09h48

juniorŸ écrivait:
-----------------
> 1949 Implant de golberg Et gershkoff sous periosté
>
> Et là En photo c'est Linkow qui a repris l'idée et qui a fait du sous periosté
> aussi

J'ai commencé par ça, du sous périosté, palais décollé à 8 heures le prothésiste venait sur place, repartait avec l'empreinte, et pose le soir ou le lendemain matin....une autre époque....
--
xbk
"Si tous ceux qui croient avoir raison n'avaient pas tort, la vérité ne serait pas loin" Dac Pierre


Generique fraisage r2rxmm - Eugenol
lardonbis

07/07/2017 Ă  10h54

pxav écrivait:
--------------

> venait sur place, repartait avec l'empreinte, et pose le soir

avec encore des petits bouts de revĂȘtement partout ? :D


Utilisateur banni

07/07/2017 Ă  12h01

Pour les sous periostĂ©s, ça tenait bien Pxav ? Car En gros ça tenait sur l'os ... c'est la gencive qui maintenait le tout si je comprends bien .... pour peu qu'on est une gencive fine ! C'Ă©tait complĂštement immobile ? Ou la prothĂšse bougeait un petit peu quand mĂȘme ? Quelle Ă©tait la durĂ©e de vie de ce type d'implant?


S2y2o1v7q53ws4r5wy6ou8czrpom - Eugenol
pxav

07/07/2017 Ă  12h34

L'avenir dira peut ĂȘtre, grĂące Ă  la cadcam, que le juxta osseux c’est une bonne solution pour certain cas.
le principe en gros c’était de faire une plaque rĂ©tentive si possible donc mieux adaptĂ©e Ă  des Ă©dentĂ©s complet.
durée de vie? j'ai participé à la dépose de deux juxta complet posés par Chercheve, qui avaient plus de trente ans, mais des partiels de moins d'un an aussi...
Certaines plaques d'implantologie basale, sont trÚs fortement inspirées des juxtas et ça marche (je suppose car je n'en fait pas)
--
xbk
"Si tous ceux qui croient avoir raison n'avaient pas tort, la vérité ne serait pas loin" Dac Pierre


123...