Cookie Consent byPrivacyPolicies.comCalcifications glandes + hypertrophie gingivale - Eugenol

Calcifications glandes + hypertrophie gingivale médicamenteuse?

Herood

06/07/2017 à 08h40

Bonjour,

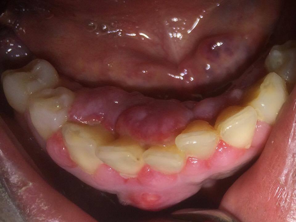
Patiente 47 ans d'origine africaine est adressé par son médecin traitant pour une hyperplasie gingivale en secteur antérieur mandibulaire.
médicaments : amlodipine+valsartant(pour HTA), substitut hormonal (contraceptif optimizette), oméprazole (HTA).

Je pense à une hyperplasie gingivale d'origine médicamenteuse (inhibiteur calcique) sur facteurs locaux aggravants (mauvaise HBD, maladie parodontale chronique)

De plus, on distingue 2 radio opacités en secteur 3 et 4. A quoi cela correspond? Calcifications des glandes salivaires?

Merci d'avance pour vos réponses

Un1bjmpja7z1pxgoaung - Eugenol
Uc4q29p45vkz760btzje - Eugenol
Slfcro7lyw6krb9mf86c - Eugenol
Uiy7qyzpbcg7dishwv7m - Eugenol

Dsc05680 medium aphmfg - Eugenol
BasArtDentaire

06/07/2017 à 08h50

En premier lieu je dirais radios rétroalvéolaires du secteur incisif mandibulaire et de la 14.

La panoramique n'est pas lisible et laisse plus imaginer que diagnostiquer sur ces deux points en particulier.


Dsc 0094 rkrzoz - Eugenol
Guillaume T

07/07/2017 à 06h58

Les hypertrophies gingivales sous dihydropyridine ( Inhibiteur calciques ) ne sont pas si rares.
Je viens d'avoir un cas assez récent où on ne distinguait plus que le bord libre des incisives sup.
Il faut évidemment faire une anamnèse complète du cas et savoir s'il n'y pas eu également un immunosuppresseur ou une pathologie "connexe" .
ayant accès au dossiers médicaux ça a été assez simple pour mon cas.
Il faudrait revoir la physio patho mais je crois que ces hypertrophies récidivent beaucoup moins s'il n'y pas d'agression bactérienne concommittante.
En tous les cas, on gagne évidemment à procéder à une thérapeutique initiale rigoureuse allant dans ce sens.
Ensuite, si l'on opte pour une gingivectomie à biseau interne ( qui pourra ne pas avoir l'assentiment des puristes ) il faut bien faire attention avant de définir son tracé cervical et son contour papillaire a virer le tissu de granulation AVANT de faire les finitions.


Herood

12/07/2017 à 00h06

BasArtDentaire écrivait:
------------------------
> En premier lieu je dirais radios rétroalvéolaires du secteur incisif
> mandibulaire et de la 14.
>
> La panoramique n'est pas lisible et laisse plus imaginer que diagnostiquer sur
> ces deux points en particulier.


Il y a bel et bien des foyers infectieux en regard de 14 et des incisives mandibulaires visibles sur la panoramique.
(désolé pour la qualité c'est une photo d'écran d'ordinateur...)


Herood

12/07/2017 à 00h11

Guillaume T écrivait:
---------------------
> Les hypertrophies gingivales sous dihydropyridine ( Inhibiteur calciques ) ne
> sont pas si rares.
> Je viens d'avoir un cas assez récent où on ne distinguait plus que le bord libre
> des incisives sup.
> Il faut évidemment faire une anamnèse complète du cas et savoir s'il n'y pas eu
> également un immunosuppresseur ou une pathologie "connexe" .
> ayant accès au dossiers médicaux ça a été assez simple pour mon cas.
> Il faudrait revoir la physio patho mais je crois que ces hypertrophies
> récidivent beaucoup moins s'il n'y pas d'agression bactérienne concommittante.
> En tous les cas, on gagne évidemment à procéder à une thérapeutique initiale
> rigoureuse allant dans ce sens.
> Ensuite, si l'on opte pour une gingivectomie à biseau interne ( qui pourra ne
> pas avoir l'assentiment des puristes ) il faut bien faire attention avant de
> définir son tracé cervical et son contour papillaire a virer le tissu de
> granulation AVANT de faire les finitions.



J'ai eu accès à l'anamnèse & ATCDs médicaux de la patiente par un courrier provenant de son médecin traitant. Pas d'immunosuppresseur ou de pathologies associées si ce n'est celles sus citées.
J'ai prescrit antibiobithérapie (AMOX FLAGYL) et réaliser l'EHO en prescrivant le matériel adéquat.
J'attends le rdv de réévaluation pour reprendre des photos et continuer le traitement (TE ou RTE des dents causales + det/surfa) ainsi que prendre contact avec son medecin traitant (+ prendre rétro alvéolaire au niveau des radio opacités secteur 3 & 4)
Je posterais la suite

Merci


Herood

24/07/2017 à 23h34

Au rdv de réévaluation, l'hypertrophie gingivale s'est nettement résorbée. La thérapeutique est favorable.
Toujours pas de réponse à ce jour de son médecin traitant.
La patiente a été adressée à un omni pour TE des dents nécrosées causales (42-41-31) et thérapeutique initiale parodontale.
Je ne dispose pas sous les main des rétros.
Je posterais l'évolution.

20370470 10155586085364771 1658671376 n cs4iob - Eugenol