Tous les forums
Balancer la purée sous haute pression :-)
30/08/2017 à 19h05
Je pense que je ne dois pas être le seul à qui ça arrive . Mais de temps en temps on cherche désespérément les 2-3 mm qui manquent. Et c'est là qu'on réalise un faux canal...
Imaginons que vous n'arrivez pas à aller jusqu'à l'apex, que faites vous d'une part pour être certain d'irriguer comme il faut jusqu'à l'apex, et d'autre part pour être sûr de balancer la purée à fond les baloches jusqu'à l'apex ?
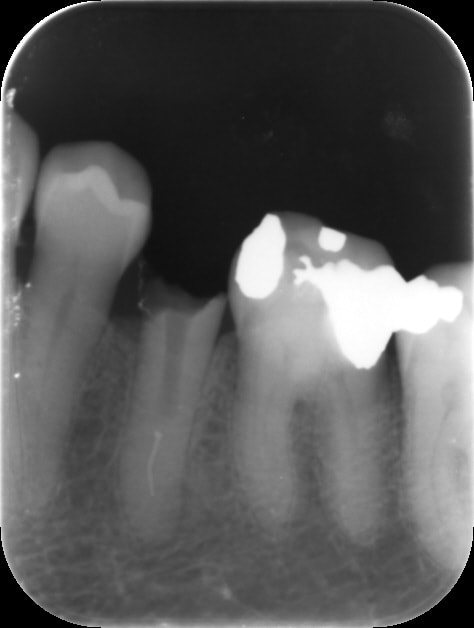
petit exemple où je n'ai pas été foutu d'instrumenter jusqu'à l'apex et où j'ai balancé la purée en profondeur. J'ai mis un petit amalgame pour faire plaisir à Gépé le temps que ça cicatrise.
30/08/2017 à 19h33
La nanotechnologie avec des nano-billes intelligentes qui trouveront leurs chemins comme des grandes, junior. :-) Mets ca au point et ta fortune est faite!
En attendant des jours meilleurs , EDTA, lime de 8 manuelle au debut, et à la grâce du Grand Machin.
Ton traitement n'est déjà pas si mal...
30/08/2017 à 19h52
Hokusai écrivait:
-----------------
> Tu utilises quel ciment ??
Du top Seal, mélange pâte pâte. Je n'aime pas du tout le mélange poudre liquide
30/08/2017 à 20h49
perfo... avec le gold reciproc et l'apex stop, c'est pas facile à faire.
Huile de coude, K0.6/ 0.8 glyde, broches rotatives diverses et variées (r25, protapers).
Gutta condensor comme un bourrin et "à dieu vat!".--
30/08/2017 à 21h14
junior® écrivait:
-----------------
> Hokusai écrivait:
> -----------------
> > Tu utilises quel ciment ??
>
> Du top Seal, mélange pâte pâte. Je n'aime pas du tout le mélange poudre liquide
>
-----------------
J aime pas depasser avec des ciments resine epoxy... j utilise le ah plus jet c est un peu comme le topseal. Ca se resorbent les puffs de ciment a base de resine ??
30/08/2017 à 21h40
Je regardais ta radio... t es pas encore RA ready... fallait faire ex 35 tr 36 bridge chinois 34 35 36 en one shot (avec ic sur 36 of course)
30/08/2017 à 21h54
Très bonne question soulevée .
Ce n'est pas forcément ce qui est le plus resorbable. Ceci étant j'ai déjà eu des cas où tout se résorbait. Quoique ! Ce n'est pas parce qu'on n'en voit plus à la radio, que forcément il n'y en a plus.
Pour être très sincère je voulais poser un implant dans ce cas, mais bon la patiente veut absolument essayer de conserver sa dent et ne pas avoir d'implant. Donc j'essaie de conserver au maximum et de ne pas avoir le davier facile.
01/09/2017 à 13h58
junior® écrivait:
-----------------
> Très bonne question soulevée .
> Ce n'est pas forcément ce qui est le plus resorbable. Ceci étant j'ai déjà eu des cas où tout se résorbait. Quoique ! Ce n'est pas parce qu'on n'en voit plus à la radio, que forcément il n'y en a plus.
>
Et qu'est-ce qui justifie l'utilisation d'un ciment "résine epoxy"? Les + stp Junior? Au moins c'est pas toxique, c'est pas comme le compo? Y a t'il une rétraction de polymérisation?
01/09/2017 à 14h07
vulpi écrivait:
---------------
> Et qu'est-ce qui justifie l'utilisation d'un ciment "résine epoxy"?
---------------
Selon les dernières études, ils possèdent des propriétés supérieures (étanchéité, solubilité...).
Le turfu serait les ciments biocéramiques... le top du top... le prix aussi c'est le top du top.
01/09/2017 à 15h00
Elles sont payées par qui les études?-)
C'est la rétraction de polymérisation qui m'intéresse... si elle existe.
Le Junior ne répond pas, il doit faire sa pré-rentrée :-))
01/09/2017 à 15h54
vulpi écrivait:
---------------
> junior® écrivait:
> -----------------
> > Très bonne question soulevée .
> > Ce n'est pas forcément ce qui est le plus resorbable. Ceci étant j'ai déjà eu des cas où tout se résorbait. Quoique ! Ce n'est pas parce qu'on n'en voit plus à la radio, que forcément il n'y en a plus.
> >
> Et qu'est-ce qui justifie l'utilisation d'un ciment "résine epoxy"? Les + stp Junior? Au moins c'est pas toxique, c'est pas comme le compo? Y a t'il une rétraction de polymérisation?
Tu sais que c'est pas la première fois que j'en balance comme ça à l'apex. C'est comme une signature ^^ du genre "junior est passé par là . Il n'a pas été foutu d'instrumenter jusqu'à l'apex, du coup il a balancé la purée ".
Non je dis juste que dire que les compos sont moins toxiques que les amalgames, c'est une belle connerie ... N'empêche est ce qu'il est dit aux jeunes étudiants parisiens que l'amalgame présente un taux d'échec moindre que les composites ? Pas certain
Je suis même sûr qu'ils préfèrent mettre sur leur parents des compos sur les dents postérieures.... tellement le lavage de cerveau a été efficace.
Sinon oui : qui dit résine dit rétraction. J'en suis conscient
Pourquoi tu utilises quel ciment Vulpi?
01/09/2017 à 16h40
--
Pour revenir à la radio de départ : est-ce un puff ou bien un artefact que l'on voit sur la radio de l'obturation ? Et si le foramen était franchement distal, pas à l'apex du tout ? Ce serait cohérent avec la morphologie de la LIPOE bien visible sur la radio pré-op.
01/09/2017 à 17h09
C'est un puff , sinon oui c'est sûr et certain la sortie du canal est en latéral. Mais j'ai pas réussi à y accéder avec mes limes.
01/09/2017 à 17h50
junior® écrivait:
-----------------tellement le lavage de cerveau a été efficace.
>
> Sinon oui : qui dit résine dit rétraction. J'en suis conscient
>
Quand je rafistolais les coques de dériveurs, j'avais remarqué que les époxy se rétractaient, que tu mettes du tissé, de l'intissé ou de la choucroute, tu faisais un truc plan et au final c'était concave, alors tu en remettais...
J'avais aussi remarqué, en lisant la notice:-))) que cela n'aimait pas trop l'humidité...
Et voilà pourquoi je suis bêtement réservé vis à vis des ciments époxy. Maintenant si tu souhaites faire ton SC33 en même temps c'est un choix logique.