Cookie Consent byPrivacyPolicies.comDésobturation 46 - Eugenol

Désobturation 46

Sigyn

02/08/2017 à 16h51

Bonjour à tous,

J'ai commencé à réaliser la désobturation d'une 46 où les canaux ont été obturés avec un matériau très dur (gutta ancienne?).
Venue à bout des deux canaux distaux, je peine à arriver à désobturer les parties "terminales" des mv et ml (je n'ai pas voulu forcer au risque de créer une fausse voie).
Comme limes, je dispose de R25 (ce que j'ai utilisé) et de limes manuelles.
Comment feriez-vous dans ce cas? Vos conseils seraient les très bien venus.
Merci d'avance!

Urafoqsr6ekxvtcovdk0 - Eugenol
Kwamdh4uyu3zbdpdorxh - Eugenol

Hok 1b hgd3rj - Eugenol
Hokusai

02/08/2017 à 17h08

Tu as essayé d'utiliser un solvant ?


lachmar

02/08/2017 à 17h18



ca ressembleplus à quelque chose de cassé qu'a de la gutta

la gutta ne resiserait pas au R25

quelle était l'indication de la reprise de traitement ?


dent2669

02/08/2017 à 18h26

Instruments cassés ! c'est sûr !


Sigyn

02/08/2017 à 19h27

Merci beaucoup pour vos réponses!


Hokusai écrivait:
-----------------
> Tu as essayé d'utiliser un solvant ?

J'y ai pensé mais malheureusement il n'y a pas d'Eucalyptol au cabinet. Je vais voir si je peux en commander car pour les retraitements ça peut vraiment aider.

lachmar écrivait:
-----------------
>
>
> ca ressembleplus à quelque chose de cassé qu'a de la gutta
>
> la gutta ne resiserait pas au R25
>
> quelle était l'indication de la reprise de traitement ?


Oui c'est ça, je ne suis pas certaine que ce soit de la gutta, c'était un matériau très dur et à la pano assez radio-opaque...
Vous pensez vraiment qu'il y a casse?
Que feriez-vous?


Avatar eugenol pe0ymx - Eugenol
nicklebenou

02/08/2017 à 19h32

Sigyn écrivait:
---------------
> Merci beaucoup pour vos réponses!
>
>
> Hokusai écrivait:
> -----------------
> > Tu as essayé d'utiliser un solvant ?
>
> J'y ai pensé mais malheureusement il n'y a pas d'Eucalyptol au cabinet. Je vais
> voir si je peux en commander car pour les retraitements ça peut vraiment aider.
>
> lachmar écrivait:
> -----------------
> >
> >
> > ca ressembleplus à quelque chose de cassé qu'a de la gutta
> >
> > la gutta ne resiserait pas au R25
> >
> > quelle était l'indication de la reprise de traitement ?
>
>
> Oui c'est ça, je ne suis pas certaine que ce soit de la gutta, c'était un
> matériau très dur et à la pano assez radio-opaque...
> Vous pensez vraiment qu'il y a casse?
> Que feriez-vous?


Tu as au moins un instrument cassé en mésio lingual et possible en mésio vestibulaire.
Adresse à un endodontiste, sauf si tu arrives à by passer avec limes manuelles...


Tozzi

02/08/2017 à 20h52

Bypasser çà c'est la perfo assurée.
Si pas de lésion ne pas forcer à vouloir aller au bout...


Avatar eugenol pe0ymx - Eugenol
nicklebenou

02/08/2017 à 21h08

Tozzi écrivait:
---------------
> Bypasser çà c'est la perfo assurée.
> Si pas de lésion ne pas forcer à vouloir aller au bout...

pas d'accord, tu évases ton tiers supérieur et tu sens très vite si tu peux by passer avec une petite lime manuelle. SI pas de passage au bout de 10 min pas la peine de continuer.
J'ai déjà eu des cas avec des bris instrumentaux à mi racine où j'ai pu faire un by pass sans vraiment prendre de risque.
ça n'est que mon avis


Tozzi

02/08/2017 à 22h57

Tu dois être doué alors car là les racines sont pas très larges il suffit de dévier un peu et hop la dent byebye.
Si un instrument est cassé même à mi-racine il est complètement bloqué dedans il faut passer à côté mais sans continuer tout droit pour reprendre le canal.
Je te parie ce que tu veux que là tu n'y arriverais pas.


Avatar eugenol pe0ymx - Eugenol
nicklebenou

03/08/2017 à 00h00

Tozzi écrivait:
---------------
> Tu dois être doué alors car là les racines sont pas très larges il suffit de
> dévier un peu et hop la dent byebye.
> Si un instrument est cassé même à mi-racine il est complètement bloqué dedans il
> faut passer à côté mais sans continuer tout droit pour reprendre le canal.
> Je te parie ce que tu veux que là tu n'y arriverais pas.

