Cookie Consent byPrivacyPolicies.comc'est quoi la marque de ses implants ? - Eugenol

c'est quoi la marque de ses implants ?

Ibiza69

06/07/2017 à 11h28

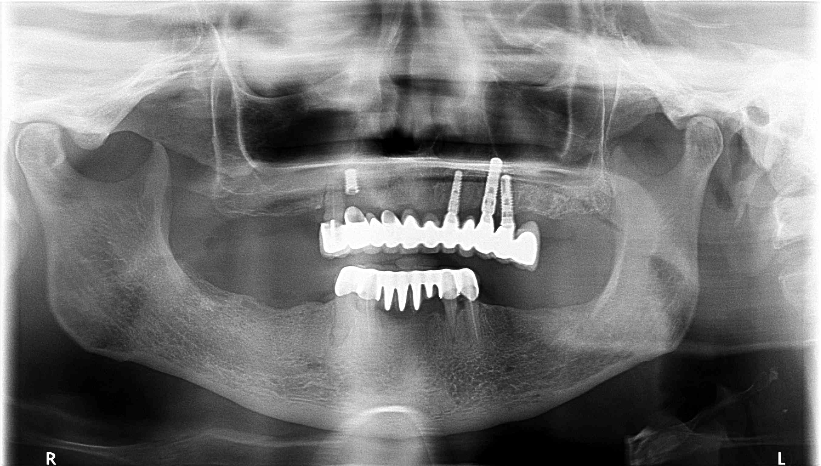
Bonjour pouvez vous m'aider à retrouver la marque de ses implants posés il y 7 ans

Merci

Ealcuoxwz5jodh6726sr - Eugenol

Photo pluton1b h9n4ea - Eugenol
pluton

06/07/2017 à 11h36

comme d'hab...rétro svp!!!