Cookie Consent byPrivacyPolicies.comavis plan de traitement - Eugenol

avis plan de traitement

matouille74

31/07/2017 à 12h49

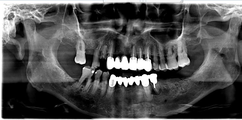
Bonjour j'ai un patient de 70 ans qui vient d'être traité pour un cancer orl, hygiène bucco dentaire pas terrible mais il a arrêté le tabac.

J'hésite un peu pour le plan de traitement pour le maxillaire.

En bas je pense extraire 46 et 34 et stelite ou implant

En haut il faut extraire 14 15 21 22. Les plans de traitement seraient:

- cr sur 13 et 23 + implants 12 22 et 14 16, mais pour le moment il n'a pas un super état général.
- cr sur 13 et 23 + stelite mais les crochets risquent de vite venir à bout de 13 et 23...
- grand bridge de 17 à 23 sur trois dents... ça me semble un peu holé holé... y en a t'ils parmis vous qui font ce type de bridge et je peux espérer faire tenir ça combien de temps...

Merci


matouille74

31/07/2017 à 12h50

voici la pano!

Pano ttt proth uysngm - Eugenol

Dolan donald duck weird wqjham bw43ju - Eugenol
GéPé

31/07/2017 à 12h58

matouille74 écrivait:
---------------------

> - cr sur 13 et 23 + implants 12 22 et 14 16, mais pour le moment il n'a pas un
> super état général.

Donc non

> - cr sur 13 et 23 + stelite mais les crochets risquent de vite venir à bout de
> 13 et 23...

Donc non.

> - grand bridge de 17 à 23 sur trois dents...

Surtout pas non.

De rien.

P.S. : fais des rétro, tu risques d'avoir des surprises.


S2y2o1v7q53ws4r5wy6ou8czrpom - Eugenol
pxav

31/07/2017 à 13h04


si cancer orl, je suppose radiothérapie et ou chimio donc avant extrac., quel est l'avis du cancero, il peut y avoir contrindications.

--
xbk
"Si tous ceux qui croient avoir raison n'avaient pas tort, la vérité ne serait pas loin" Dac Pierre


3395 40 umvzjn - Eugenol
Aspius

31/07/2017 à 14h21

Tu fais un courrier à l'oncologue/ORL qui suit le patient, dans lequel tu consignes les résultats de ta recherche de foyer infectieux, et les dents dont tu préconises l'extraction.

Idéalement cela aurait du être fait avant chimio/radio, mais le plus souvent le passage par cette étape est court-circuitée faute de temps.


P2eqdh3csim6s7nb09ktdq3e7ev8 - Eugenol
barbabapat

31/07/2017 à 14h25

Compliqué sans avoir tous les éléments nécessaires au diagnostique.

Si tu as un espoir faible de survie des 13 et 23, alors pourquoi ne pas conserver les couronnes existantes en coupant proprement le bridge.

De même, si elles ont une survie faible aller vers de la pré PAC en gardant les dents restantes pour permettre au patient de s'approprier l'appareil avent de rajouter les dernières dents dessus.

Enfin, bien avoir les zones d'irradiation ou tous les éléments de son traitement cancero ORL avant d'envisager un traitement qui peu nécessiter de modifier sa façon de travailler.


matouille74

31/07/2017 à 15h22

C'est vrai j'avais pas pensé à cette option de garder son bridge en ne refaisant que les fm sur 13 et 23 ça pourrait être une solution qui pourrait le dépanner et stelites post.

Merci les gars


145 kssowa - Eugenol
Chicot30

19/09/2017 à 15h42

Si radio thérapie ORL attention aux extractions tu as un fort risque de nécrose c'est le problème principal malheureusement. Donc si on peut on évite au max les extractions. (et les anesthésies adrénalinées)


--
"C'est parce que la vitesse de la lumière est supérieure à celle du son que certains paraissent brillants avant d'avoir l'air cons."