Je dis juste que pour un omni praticien on peut toujours tenter un by pass sans prendre trop de risque. Un flare ou un gâtes pour évader un peu d edta quelque minutes ( pas plus pour éviter fausses routes) et de temps en temps ça passe.
Si tu ne passes pas très vite à côté tu dois le faire déposer et à part un endodontiste exclusif sous microscope tu n as rien d autre à faire qu a adresser.
J ai eu plusieurs cas comme celui qu and j étais au du d endo . où nous n avions qu un microscope pour 6 ou 7 donc bon. Quand tu as du niti dans une courbure tu passes pas mais sur cette radio honnêtement moi je sais pas ce que c est comme instrument cassé .
Voilà tout


Tozzi

03/08/2017 à 07h57

Peut-être mais dans ce cas précis le canal est calcifié dans la partie apicale.
Un bypass n'est pas risqué que sur une racine large avec la partie apicale du canal bien visible.
Tu vas prendre un risque incalculable pour qqch qui n'a aucune chance de réussir et même peut-être inutile s'il n'y a pas de lésion.


lachmar

03/08/2017 à 09h16

Tozzi écrivait:
---------------
> Peut-être mais dans ce cas précis le canal est calcifié dans la partie apicale.
> Un bypass n'est pas risqué que sur une racine large avec la partie apicale du
> canal bien visible.
> Tu vas prendre un risque incalculable pour qqch qui n'a aucune chance de réussir
> et même peut-être inutile s'il n'y a pas de lésion.

les exclusifs ont été inventés pour ce genre de cas
-si ils parviennent a quelque chose tu es un sauveur de dents
-si ils ne parviennent a rien (ce qui arrive) tu parais moins bete )


Index vakr2r - Eugenol
pgc

03/08/2017 à 09h50

Sigyn écrivait:
---------------
> > Comment feriez-vous dans ce cas?


Dans ce cas en l'absence de symptomatologie et de lésion apicale je n'aurais même pas essayé de retraiter mais je suis un vieux sagouin désabusé par deux décennies d'exercice sous convention à des tarifs de misère donc cet avis ne vaut pas grand chose.
Tu as fait un très joli travail en distal, en mésial un peu d'essence d'orange disponible à bas prix dans toutes les pharmacies peut être utile s'il s'agit de ciment eugénol et de gutta. Sinon: adresse, ou: referme et fais une couronne.


Index vakr2r - Eugenol
pgc

03/08/2017 à 09h55

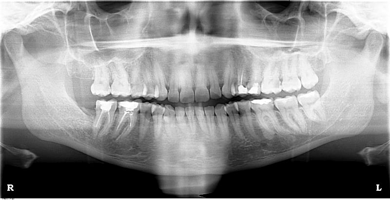
A noter: caries en distal de 26 et 36, mésial de 17?, 24 et 25 menaçant de s'effondrer nécessitent aussi ton attention.
Tu te paieras de tes bons soins en couronnant 47, 46, 24 et 25.


--
Ne met pas tes doigts dans la Convention! Tu risques de te faire pincer très fort.


Capture d  cran 2015 03 12 12.28 - Eugenol
chicot29

03/08/2017 à 12h53

lachmar écrivait:
-----------------
> Tozzi écrivait:
> ---------------
> > Peut-être mais dans ce cas précis le canal est calcifié dans la partie
> apicale.
> > Un bypass n'est pas risqué que sur une racine large avec la partie apicale du
> > canal bien visible.
> > Tu vas prendre un risque incalculable pour qqch qui n'a aucune chance de
> réussir
> > et même peut-être inutile s'il n'y a pas de lésion.
>
> les exclusifs ont été inventés pour ce genre de cas
> -si ils parviennent a quelque chose tu es un sauveur de dents
> -si ils ne parviennent a rien (ce qui arrive) tu parais moins bete )

US sous microscope pour virer ca ? A l'aveugle c'est sur que tu fasses une connerie. -)

--
En cas d'échec des négociations conventionnelles, seriez-vous prêt à suivre la promotion d'un déconventionnement massif de la profession par les syndicats représentatifs ? OUI - NON
Participez, anonymement, sur https://goo.gl/forms/nAO0htnsVmxotjYm1


Sigyn

06/08/2017 à 19h35

Je vous remercie beaucoup pour vos réponses! La discussion est très intéressante!

nicklebenou écrivait:
---------------------
> Tozzi écrivait:
> ---------------
> > Tu dois être doué alors car là les racines sont pas très larges il suffit de
> > dévier un peu et hop la dent byebye.
> > Si un instrument est cassé même à mi-racine il est complètement bloqué dedans
> il
> > faut passer à côté mais sans continuer tout droit pour reprendre le canal.
> > Je te parie ce que tu veux que là tu n'y arriverais pas.
>
> Je dis juste que pour un omni praticien on peut toujours tenter un by pass sans
> prendre trop de risque. Un flare ou un gâtes pour évader un peu d edta quelque
> minutes ( pas plus pour éviter fausses routes) et de temps en temps ça passe.
> Si tu ne passes pas très vite à côté tu dois le faire déposer et à part un
> endodontiste exclusif sous microscope tu n as rien d autre à faire qu a
> adresser.
> J ai eu plusieurs cas comme celui qu and j étais au du d endo . où nous n
> avions qu un microscope pour 6 ou 7 donc bon. Quand tu as du niti dans une
> courbure tu passes pas mais sur cette radio honnêtement moi je sais pas ce que c
> est comme instrument cassé .
> Voilà tout


Je suis têtue Tozzi, je vais essayer la méthode de nicklebenou. Mais comme tu dis, pas plus de 10 min et avec beaucoup de prudence.
Donc évaser avec un Gates l'entrée du canal (il n'y a pas d'endo flare malheureusement au cabinet), puis Glyde, et lime 6 ou 8 pour essayer de bypasser?


pgc écrivait:
-------------
> Sigyn écrivait:
> ---------------
> > > Comment feriez-vous dans ce cas?
>
>
> Dans ce cas en l'absence de symptomatologie et de lésion apicale je n'aurais
> même pas essayé de retraiter mais je suis un vieux sagouin désabusé par deux
> décennies d'exercice sous convention à des tarifs de misère donc cet avis ne
> vaut pas grand chose.
> Tu as fait un très joli travail en distal, en mésial un peu d'essence d'orange
> disponible à bas prix dans toutes les pharmacies peut être utile s'il s'agit de
> ciment eugénol et de gutta. Sinon: adresse, ou: referme et fais une couronne.

Merci beaucoup ;) Je ne connaissais pas l'essence d'orange, en plus je peux me la procurer dès demain (je ne pense pas être livrée à temps pour l'Eucalyptol). J'en mettrai dans les canaux avant d'essayer le bypass.

La patiente vient mardi, je vous tiendrai au courant en espérant une bonne nouvelle!

Encore merci à tous! Toujours sympa d'échanger avec des confrères :)


Sigyn

11/08/2017 à 09h25

Bonjour à tous,

Voilà hélas je n'ai pas réussi à déloger les 2 instruments cassés récalcitrants et ai du obturer en l'état.
Un peu dégoûtée mais bon...
En tout cas je vous remercie à tous pour vos réponses ;)


Capture d  cran 2015 03 12 12.28 - Eugenol
chicot29

11/08/2017 à 09h33

Tu n'as plus qu'à te venger sur la 47. -)


--
En cas d'échec des négociations conventionnelles, seriez-vous prêt à suivre la promotion d'un déconventionnement massif de la profession par les syndicats représentatifs ? OUI - NON
Participez, anonymement, sur https://goo.gl/forms/nAO0htnsVmxotjYm1


Sigyn

14/08/2017 à 14h20

Ah justement la 47...
En fait sur la 47 il y a juste un compo occlusal et la dent est asymptomatique (endo faite il y a plusieurs années, sans souci). J'ai dit à la patiente qu'il n'était pas nécessaire d'intervenir qu'on surveillerai juste...
Etes-vous d'accord?


Blue eye thumb medium dx1i0w - Eugenol
bill

14/08/2017 à 16h20

J'ai du mal à comprendre.
Tu as dû passer plusieurs séances sur la 46 pour rien, la 47 est dans le même état, probablement plus facile, mais elle se fracturera ou créera un pb endo à terme.
Tu reprends le traitement et tu couronnes, accessoirement tu rends service au patient et tu gagnes ta vie.
A moins que tu ne bosses que pour la gloire ? ;-)


Capture d  cran 2015 03 12 12.28 - Eugenol
chicot29

15/08/2017 à 14h01

Sigyn écrivait:
---------------
> Ah justement la 47...
> En fait sur la 47 il y a juste un compo occlusal et la dent est asymptomatique
> (endo faite il y a plusieurs années, sans souci). J'ai dit à la patiente qu'il
> n'était pas nécessaire d'intervenir qu'on surveillerai juste...
> Etes-vous d'accord?

Oui tu laisses en l'état tant que ca ne pique que les yeux.Pas prendre le risque de foirer sans signe d'appel Pourquoi as tu fait un RTE sur 46 ?

--
En cas d'échec des négociations conventionnelles, seriez-vous prêt à suivre la promotion d'un déconventionnement massif de la profession par les syndicats représentatifs ? OUI - NON
Participez, anonymement, sur https://goo.gl/forms/nAO0htnsVmxotjYm1


S8ysxdzhdqgw00w4q6m07a5d47q2 - Eugenol
Gai-Luron

15/08/2017 à 15h29

pgc écrivait:
-------------
> A noter: caries en distal de 26 et 36, mésial de 17?, 24 et 25 menaçant de
> s'effondrer nécessitent aussi ton attention.
> Tu te paieras de tes bons soins en couronnant 47, 46, 24 et 25.


c'est ce qu'elle demande???


Pierre logo clykpp - Eugenol
Denteo33

16/08/2017 à 15h03

Et pkoi pas :
- RTE sur 47
- RTE racine distale de 46
- extraction de la racine mésiale de 46 avec séparation des racines
- couronnes solidarisées sur 47-46